Pneumopathies Dfinition infection du parenchyme pulmonaire Pneumopathie communeautaire


















- Slides: 18
Pneumopathies Définition infection du parenchyme pulmonaire Pneumopathie communeautaire Nosocomiale > 48 heures à l’hôpital Sujet sain Critères de gravité Prise en charge en ville Prise en charge hospitalière
Pneumopathies Localisation infectieuse fréquente 5/6 en ville et certaines ne sont pas diagnostiquées (pas de radio) 5 à 25% de mortalité - pneumocoque - enfant, vieillard - maladie antérieure Le traitement essentiel sont les ANTIBIOTIQUES
Pneumopathies Mécanismes physio-pathologique 1) Prolifération d’une bactérie dans le parenchyme pulmonaire 2) Apparition de pus localement > signes cliniques, signes radiologiques 3) Guérison ou décès par septicémie ou Insuffisance respiratoire
Pneumopathies CLINIQUE TYPIQUE Début brutal, douleur thoracique Fièvre élevée Toux grasse, expectoration +/- Dyspnée auscultation : Crépitants +/- localisés
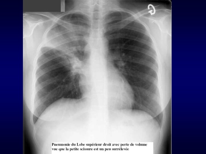
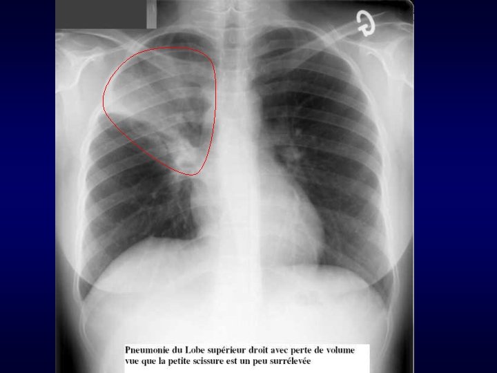
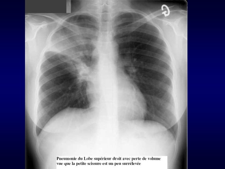
Pneumopathies Examens complémentaires Radiographie de thorax Opacité en foyer (Pneumopathie systématisée franche lobaire aiguë) ou Pneumopathie +/- interstitielle ou Abcès du poumon +/- Pleurésie
Pneumopathies Autres examens utiles • · NFS : Hyperleucocytose, polynucléose ou neutropénie • CRP, VS : seront élévées • GDS indispensables si signes de gravité ou terrain
Pneumopathies Autres examens utiles: Faut il trouver la bactérie ? ? ? Þen ville, ce n'est jamais fait : traitement PROBABILISTE Þà l’hôpital il n'est pas toujours indispensable : traitement PROBABILISTE aussi MAIS si signes de gravité ou terrain fragile ou ATB préalables Þ Fibroscopie bronchique + prélèvements antibiothérapie adaptée
Pneumopathies Prise en charge 1ère question : Faut il hospitaliser le patient ?
Pneumopathies Définition infection du parenchyme pulmonaire Pneumopathie communeautaire Nosocomiale > 48 heures à l’hôpital Sujet sain critères de gravité Prise en charge en ville Prise en charge hospitalière
Pneumopathies Critères de gravité : · Age > 65 ans · Maladie préexistante • Patient immunodéprimé · Vomissements · insuffisance respiratoire · Signes extrarespiratoires · Pneumonie rapidement extensive.
Pneumopathies 2 ème question : Quel type d’antibiotiques mettre ? Et donc Quel est le germe en cause ?
Pneumopathies Germes en fonction du terrain, de l’histoire ou de la radio Sujet sain : Pneumocoque et mycoplasme Tabagique : Pneumocoque, Haemophilus, Alcoolique : anaérobies. . . Enfant : Haemophilus, virus Pneumonie abcédée : staphylocoque, anaérobies Histoire typique : Pneumocoque ou germes atypiques
Pneumopathies Pneumonie à Pneumocoque La plus fréquente 60 La plus grave Non traitée souvent mortelle Traitée mortalité élevée chez sujet à risque Symptomatologie aiguë : Signes infectieux ++, douleur en coup de poignard Pneumonie franche lobaire aiguë, parfois extensive rapidement Traitement en urgence Clamoxyl® 3 g/j 7 jours
Pneumopathies à germes ATYPIQUES - Mycoplasme - Légionnelle - Chlamydia pneumoniae Clinique : pneumonie frustre présence d'autres signes : ORL, diarrhée et troubles neurologiques (légionelle) Radio : Pneumopathies interstitielles moins systématisées Traitement : Macrolides(Erythromycine 3 g / j) ou Quinolones (Oflocet® 400 mg/j)
Pneumopathies Autres examens utiles: Faut il trouver la bactérie ? ? ? Þen ville, ce n'est jamais fait : traitement PROBABILISTE Þà l’hôpital il n'est pas toujours indispensable : traitement PROBABILISTE aussi MAIS si signes de gravité ou terrain fragile ou ATB préalables Þ Fibroscopie bronchique + prélèvements antibiothérapie adaptée