POLITRAUMA Identificacin y Manejo del Paciente de Trauma












































































- Slides: 76
POLITRAUMA Identificación y Manejo del Paciente de Trauma Dr. Luis Fernando Arguedas Zamora Emergencias Quirúrgicas Hospital México
TRAUMA n Mayor causa de morbilidad y mortalidad n USA, Costa Rica y en el mundo n OMS: año 2000 5 millones murieron n Edad: jóvenes 50% (15 -44 años) n Causa principal de muerte: Hemorragia
n Hemorragia Hipotensión: 50% mortalidad n Otras causas shock: obstructivo, cardiogénico y neurogénico Sistema de trauma: a)Acceso Sist. Comunicación: 911, tels emerg n b)Manejo Prehospitalario paramédicos, triage, sist respuesta coordinado (ambulancia, helicóptero) c)Manejo hospitalario: Staff, médicos, enfermeros d)Rehabilitación: sólo 1 de 10 adecuada e)Nuevo: prevención
CUIDADO PREHOSPITALARIO n Personal entrenado: BTLS ABC n Personal especializado: ATLS -Extracción -Tubos endotraqueales -Protección espinal -Inmovilización -Fluidos IV -Control de hemorragia externa -Transporte rápido: Centro Trauma -Equipos succión e inmovilización
CONTROVERSIA n “Scoop and run” vs Estabilización en el lugar
TRIAGE n Método de selección y clasificación de los pacientes basado en sus necesidades terapéuticas y recursos disponibles para su atención.
MANEJO DE PRIORIDADES ABC n A- Manejo vía Aérea: -Prioridad -Conciente, orientado, hablando: vía permeable -Inconciente, insuf. Resp. : atención inmediata -Simples: succión, cánulas, O 2 x NSC o mascarillas -Complejas: Intubación endotraqueal (10%) -Opción: Máscara laríngea, Cricotiroidotomía
INDICACIONES DE INTUBACIÓN n Shock n Patrón respiratorio anormal n Ptes que no protegenla vía aérea (inconcientes) n TCE severo n Trauma severo de Tórax n Lesión cervical: nasofaríngea
n B- Respiración: -Siguiente prioridad intercambio gaseoso -Lesiones que comprometen: Neumotórax tensión: aguja y sello tórax Heridas masivas abiertas tórax Tórax inestable Disrupción traqueal
n C- Circulación: -Causa más común muerte 1 hora: hemorragia -Presión directa control sangrado externo -2 vías periféricas: Ambas extremidades No retardar el transporte Extracción complicada Centro más cercano > 30 min -PASG Pneumatic Antishock Gargment Cuestionado No ventajas en sobrevida -Scoop and run: ? distancia centro trauma dificultad extracción
CONTROVERSIA n Hemorragia interna Hipotensión Coágulo n Reestablecer vol IV PAM normal Resangrado n transporte O 2 Coagulopatía Exanguinación n Soluciones hipertónicas: normalizan volumen rápido
FASE DE RESUCITACIÓN n Centro de Trauma (24/7) Equipo multidisciplinario: -Emergenciólogos -Cirujanos generales -Ortopedistas -Neurocirujanos -Urólogos -Enfermeros -Técnicos -US, TAC, Rx, Laboratorio n
Notificación de la emergencia: -Mecanismo trauma -Extensión de lesiones -Signos vitales n n Preparación del equipo de trauma: sala de shock Composición Equipo: -Líder (capitán): ideal Cirujano trauma -Médico 1 : cabeza del paciente maneja vía aérea -Médico 2 : valora, procedimientos, asistencia -Enfermeros 2: vías, fluidos IV y medicamentos n
SALA DE SHOCK
MANEJO INICIAL: REVISIÓN PRIMARIA n A-B-C-D-E n A: Vía aérea permeable B: Respiración – Ventilación C: Circulación D: Desnudar – Exponer E: Evaluación neurológica n n
A n n n Ver si habla o respira Proteger vía aérea: Succión Elevar mentón Tracción mandibular Cánula (Mayo) Protección cervical: inmovilizar Insuf. Resp. : Intubación Cricotiroidotomía Si anatomía no lo permite: traqueostomía Vía permeable auscultar y Rx Tórax
VÍA AÉREA
B n Adecuado intercambio ventilatorio Auscultación pulmonar (descartar): -Hemotórax -Neumotórax -Herniación de vísceras -Tórax inestable -Contusión pulmonar -Broncoaspiración n
n n n n Cianosis Esfuerzo ventilatorio intenso Ingurgitación yugular de ruidos respiratorios Neumotórax a tensión Diagnóstico: Clínico-inmediato NO x Rx Aguja: 2 do espacio intercostal línea clavicular media Sello Tórax: 5 to espacio intercostal línea axilar media Tórax inestable: TET Presión positiva Peso sobre lesión
C Estimación: -Volumen sanguíneo -Función cardiaca n Presión arterial (PAM) n Pulso n Frecuencia cardiaca n Perfusión piel n Llenado capilar n Estado mental n Sonidos respiratorios n Distensión de venas del cuello n Todos son indicadores del estado hemodinámico n
n n n Colapso circulatorio: Hipovolemia Ocasionalmente: -Enf. Cardiaca -Shock Medular -Edema severo de tejidos blandos -Taponamiento cardiaco Tratamiento: -Cristaloides (Lactato Ringer) -CR: S. Fisiol -GRE -2 lts Lactato hipotensión Sangre -Control de hemorragia SOP -Pte frío-pálido: SV estables temporal SOP
D n Déficit Neurológico n Valoración pupilar n Escala de Glasgow: a-Apertura ocular b-Verbal c-Motor
ESCALA DE GLASGOW A- Apertura ocular: -Espontáneo: 4 -Llamado: 3 -Dolor: 2 -No responde 1 n B- Verbal: -Orientado: 5 -Confuso: 4 -Palabras inapropiadas: 3 -Palabras incomprensibles: 2 -No responde: 1 n C- Motor: -Obedece órdenes: 6 -Localiza dolor: 5 -Retira dolor: 4 -Flexión: 3 -Extensión: 2 -No respuesta: 1 n n Máximo: 15 n Mínimo: 3 n <8: intubación
E n Exponer-Desnudar n Ver lesiones n Anterior y posterior n Darle vuelta n Tacto rectal
TORACOTOMÍA EMERGENCIA n Medida agresiva y desesperada n Ptes muy críticos : fallecer n Sin signos vitales al ingreso: No la indica n Toracotomía anterior izquierda n Clampeo y Pericardiotomía n Masaje cardiaco interno
REVISIÓN SECUNDARIA n Identificación de lesiones específicas n Ex Físico completo: observación y palpación n Ptes Shock: -Revisión rápida -Tratar de identificar sitio sangrado -SOP rápido Estable: -Ex Físico completo -Laboratorios -Rayos x n
CABEZA n Palpación cuero cabelludo sangrado sutura n Hematomas, laceraciones, fracturas n Valorar lesiones oculares n Función pupilar y movimientos oculares n Fondo ojo: -Hipertensión endocraneana edema papila -Desprendimiento de retina
CABEZA n Equimosis Mastoides Signo Battle Fract Base Cráneo n Triada de Cushing: -HTA -Bradicardia -Trastorno respiratorio n Hemotímpano, otorragia, otorraquia n Rinorraquia, epistaxis: taponamiento ant o posterior
CABEZA n Equimosis periorbitaria (Mapache): Fx Base Cráneo n Fracturas Fasciales: Le Fort n Cavidad oral: dientes, maxilar, mandibular n TAC cráneo: si está indicado hematomas o fract.
HEMATOMA SUBDURAL AGUDO
HEMATOMA SUBDURAL CRÓNICO
HEMATOMA EPIDURAL
CUELLO n Al examinar: mantener inmovilización Retirar collar y valorar: -Desviación de tráquea -Enfisema SC -Hematomas -Ingurgitación yugular -Palpar espina cervical post: defectos o fracturas n
CUELLO Fractura laríngea: -Enfisema SC -Deformidad de cartílagos (tiroides, cricoides) -Cambio de voz (disfonía) -Contraindicación relativa de intubación -Puede provocar más lesión (falsa vía) -Traqueostomía formal en SOP n n Pulsos carotídeos: hematoma expansivo lesión art n Lesiones penetrantes: no introducir dedos ni cánulas
CUELLO n Si penetra Platisma: -Indicación de exploración en SOP -Angiografía -Faringo – laringoscopía -Esofagoscopía -Esófagograma: medio hidrosoluble luego Bario -TAC
ZONAS DEL CUELLO Zona I -Esternón y clavículas al Cricoides -Asocia lesiones vasculares de tórax superior n Zona II -Cricoides a ángulos mandibulares -Generalmente se exploran n Zona III -Ángulos mandibulares a base de cráneo n
CUELLO Rx cervicales: -AP y laterales -Odontoides -Rx dinámicas: flexión y extensión para descartar lesiones ligamentos n TAC (Scan cervical): -Si hay sospecha de lesión n
TÓRAX n Se valora por: -Tórax inestable -Laceraciones, abrasiones y contusiones -Auscultación: hemotórax o neumotórax -Palpación: fracturas costales, enfisema SC -Neumotórax a tensión: aguja y sello tórax
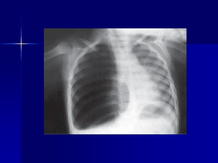
Rx TÓRAX Hemotórax: -Opacificación sello tórax -Sangrado de inicio > 1500 cc toracotomía -Sangrado es de 200 -300 cc/h toracotomía n Contusión pulmonar: -Patrón irregular intersticial -Disnea leve a Distress Respiratorio del Adulto -Magnitud puede no verse al inicio -Gases arteriales y Rx tórax seriadas (c/6 hrs) n
TÓRAX n EKG n Monitoreo continuo (primeras 24 hrs) n Contusión miocárdica n Mayoría son autolimitadas n Raro: falla cardiaca
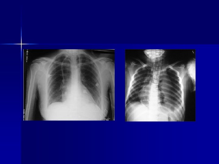
TÓRAX n Trauma cerrado o contuso x desaceleración: -Transección de Aorta -Rx con ensanchamiento mediastinal -> 8 cms (AP) -Desplazamiento de la tráquea -Depresión del bronquio izquierdo -Desviación de la SNG, etc
TÓRAX Se relaciona con lesiones imp de Aorta: -Fx esternón -Fx 1 era y 2 da costillas -Fx de escápula n Si hay sospecha de lesión de Aorta: -Aortografía -TAC -ECO transesofágico n
TÓRAX Ruptura diafragmática: -SNG, intestino o vísceras en tórax -Sello tórax: cuidado de lesionar vísceras -Requiere cirugía n Lesión bronquial: -Enfisema SC -Neumomediastino -Sello tórax: fuga de aire n
TÓRAX n Trauma penetrante: -Heridas confinadas a cavidad pleural: sello tórax -Atraviesa mediastino: Broncoscopía Esofagoscopía Aortografía -ECO: Derrame pericárdico Lesión cardiaca
ABDOMEN Ex físico: -Lo más importante -20 a 30% no hay hallazgos francos -Sobre todo : Ptes TCE severo, OH, drogas, shock n Pte hemodinámicamente inestable: -Descartar sangrado intrabdominal -Lavado Peritoneal diagnóstico -FAST (Focused Assessment with Sonography for Trauma) n
FAST
LAVADO PERITONEAL DIAGNÓSTICO n Positivo Macroscópico: -10 cc o más de sangre de entrada -Líquido intestinal -Bilis -Restos alimentarios -Materia fecal n Positivo Microscópico: -Se instila 1 Lt S. Fisiol ->100. 000 GR/ml (cerrado) ->1000 GR/ml(arma blanca) ->500 leucocitos/ml -Bacterias -Amilasas
LAVADO PERITONEAL DIAGNÓSTICO Pte inestable o peritonitis: -Contraindica lavado -Debe ser llevado a SOP n Contraindicaciones relativas: -Cirugía abdominal previa -Embarazo -Obesidad Mórbida n n Falso positivo: herida infraumbilical en fract pelvis con hematoma
LAVADO PERITONEAL
ABDOMEN n Pte estable: TAC o laparoscopía n Herida arma fuego (HAF): indicación laparotomía n Herida arma blanca (HAB): exploración local n HAB espalda o flancos: si hay duda TAC
ABDOMEN n Hallazgos de TAC que indican laparotomía: -Hematoma retroperitoneal expansivo -Aire libre -Extravasación del medio de contraste -Líquido libre intraperitoneal : si pte se torna inestable
PELVIS n Ex Físico n Palpación ósea n Valorar genitales: Hematoma escrotal Hematuria o Uretrorragia n Palpación bimanual (mujer): Laceración vaginal Fx pélvica abierta
PELVIS Uretrografía retrógrada (antes de Sonda Foley) -Uretrorragia -Hematoma escrotal -Próstata cabalgante n Rx de pelvis: -Fracturas -Hematoma pélvico retroperitoneal -Pte inestable: TAC vs Cirugía n
EXTREMIDADES n Se valoran heridas abiertas fuente de hemorragia n Fracturas expuestas n Valoración de pulsos n Fracturas huesos largos n Luxaciones, lesiones ligamentosas n Penetrantes: pulsos, US Doppler, Arteriografía