PENYAKIT MENULAR DI INDONESIA Prof Soegeng Soegijanto PENYAKIT







































































































































































- Slides: 167
PENYAKIT MENULAR DI INDONESIA Prof Soegeng Soegijanto
PENYAKIT MENULAR YANG SERING DI TEMUKAN DI INDONESIA 1. 2. 3. 4. 5. 6. 7. 8. Muntaber : Muntah berak Pneumonia : Radang Paru Meningitis/Encephalitis : Radang Otak Leptospirosis : Radang Kuning PES Campak : Gabak Rubella Mumps
1. 2. 3. 4. 5. 6. Hepatitis A, B, C Polio Meylitis Varicella : Cacar Air Dengue Virus : Demam Berdarah Demam Chikungunya Rotavirus
CARA PENULARAN PENYAKIT Kontak langsung : Cacar Air, HIV, AIDS Lewat polusi air & Makanan : Diare, Demam typus, Hepatitis A Airborn/ Droplet infektion : Mumps, Dipteri, Campak Melalui Vektor
Melalui Vektor : Nyamuk ü Tikus ü Pes ü Leptospira Anjing ü Rabies Malaria ü Dengue ü Filaria 5
Burung ü Avian Flu Kecoak ü Diare Babi ü Japanese B Encephalitis Cysticercosis ü Harimau ü ü Paragonimus Westermani Radang paru 6
PENYEBAB PENYAKIT Bakteri Virus Ricketsia Parasit
MALARIA
Malaria adalah penyakit infeksi yang disebabkan oleh protozoa parasit yang merupakan golongan plasmodium yang hidup dan berkembang biak dalam sel darah merah manusia Potofisiologi Gigitan nyamuk Anpeles, sporozoit masuk aliran darah ½-1 jam menuju untuk berkembang biak.
PENATALAKSANAAN a. Medikamentosa Choroquine sulfat oral, 25 mg/kg BB Quinine dihydrochloride intravena 1 mg gr/kg BB/dosis b. Plasmodium falciparum Quinine sulphate oral 10 mg/kg BB/dosis] c. Regimen alternatif Quinine sulphate oral Quinine dihydrochloride intravena dtambah Pyrimethamine sulphadoxine oral
DEMAM DENGUE
INFEKSI VIRUS DENGUE SELALU DIJUMPAI DI BEBERAPA KOTA BESAR INDONESIA. PERUBAHAN MUSIM HUJAN-PANAS SECARA GLOBAL PERLU DICERMATI. KEJADIAN PENYAKIT INFEKSI VIRUS DENGUE MEMINTA BANYAK KORBAN. TERGANTUNG PADA POLA PERILAKU HIDUP BERSIH DAN DIPENGARUHI DINAMIKA POPULASI MASYARAKAT
PENYAKIT DEMAM BERDARAH DENGUE PENYAKIT VIRUS DENGUE YANG DITAKUTI MASYARAKAT INDONESIA, PENDERITA DAPAT TERANCAM KEJADIAN RENJATAN, PERDARAHAN HEBAT POLA KLINIS INFENSIDENGUE SUKAR DIPREDIKSI. KEMUNGKINAN HAL INI DISEBABKAN OLEH PERUBAHAN SEROTYPE VIRUS DENGUE
GAMBAR VIRUS DENGUE
GAMBAR NYAMUK AEDES AEGYPTI
EPIDEMIOLOGI INFEKSI VIRUS DENGUE Bagan Kejadian Infeksi Virus Dengue
BAGAN SPEKTRUM KLINIS INFEKSI VIRUS DENGUE
RANGKUMAN • Pola Penyakit Virus Dengue Bervariasi • Kasus demam berdarah dengue yg menunjukkan manifestasi yang berat dapat dijelaskan akibat ADE. • Keganasan virus dengue berpotensi terjadinya Apoptosis. Virus dengue yang ganas berpotensi besar menyerang sel Retikuloendotelial sistem, termasuk organ hati dan sel endotel, akibatnya hati meradang membengkak dan faal hati terganggu dan berlanjut dengan kejadian perdarahan yang hebat disertai kesadaran menurun dan menunjukkan manifestasi Ensefalopati. • Mengatasi masalah ini perlu dipikirkan pemanfaatan cairan Ringer Asetat dan Koloid untuk mengatasi syok yg disertai gangguan fungsi hati • Diagnosa klinik infeksi virus dengue berdasarkan WHO 1997, ternyata masih terlena dg kasus 2 yg menunjukkan manifestasi klinik yg tidak lazim. Oleh karena itu, WHO mengajukan usulan kriteria klinis yg baru, disertai dg tatalaksana yg baru.
DEMAM TYFOID Soegeng Soegijanto
PENDAHULUAN Demam typoid adalah penyakit infeksi akut yang disebabkan oleh kuman gram negatif salmonella typi. Selama terjadi infeksi kuman tersebut bermultiplikasi dalam sel fagosit mononuclear dan secara berkelanjutan dilepaskan ke aliran darah
GEJALA 1. 2. 3. Panas lebih dari 7 hari, biasanya mulai dengan summer yang makin hari makin meninggi, sehingga pada minggu ke 2 panas tinggi terus menerus terutama pada malam hari Gejala gastrointestinal dapat berupa obstipasi, diare, mual, muntah dan kembung, hepatomegali, splenomegali, dan lidah kotor tepi hiperemi Gejala syaraf sentral berupa delirium, apatis, somnolen, spoor bahkan sampai koma
PENATALAKSANAAN Pengobatan penderita demam typoid dirumah sakit terdiri dari pengobatan suportuf, medikamentosa, terapi penyulit (Tergantung penyulit yang terjadi)
PENGOBATAN MEDIKA MENTOSA Clorapenicol Dosis 50 mg/kg BB/hari Ampicilin Dosis 200 mg/kg BB/hari Amoxyciline Dosis 100 mg/kg BB/hari Contrimoxazole Dosis 8 mg/kg BB/hari
PENCEGAHAN Pencegahan dilakukan secara umum dan khusus/Imunisasi Dengan melakukan peningkatan sanitasi hygine untuk menurunkan insidensi demam typoid.
DIARE
1. Echersia Coli E. Coli merupakan organisme basilus gram negatif yang motil dan membentuk rantai, species ini mempunyai mekanisme perlekatan pada epitel usus Gejala penyakit ini Mual, muntah, kejang perut sering berlangsung lama , jarang terjadi panas pada anak, tinja mengandung mucus tapi bukan leukosit
Penggunaan antimikroba 1. Polymixim E Sulfat (Colisin Tab) merupakan antibiotika yang dapat diberikan dengan penderita E. Coli 2. Golongan aminoglikosid (Kanamisin) pernah dianjurkan untuk diberikan pada bayo kurang dari 3 bulan 3. Streptomisin pernah digunakan secara luas untuk mengobati diare karena E. Coli
2. shigella Shigella merupakan kuman batang gram negatif, tidak bergerak Gejala diare dengan darah dan lendir dalam feses dan adanya tenesmus, penularannya secara fecaloral dan orang ke orang atau kontak langsung dengan alat rumah tangga.
Penggunaan antimikroba 1. Pada umumnya Kotrimoksasol (Sanprima ) merupakan antibiotik yang dianjurkan untuk Shigella 2. Asam Nalidiksat dan Ampisilin serta Tetraciklin biasanya untuk anak umur diatas 8 tahun 3. Ampicilin merupakan penicilin semisintetk yang mempunyai daya kerj mengganggu biosintesis dinding sel bakteri sehingga terjadi lisin dan kematian
3. SALMONELLA Salmonella banyak ditemukan pada daging yang terinfeksi, unggas, susu mentah, telur, dan hasil olahan telur, juga bisa ditemukan pada binatang melata yang dipelihara Gejala yang ditimbulkan awalnya mual, dan nyeri perut kram yang segera diikuti oleh diare, demam dan kadang muntah. Kuman masuk melalui makanan dan minuman yang terkontaminasi
4. VIBRIO CHOLERA Vibrionaceace merupakan kuman gram negatif, biasanya motil, berbentuk batang yang dibedakan dari entrobakteri pd reaksinya yang positif oksidase Daya tahan tubuh seperti keasaman lambung, peristaltik usus dan mekanisme imunitas mempengarui terjadinya kolera. Salah satu pertahanan paling penting adalah keasaman lambung
BEBERAPA BAKTERI PENYEBAB DIARE LAINNYA Cryptosporidium
PENCEGAHAN DIARE 1. Memperbaiki sanitasi perorang dan lingkungan Penggunaan air bersih Mencuci tangan sesudah BAB dan sebelum menyiapkan makanan Membuang tinja dengan benar, penggunaan jamban untuk BAB Mencuci bahan-bahan yang akan dimasak dengan benar dan memasak makanan dengan benar Membuang sampah pada tempatnya 2. Memperhatikan status gizi (asupan makanan dan minuman) untuk meningkatkan imunitas perorangan
PES
PES atau yang dikenal dengan plague atau black death merupakan penyakit infeksi yang disebabkan Yersinia Pestis terutama melalui gigitan pinjal, Xenopsylla cheopis yang ada pada hewan pengerat.
ETIOLOGI
MANIFESTASI KLINIS v Tipe Bubonik Pembesaran kelenjar getah bening, lunak, nyeri tekan, terasa panas dan bisa hemorragic
Tipe Pnemonik Sesak nafas hebat, batuk, demam, menggigil dan fase lanjut bisa terjadi gagal nafa v Demam tinggi (hiperpireksia > 40°C) bisa terjadi malaise, perdarahan karena Disseminated Intravascular Coagulation, sepsis, shock kejang dan bila terjadi perdarahan yang menyeluruh ditambah sianosis karena pneumonia yang sudah mengalami nekrosis akan menghasilkan kulit gelap pada ekstermitas yang dikenal dengan black death v
PENCEGAHAN Pengawasan ketat akan kasus-kasus baik infeksi pada manusia maupun hewan pengerat Penggunaan insektisida untuk mengontrol populasi pinjal disaat kaus pes pada manusia dan hewan
6/8/2021 LEPTOSPIROSIS 44
DIFINISI 4 5 Leptospirosis adalah suatu penyakit zoonosis yang disebabkan oleh mikroorganisme Leptospira interogans tanpa memandanga bentuk spesifik serotipenya. 6/8/2021
ETIOLOGI Leptospirosis disebabkan oleh genus leptospira, famili treponemataceae, suatu mikroorganisme spirochaeta. 4 6 6/8/2021
EPIDEMIOLOGI a. b. c. d. 4 7 Penyakit occupational (penyakit yang diperoleh akibat pekerjaan) Penyakit kuning yang berat disertai demam, perdarahan dan gangguan ginjal. Penyakit ini dapat menyerang semua usia, tapi sebagian besar berusia antara 10 -39 tahun. Dinegara tropis sebagian besar kasus terjadi saat musim hujan, di negara barat terjadi saat akhir panas atau awal gugur karena tanah lembab. 6/8/2021
e. Angka kematian akibat leptospirosis tergolong tinggi, mencapai 5 -40% f. Penderita di atas usia 50 tahun resiko kematian lebih besar bisa mencapai 56 persen. g. Paparan terhadap pekerja diperkirakan terjadi pada 3050% kasus. 4 8 6/8/2021
PENULARAN 4 9 6/8/2021
PATOGENESIS 5 0 6/8/2021
GAMBARAN KLINIS 5 1 6/8/2021
DIAGNOSIS Pada umumnya diagnosis awal leptospirosis sulit karena pasien biasanya datang meningitis, hepatitis, nefritis, pneumonia, influenza, sindroma syok toksik, demam yang tidak diketahui asalnya dan deatitis hemoragik, bahkan beberapa kasus datang dengan pankreatitis. Riwayat pekerjaan, sakit kepala, nyeri otot, mata merah/fotofobia, mual atau muntah. 5 2 6/8/2021
5 3 Pemeriksaan laboratorium darah rutin bisa dijumpai leukositosis, normal. Pada urin dijumpai proteinuria, leukosituria dan cast, BUN, Ureum dan kreatinin. Trombositopenia terdapat pada 50% kasus 6/8/2021
PENCEGAHAN Pencegahan leptospirosis khususnya didaerah tropis sangat sulit. Perlindungan berupa pakaian khusus, pemberian doksisiklin 200 mg perminggu untuk mengurangi serangan leptospirosis, leptospirosis dari 4 -2% menjadi 0, 2% san efikasi pencegahan 95%. Vaksinasi tersangka reservoir sudah lama direkomendasikan, belum berhasil dilakuakan. 5 4 6/8/2021
RABIES
PENGERTIAN RABIES Rabies (penyakit anjing gila) adalah penyakit hewan yang disebabkan oleh virus, bersifat akut serta menyerang susunan saraf pusat. Rabies bersifat zoonosis artinya penyakit tersebut dapat menular dari hewan ke manusia dan menyebabkan kematian pada manusia. Virus rabies dikeluarkan bersama air liur hewan yang terinfeksi dan disebarkan melalui luka gigitan atau jilatan.
TANDA DAN GEJALA 1. Stadium Prodromal Gejala awal yang terjadi sewaktu virus menyerang susunan saraf pusat adalah perasaan gelisah, demam, malaise, mual, sakit kepala, gatal, merasa seperti terbakar, kedinginan, kondisi tubuh lemah dan rasa nyeri di tenggorokan selama beberapa hari 2. Stadium Sensoris Penderita merasa nyeri, rasa panas disertai kesemutan pada tempat bekas luka kemudian disusul dengan gejala cemas dan reaksi yang berlebihan terhadap ransangan sensoris.
3. Stadium Eksitasi Tonus otot-otot akan aktivitas simpatik menjadi meninggi dengan gejala berupa eksitasi atau ketakutan berlebihan, rasa haus, ketakutan terhadap rangsangan cahaya, tiupan angin atau suara keras. Umumnya selalu merintih sebelum kesadaran hilang. Penderita menjadi bingung, gelisah, rasa tidak nyaman dan ketidak beraturan. Kebingungan menjadi semakin hebat dan berkembang menjadi argresif, halusinasi, dan selalu ketakutan. Tubuh gemetar atau kaku kejang.
4. Stadium Paralis Sebagian besar penderita rabies meninggal dalam stadium eksitasi. Kadang-kadang ditemukan juga kasus tanpa gejala-Gejala eksitasi, melainkan Paresis otot-otot yang bersifat progresif. Hal ini karena gangguan sumsum tulang belakang yang memperlihatkan gejala paresis otot-otot pernafasan
PENGENDALIAN Untuk mencegah terjadinya penularan rabies, maka anjing, kucing, atau kera dapat diberi vaksin inaktif atau yang dilemahkan (attenuated).
AVIAN FLU
PENDAHULUAN Avian Influenza adalah penyakit infeksi pada unggas yang disebabkan oleh virus influenza strain tipe A.
a) Menurut Depkes RI (2007) mengungkapkan bahwa penularan penyakit ini kepada manusia dapat melalui: Binatang : kontak langsung dengan unggas yang sakit atau produk unggas/dari unggas yang sakit b) Lingkungan : udara atau peralatan yang tercemar virus tersebut baik yang berasal dari tinja atau sekret ungas yang terserang virus flu burung (AI) c) Manusia : sangat terbatas dan tidak efisien (ditemukannya beberapa kasus dalam kelompok/cluster) d) Konsumsi produk unggas yang tidak dimasak dengan sempurna mempunyai potensi penularan virus flu burung
Gejala-gejala awal Avian Influenza atau yang sering disebut dengan flu burung seringkali sama dengan influenza musiman manusia (batuk, sakit tenggorokan, demam tinggi, sakit kepala, sakit otot, etc).
Langkah-langkah pencegahan perlu dilakukan untuk menghindari terinfeksi Flu Burung : a) Mencuci tangan pakai sabun sebelum dan sesudah makan. Cuci pula dengan sabun, peralatan memasak sebelum dan sesudah memasak serta saat menyajikan makanan. Masak unggas dan telur unggas hingga matang, b) Tidak menyentuh unggas yang sakit atau mati. Jika terlanjur, segera bersihkan tubuh dengan sabun. c) Mengandangkan dan memisahkan unggas dari pemukiman manusia. Memisahkan unggas baru dari unggas lama selama 2 minggu d) Memeriksakan diri ke Puskesmas atau rumah sakit (terutama rumah sakit rujukan pemerintah) jika mengalami gejala flu dan demam, terutama setelah berdekatan dengan unggas.
JAPANESE B ENCEPHALITIS
PENDAHULUAN Penyakit Japanese B Encephalitis (JE) disebabkan virus yang menimbulkan infeksi JE pada otak. Virus JE dibawa nyamuk Culex yang hidup di daerah Asia (dari India Timur ke Korea, Jepang, dan Indonesia). Sumber alami virus Japanese B Encephalitis adalah babi dan burung liar.
PENULARAN Penyebaran penyakit JE tidak dapat ditularkan melalui kontak Iangsung, tetapi harus melalui vektor, yaitu melalui gigitan nyamuk yang telah mengandung virus JE Masa inkubasi pada nyamuk penular antara 9 -12 hari dan nyamuk yang terinfeksi virus JE, selama hidupnya akan menjadi infektif yang dapat menularkan ke hewan dan manusia
MANIFESTASI KLINIS Pada manusia gangguan syaraf sangat dominan, terutama pada anak-anak di bawah umur 14 tahun Gejala tersebut antara lain demam (lebih dari 38°C), manifestasi neurologis yang meliputi gejala penurunan kesadaran, kaku kuduk, konvulsi, penurunan sistem motor dan sensor, manifestasi meningeal meliputi mual, irritability, dan sakit kepala
PENCEGAHAN DAN PENGENDALIAN YANG PERLU DILAKUKAN Pemberian larvasida misalnya abate pada air yang menggenang, seperti bak air, disertai dengan penyemprotan insektisida ataupun fogging untuk membunuh larva dan nyamuk dewasa secara berkala, perlu dilakukan di rumah ataupun di sekitar kandang ternak Penggunaan vaksin JE terbukti dapat menurunkan kasus JE secara signifikan
PARAGONIMUS WESTERMANI
PENDAHULUAN Paragonimus westermani merupakan cacing paru yang berasal dari kelas Trematoda, dimana bagian tubuh yang paling utama diserang adalah bagian paru.
DAUR HIDUP P. WESTERMANI
PATOLOGI DAN GEJALA KLINIS Gejala pertama di mulai dengan adanya batuk kering yang lama kelamaan menjadi batuk darah, cacing dewasa dapat pula bermigrasi ke alat–alat lain dan menimbulkan abses pada alat tersebut misalnya pada hati dan empedu. Saat larva masuk dalam saluran empedu dan menjadi dewasa, parasit ini dapat menyebabkan iritasi pada saluran empedu, penebalan dinding saluran, peradangan sel hati dan dalam stadium lanjut akan menyebabkan sirosis hati yang disertai oedema.
PENCENGAHAN Tidak memakan ikan / kepiting mentah. Apabila menkonsumsi harus sudah dimasak secara sempurna sehingga bisa dihindari terinfeksi oleh metaserkaria dalam ikan/kepiting tersebut.
CAMPAK Oleh : Prof Soegeng Soegijanto
GEJALA KLINIS Panas meningkat dan mencapai puncak pada hari ke 4 -5 pada saat ruam keluar Coryza yang terjadi sukar dibedakan dengan common cold yang berat. Membaik dengan cepat pada saat panas menurun. Conjunctivitis ditandai dengan mata merah pada conjunctiva disertai edngan keradangan dengan keluhan fotofobia. Cough merupakan akibat keradangan pada epitel saluran nafas, mencapai puncak pada saat erupsi dan menghilang setelah beberapa minggu. Muncul koplik’s spot pada sekitar 2 hari sebelum muncul ruam (hari ke 3 -4) dan cepat menghilang setelah beberapa jam atau hari. Koplik’s spot adalah sekumpulan noktah putih pada daerah epitel bucal yang merah (a grain of salt in the sea of red), yang merupakan tanda klinis yang pathognomonik untuk campak.
Ruam makulopapuler semula berwarna kemerahan. Ruam ini muncul pertama pada daerah batas rambut dan dahi, serta belakang telinga, menyebar kearah perifer sampai pada kaki. Ruam umumnya saling rengkuh sehingga pada muka dan dada menjadi confluent. Ruam ini membedakan dengan rubella yang ruamnya discrete dan tidak mengakami desquamasi. Telapak tangan dan kaki tidak mengalami desquamasi.
LANGKAH DIAGNOSTIK Anamnesis Demam tinggi terus menerus 38. 5°C atau lebih disertai batuk, pilek, nyeri menelan, mata merah dan silau bila kena cahaya (fotofobia), seringkali diikuti diare. Pada hari ke 4 -5 demam, timbul ruam kulit, didahului oleh suhu yang meningkat lebih tinggi dari semula. Pada saat ini anak dapat mengalami kejang demam. Saat ruam timbul, batuk dan diare bertambah parah sehingga anak mengalami sesak nafas atau dehidrasi.
PEMERIKSAAN FISIK Gejala klinis terjadi setelah masa tunas 10 -12 hari, terdiri dari tiga stadium : Stadium prodromal, berlangsung 2 -4 hari, ditandai dengan demam yang diikuti batuk, pilek, farings merah, nyeri menelan, stomatitis, dan konjungtivitis. Tanda patognomonik timbul enantema mukosa pipi di depan molar tiga disebut bercak koplik. Stadium erupsi, ditandai dengan timbul ruam makulo-papuler yang bertahan selama 5 -6 hari. Timbul ruam dimulai dari batas rambut di belakang telinga, kemudian menyebar ke wajah, leher dan akhirnya ke ekstrimitas. Stadium penyembuhan (konvalesens), setelah 3 hari ruam berangsur-angsur menghilang sesuai urutan timbulnya. Ruam kulit menjadi kehitaman dan mengelupas yang menghilang setelah 1 -2 minggu. Saat penting untuk menentukan status gizi penderita, untuk mewaspadai timbul komplikasi. Gizi buruk merupakan resiko komplikasi berat.
PEMERIKSAAN PENUNJANG Laboratorium Darah tepi : jumlah leukosit normal atau meningkat apabila ada komplikasi infeksi bakteri Pemeriksaan antibodi Ig. M anti campak Pemeriksaan untuk komplikasi : 1. Ensefalopati/ensefalitis : dilakukan pemeriksaan caiaran serebrospinalis, kadar elektrolit darah dan analisis gas darah. 2. Enteritis : feses lengkap 3. Bronkopneumonia : dilakukan pemeriksaan foto dada dan analisis gas darah
DIAGNOSIS Ditegakkan berdasarkan : Anamnesis, tanda klinis dan tanda yang patognomonik Pemeriksaan serologic atau virologik yang positif
DIAGNOSIS BANDING Ruam kulit eksantema akut yang lain seperti : Rubella Roseola infantum (eksantema subitum) Infeksi mononukleosus Erupsi obat
KOMPLIKASI Campak menjadi berat pada pasien dengan gizi buruk dan anak yang lebih kecil Diare dapat diikuti dehidrasi Otitis media Laringotrakeobronkitis (croup) Broncopneumonia Ensefalitis akut Reaktivasi tuberculosis Malnutrisi pasca serangan campak Subacute sclerosing panencephalitis (SSPE), suatu proses degeneratif susunan saraf pusat dengan gejala karakteristik terjadi deteriorisasi tingkah laku dan intelektual, diikuti kejang. Salah satu komplikasi campak onset lambat disebabkan oleh infeksi virus yang menetap, timbul beberapa tahun setelah infeksi.
TATALAKSANAN MEDIK 1. Pengobatan bersifat suprtif, terdiri dari : Pemberian cukup caiaran Kalori dam jenis makanan yang disesuaikan dengan tingkat kesadaran dan komplikasi Suplemen nutrisi Antibiotic diberikan apabila terjadi infeksi sekunder Anti konvulsi apabila terjadi kejang Pemberian vitamin A 2. Indikasi rawat inap : hiperpireksia (suhu > 39. 0°C), dehidrasi, kejang, asupan oral sulit, atau ada komplikasi
3. Campak tanpa komplikasi : Hindari penularan Tirah baring ditempat tidur Vitamin A 100. 000 IU, apabila disertai malnutrisi dilanjutkan 1500 IU tiap hari Diet makanan cukup cairan, kalori yang memadai. Jenis makanan disesuaikan dengan tingkat kesadaran pasien dan komplikasi.
4. Campak dengan komplikasi : a. Ensefalopati/ensefalitis Antibiotic bila diperlukan, antivirus dan lainya sesuai dengan Pedoman Diagnosis Terapi (PDT) ensefalitis Kartikosteroid bila diperlukan sesuai dengan PDT ensefalitis Kebutuhan jumlah cairan disesuaikan dengan kebutuhan serta koreksi terhadap gangguan elektrolit
b. Bronkopneumonia : Antibiotic sesuai dengan PDT pnwumonia Oksigen nasal atau dengan masker Koreksi gangguan keseimbangan asam-basa, gas darah dan elektrolit c. Enteritis : koreksi dehidrasi sesuai derajat (lihat bab enteritis dehidrasi) d. Pada kasus campak dengan komplikasi bronchopneumonia dan gizi kurang. Perlu dipanrtau terhadap infeksi TB laten. Pantau gejala klinis serta lakukan uji tuberculin setelah 1 -3 bulan penyembuhan. e. Pantau keadaan gizi untuk kurang/buruk
TATALAKSANA EPIDEMOLOGI 1. Imunisasi campak termasuk dalam program imunisasi sejak tahun 1982, angka cakupan imunisasi munurun <80% dalam 3 tahun terakhir sehingga masih dijumpai daerah kantong risikko tinggi transmisi virus campak. 2. Srategi reduksi campak terdiri dari : Pemberian vitamin A pasien campak Imunisasi campak PPI : Pemberian pada umur 9 bulan Imunisasi campak dapat diberikan bersama vaksin MMR pada umur 12 -15 bulan Mass campaign, bersama dengan Pekan Imunisasi nasional Cath-up immunisasi, diberikan pada anak sekolah dasar kelas 1 -6 disertai dengan keep up dan strengthening 3. Survielands
INFEKSI RUBELLA Prof Soegeng Soegijanto
PENDAHULUAN Rubella (German measles) adalah penyakit ringan yang menyerang anak-anak namun merupakan ancaman yang serius untuk janin, jika ibu mendapatkan infeksi pada masa kehamilan.
EPIDEMOLOGI Sebelum dilakukan vaksinasi terhadap rubella tahun 1969, pendemic rubella terjadi setiap 6 -9 tahun, yang puncaknya terjadi pada musim semi. Sejak tahun 1969, ketika vaksin untuk rubella dilakukan , anak-anak secara rutin divaksinasi , membantu mencegah penyebaran penyakit ke ibu hamil yang rentan. Manusia adalah satunya inang dari virus rubella, yang disebabkan baik melalui oral droplet atau transplasental kepada janin, yang menyebabkan infeksi congenital.
PATOGENESIS Patogenesis infeksi rubella tidak dimengerti secara baik. Virus dapat ditemukan diarea kulit yang terinfeksi maupun yang tidak terinfeksi. Hal ini menunjukkan bahwa proses imun berperan penting. Resiko terjadinya kelainan dan penyakit congenital meningkat dengan infeksi ibu hamil primer pada masa trimester pertama kehamilan
MANIFESTASI KLINIS Virus Rubella memiliki masa inkubasi 14 -21 hari. Pada fase prodromal terjadi inflamasi ringan mukosa mulut atau hidung sehingga menyebabkan meningkatnya aliran mucus disana, dan ini bisa sangat ringan sehingga tidak terdeteksi. Tanda yang paling khas adalah limfadenopati diretroaurikuler, cervical posterior dan postoccipital.
PEDOMAN LAB DIAGNOSTIK INFEKSI RUBELLA Saring diagnostik klinis dengan adanya satu atau lebih gejala klinis khusus sindrome Rubella Isolasi virus Pemeriksaan serologis Memantau filter Ig. M/Ig. G dengan mikro elisa Hemmagglutinasi pasif
TATA LAKSANA Pengobatan hanya bersifat supportif. Antipiretik (Acetaminophen atau ibuprofen) diberikan jika demam
PENCEGAHAN Imunisasi kedua diberikan pada 4 -6 tahun dan anak-anak yang tidak mendapat imunisasi seharusnya diimunisasi pada usia 11 -12 tahun.
PAROTITIS EPIDEMIKA (MUMPS) Soegeng Soegijanto Guru Besar Emeritus FK UNAIR Surabaya 101 Ketua Tim Penelitian DBD ITD UNAIR Surabaya
Pendahuluan • Parotitis epidemika atau dikenal sebagai penyakit gondong, merupakan penyakit yang disebabkan paramyxo virus akut. • Sering menyerang anak-anak yang berumur lebih dari 5 tahun dan lebih muda dari 9 tahun. • Anak-anak dibawah 1 tahun jarang diserang penyakit ini, disebabkan kekebalan yang diperoleh secara alami dari ibunya. 102
• Penyakit ini sering ditemukan disaat perubahan musim, terutama di musim dingin. • Prognosanya baik, dapat sembuh sempurna. Walaupun demikian dapat menunjukkan penyulit pada beberapa kasus. • Penyakit ini ditularkan secara droplet infeksi, yaitu ludah disemburkan ke orang lain yang ada di dekatnya. 103
• Virus berada dalam kelenjar ludah selama 6 hari sebelum hari kesembilan munculnya gejala gondong. • Periode inkubasi sekitar 14 -25 hari. Rata-rata 18 hari. Umumnya penderita-penderita itu akan memperoleh kekebalan seumur hidup, setelah mengidap sakit. 104
Pencegahan • Pencegahan diberikan pada umur 15 bulan. Vaksinnya tercampur dengan virus-virus lain. Yaitu virus campak dan cacar Jerman. Disebut MMR. • Sebaiknya juga diberikan saat remaja (saat pubertas), setelah umur 12 tahun. 105
Gejala Klinis • 30% kasus tidak menunjukkan gejala, diawali dengan gejala perut mual, sekitar 24 jam berwujud gejala nyeri otot, tidak suka makan, lemah, nyeri kepala, dan demam ringan. • Gejala parotitis epidemika ini akan diikuti dengan gejala nyeri telinga disaat makan dan selanjutnya terjadi pembesaran kelenjar ludah yang letaknya berada di bawah telinga. • Suhu tubuh dapat meningkat dari 38, 30 sampai 400 C, disertai nyeri saat menelan air. 106
Pemeriksaan serologi antibodi dapat dikerjakan bila gejala pembesaran kelenjar ludah dibawah telinga tidak ditemukan dengan membandingkan kadar antibodi saat fase akut dan fase penyembuhan. (3 minggu setelah fase akut). Akan ditemukan kenaikan titer antibodi 4 kali. 107
Pengobatan Secara simptomatik dengan memperhatikan gejala-gejala yang muncul. Diberikan cairan secara intravena apabila penderita menunjukkan gejala kekurangan cairan. Makanan boleh diberikan yang disukai oleh penderita. 108
Prof Soegeng Soegijanto
Hepatitis virus adalah istilah yang dipakai untuk infeksi virus, dengan hati merupakan organ sasaran dominan
HAV ada diseluruh dunia sangat menular, Cara penularan yang dominan adalah melalui Fecal-Oral melalui orang ke orang langsung menyebar atau dengan penelanan makanan atau air yang terkontaminasi
HAV membelah in vitro dalam sel hepatoma manusia dan fibroblas diploid tanpa menghasilkan perubahan sitopati, keadaan ini tampak juga pada keadaan hepatosit in viro. Sesudah inoklusi melalui mulut, pembelahan virus terjadi dalam hati disertai masa viremia singkat, bersamanya virus dieksresikan ke dalam tinja. Pada infeksi manusia dan eksperimental akut , HAV ditemukan dalam sitoplasma hepatosit dan menghilang bersama dengan penyembuhan kerusakan hati.
Stadium pra-ikterik : stadium ini berlangsung selama 4 -7 hari Pasien mengeluh sakit kepala, lemah, anoreksia, mual, muntah demam (<39ºC) Stadium Ikteri : Stadium ini berlangsung 3 -6 minggu Urine yang berwarna kuning tua, seperti teh atau gelap. Gejala anoreksia dan muntah tambah berat Stadium pasca ikterik : Pada stadium ini ikterik mereda, warna urine dan tinja menjadi normal lagi
Imunisasi aktif Anak Imunisasi Havrix 1 flakon (0, 5) berisis 720 EIU Avaxim setiap 0, 5 ml mengandung 160 unit antigen virus hepatitis A yang dimatikan Imunisasi pasif Dengan memberikan Imunoglobulin dosis yang dianjurkan 0. 02 ml/kg BB
TETANUS Soegeng Soegijanto
PENDAHULUAN Tetanus adalah penyakit toksemik akut yang disebabkan oleh Clostridium Tetani, dengan tanda utama kekakuan otot (spasme) disertai gangguan kesadaran
GEJALA KLINIS Gejala yang dominan adalah kekakuan otot bergaris yang disusul dengan kejang tonik dan klonik Gejala awal trismus : pada neonatus sulit menetek, mulut mecucu. Pada anak yang sudah besar berupa trismus, akibat kekakuan otot messeter, disertai kaku kuduk
PENATALAKSANAAN v ü ü Terapi dasar tetanus Antibiotik diberikan selama 10 hari, 2 minggu bila ada kompilkasi Penicilline procaine 5000 IU/kg BB/kali im, tiap 12 jam Metronidazole loading dose 15 mg/kg. BB/jam, selanjutnya 7, 5 mg/kg. BB/tiap 6 jam Imunisasi aktif-pasif Anti tetanus serum (ATS) 5000 -10. 000 IU diberikan im. Untuk neonatus bisa diberikan iv Dilakukan imunisasi DT/TT/DPT pada sisi yang lain pada saat bersamaan
Anti konvulsi ü Bila datang dengan kejang beri diadepam - Neonatus bolus 5 mg iv - Anak bolus 10 mg iv ü Dosis rumatan maksimal - Anak 240 mg/hari - Neonatus 120 mg/hari v v ü ü ü Terapi Supportif Bebaskan jalan nafas Hindari aspirasi Pemberian O 2 Perawatan dengan stimulasi maksimal Pemberian cairan yang adekuat Pemantauan /monitoring kejang dan tanda penyulit
PENCEGAHAN ü ü ü Imunisasi Aktif Imunisasi dasar Dipheri Pertusis Tetanus (DPT) diberikan 3 X sejak usia 2 bulan dengan interval 4 -6 minggu, ulangan pada umur 18 bulan 5 tahun Eliminasi tetanus neonatorum dilakukan imunisasi TT pada ibu hamil, wanita usia subur, minimal 5 x suntikan toksoid Pencegahan pada luka Luka dibersihkan, jaringan necrotik dan benda asing dibuan
DIFTERI Prof. Soegeng Soegiatno Sp. A (K) FK UWKS 2013
DEFINISI Penyakit yang disebabkan kuman difteri yang ditularkan lewat droplet infection lewat saluran pernafasan. (mulut, hidung dll) Awalnya menyerang kulit disebut difteri kulit. Pada luka di kaki dengan adanya selaput putih pada luka Dapat terjadi pada bagian alat kelamin.
MANIFESTASI KLINIK Toxin difteri menyebabkan timbulnya: Demam (sumer / subfebris) Disfagia Miokarditis dapat terjadi akibat toxin yang menyebar menuju jantung
Pada mulut dapat ditemukan adanya pseudomembran atau besslag berupa selaput putih yang berdarah ketika di sentuh. Di dekat uvula, tonsil, faring dan laring. Pseudomembran terbentuk akibat reaksi radang dan penumpukan sel radang yang terjadi sehingga terbentuk suatu selaput. Mulut stomatitis diphteria Hidung rhinitis diphteria Laring Laryingitis diphteria yang ditandai dengan tidak berbicara karena sakit tenggorok SANGAT MENULAR!
PEMERIKSAAN PENUNJANG EKG jika terjadi Miokarditis
PENYULIT Tidak imunisasi / vaksinasi Tidak berobat
PENATALAKSANAAN JIKA SESAK TRAKEOSTOMI ADS (Anti Difteri Serum) sesuai kondisi Penicilin procain Anti piretik kp
PENATALAKSANAAN Pada Miokarditis maka dilarang berolahraga dan beraktivitas terlalu berat karena dapat mengakibatkan kematian mendadak.
PROGNOSIS Dapat terjadi Miokarditis dengan gejala Plegmon prognosis Buruk Gagal nafas jika membran yang menutupi banyak dan tebal Prognosis Buruk
PENCEGAHAN Vaksinasi DPT 15 bulan, lalu diulang tiap 3 tahun.
PERTUSSIS 132 Prof. Soegeng Soegijanto
PERTUSSIS (BATUK REJAN) Pertusis adalah suatu penyakit infeksi akut pada saluran pernafasan yang disebabkan oleh bakteri Bordetella Pertussis. Penyakit ini dapat menyerang siapa saja yang susceptable, biasanya menyerang anak-anak dan apabila mengenai golongan umur sangat muda dapat berakibat serius. 133
a. b. c. Penyakit ini mulai dikenal pada abad ke – 16. Pada abad ke – 19 penyakit ini merupakan pembunuh yang utama pada bayi diseluruh dunia, tinnginya angka kematian bayi dari beberapa negara sedang berkembang hingga kini masih ada. Upaya pembuatan vaksin baru dapat dilakukan pada tahun 1930 – an. 134
ETIOLOGI a. b. c. Bordetella, Pertusssis, Bordetella Parapertussis Adeno virus type 1, 2, 3 dan 5 dikatakan dapat menimbilkan sindroma yang sama. Kuman gram negatif berbentuk batang, non motil dan tidak membentuk spora. Vaksin pertusis acelular, komponen tersebut adalah asal di Filamentory Hemagglutinin (FHA) dan Pertusis Toksin atau Limfositosis Promoting Factor (LPF) 135
PATHOGENESIS a. b. Masuknya kuman per inhalasi ke dalam saluran pernafasan. Melekat pada cilia dari trachea, bronchi dan disusul dengan hilangnya fungsi serta diakhiri dengan rusaknya cilia tersebut. 136
Gejala batuk dapat timbul disebabkan oleh terganggunya mekanisme keluarnya lendir dari rongga bronchi penimbuhan lendir mucoid yang menimbulkan yang bersifat tidak efektif, berulang, paroksismal. Stadium lebih lanjut dapat menimbulkan obstruksi bronchus (atelektase), sekunder infeksi (pneumonia) Pertussis encephalopathy belum jelas mekanismenya karena anoxia, cerebral dan hemorhage. 137
EPIDEMIOLOGI o o o pertussis adalah termasuk penyakit yang sangat menular. Attack rate populase yang susceptable mencapai kurang lebih 90%. Penularan melalui kontak langsung. Penyakit ini sangat menular pada stadium catarrhal (minggu pertama sakit) dan penyakit ini tidak tergantung pada muasim. 138
MANIFESTASI KLINIS o o Periode inkubasi penyakit pertussis adalah 6– 20 hari, dengan rata – rata sekitar 7– 10 hari. Penyakit ini dapat berlangsung sampai 6 -8 minggu. Dikenal 3 stadium pada penyakit pertusis yaitu catarrhal, paraxismal dan convalescent. 139
KOMPLIKASI Ada 6 macam komplikasi yaitu : o Pneumonia o Atelektase o Emfisema o Bronchiektase o Otitis media o Aktivasi tuberculosa yang laten 140
PENGOBATAN Antibiotika dengan memakai Erythomycin 50 mg/kg BB/hari atau Ampicilin 100 mg/kg BB/hari selama 3 -4 hari. 141
PENCEGAHAN Vaksin dengan pemberiannya dilakukan bersama-sama dengan difteri dan tetanus dalam bentuk vaksin DTP. Usia 2 bulan sebanyak 3 kali dengan interval 4 -8 minggu. Suntikan ulangan pertama (buster 1) dilakukan satu tahun kemudian. Sedangkan ulangan kedua (buster 2) 3 tahun sesudahnya. 142
POLIO Prof Soegeng Soegijanto
PENDAHULUAN Poliomielitis atau penyakit polio adalah penyakit infeksi akut yang disebabkan oleh virus polio dan dapat mengakibatkan terjadinya kelumpuhan yang permanen.
PATOGENESIS Virus ditularkan oleh infeksi droplet dari orofaring (Saliva) atau tinja penderita yang infeksius. Penularan langsung dari manusia pada waktu 3 hari sebelum dan sesudah masa prodromal
MANIFESTASI KLINIS Secara umum infeksi virus polio pada seseorang akan memberikan gambaran sebagai berikut : 1. Inapparent Infection, tanpa gejala klinis, subklinis, infeksi subklinis ini terjadi sebanyak 95% 2. Infeksi ringan (4 -8%) tidak ada perubahan laboratorium dan gejala infeksi SSP 3. Abortive poliomielitis 4. Aseptic meningitis 5. Flaccid paralytic poliomeilitis 6. Post polio syndrome
PENGOBATAN Tata laksana mencegah kecacatan sedini mungkin yang meliputi upaya-upaya : 1. Pemberian intake nutrisi yang adekuat 2. Istirahat ditempat tidur 3. Cegah aktivitas berlebihan pada fase akut 4. Pengaturan posisi yang benar dan nyaman, latihan luas gerak sendi secara pasif 5. Berikan obat-obatan analgetik dan antispasme jika nyeri ototot
PROGRAM PENCEGAHAN IMUNISASI POLIO Imunisasi rutin bertujuan memberi kekebalan pada resipen masyarat luas Imunisasi suplemen diberikan untuk memutus rantai penularan dan trnasmisi virus polio liar Eradikasi Global Tujuannya pemberantasan virus polio liar di dunia, dan menghilangkan trasmisi dan membuat dunia bebas dari polio VAPP (Vaccine Associated Paralytic Poliomielitis) VDPV (Vaccine Derived Polio Virus)
INFEKSI HAEMOPHILLUS INFLUENZAE TIPE B (HIB) Prof. Soegeng Soegiatno Sp. A (K) FK UWKS 2014
PENDAHULUAN Dinegara yang sedang berkembang diasumsikan bahwa penyakit infeksi (Haemophillus Influenzae) tipe B banyak menyerang anak-anak
EPIDEMOLOGI Penyakit infeksi kuman (Haemophillus Influenzae) lebih dari 95% menyerang pada anak. Walaupun 5 tipe kuman HI yang berkapsul jarang menjadi suatu penyebab penyakit, kuman (Haemophillus Influenzae) yang tidak berkapsul dapat juga menyebabkan penyakit pada sekelompok populasi tertentu.
Insiden keseluruhan meningitis HIB meningkat 4 x lipat dari tahun 1940 ke tahun 1960. Alasannya belum diketahui, tatapi diasumsikan karena : Teknik pemeriksaan lab yang lebih baik Meningkatnya kemampuan pengalaman mendiagnosis penyakit HIB Distribusi umur penderita pada tahun 1970 tidak berubah dibandingkan dengan penderita yang ditemukan pada tahun 1930
PATOGENESIS Infeksi HIB disaluran pernafasan bagian atas berhubungan erat dengan hasil isolasi strain kuman yang berkapsul. Berdasarkan pernyataan ini Pfeiffer mengemukakan bahwa pandemi influenza dapat diasumsikan karena penyebaran kuman influenza.
MANIFESTASI KLINIS 1. 2. 3. 4. 5. Meningitis Pneumonia Epoglotis Artristik Septik Selulitis
PENGOBATAN Ampicilin 200 -300 mg/ kg. BB/hari dikombinasi dengan Chlorapenicol 100 mg/kg. BB/hari Apabila dijumpai resistensi kuman, dipilih obat kombinasi dengan β Lactam seperti moxalactam, atau obat seperti Cephalospurin, Cefotoxine, Ceftriaxone
PENGOBATAN Upaya pencegahan penyakit HIB dapat dilaksanakan pasif dan aktif imunisasi dengan vaksin HBOC dan BP Ig Adapun 3 terbaru dengan vaksin PRPD, HBOC, PRP. OMP
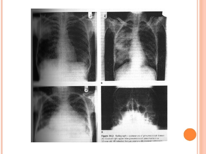
PNEUMOCOCCAL DISEASES Prof Soegeng Soegijanto, dr. Sp. A(K), DTM&H
Streptococcus Pneumoniae the pneumococcus, is a ubiquitous human respiratory bacterial phatogen, well know for its association with pneumonia and meningitis.
No significant animal reservoir of infection exiss and pneumococcus cal transmission is a consequence of human cantact and aninescapable fact of human life.
ROTAVIRUS Soegeng Soegijanto
EPIDEMOLOGY Most human infections result from contact with infected persons. Rotavirus (RV) infections occur in many animal species, but transmission from animals to humans has not been documented. However, reassortment between human and animal rotaviruses have occurred and can generated new serotypes. Rotavirus in infected patients is present in high titer in stool, which is the only body specimen consistently positive for the virus. It is present in stool before the onset of diarrhea, and can persist for as long as 10 days after the onset of symtoms in normal hosts. Transmission is presumed to be by the fecal –oral route. The incubation period is usually from 1 to 3 days.
CLINICAL MANIFESTATION Infection can result in diarrhea, usually preceded or accompanied by emesis and low grade fever. In severe cases, dehydration, electrolyte abnormalities, and acidosis may occur and result in neurologic signs. In immunocompromised children, including those with HIV infection, persistent infection with manifestations of multisystem involvement can develop.
DIAGNOSTIC TESTS Enzyme immunoassay (EIA) and latex agglutination assay for group A RV antigen detection in stool are commercially available. Both types of assay are useful for the detection of RV antigens during diarrhea. However, EIAs are more sensitive for the detection of antigen late in the course of illness.
TREATMENT No specific antiviral therapy is available. Oral or parenteral fluids are given to prevent and correct dehydration.