PONCTION FEMORALE Ponction en zone saine aprs palpation























- Slides: 23
PONCTION FEMORALE
-Ponction en zone saine, après palpation -Artériotomie possible si intro larges -Clampage possible si lésions emboligènes -Hémostase chirurgicale sûre, héparinisation -AL possible -Complication de cicatrice -Risque infectieux -Paresthésies dans le territoire du crural -Temps INDICATIONS §Utilisation d’un matériel large (>12 F) §Association reconstruction du trépied / ATL §Abord ds les 30 jours suivant une chirurgie avec controle du vaisseau §Parfois: Artère pathologique à l’écho avec risque de complication (ectasie, plaque calcifiée majeure, endartérite irrégulière)
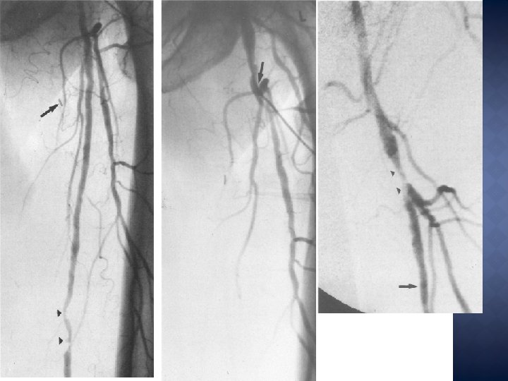
� L’AFC - - (donc infra-inguinale) = site idéal: Diamètre large Situation superficielle horizontale Caractère souvent moins pathologique Compressibilité : contrefort osseux (tête fémorale) Faible compliance du tissu mou autour Taux de complications plus élevé si la ponction est: Haute = supra inguinale (IE) : hématome rétropéritonéal, FA 12, 9% v/s 3, 1% Basse = AFS/AFP: FA 8, 9% , FAV, spasme (diamètre), hématome, occlusion
� Idéalement: 2 -3 cm sous le ligament inguinal (LI) clinique � Travaux de Rupp comparant anatomie/repère clinique/ repère radiologique du LI
� En regard de la portion moyenne de la tête fémorale (1 cm latéralement par rapport à sa corticale médiale) � J. Ng et Yamen : 20 cas: 100% avec RX, 65 % sans � Choong : 279 cas: 85% AFC avec RX, 75% sans. � Limite = variantes anatomiques.
� Avec - des repères cliniques Palpation d’une artère athéroscléreuse chez patients maigres Millward 1993:
Avec repères radiologiques: 1) Calcifications pariétales de l’AFC 2) Tete femorale portion moyenne Avec Echo-guidage Ponction de l’AFC controlatérale et montée de guide jusqu’à l’AFC voulue , en guise de repère.
� Technique non invasive � Son association au geste est recommandée par le NICE britannique �Etude FAUST (Femoral Artery Access with Ultra. Sound Trial) 2010 ; Seto (USA) : - Prospective sur 1000 patients - Compare Echo/RX guidage: § Taux de ponction de l’AFC comparable (85%) § Sauf bifurcation haute (82% vs 69%) § Réduction du temps d’accès (136 s vs 148 s; p= 0, 003) § Réduction du nb de tentatives (1, 3 vs 3) § Réduction des veinoponctions (2, 4 % vs 15, 8%) § Réductions des complications vasculaires à 30 j (1, 4% vs 3, 4 %)
� La ponction antérograde = référence pour ATL sous-crurales � Se fait le plus haut possible, avec un angle plus aigu pour rester superficiel et evite AFP � Elle peut etre difficile dans les régions inguinales “hostiles”: obésité (tablier abdo), cicatrices, atcd d’echec � La ponction rétrograde se fait plus bas, et l’angle est plus vertical s’il s’agit d’une ATL sous crurale ipsilatérale pr permettre l’inversion retro/anterograde et l’introduction du matériel sans coudure
� FAUX • • • - ANEVRYSMES: 0, 6 à 6 % des cathéterisations fémorales FDR: Anticoagulants – Largeur de l’intro – HTA – Obésité – faute technique lors de la ponction – Compression manuelle inadaptée – sexe féminin – hémodialyse Les petits FA (< 3 cm) se thrombosent souvent spontanément et sont suivis par écho Indication traitement: evolutivité – douleur – rupture – ischémie cutanée – neuropathie de compression – embolisation distale
� FISTULES • • - ARTERIO VEINEUSES Souvent liées à une ponction simultanée A+V Kelm et Perings 2002: FAV chez 88 / 10, 000 KT cardiaque FDR: Anticoagulants HTA Sexe féminin Ponction gauche La ponction AFP/AFS augmente le risque de FAV Leur effet délétère extrêmement rare
� Hématome au point de ponction � Hématome rétropéritonéal Rupp
� Délai de présentation plus long (4, 5 jours moy) � Claudication / Douleurs de décubitus � Thrombose au point de ponction � Sténose au point de ponction : dissection localisée pouvant se réaccoler en qques jours ou évoluer � Rôle pointé des DFV
� Geste technique important responsable d’une majeure partie de la morbidité endovasculaire � Courbe d’apprentissage longue � Place de l’echo-guidage