PNEUMOTHORAX Y Uzunhan Service de Pneumologie Hpital Avicenne




































- Slides: 36
PNEUMOTHORAX Y. Uzunhan, Service de Pneumologie, Hôpital Avicenne
PNEUMOTHORAX 1. Quelques définitions 2. Diagnostic 3. Traitement: • • Surveillance Exsufflation Drainage Chirurgie
Définitions - Pneumothorax: irruption d’air dans la cavité pleurale - Emphysème sous cutané: air dans les tissus periviscéraux et dans le derme profond - Pneumo médiastin: air dans l’espace péricardique ou péri trachéal
PNEUMOMEDIASTIN
Définitions Pneumothorax Spontané PNO Primitif = idiopathique • • Homme, jeune, grand, mince Blebs dans 80 -90% Tabac: Risque x 100 Tabagisme poursuivi dans >80% cas
PNO Secondaire = pathologie sous-jacente – – – Emphysème Asthme BPCO – – Histiocytose X, Lymphangioleiomyomatose Fibroses, Mucoviscidose – Pneumocystose, infections nécrosantes – Endométriose thoracique, PNO cataménial (Dte)
PNO bilatéral sur pneumocystose
Définitions Pneumothorax traumatique: – – Iatrogène: • • Ponction sous TDM Abord sous-clavier Biopsie pleurale, biopsie transbronchique Ventilation mécanique • • Fermé (fractures de côtes) Ouvert (arme blanche, arme à feu) Traumatisme
Définitions • PNO simple • PNO compliqué : – – PNO compressif PNO bilatéral Hémo-pneumothorax, présence de bride PNO décompensant une maladie respiratoire sous-jacente
Définitions • PNO partiel: « petit » ou « large » 3 cm • PNO complet
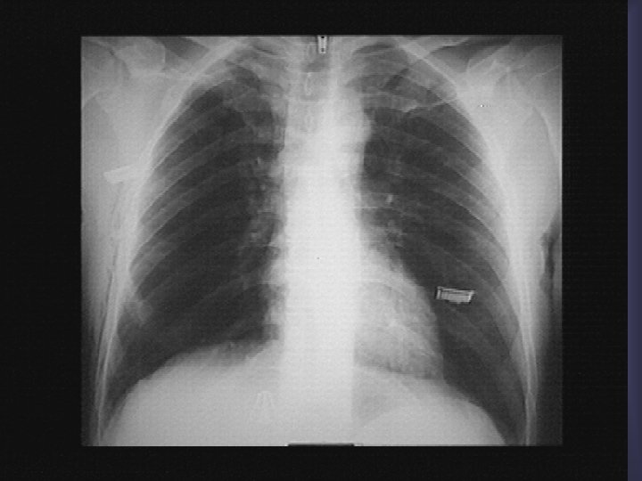
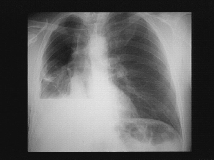
Diagnostic • Clinique – – – Symptômes >48 H dans la moitié des cas Douleur thoracique en coup de poignard Toux sèche Ampliation thoracique Tympanisme Difficile chez les emphysémateux… • Radiologique : – Radiographie de Thorax Face (profil) – Clichés en expiration forcée à éviter
Diagnostic • Signes de gravité Clinique – Détresse respiratoire aiguë avec tirage, dyspnée à la parole et cyanose – Défaillance hémodynamique avec pouls filant, hypotension (hémo pneumothorax) – Tamponnade gazeuse avec signes droits et pouls paradoxal…désamorçage pompe cardiaque
Prise en charge - Oxygénothérapie à adapter à la Sa. O 2 et aux GDS - ATCD en particulier respiratoire du patient - Mise en condition - VVP, bilan biologique (NFS, plaquettes, TP, TCK , groupe Rh si suspicion d’hémopneumothorax). et RP - Perfusion avec du Na. Cl 0, 9% en garde veine - Gaz du sang si Sa. O 2 < 95% Oxygénothérapie (lunettes ou masque) en fonction de la Sa. O 2 Thorax au lit ou en radio selon la tolérance - ECG - En cas de signe de mauvaise tolérance s’assurer de la disponibilité du matériel de drainage - Avis réanimateur - Dès la mise en évidence de signes de mauvaise tolérance - Dans tous les cas après avoir confirmé le diagnostic
Indication de la TDM: • Pas d’indication systématique, notamment en cas de 1 er PNO spontané • Indiqué, selon tolérance: – – – En cas d’hydro pneumothorax (bride) En cas de suspicion de pneumopathie sous-jacente différencier bulle / PNO pneumothorax antérieur vérifier la position d’un drain préopératoire
TRAITEMENT A. B. C. D. Surveillance simple « Exsufflation » Drainage Traitement chirurgical
TRAITEMENT A. Observation • • PNO partiel <3 cm, primitif Bonne tolérance clinique Contexte social Sortie Conseils (plongée, efforts, tabac) RP à H 48 Cs Pneumo
TRAITEMENT B. Exsufflation • • A l’aiguille ou au cathéter PNO partiel ou complet non compliqué Bonne tolérance clinique Non indiquée en cas de pneumopathie sous jacente gênant la ré expansion • Facteur prédictif d’échec: âge > 50 ans • RP de contrôle • En cas de succès: sortie avec conseils et RP à H 48
Protocole PNEUMAMBUL’
• Manual aspiration versus chest tube drainage, AJRCCM 2002 – Etude belge, prospective, randomisée multicentrique, en intention de traiter • Protocole PNEUMAMBUL’: prise en charge ambulatoire des PNO spontanés idiopathiques
Protocole PNEUMAMBUL’ Résultats préliminaires SRLF 2006 • 8 centres, 10 mois, 78 patients (âge médian 29 ans, 89% M, 83% fumeurs, 94% 1 er épisode) • 22 décollement < 3 cm: surveillance simple en ambulatoire • 56 exsufflations, – succès initial 59% – 41% hospitalisation • Contrôle J 7: • succès 50 patients (64%) » 22 ambulatoire » 28 / 56 exsufflés • 5 échecs secondaires après exsufflation initiale réussie
TRAITEMENT C. Drainage • Indications: – – Echec de l’exsufflation Mauvaise tolérance PNO compliqué (hydro pneumothorax) PNO secondaire
TRAITEMENT • Mesures associées: – – – Oxygène Voie veineuse périphérique Expansion volémique Antalgiques Hémostase, groupe ABO
TRAITEMENT • Matériel – Cathéter 6 -8 French ou petit drain 10 -14 F (Pleurocath ) – Problème des hydro pneumothorax et des PNO secondaires (drain de Joly) – Aspiration: • Colonne de Jeanneway • Pleurevac – Transports: valve unidirectionnelle de Heimlich
TRAITEMENT • Sites de ponction
Drainage • Par une équipe médicale et paramédicale entraînée • en aspiration à -30 cm d’eau • Ne jamais clamper un drain qui bulle • Surveillance oscillations/bullage toutes les trois heures • Drain à traire toutes les 3 heures • Surveillance clinique • Surveillance radiologique quotidienne
• QUAND retirer le drain? – RP 12 à 24 H après la fin du bullage – Epreuve de clampage? – Retrait en aspiration et RP de contrôle
• Les complications du drainage – Les malpositions de drain (coudés, dans la paroi) – Insertion intra-parenchymateuse ou intramédiastinale (adhérences, symphyses) – Rupture de la coupole diaphragmatique avec lésions de viscères abdominaux – Lésion de la mammaire interne, d’une l’artère intercostale
TRAITEMENT D. Chirurgie • Le drainage chirurgical d’emblée – – en cas d’hémothorax de bride pleuro-pariétale de troubles de l’hémostase de pneumothorax suite à une plaie pénétrante). • Symphyse – 1ère récidive controlatérale – 2ème récidive homolatérale – PNO spontané bilatéral – Bullage persistant à J 7 – Hémothorax (>1 L, >200 m. L/h) – Professions à risque
Chirurgie • Modalités: – Thoracotomie – Thoracoscopie – Symphyse par abrasion de la plèvre pariétale symphyse chimique – Pleurectomie – Résection des bulles apicales
Taux de récidive après un premier épisode de PNO spontané idiopathique • Surveillance simple OU exsufflation OU drainage: – 30% à 1 an – 50% à 5 ans • Traitement chirurgical: – récidive dans <5%
Cas particuliers « Poumon blanc unilatéral » • Déviation du médiastin? – Homolatéral au poumon malade: Atélectasie? – Controlatéral: épanchement? – Pas de déviation? : mixte, condensation?
Ponction Pleurale – Urgent si fièvre – CI relatives: anomalies de la crase sanguine – Matériel: • Asepsie stricte: compresses stériles, désinfectant, champ, gants stériles, masque • Anesthésie locale: seringue 10 cc, Xylocaïne 1%, aiguille IM • Exploratrice: seringue 20 cc – Au bord supérieur de la côte inférieure, en pleine matité, au maximum à 5 TD sous le bord inférieur de l’omoplate – Minimum 3 tubes pour Analyse biochimique, bactériologique et cytologique
Ponction Pleurale Hémothorax • Contexte : chirurgie thoracique, traumatisme, anomalies de la coagulation. • Ponction : sang rouge, • Déglobulisation SCANNER THORACIQUE
Ponction Pleurale Hémothorax CAT • Groupe sanguin Rhésus, NFS Plaquette, hémostase complète • Voies veineuses de gros calibre • Remplissage vasculaire, transfusions, surveillance hémodynamique • Environnement chirurgical • Drainage et/ou Chirurgie