Ppad 12 Polyp vagny MUDr Jlia Florkov Patologickoanatomick





























- Slides: 29
Případ č. 12 Polyp vagíny MUDr. Júlia Florková Patologicko-anatomické oddělení KNTB a. s. Zlín
• 52 letá pacientka • odeslaná k extirpaci cystické rezistence pochvy pod uretrou • submukózně pod uretrou asi 1 cm tužší, palpačně nebolestivá rezistence • dop. urologické vyšetření k vyloučení divertiklu uretry
• OA: nevýznámná • GA: menopauza od 45 let P: 1 x. SC Ab: 2 x UPT: 0 Klinická dg: „Polypus parietis vaginae ad exstirpatio polypi“
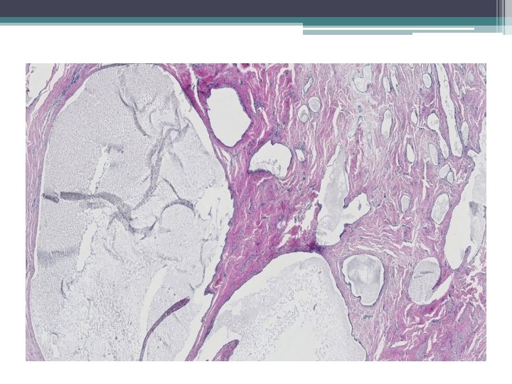
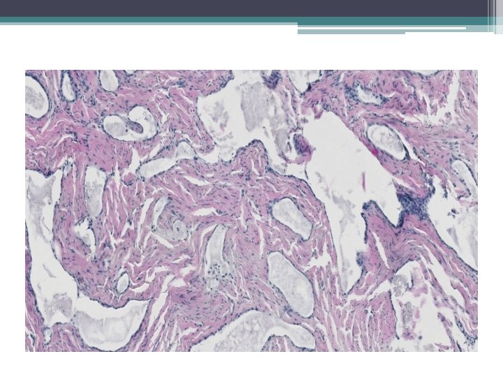
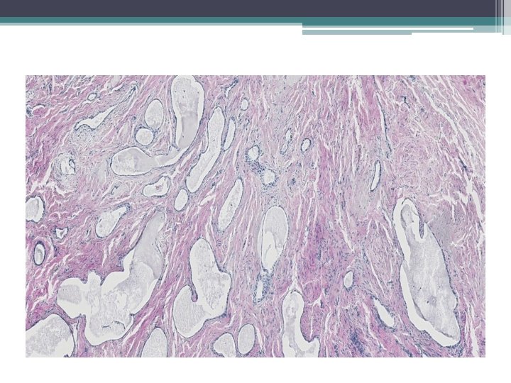
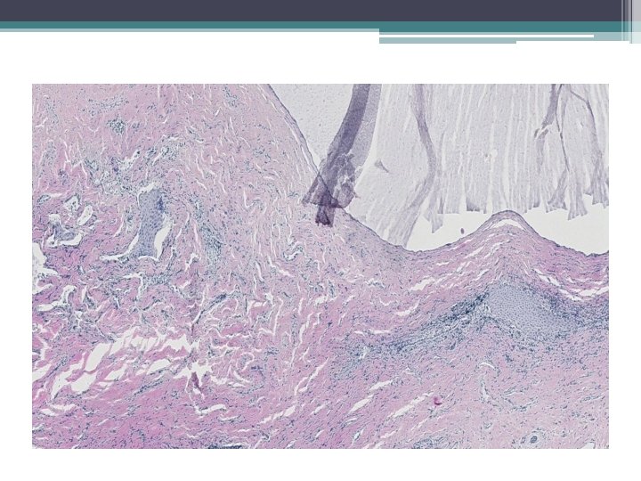
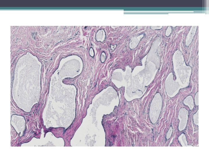
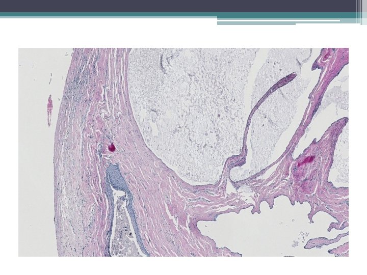
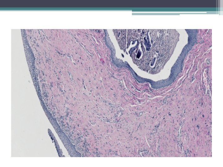
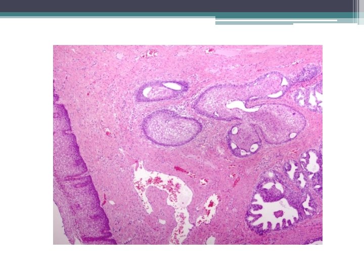
Mikro:
Imunohistochemie • • • ER: pozitivita ve většině buněk. Cytokeratin 5/6: pozitivita ve většině buněk. Cytokeratin 7: difuzně pozitivní. Calretinin: negativní. Ki 67: zcela ojedinělé buňky.
Imunohistochemie • P 63: ve většině žlázových prostor disperzní pozitivita jednotlivých buněk v periferii, v oblasti dlaždicového epitelu větší pozitivita buněk. • PSA: disperzně pozitivní, v drobných žlázkach silně, ve větších žlázkach slaběji. • Prostatická kyselá fosfatáza: fokálně pozitivní zejména v drobných žlázkach. • PAX 8: difuzně pozitivní. • WT-1: negativní.
• Závěr: benigní polyp vaginy vznikající z ektopické prostatické tkáně (event. Skeneho žlázy, topografie není jednoznačná), jehož morfologie není zcela jednoznačná, vykazuje určité rysy tzv. tubuloskvamózního polypu, typický obraz této léze však není vyjádřen.
Ektopická prostatická tkáň • • vzácně lokalizace: cervix, vagína věk 21 -65 let mikroskopicky : tubuly a aciny některé papilární, některé kribriformní, s dlaždicovou metaplázií
Imunohistochemie: • PSA – pozitivní v glandulární složce • PSAP – pozitivní glandulární složce • HMWC – pozitivní v bazálních buňkách • ER – pozitivní v dlaždicovém epitelu
Skeneho žlázy • • glandulae vestibulares minores periuretrální žlázy součást zevních ženských pohlavních orgánů drobné tubulósní mucinósní žlázy, uložené vo vestibulum vaginae, které udržují vlhkost povrchu
Tubuloskavamózní polyp • • • vzácně ženy 36 -83 let častěji postmenopauzální asymptomatický, náhodní nález velikost 1 -3 cm
• Mikroskopicky: • dobře ohraničená hnízda s vrstevnatým dlaždicovým epitelem a tubuly vystlané jednou až dvěma řady kubických buněk, nebo dlaždicovými buňkami. V centru hnízd může byť přítomná nekróza s kalcifikací, nebo keratinové perly.
Použité zdroje: • https: //www. ncbi. nlm. nih. gov/pubmed/12201043 • https: //pdfs. semanticscholar. org/26 eb/ea 33 f 67664 d 3 d 298 d 2 ace 953 eb 95 e 2535526. pdf? _ga=2. 2 57405643. 1372277365. 1575293610 -1132241414. 1574922648 • https: //www. ncbi. nlm. nih. gov/pubmed/16434895 • https: //www. pathologyoutlines. com/topic/prostateectopic. html
Děkuji za pozornost.