Pelvic Inflammatory Disease PID Mohamed Rocca M D

































- Slides: 33
Pelvic Inflammatory Disease (PID) Mohamed Rocca M. D.
PID Synonym : Salpingo-oophoritis Definition: Inflammation of both Fallopian tubes, both ovaries, parametrium and surrounding pelvic peritoneum. + Almost always bilateral + Uterus may be involved
PID Source of infection: 1. Ascending infection - STD - invasive gyn. procedure 2. Spread from nearby structure 3. Blood born spread e. g. Appendicitis e. g. Tuberculosis
PID Causative organisms: - Usually poly-microbial - Anaerobic organisms are common - In USA, N. gonorrhea & C. trachomatis > 2/3 of the cases
PID Incidence Increased: - menstruating women - sexually active women - multiple partners - IUD users - history of minor gynecological procedures - altered vaginal p. H Decreased: - during pregnancy - before menarche - after menopause - OC pill users - condom users
PID Complications Acute PID - Pelvic peritonitis & pelvic abscess - Generalized peritonitis Chronic PID - Infertility - Ectopic pregnancy
PID Acute PID Chronic PID
Acute PID • Clinical picture: C/O: . Fever. Anorexia, nausea & vomiting. Malaise. Chills & rigors. Acute dull aching pelvic pain. Mucopurulent vaginal discharge
Acute PID Clinical picture: O/E: . Fever > 38. 3 C. Tachycardia. Toxic look. Lower abdominal tenderness, rebound & rigidity. Adnexal tenderness. Tenderness on cervical mobility. Mucopurulent leucorrhea
Acute PID D. D: 1. acute appendicitis 2. slowly disturbed tubal ectopic pregnancy 3. acute diverticulitis 4. complicated ovarian cyst ( torsion, rupture)
Acute PID Diagnosis: A. History: - recent menstruation - IUD user - invasive gynecological procedure - new sexual relation B. Clinical picture C. Investigations: - blood ( leucocytosis, ESR, CRP) - saline mount of vaginal discharge (excess WBC) - culture of cervical discharge (organism) - D. laparoscopy (erythema, edema, exudate)
Acute PID Treatment: - Rest - Adequate fluid intake - Analgesics & antipyretics - Antibiotics (broad spectrum with anaerobic coverage) - If no improvement after 48 hours, hospitalization +IV antibiotics - IUD removal - If pelvic abscess forms, surgical drainage through posterior fornix
Chronic PID - There may or may not be history of an acute episode - Acute exacerbations usually develop whenever the patient’s immunity is compromised
Chronic PID - Chronic inflammation may result in occlusion of one or both ends of the tube, accumulation of fluid within the tubal lumen, tubal distension serous fluid hydrosalpinx purulent fluid pyosalpinx - Healing of the inflamed pelvic structures will result in adhesion formation mainly posterior to the uterus. These adhesions may be: mild severe
Chronic PID Clinical picture: C/O: . Pelvic pain (persistent, dyspareunia, congestive dysmenorrhea). Chronic ill health. Menorrhagia & DUB. infertility
Chronic PID Clinical picture: O/E: . Patient looks toxic. Lower abdominal & pelvic tenderness. Fixed RVF uterus. Cystic pelvic mass (hydrosalpinx, pyosalpinx, tubo-ovarian abscess)
Chronic PID D. D. : 1. pelvic endometriosis 2. cystic pelvic masses
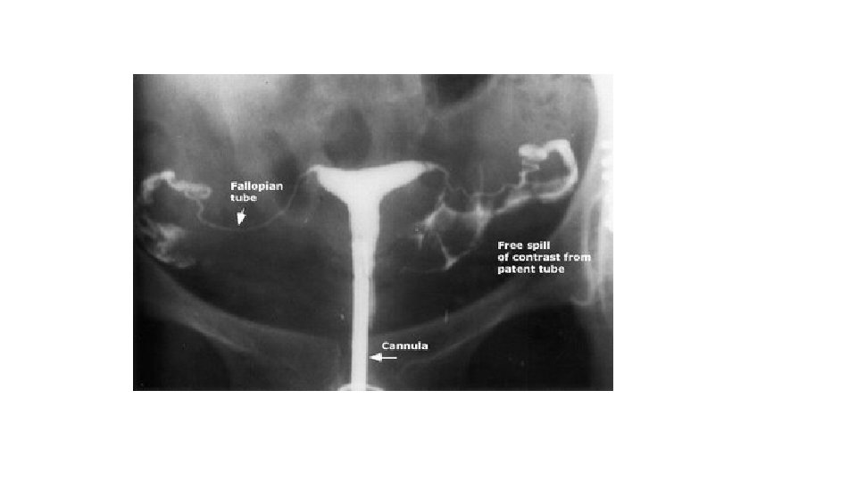
Chronic PID Investigations: . Pelvic ultrasound fixed RVF uterus, cystic pelvic mass . HSG tubal obstruction, hydrosalpinx . D laparoscopy pelvic adhesions (frozen pelvis) pelvic mass
Chronic PID Treatment: * No problem of infertility: - Conservative (analgesics, anti-inflammatory drugs, antibiotics) usually fails - Surgical Hysterectomy + BSO
Chronic PID • Treatment * infertility problem - ART ( ICSI ) - Tubal ligation before ICSI (hydro or pyosalpinx ) - Laparoscopic adhesiolysis