PNEUMOTORAKSI Pneumotoraksi karakterizohet me hyrjen e ajrit ose







































- Slides: 39
PNEUMOTORAKSI
Pneumotoraksi karakterizohet me hyrjen e ajrit ose ndonje gazi tjeter ne kavitetin pleural. * Hyrja e ajrit ne kavitetin pleural behet realizohet nga demtimi pleures viscerale qe ben kominikimin me pemen bronkiale dhe demtimi i pleures parietale duke realizuar komunikimin me ambientin e jashtem, pra me ajrin atmosferik.
Ndodh ndonjehere qe sebashku me ajrin, ne kavitetin pleural te hyje edhe leng me natyra te ndryshme si: eksudat, transudat, gjak, limfe apo pus, duke marre edhe emertimet perkatese si: Hidropneumotoraks Hemopneumotoraks
KLASIFIKIMI DHE SHKAQET E PNEUMOTORAKSIT
1 - PNEUMOTORAKSI SPONTAN 2 - PNEUMOTORAKSI TRAUMATIK 3 - PNEUMOTORAKSI IATROGJENIK
1 - PNEUMOTORAKSI SPONTAN a) PRIMAR - Jo semundje pulmonare klinike - Ndodh tipikisht tek meshkujt e gjate dhe te holle te moshes 10 -30 vjec - Eshte e rralle tek pacientet>40 vjec b) SEKONDAR - Semundje te rrugeve ajrore (astem, COPD, fibroze) - Semundje infektive pulmonare (Pneumoni) - Semundje pulmonare intersticiale (sarkoidoza) - Semundje e indit lidhor (artriti reumatoid, Sindromi Marfan) - Semundje malinje
2 - PNEUMOTORAKSI TRAUMATIK Shkaktohet nga demtimet shpuese te kraherorit e te rrugeve bronkiale, ose kur ndodh demtim i mushkerive nga frakturat e brinjeve. 3 - PNEUMOTORAKSI IATROGJENIK - Apirimi transtorasik - Punktura e venes subclavia - Torakosenteza dhe biopsia pleurale - Perikardiocenteza - Barotrauma per shkak te ventilimit mekanik
Pneumotoraksi mund te jete: - I NJEANSHEM - I DYANSHEM
Sipas gjendjes se fistules qe krijohet ne pleure kemi: - PNEUMOTORAKSIN E MBYLLYR: ku ndodh vetem hyrja e nje mase ajri nga vendi i demtuar dhe fistula mbyllet dhe nuk del as nuk hyn me ajer. - PNEUMOTORAKSIN E HAPUR: ku fistula qendron e hapur dhe ajri hyn e del nga kaviteti pleural. - PNEUMOTORAKSIN VALVULAR (TENSION): ku fistula realizon hyrjen e ajrit ne kavitetin pleural dhe nuk e lejon ate te dale (kondravalvula)
* Forma valvulare perben formen me te rende sepse sasia e ajrit qe hyn, vjen duke u shtuar, kolabon pulmonin dhe sjell crregullime ne respiracion dhe ne qarkullimin e vogel te gjakut.
KUADRI KLINIK (SIMPTOMAT) - Alterim te respiracionit: veshtiresi ne frymemarrje qe shoqerohet me ndjenjen e pengeses qe con ne frymemarrje te sforcuar. - Dhimbje ne kraheror: me karakter shpues, perhapet ne pjesen anesore te kraherorit, ne shpatull dhe shtyllen kurrizore. Shtohet gjate inspiriumit. - Kolle: te thate, kohezgjatja e shkurter, pervec atyre qe kane demtime pulmonare qe shkaktojne kolle me sputum (gelbaze).
- Gjendje ankthi Crregullim i qarkullimit te gjakut Puls i dobet Lekure e ftohte dhe e djersitur * Nese nuk nderhyhet i semuri mund te perfundoje ne vdekje si rezultat i pamjaftueshmerise respiratore kardiake.
EKZAMINIMI FIZIK: INSPEKSION: veshtiresi ne respiracion PALPACION: pakesim/zhdukje te dridhjeve zanore, krepitacion (amfizema) PERKUCION: kumbim i theksuar (timpanizem) AUSKULTACION: dobesim deri ne heshtje respiratore
SHENJAT E PNEUMOTORAKSIT VALVULAR (nga tensioni) - Dhimbje kraherori - Distres respirator (dispne, takipne, mundesia per te folur vetem me fjali te shkurtra ose fjale te vetme, axhitim, djersitje) - Renia e saturimit arterial te oksigjenit (Sp. O 2) - Hiperresonanca me renie te tingullit te frymemarrjes - Takikardia - Hipotensioni - Deviacioni trakeal - Rritje e presionit venoz jugular
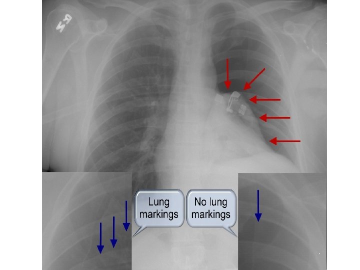
EKZAMINIMI RADIOLOGJIK
PNEUMOTORAKSI JEP EDHE NDERLIKIME: - Insuficienca respiratore - Insuficienca kardiorespiratore - Formim i eksudatit sero-fibrinoz-purulent - Kthim ne forme kronike - Edeme pulmonare
TRAJTIMI DHE KUJDESI INFERMIEROR • PNEUMOTORAKSI I MBYLLUR (pneumotoraks i vogel, pa nderlikime ku shqetesimet jane te vogla) behet mjekim konservativ: -Venia ne qetesi e te semurit -Thithja e ajrit me age nepermjet punksionit plural
Dekompreso me shiringe me vrime te madhe, ne hapesiren 2 ose 3 interkostale, ne linjen midklavikulare ne anen ku ka mungese ose reduktim te tingujve te frymemarrjes.
ASPIRIMI ME SHIRINGE I PNEUMOTORAKSIT: 1. Identifiko hapesiren e 2 -te ose 3 -te interkostale ne linjen aksillare mediale. 2. Infiltro me lidokaine poshte dhe perreth pleures mbi pneumotoraks. 3. Preferohet nje shiringe 21 G me tre rruge dhe nje shiringe 60 m. L. 4. Me pacientin gjysem shtrire, fute shiringen ne hapesiren pleurale, drejtoje lart. Aspiro ajrin. 5. Realizo nje grafi kraherori per te konfirmuar rezolucionin e pneumotoraksit.
• PNEUMOTORAKSI VALVULAR behet nderhyrje urgjente: - Vendoset age me sistem drenimi nen uje ose kateter intercostal te futur ne hapesiren pleurale.
• PNEUMOTORAKSI TRAUMATIK: duhet trajtuar plaga dhe elementet e tjere patologjik si hemoragjia, frakturat etj. • PNEUMOTORAKSI per shkak te semundjeve te aparatit respirator: behet trajtimi I tyre.
PNEUMOTORAKS I DYSHUAR Dispne e papritur/dhimbje kraherori Observim; Oksigjenim SHENJAT E PNEUMOTORAKSIT TE TENSIONIT? ? PO Dekompreso me shiringe me vrime te madhe, ne hapesiren 2/3 interkostale, ne linjen midklavikulare ne anen ku ka mungese ose reduktim te tingujve te frymemarrjes. JO Realizo nje X-ray. Bej drenazhin me tub! Realizo nje grafi kraherori (X-ray). Ka trashesi maksimale te pneumotoraksit (nga buza e mushkerise deri ne murin e kraherorit)?
< 2 cm (e vogel)? Pa simptoma Observim > 2 cm (e gjere)? Me simptoma Primare Aspirim me shiringe Rishikim klinik me perseritje te X-ray deri 7 -10 dite. Jo fluturime ajrore derisa X-ray te dale normal. Sekondare Drenazhim me tub
VIDEO- CHEST TUBE