Podzia chorb nerek z elementami patofizjologii Podzia chorb
Podział chorób nerek z elementami patofizjologii
Podział chorób nerek ze względu na: 1 2 Struktury objęte procesem chorobowym m. in. Choroby naczyń (vasculitis) • Choroby kłębuszków nerkowych – kłębuszkowe zapalenia nerek (glomerulopatie) • Choroby pozostałych struktur tkanki nerkowej: –Choroby śródmiąższowe nerek –Wady cewek nerkowych (tubulopatie) wady cewkowe: glikozuria, aminoacidurie, zaburzenia transportu jonów, kwasice cewkowe, nerkopochodna moczówka prosta Pierwotne Kolejność zajęcia tkanki nerkowej przez proces chorobowy ZUM Ostre i Przewlekłe Odmiedniczkowe Zapalenie Nerek Ostre Niebakteryjne Śródmiąższowe Zapalenie Nerek PrzewlekłeŚródmiąższowe Zapalenie Nerek Wtórne 3 Dynamikę przebiegu • Ostre • Przewlekłe • Podostre Nieprawidłowa liczba nerek Wady położenia (dystopia, ektopia) Wady budowy (hipoplazja, dysplazja) Wady przebiegające z powstawaniem torbieli: wielotorbielowatość, torbiele proste, nerka gąbczasta Kamica nerkowa Nowotwory układu moczowego
WYLECZENIE PATOLOGIE PRZEWLEKŁE: (kłębkowe, śródmiąższowe) PATOLOGIE OSTRE: (kłębkowe, śródmiąższ owe) PNN ew. zaostrzenie PNN SNN ONN Leczenie zachowawcze Leczenie nerkozastępcze (Ln) mocznica odwracalna HD, DO, HDF mocznica przewlekła Tx
Choroby śródmiąższu
Uszkodzenie komórek Błona podstawna Zahamowanie przez toksyny naprawy komórek Zahamowanie przez toksyny migracji komórek Hamowanie podziału komórki przez toksyny
dezintegracja struktury komórek działanie toksyny zatkanie światła kanalika nerkowego śmierć komórek apoptoza złuszczenie komórek
wakuolizacja cewek
wakuolizacja cewek
OŚZN
OŚZN_polekowe
OOZN
Infekcyjne. ZN_cewki_Leukocyty i Erytrocyty
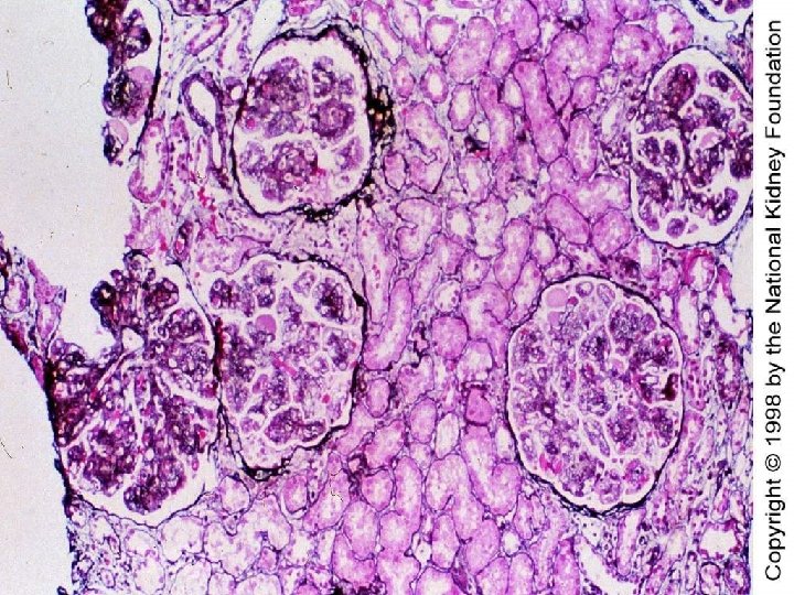
POZN
POZN
Choroby kłębuszków nerkowych (glomerulopatie)
PATOGENEZA • Nieprawidłowości wiązania antygenów (Ag) i wyeliminowania ich na drodze fagocytozy i/lub • Nieprawidłowości w funkcjonowaniu układu dopełniacza i/lub • Nieprawidłowa odpowiedź immunologiczna
PATOMECHANIZM
PATOMECHANIZM Krążące wolne Ag gromadzą się w okolicy błony podstawnej, a wytworzone z opóźnieniem przeciwciała (p/c) docierają do kłębuszka i reagują z Ag tworząc złogi kompleksów immunologicznych (IC), Tworzenie p/c przeciwko różnym Ag błony podstawnej kłębuszka z wytworzeniem linijnych złogów, Krążące w surowicy Ag łączą się z p/c tworząc IC, te zaś gromadzą się w kłębuszkach W skład złogów mogą również wchodzić: - składowe dopełniacza - p/c ANCA
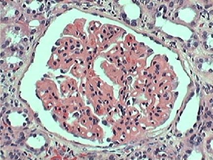
zmiany w kłębuszkach: − minimalne
Minimal Change Disease (LM)
Podocyt - obraz prawidłowy (EM)
Minimal Change Disease (EM)
zmiany w kłębuszkach: − minimalne − rozplemowe
zmiany w kłębuszkach: − minimalne − rozplemowe − błoniaste (pogrubienie błony, odkładanie złogów)
Nefropatia błoniasta (EM)
Nefropatia błoniasta (EM)
zmiany w kłębuszkach: − minimalne − rozplemowe − błoniaste − Półksiężyce (proliferacja i nagromadzenie komórek nabłonkowych)
zmiany w kłębuszkach: − minimalne − rozplemowe − błoniaste − półksiężyce − szkliwienie (stwardnienie)
Barwienie typu Massona na tkankę łączną włóknistą
zmiany w kłębuszkach: − minimalne − rozplemowe − błoniaste − półksiężyce − szkliwienie (stwardnienie) − odkładanie złogów
Nefropatia Ig. A Mikroskopia immunofluorescencyjna
Nefropatia błoniasta (IF) Mikroskopia immunofluorescencyjna
zmiany w kłębuszkach: − − − − minimalne rozplemowe błoniasto-rozplemowe półksiężyce szkliwienie (stwardnienie) odkładanie złogów − zwiększenie ilości komórek w kłębuszku
Liczne komórki nie stanowiące struktury kłębuszka
Zmiany w kłębuszkach (ze względu na obraz w bioptacie) • uogólnione • ogniskowe • rozlane • segmentalne Ile procent zajętych kłębuszków? Ile procent zajętych segmentów?
- Slides: 43