PERSISTENCIA TOTAL O PARCIAL DEL CONDUCTO PERITONEOVAGINAL NORMAL

  • Slides: 50
Download presentation

PERSISTENCIA TOTAL O PARCIAL DEL CONDUCTO PERITONEO-VAGINAL

PERSISTENCIA TOTAL O PARCIAL DEL CONDUCTO PERITONEO-VAGINAL

NORMAL H. INGUINO ESCROTAL H. FUNICULAR HIDROCELE NO COMUNICANTE HIDROCELE QUISTE de COMUNICANTE CORDON

NORMAL H. INGUINO ESCROTAL H. FUNICULAR HIDROCELE NO COMUNICANTE HIDROCELE QUISTE de COMUNICANTE CORDON

FRECUENCIA 5 -8 / 1 BILATERALIDAD 30% + 70% CONTENIDO ILEON, CIEGO, EPIPLON OVARIO,

FRECUENCIA 5 -8 / 1 BILATERALIDAD 30% + 70% CONTENIDO ILEON, CIEGO, EPIPLON OVARIO, TROMPA APENDICE, SIGMA, ILEON

PREDISPONENTES EN MAYORIA: NINGUNO PRETÉRMINO ANTECEDENTES FAMILIARES DERIVACION VP S. EHLER DANLOS MPS FQP

PREDISPONENTES EN MAYORIA: NINGUNO PRETÉRMINO ANTECEDENTES FAMILIARES DERIVACION VP S. EHLER DANLOS MPS FQP

DIAGNÓSTICO ANAMNESIS : “BULTO” SEMIOLOGÍA INGUINAL BULTO TRAYECTO ENGROSADO

DIAGNÓSTICO ANAMNESIS : “BULTO” SEMIOLOGÍA INGUINAL BULTO TRAYECTO ENGROSADO

CRITERIO DIAGNÓSTICO REDUCTIBLE 1) BULTO PALPABLE Ó COERCIBLE 2) TRAYECTO ENGROSADO + HISTORIA COMPATIBLE

CRITERIO DIAGNÓSTICO REDUCTIBLE 1) BULTO PALPABLE Ó COERCIBLE 2) TRAYECTO ENGROSADO + HISTORIA COMPATIBLE

HERNIA INGUINAL DERECHA

HERNIA INGUINAL DERECHA

ASIMETRIA DE LABIOS MAYORES

ASIMETRIA DE LABIOS MAYORES

SACO OCUPADO (BULTO)

SACO OCUPADO (BULTO)

DIAGNÓSTICO DIFERENCIAL ADENOPATIAS IGUINALES VARICOCELE HERNIA CRURAL ADENOPATIAS CRURALES TUMORES TESTICULARES

DIAGNÓSTICO DIFERENCIAL ADENOPATIAS IGUINALES VARICOCELE HERNIA CRURAL ADENOPATIAS CRURALES TUMORES TESTICULARES

VACÍO HIDROCELE VS HERNIA

VACÍO HIDROCELE VS HERNIA

DIAGNÓSTICO NO PALPACION DESDE ESCROTO NO ECOGRAFÍA NUNCA HERNIOGRAFIA DE PIE Y DECUBITO C/VALSALVA

DIAGNÓSTICO NO PALPACION DESDE ESCROTO NO ECOGRAFÍA NUNCA HERNIOGRAFIA DE PIE Y DECUBITO C/VALSALVA

GRUESO FINO HERNIA HIDROCELE

GRUESO FINO HERNIA HIDROCELE

FINO

FINO

FINO

FINO

HIDROCELE A TENSIÓN A VECES DIFICIL. . . EN AGUDO, CON DUDA: EXPLORAR

HIDROCELE A TENSIÓN A VECES DIFICIL. . . EN AGUDO, CON DUDA: EXPLORAR

HIDROCELE EN NIÑO MAYOR……

HIDROCELE EN NIÑO MAYOR……

HIDROCELE EN NIÑO MAYOR……

HIDROCELE EN NIÑO MAYOR……

ADENITIS INGUINAL

ADENITIS INGUINAL

ADENITIS INGUINAL

ADENITIS INGUINAL

ADENITIS INGUINAL

ADENITIS INGUINAL

ADENITIS INGUINAL

ADENITIS INGUINAL

ASIMETRIA DE LABIOS MAYORES

ASIMETRIA DE LABIOS MAYORES

INDICACIÓN QUIRURGICA “HERNIA DIAGNOSTICADA DEBE OPERARSE”

INDICACIÓN QUIRURGICA “HERNIA DIAGNOSTICADA DEBE OPERARSE”

PREMATURO EXTREMO

PREMATURO EXTREMO

CUANTO MÁS PEQUEÑO EL NIÑO MÁS RIESGOSA ES LA HERNIA INGUINAL

CUANTO MÁS PEQUEÑO EL NIÑO MÁS RIESGOSA ES LA HERNIA INGUINAL

LA OPERACIÓN POR UNA HERNIA INGUINAL NO DEBE SUBESTIMARSE

LA OPERACIÓN POR UNA HERNIA INGUINAL NO DEBE SUBESTIMARSE

NIÑA < 1 AÑO: OPERACIÓN BILATERAL 70%

NIÑA < 1 AÑO: OPERACIÓN BILATERAL 70%

VARÓN C/BILATERAL: SIMULTÁNEO

VARÓN C/BILATERAL: SIMULTÁNEO

SACO CORDON ESPERMÁTICO CUIDAR EL DEFERENTE

SACO CORDON ESPERMÁTICO CUIDAR EL DEFERENTE

70% HIDROCELE : ESPERAR A LOS 18 -24 m LUEGO TIENE INDICACIÓN QUIRÚRGICA.

70% HIDROCELE : ESPERAR A LOS 18 -24 m LUEGO TIENE INDICACIÓN QUIRÚRGICA.

HIDROCELE A GRAN TENSIÓN OPERAR , NUNCA PUNZAR ¡¡

HIDROCELE A GRAN TENSIÓN OPERAR , NUNCA PUNZAR ¡¡

HIDROCELE > 2 AÑOS : CIRUGÍA

HIDROCELE > 2 AÑOS : CIRUGÍA

HERNIA Y ECTOPIA TESTICULAR LA HERNIA “MANDA” IDEAL OPERAR 12 -24 m

HERNIA Y ECTOPIA TESTICULAR LA HERNIA “MANDA” IDEAL OPERAR 12 -24 m

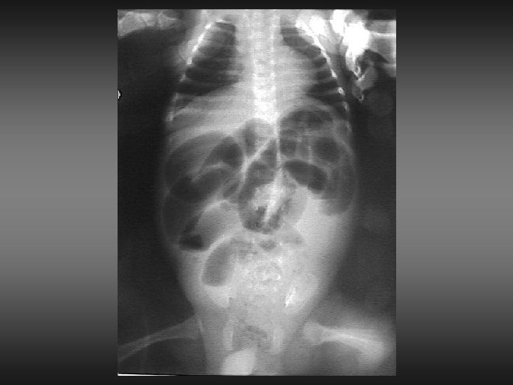
ATASCAMIENTO DAÑO INTESTINAL DAÑO TESTICULAR

ATASCAMIENTO DAÑO INTESTINAL DAÑO TESTICULAR

MANIOBRAR CON CRITERIO NUNCA ESFUERZO DESMEDIDO PREFERIBLE REDUCIR Y OPERAR 48 hs

MANIOBRAR CON CRITERIO NUNCA ESFUERZO DESMEDIDO PREFERIBLE REDUCIR Y OPERAR 48 hs

OVARIOCELE ATASCADO MÁS RIESGO MENOS REDUCTIBLE

OVARIOCELE ATASCADO MÁS RIESGO MENOS REDUCTIBLE

BLANDO Y MOVIL: OPERAR PROGRAMADO OVARIOCELE FIJO, DURO, DOLOROSO: OPERAR URGENTE

BLANDO Y MOVIL: OPERAR PROGRAMADO OVARIOCELE FIJO, DURO, DOLOROSO: OPERAR URGENTE