PIED PLAT DE LENFANT Ph SOUCHET DEFINITION DIMINUTION
























































- Slides: 56
PIED PLAT DE L’ENFANT Ph. SOUCHET
DEFINITION DIMINUTION DE LA HAUTEUR NAVICULAIRE
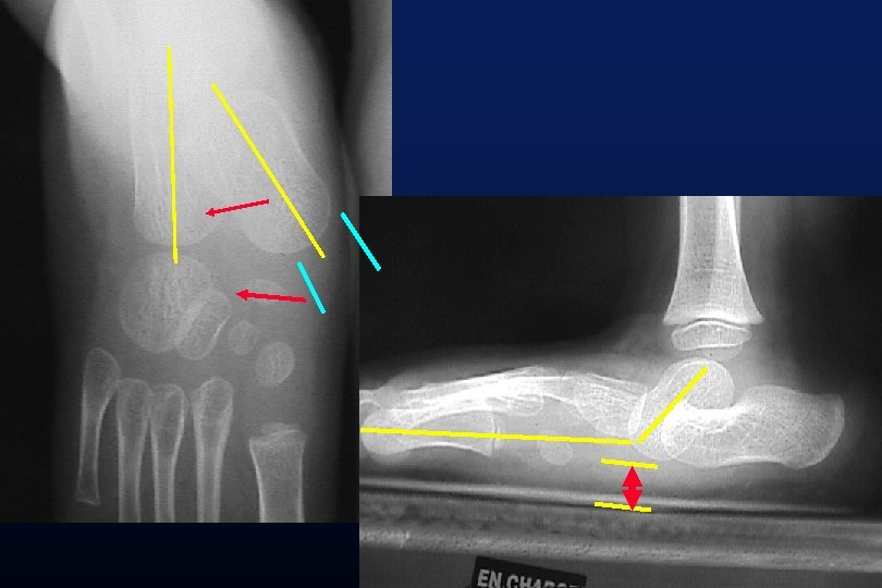
DEFINITION AUGMENTATION DE LA DIVERGENCE TALO CALCANEENNE VALGUS DU CALCANEUM
L'ARTICULATION SUB TALAIRE UNE ARTICULATION EXPOSEE
GENU VALGUM PIEDS PLATS VALGUS ARRIERE PIED TYPIQUE A 3 ANS
VALGUS REDUCTIBLE EN POSITION DIGITIGRADE
CE PIED PLAT EST-IL PATHOLOGIQUE? Pied plat statique idiopathique?
PIED PLAT PATHOLOGIQUE ? CRITERES MORPHOLOGIQUES VALGUS SUPINATION DIAGNOSTIC DIFFERENTIEL PIED EN Z PIED CONVEXE HYPER-CORRECTION DE PBVE
QUELLE NORMALITE? GENU VALGUM PIEDS PLATS VALGUS ARRIERE PIED TYPIQUE A 3 ANS
Etude d’une population témoin (160) CLASSE AGE VALGUS CALCA HNAV FDGT PS 3 4, 56 1, 08 15 MS 4 6, 3 2 12, 6 GS 5 6, 42 2, 14 7, 5 CP 6 5, 68 2, 66 10, 45 CE 1 7 6, 43 2, 65 11, 38 CE 2 8 7, 17 2, 69 10, 31 CM 1 9 7, 03 3, 05 9, 38 10 5, 42 18 enfants 5° 2 enfants 10° (10%) 3, 19 8, 5 CM 2
Chii-Jeng Journal of Pediatric Orthopaedics 21: 378 -382 2001 Age (years) 3 -3 3 -4 4 -5 5 -6 (n = 72) (n = 97) (n = 105) (n = 103) N&FF (mild) 31 (43%) 58(60%) 76(72%) 81(79%) FF (moderate) 31 (43%) 30(31%) 25(24%) 20(19%) FF (severe) 10(14%) 9(9%) 4(4%) 2(2%)
Echarri 1851 Congolese children Journal of Pediatric Orthopaedics B March 2003 Age (years) 3 -4 5 -8 9 -12 Normal (5%) (12%) (38%) FF (moderate) (30%) (43%) (40%) FF (severe) (65%) (45%) (22%) Moins de pieds plats chez les enfants qui marchent pieds nus Rao UB, Joseph B. The influence of footwear on the prevalence of flat foot. A survey of 2300 children. J Bone Joint Surg Br 1992; 74 B: 525– 527. Sachithanandam V, Joseph B. The influence of footwear on the prevalence of flat foot. A survey of 1846 skeletally mature persons. J Bone Joint Surg Br 1995; 77 B: 254– 257. Didia BC, Omu ET, Obuoforibo AA. The use of footprint contact index II for classification of flat feet in a Nigerian population. Foot Ankle 1987; 7: 285– 289.
VALGUS REDUCTIBLE EN POSITION DIGITIGRADE
PIED PLAT DE L’ENFANT: SOUPLE INDOLORE REDUCTIBLE EN POSITION DIGITIGRADE
TRAITEMENT CHIRURGICAL EXCEPTIONNEL
INTERVENTION DU CAVALIER
TRANSLATION MEDIALE ABAISSEMENT DE LA GROSSE TUBEROSITE DU CALCANEUS
Evans
PATHOLOGIE PIED PLAT PATHOLOGIE
PATHOLOGIE PIED PLAT
PATHOLOGIES MUSCULAIRES PATHOLOGIES NEUROLOGIQUES HYPERLAXITES HYPER ANTERVERSION FEMORALE OBESITE
HYPERLAXITE DU COUDE (pas la flexion dorsale de cheville) EXAMEN NEURO-ORTHOPEDIQUE Rapide mais complet EXAMEN DU RACHIS
TRICEPS COURT VARUS VALGUS PIED VALGUS INSTABILITE EN VARUS
ACTION CONTRARIEE DU TIBIAL ANTERIEUR SUPINATION DE L’AVANT PIED
Le pied plat de l'IMC • Hypotoniques (insuffisance posturale) • hypertonie des péroniers (et souvent du triceps) • compensation de l'adduction, rotation interne de hanche torsion tibiale externe
INSUFFISANCE DU TRICEPS
PATHOLOGIE PIED PLAT PATHOLOGIE
PIED PLAT PATHOLOGIE
LE PIED PLAT DOULOUREUX
Douleurs médiales : Conflit entre la saillie de la tête du talus et de l'os naviculaire d'une part, et la chaussure d'autre part. Apophysite d'insertion du tibial postérieur. (douleurs à la pression et à la contraction contre résistance). Douleurs latérales : Conflit entre calcaneum et pointe de la malléole latérale. Contracture des muscles fibulaires. Douleurs dorsales ou antéro-latérales : Mobilisation du ligament calcanéo-naviculaire Mobilisation de l'articulation de chopart Signes évoquant la présence d'une synostose de l'arrière-pied. Raideur de l’articulation sub talaire
APOPHYSITE DU TIBIAL POSTERIEUR
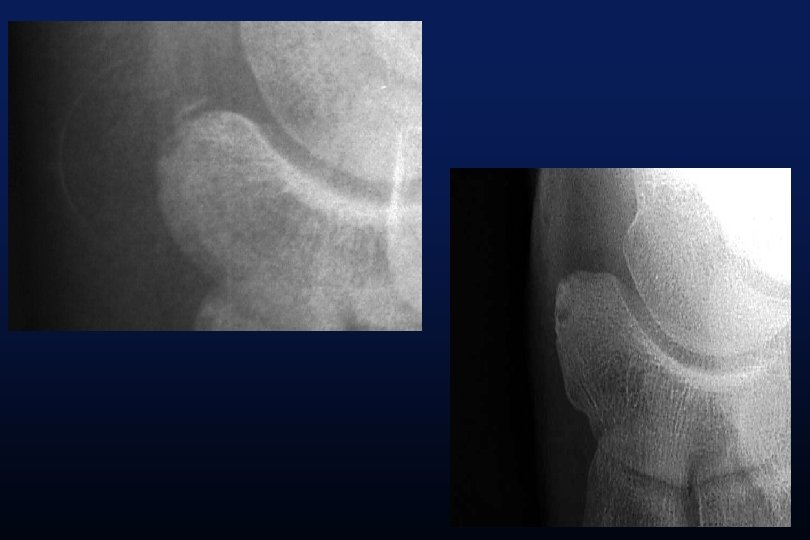
NECROSE NAVICULAIRE MALADIE DE KOHLER MOUCHET
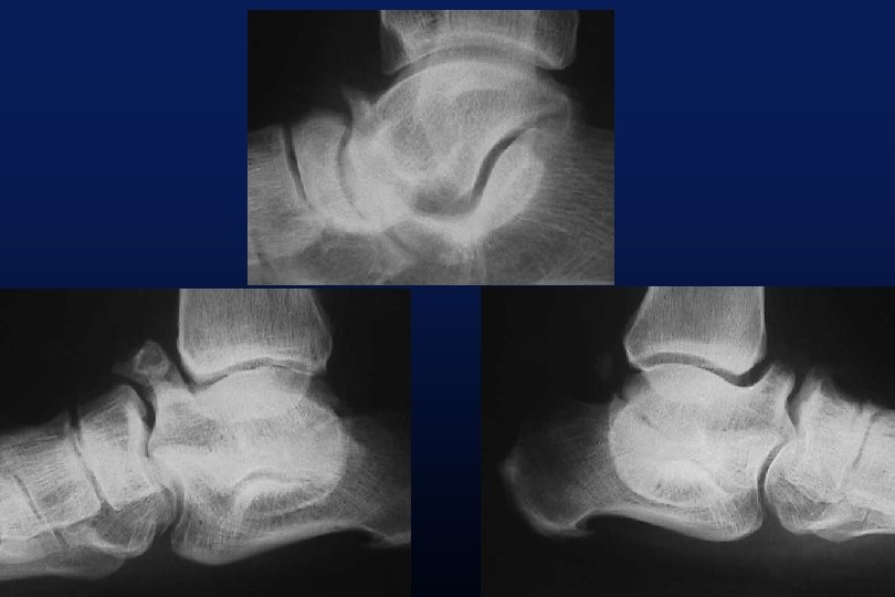
LES SYNOSTOSES DE L ’ARRIERE PIED Coalitions Tarsiennes (Tarsal Coalitions)
CALCANEO NAVICULAIRES (60%) TALO CALCANEENNES Synostoses et coalitions tarsiennes chez l'enfant. Étude de 68 cas chez 47 patients Ph. Rouvreau, J. C. Pouliquen, J. Langlais, C. Glorion, G. de Cerqueira Daltro The Too-Long Anterior Process Calcaneus: A Report of 39 Cases in 25 Children and Adolescents Pouliquen, J. C. M. D. ; Duranthon, L. D. M. D. ; Glorion, Ch. M. D. ; Kassis, B. Journal of Pediatric Orthopaedics Volume 18(3) June 1998 333 -336
Comfort 1998 Résection Coalition / surface sous talienne > 1/3 75% de mauvais résultats < 1/3 77% de bons résultats.
TRAITEMENT ADAPTE A LA PLAINTE ANTALGIQUE
ORTHESES PLANTAIRES RESECTION ARTHRODESE
CONCLUSION PIED PLAT DE L’ENFANT: PHYSIOLOGIQUE A 3 ANS SOUPLE INDOLORE REDUCTIBLE EN POSITION DIGITIGRADE RECHERCHE D’ACHILLE COURT INSTABILITE EN VARUS