PNFIGO Dr Juan Carlos Aldave Mdico Especialista en

  • Slides: 23
Download presentation
PÉNFIGO Dr. Juan Carlos Aldave Médico Especialista en Inmunología Clínica y Alergología Comité de

PÉNFIGO Dr. Juan Carlos Aldave Médico Especialista en Inmunología Clínica y Alergología Comité de Inmunodeficiencias Primarias Asociación Latinoamericana de Inmunología

Definición • Enfermedades ampollosas autoinmunes intraepidérmicas – Ampollosas: se forman ampollas – Autoinmunes: anticuerpos

Definición • Enfermedades ampollosas autoinmunes intraepidérmicas – Ampollosas: se forman ampollas – Autoinmunes: anticuerpos contra tejidos propios (proteínas del desmosoma) – Intraepidérmicas: dentro de la epidermis

Epidemiología • Incidencia: 4 casos/100, 000 personas • Pénfigo vulgar (70% de casos): inicio

Epidemiología • Incidencia: 4 casos/100, 000 personas • Pénfigo vulgar (70% de casos): inicio a los 5060 años • Mortalidad pénfigo vulgar: 5 -15%

Fisiopatología Piel normal Pénfigo Ig. G / Ig. A

Fisiopatología Piel normal Pénfigo Ig. G / Ig. A

Fisiopatología • Producción de anticuerpos contra antígenos de las uniones intercelulares epidérmicas • Pérdida

Fisiopatología • Producción de anticuerpos contra antígenos de las uniones intercelulares epidérmicas • Pérdida de la unión entre queratinocitos • Formación de ampollas intraepidérmicas • Formación de úlceras

Inmunología • Mecanismos de defensa en la piel: – Epitelio – Péptidos antimicrobianos (ej.

Inmunología • Mecanismos de defensa en la piel: – Epitelio – Péptidos antimicrobianos (ej. defensinas, etc. ) – Fagocitosis (neutrófilos, macrófagos) – Linfocitos T – Linfocitos B → anticuerpos

Inmunología • Mecanismos de defensa en la mucosa oral: – Epitelio de la mucosa

Inmunología • Mecanismos de defensa en la mucosa oral: – Epitelio de la mucosa – Saliva (p. H, acción lubricante) – Péptidos antimicrobianos (ej. Lisozima, defensinas, etc. ) – Inmunoglobulina A (forma dimérica, producida por los linfocitos B) – Fagocitosis (neutrófilos, macrófagos) – Linfocitos Th 17

Síntomas Ampollas Erosiones en piel y mucosas Signo de Nikolsky +

Síntomas Ampollas Erosiones en piel y mucosas Signo de Nikolsky +

Complicaciones • Incapacidad • Desequilibrio electrolítico • Infección bacteriana • Efectos adversos de medicamentos

Complicaciones • Incapacidad • Desequilibrio electrolítico • Infección bacteriana • Efectos adversos de medicamentos

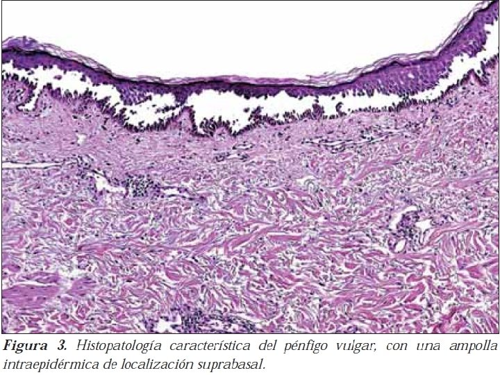
Diagnóstico • Visualización de lesiones • Biopsia de la lesión – Microscopía óptica –

Diagnóstico • Visualización de lesiones • Biopsia de la lesión – Microscopía óptica – Inmunofluorescencia directa e indirecta

Tratamiento • Corticoides • Inmunosupresores • Cuidado tópico

Tratamiento • Corticoides • Inmunosupresores • Cuidado tópico

“Que Dios los cuide mucho y bendiga su familia y estudios” GRACIAS

“Que Dios los cuide mucho y bendiga su familia y estudios” GRACIAS