Periferik Yayma Dr Cengiz Canpolat Pediatrik HematolojiOnkoloji Wright







































































































- Slides: 103
Periferik Yayma Dr. Cengiz Canpolat Pediatrik Hematoloji-Onkoloji
Wright boyası • Metakromatik boya • Metanol çözücü içinde eozinle metilen mavisinin karışımından elde ediliyor. • p. H 6. 4 -6. 7 olmalı
Asidik Boya (pembe boyanma) • Yetersiz boyanma zamanı • Uzun süreli yıkama • Eski boya – Boyama zamanını uzat – Boyanın p. H’ini kontrol et – Yıkama zamanını kısalt
Bazik boyanma (koyu renkli mavi mor boyanma) • • Çok kalın yayma Uzun süreli boyama Yetersiz yıkama Boya p. H’inin alkalin olması – p. H’İ kontrol et – Boya süresini kısalt
Düzgün saha
Çok ince
Çok kalın
• Eritrosit çapının normalden küçük olmasına mikrositoz, büyük olmasına makrositoz adı verilir. • Anizositoz, eritrositlerin çapları arasında belirgin farklılık bulunmasıdır. • Hipokromi, eritrositin ortasındaki soluk boyalı alanın çapının büyümesidir. Hemoglobin sentezinin azalması sonucu meydana gelir. • Polikromazi, artık RNA içeren genç eritrositlerin normalden daha büyük olarak, pembe-gri veya pembe-mavi boyanmasıdır. Supravital boyalarla boyandığında bunların retikülosit olduğu görülür. • Poikilositoz, eritrositlerin şekillerinin birbirinden belirgin olarak farklılık göstermesidir.
ANİZOSİTOZ
POİKİLOSİTOZ
ANİZOSİTOZ, POİKİLOSİTOZ, HİPOKROMİ, MİKROSİTOZ
Hemolitik Anemi-Polikromazi
POLİKROMAZİ
BURR CELL (EKİNOSİT) • Eritrositlerde kısa, birbirine eşit uzaklıkta dikensi çıkıntılar vardır. – Üremi – Piruvat kinaz eksikliği – Eritrosit içi potasyum düzeyi düşüklüğü – Banka kanı transfüzyonundan hemen sonra – Mide kanseri veya peptik ülser kanaması
AKANTOSİT • Eritrositlerde değişik boylarda ve pozisyonda irregüler dikensi çıkıntılar vardır. – Abetalipoproteinemi – Alkolik karaciğer hastalığı – Splenektomi sonrası – Malabsorbsiyon
STOMATOSİT • Eritrositler bikonkav yapılarını kaybedip, tek yönlü konkav hale gelip, sığ bir sahana benzer. Periferik kanda ağıza benzer şekilde görülürler. – Herediter sferositoz – Herediter stomatositoz – Alkolizm, siroz, obstrüktif karaciğer hastalığı – Eritrosit sodyum pompası defekti
SFEROSİT • Eritrositler bikonkav yapılarını kaybedip küre şeklini almıştır. Yoğun hemoglobin içeriği bulunur. – Herediter sferositoz – İmmun hemolitik anemi – Transfüzyon sonrası – Su dilüsyonuna bağlı hemoliz – Fragmantasyon hemolizi
Herediter Sferositoz Vs Normal
ELİPTOSİT • Oval – uzamış eritrositler görülür. – Herediter eliptositoz – Thalassemia – Demir eksikliği – Myelofitizik anemi – Megaloblastik anemi
SİCKLE CELL (ORAK HÜCRE) • Polimerize hemoglobin S içerene eritrositlerde bipolar dikensi çıkıntılar vardır. – Orak hücre hastalıkları (SS, S-taşıyıcılığı, SC, SD, S-thalassemia vb) – Hemoglobin C-Harlem – Hemoglobin Memphis/S
ŞİSTOSİT • Eritrositler genellikle yarım disk şeklinde görülür, küçük, irregüler eritrosit fragmantları vardır. – Mikroanjiopatik hemolitik anemi (TTP, HÜS, DİC, vaskülit, glomerülonefrit vb) – Kalp kapağı hemolizi (prostetik veya patolojik kapaklar) – Ciddi yanıklar – Yürüme hemoglobinürisi
TARGET CELL (HEDEF HÜCRE) • Eritrositler çan şeklini almıştır. Periferik yaymada hedef tahtası gibi görülürler. – Obstrüktif karaciğer hastalığı – Hemoglobin (S, C) – Thalassemia – Demir eksikliği – Splenektomi sonrası – LCAT eksikliği
DAKROSİT (TEAR DROP CELL) • Eritrositler bir uçlarından çekilmiş gibidir. Gözyaşına benzer şekildedir. – Myelofibrozis ve myeloid metaplazi – Myelofitizik anemi – Thalassemia
HOWELL-JOLLY CİSİMCİĞİ • Nükleer materyal artığıdır. Retikülosit ve eritrositlerde yoğun, mavi yuvarlak granül olarak görülür. – Postsplenektomi – Megaloblastik anemi – Hiposplenizm
CABOT HALKASI • Anormal mitoz sonucu retikülositlerde görülen, bazen de katlanıp sekiz rakamı şeklini alan halkadır. – Megaloblastik anemilerde görülür
BASOFİLİK NOKTALANMA • Ribozomların patolojik presipitasyonu sonucu ortaya çıkar. Retikülositlerde dağınık mavi granülasyon görülür. – Kurşun intoksikasyonu – Thalassemiada görülür
HEINZ BODY • Eritrosit ve retikülositlerde denatüre hemoglobinler oluşturur. Supravital boyalarla görünür hale gelirler. – G-6 -PD eksikliği – Thalassemialar – Unstabil hemoglobin hastalıkları – Hemoglobin C hastalığı
PMN lökosit ve Monosit
Polimorfonükleer lökosit
Lenfosit
Lenfosit
Büyük Lenfosit
Lenfosit
Reaktif Lenfosit
Reaktif Lenfosit
Monosit
Eozinofil
Bazofil
Bazofil
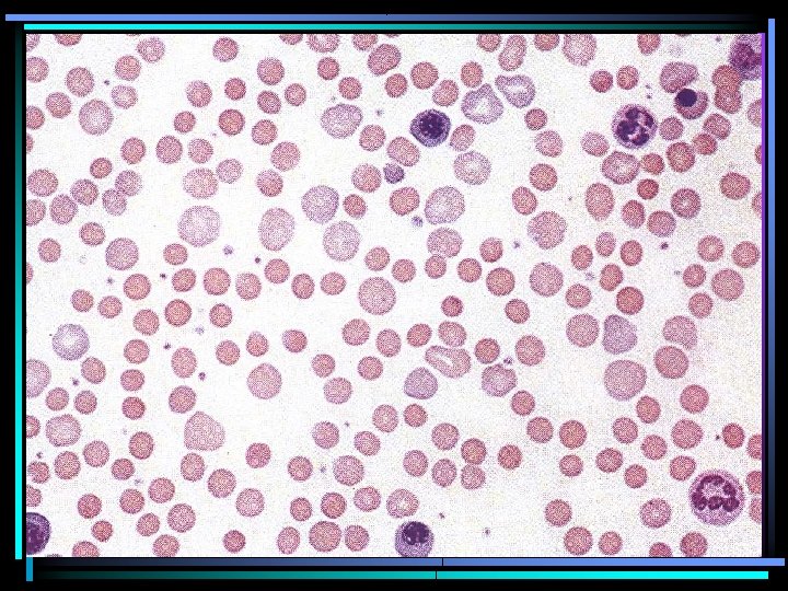
Demir Eksikliği Anemisi
Β-talassemi minör
Hemolitik Anemi-Retikülositoz
Normoblast
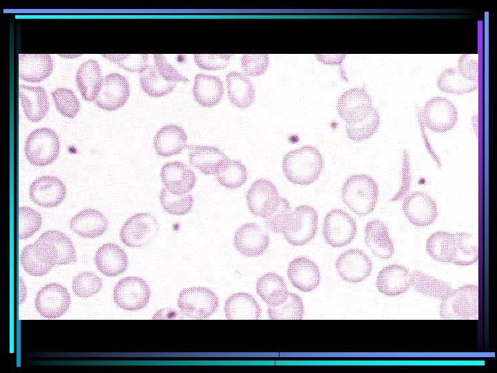
Orak Hücreli Anemi
Β-talassemi majör
Heinz Cisimcikleri
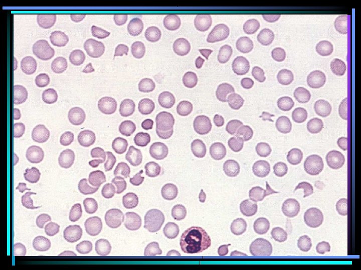
Fragmente Eritrosit
Megaloblastik Anemi
Megaloblastik Anemi
Trombosit
Dev Trombosit
Megakaryosit
BASOFİLİK ERİTROBLAST
BASOFİLİK ERİTROBLAST POLİKROMATOFİLİK ERİTROBLAST
BASOFİLİK ERİTROBLAST POLİKROMATOFİLİK ERİTROBLAST ORTOKROMİK ERİTROBLAST
MYELOBLAST
MYELOBLAST PROMYELOSİT
MYELOSİT PROMYELOSİT
MYELOSİT METAMYELOSİT
ÇOMAK MYELOSİT METAMYELOSİT
LENFOBLAST
ALL-L 1
ALL-L 1
ALL-L 2
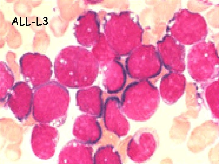
ALL-L 3
ALL Kemik İliği
AML-M 3
PROLENFOSİT
Megakaryosit