PLASMA CELL DYSCRASIAS Proliferation of a clone of




































- Slides: 36
PLASMA CELL DYSCRASIAS Proliferation of a clone of B-cell lineage Production of monoclonal immunoglobulin with a variable quantity of monoclonal free light chain Tissue injury (often kidney)
PLASMA CELL DYSCRASIAS
ΠΑΡΑΓΟΝΤΕΣ ΚΑΘΟΡΙΣΜΟΥ ΤΗΣ ΕΝΑΠΟΘΕΣΗΣ ΑΜΥΛΟΕΙΔΟΥΣ ΣΤΟ ΝΕΦΡΟΣ ΑΑ, AL, Fibrinogen, Lysozyme, apo. AII, apo. AI Small difference in amino-acid sequence (for familial amyloidosis) Uptake by mesangial cells (for light chains) Negative charge of the glomerular basement membrane Glycosaminoglycan content of the glomerular basement membrane Presence of proteases Local p. H Function of the amyloidogenic protein
WHY DO SOME CLONAL FLCs CAUSE KIDNEY INJURY? II. Response of mesangial cells I. Primary structure of free light chains II. Response of tubular epithelial cells
Expansion of ECM Transformation of MC phenotype Deposition of FLC-derived protein AMYLOIDOSIS LCDD
ΠΩΣ Η ΕΝΑΠΟΘΕΣΗ ΑΜΥΛΟΕΙΔΟΥΣ ΠΡΟΚΑΛΕΙ ΝΕΦΡΙΚΗ ΒΛΑΒΗ I Interactions with cell surface receptors II Amyloid fibrils accumulation Entry into cells Direct cellular toxicity by : amyloidogenic precursor proteins folding intermediates aggregates fibrils Physical disruption & malfunction of surrounding tissue
CONGO-RED
PAS
MASSON
SILVER
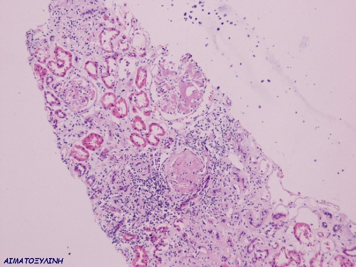
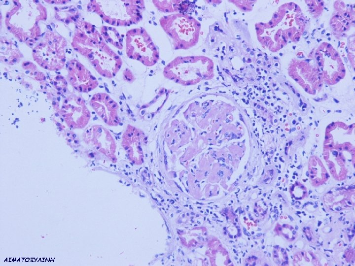
Kidney biopsy from a patient with Ig light chain (AL) amyloidosis and a monoclonal Ig. G λ protein in the serum and urine. ΚΜ: PAS χρώση ΚΜ: congo red ΑΦ: λ-αλυσιδες(++) ΑΦ: κ-αλυσιδες(+) ΚΜ: congo-red, polarized light ΗΜ: ινίδια 10 nm
ΑΜΥΛΟΕΙΔΩΣΗ AL ΘΕΡΑΠΕΙΑ AIM : Complete hematologic response Ann Intern Med 140: 85 -93, 2004 better survival
ΑΜΥΛΟΕΙΔΩΣΗ AL ΘΕΡΑΠΕΙΑ 15 years ago Melphalan+prednisone in repeated cycles over many months CR <5% Median survival from 8 -12 mo to 12 -18 mo Mid-1990 s Melphalan 140 -200 mg/m 2 (myeloablative doses) & Autologous stem cell transplantation Now HDM/SCT Tandem transplantation with a second course of HDM/SCT Oral melphalan (0. 22 mg/kg/d) +dexamethasone (40 mg/d) in 4 -day cycles each month CR 40% Median survival 4. 6 y Treatment-mortality 13%
ΑΜΥΛΟΕΙΔΩΣΗ AL ΘΕΡΑΠΕΙΑ Survival in low-risk & high-risk Survival in all 100 patients Survival in low-risk group NEJM 2007; 357: 1083 -1093
ΑΜΥΛΟΕΙΔΩΣΗ AL ΘΕΡΑΠΕΙΑ I. REFFERAL CENTER II. ELIGIBILITY CRITERIA Age>18 & <65 y Performance status 0 -2 Ejection fraction>40% SBP>90 mm. Hg Median survival in all 80 pts: 4. 75 y HDM/SCT CR: survival>10 y Non-CR: survival 50 mo 32 pts 31 pts Treatment-related mortality<5% Blood 2007; 110: 3561
RENAL AMYLOIDOSIS : Early recovery of the albumin concentration after treatment with HDM/ASCT Ann Intern Med 2004; 140: 85
ΑΜΥΛΟΕΙΔΩΣΗ AL ΘΕΡΑΠΕΙΑ Εναλλακτικές επιλογές Mel/Dex Thalidomide Lenalizomide Worsen renal function Poor tolerability Bortezomide Rapid hematological improvement with improvement of organs Peripheral neuropathy & cardiotoxicity
ΑΜΥΛΟΕΙΔΩΣΗ AL ΘΕΡΑΠΕΙΑ (HDM/ASCT in ESRD) P=0. 1 More complications The same complete response rate No difference in survival 5/15 pts : renal transplantation Kidney Int 2003; 63: 1051 -1057
Renal response after HDM/SCT is a favorable marker in patients with primary systemic amyloidosis P=0. 42 P=0. 04 AJKD 2005; 46: 270 -277
Treatment targets for systemic amyloidoses Treatment target Treatment approach Treatment status Precursor protein production or concentration Anti-plasma cell chemotherapy Anti-inflammatory agents Liver transplantation Renal transplantation Hemofiltration or absorption In use: AL Fibril formation GAG mimetics TTR stabilizers Human studies: AA Human studies: Familial Amyloid deposits GAG mimetics Iodo-deoxydoxorubucin (IDOX) Serum amyloid P (SAP) depletion Human studies: AA Human studies: AL In use: AA In use: Familial In use: DRA Human studies: AL
Eprodisate for the treatment of renal disease in AA Amyloidosis NEJM 2007; 356: 2349 -2360
Median graft survival(y) Renal transplantation outcome is influenced by amyloid type 13. 1 10. 3 5. 8 7. 3 familial 89% AA AL fibrinogen 11% AJ Transplant 2013; 13(2): 433 -441