Pediatric Urology Emergencies Ahmed AlSayyad MD FRCSC Assistant








































































- Slides: 72
Pediatric Urology Emergencies Ahmed Al-Sayyad MD, FRCSC Assistant Professor-King Abdulaziz University
Pediatric Urology Emergencies • • Acute scrotum GU Trauma Priapism Paraphimosis PUV Urosepsis in association of obstruction Urolithiasis
Acute scrotum • Torsion of the spermatic cord Torsion of the appendix testis Torsion of the appendix epididymis Epididymitis Epididymo-orchitis Inguinal hernia Communicating hydrocele Hydrocele of the cord Trauma/insect bite Dermatologic lesions Inflammatory vasculitis (Henoch-Schönlein purpura) Idiopathic scrotal edema Tumor Spermatocele Varicocele Nonurogenital pathology (e. g. , adductor tendinitis)
Torsion of the Spermatic Cord (Intravaginal) • Torsion of the spermatic cord is a true surgical emergency of the highest order • Irreversible ischemic injury to the testicular parenchyma may begin as soon as 4 hours after occlusion of the cord • Intravaginal torsion happens within the space of the tunica vaginalis; this results from lack of normal fixation of the testis and epididymis to the fascial and muscular coverings that surround the cord within the scrotum
Torsion of the Spermatic Cord (Intravaginal) • Usually there is an acute onset of scrotal pain, but in some instances the onset appears to be more gradual • A large number of boys give a history of previous episodes of severe, self-limited scrotal pain and swelling • Nausea and vomiting may accompany acute torsion, and some boys have pain referred to the ipsilateral lower quadrant of the abdomen • Dysuria and other bladder symptoms are usually absent
Torsion of the Spermatic Cord (Intravaginal) • Testis can be riding high in the scrotum or with transverse orientation • The absence of a cremasteric reflex is a good indicator of torsion of the cord • After several hours an acute hydrocele or massive scrotal edema obliterates all landmarks • Color Doppler examination had a diagnostic sensitivity of 88. 9% and a specificity of 98. 8%, with a 1% rate of falsepositive results • When the diagnosis of torsion of the cord is suspected, prompt surgical exploration is warranted • When torsion of the spermatic cord is found, exploration of the contralateral hemiscrotum must be carried out
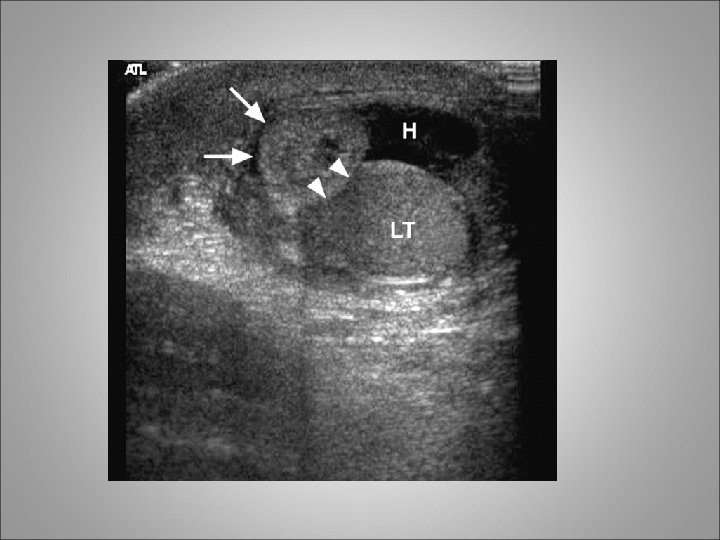
Torsion of the Testicular and Epididymal Appendages • The appendix testis, a müllerian duct remnant, and the appendix epididymis, a wolffian remnant, are prone to torsion • The symptoms associated with torsion of an appendage are extremely variable, from an insidious onset of scrotal discomfort to an acute condition identical to that seen with torsion of the cord
Torsion of the Testicular and Epididymal Appendages • localized tenderness of the upper pole of the testis or epididymis • Tender nodule may be palpated. In some instances, the infarcted appendage is visible through the skin as a “blue dot sign” • The cremasteric reflex is usually present • In cases in which the inflammatory changes are more significant, scrotal wall edema and erythema may be severe • Color Doppler examination may show hyperemia at the upper pole of the testis or epididymis • When the diagnosis of torsion of an appendage is confirmed clinically or by imaging, nonoperative management allows most cases to resolve spontaneously • Limitation of activity and administration of nonsteroidal antiinflammatory agents are only needed
Perinatal Torsion of the Spermatic Cord • Prenatal (in utero) torsion is typified by the finding at delivery of a hard, nontender testis fixed to the overlying scrotal skin • The skin is commonly discolored by the underlying hemorrhagic necrosis • Classic teaching has held that testes found to be hard, nontender, and fixed to the skin at birth do not merit surgical exploration • However, controversy has arisen regarding the need for prompt exploration of the contralateral testis
Perinatal Torsion of the Spermatic Cord • Contralateral scrotal exploration traditionally has not been recommended in cases of prenatal torsion because extravaginal torsion is not associated with the testicular fixation defect (bell -clapper deformity) that is recognized as the cause of intravaginal torsion • However, reports of asynchronous perinatal torsion have made the practice of avoiding prompt surgical exploration of the contralateral testis controversial
Perinatal Torsion of the Spermatic Cord • Prompt exploration of suspected postnatal torsion of the spermatic cord is indicated (in conjunction with exploration of the contralateral testis) when the patient's general condition and anesthetic considerations allow for a safe procedure • Exploration, when elected, should be carried out through an inguinal incision to allow for the most efficacious treatment of other potential or unexpected causes of scrotal swelling • If torsion is confirmed, contralateral scrotal exploration with testicular fixation should be carried out • The most effective and safest form of testicular fixation involves dartos pouch placement
Priapism • Priapism is a persistent penile erection of at least 4 hours in duration that continues beyond and is unrelated to sexual stimulation. There are three subtypes: • Ischemic (veno-occlusive, low-flow) priapism is characterized by little or no cavernous blood flow, and cavernous blood gases are hypoxic, hypercapnic, and acidotic. The corpora are rigid and tender to palpation • Nonischemic (arterial, high-flow) priapism is caused by unregulated cavernous arterial inflow. Typically, the penis is neither fully rigid nor painful. There is often a history of antecedent trauma resulting in a cavernous artery–corpora cavernosa fistula • Stuttering (intermittent) priapism is a recurrent form of ischemic priapism with painful erections with intervening periods of detumescence
Priapism • The most common cause of priapism in children is sickle cell disease • Priapism typically occurs during sleep, when mild hypoventilatory acidosis depresses oxygen tension and p. H in the corpora. The pain experienced is a sign of ischemia • On examination, there is typically significant corporal engorgement with sparing of the glans penis • Medical therapy, including exchange transfusion, hydration, alkalinization, pain management with morphine, and oxygen should be started • Intracavernous irrigation with a sympathomimetic agent, such as phenylephrine will be the next step. General anesthesia or intravenous sedation will be necessary. • If irrigation and medical therapy are unsuccessful, a corporoglanular shunt should be considered
Priapism • For stuttering priapism, administration of an oral αadrenergic agent (pseudoephedrine) once or twice daily is first-line therapy. If this treatment is unsuccessful, an oral β agonist (terbutaline) is recommended; a Gn. RH analog plus flutamide is recommended as third-line therapy • Nonischemic (high-flow) priapism most commonly follows perineal trauma, such as a straddle injury, that results in laceration of the cavernous artery • Spontaneous resolution may occur. If not, angiographic embolization is indicated
Paraphimosis • Paraphimosis develops when the tip of the foreskin retracts proximal to the coronal sulcus and becomes fixed in position • Severe edema of the foreskin occurs within several hours, depending on the tightness of the tip of the foreskin • In most cases, manual compression of the glans with placement of distal traction on the edematous foreskin allows reduction of the paraphimotic ring
Renal Trauma • The pediatric kidney is believed to be more susceptible to trauma because of a decrease in the physical renal protective mechanisms • hematuria is very unreliable in determining who to screen for renal injuries • Indeed, some studies have failed to find any evidence of either gross or microscopic hematuria in up to 70% of children sustaining grade 2 or higher renal injury
Indications for Imaging • A significant deceleration or high-velocity injury such as one sustained in a high-speed motor vehicle accident, a pedestrian/bicycle-motor vehicle accident, a fall from more than 15 feet, or a strike to the abdomen or flank with a foreign object (e. g. , football helmet, baseball bat) • Significant trauma that has resulted in fractures of thoracic rib cage, spine, pelvis, or femur, or bruising of the torso/perineum, or signs of peritonitis • Gross hematuria • Microscopic hematuria (<50 red blood cells per highpowered field) associated with shock (systolic blood pressure less than 90 mm Hg) • penetrating injuries
Imaging • Single-Shot Intravenous Pyelography Is useful in the unstable patient requiring emergent laparotomy • Once the patient is stabilized in the operating room, single-shot intravenous pyelography (IVP) (2 m. L/kg intravenous bolus of contrast agent) with the radiograph taken 10 to 15 minutes after injection may be of benefit • Use of Arteriography is useful in patients with persistent or delayed hemorrhage which usually arises from the development of arteriovenous fistulas or pseudoaneurysm • Approximately 25% of patients with grade 3 to grade 4 renal trauma, managed in a nonoperative fashion, will develop persistent or secondary (delayed) hemorrhage • RGP +- DJ indications after renal trauma: (1) to rule out the presence of a partial/total ureteral disruption and (2) to aid in the management of a symptomatic urinoma
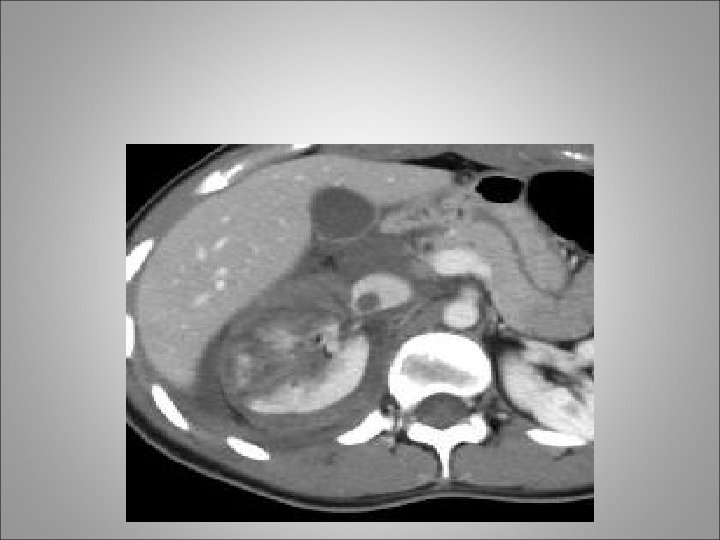
Renal pedicle injury Involving artery and vein With hematoma
Delayed imaging Injury to collecting system with extravasation
Delayed imaging Renal pelvis injury with leak of urine
Management • Majority of renal injuries can be managed conservatively • Bed rest till urine is clear • Frequent vitals and Hb checking • Urine racking • Follow up imaging after discharge
Absolute indications for exploration • Persistent renal bleeding • Pulsatile, expanding or uncontained hematoma • Avulsion of the main renal artery or vein
Relative indications for exploration • • Significant (25%-50%) non-viable tissue Urinary extravasation Arterial thrombosis Penetrating trauma
Surgical approach • The goals of operative therapy are hemorrhage control and renal tissue preservation • Midline incision, look for other injuries, central control of vessels • Renal exploration, débridement of nonviable tissue, hemostasis by individual suture ligation of bleeding vessels, watertight closure of the collecting system, and coverage or approximation of the parenchymal defect
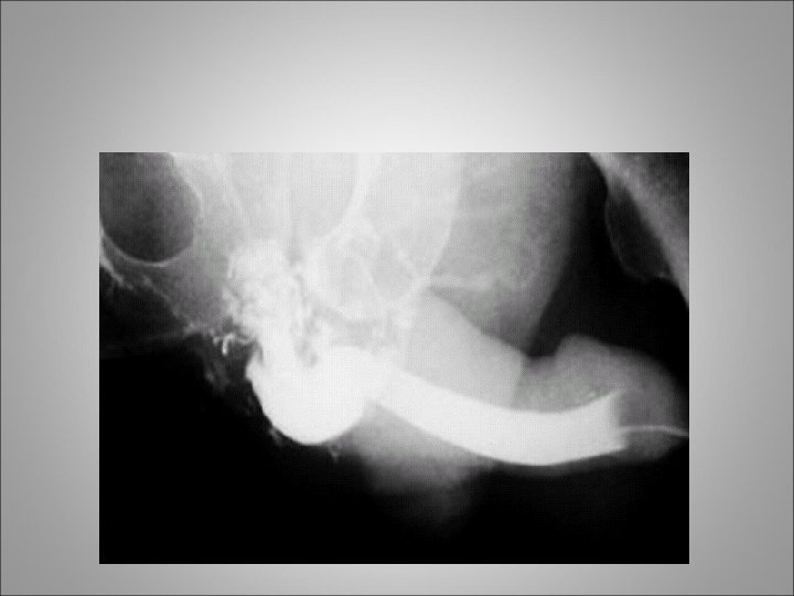
URETEROPELVIC JUNCTION DISRUPTION • Disruption of the UPJ is most commonly caused by accelerationdeceleration injuries • The majority of patients sustaining a UPJ disruption will present with vascular instability, requiring emergent laparotomy with the patient unable to undergo preoperative imaging • Emergent exploratory laparotomy for coexisting intra-abdominal injury is usually necessary and exploration fails to reveal the presence of a retroperitoneal hematoma • Because of the frequent association of this injury with lifethreatening trauma the diagnosis of a UPJ disruption is delayed for more than 36 hours in more than 50% of patients • Patients will eventually come to attention due to CT abnormalities found during the workup of persistent postoperative fever, chronic flank pain, continued ileus, or sepsis
URETEROPELVIC JUNCTION DISRUPTION • Three classic findings on triphasic CT are associated with UPJ disruption: (1) good renal contrast agent excretion with medial extravasation of contrast agent in the perirenal and upper ureteral area; (2) absence of parenchymal lacerations; and (3) no visualization of the ipsilateral distal ureter • In the clinically stable patient in whom the diagnosis is made within 5 days after the traumatic insult it is preferred to proceed to immediate surgical repair with débridement of any devitalized tissue, spatulation and reanastomosis of the ureter over a stent • In patients with a delayed diagnosis of 6 or more days it is preferred to place a nephrostomy tube and allow the patient and injury to stabilize for 12 weeks • The combination of remaining renal function and the length of the surgical defect allow the surgeon to make the proper surgical planning
URETERAL TRAUMA • Ureteral perforation after ureteroscopy can almost invariably be managed with stenting • If recognized at the time of surgery, ureteral contusions secondary to a high-velocity gunshot wound or inadvertent ligation of the ureter should be treated by removal of any offending clip or ligature and placement of a ureteral stent for 6 to 8 weeks • if the diagnosis of a traumatic ureteral injury is made within the first 5 days after the insult, we prefer to proceed with immediate surgical repair
URETERAL TRAUMA • If the patient is hemodynamically unstable and unable to tolerate the additional operative time required for ureteral repair or if the ureteral injury is too extensive to allow for a direct anastomosis, tie off the damaged ureter, place a large clip at the proximal end and insert PCN • The type of delayed ureteral repair to be used is based on the location and the extent of ureteral damage • Options include: ureteral anastomosis to the renal pelvis, primary ureterostomy, transureterostomy, ureteral reimplantation with or without a psoas hitch, ileal ureter, autotransplantation and nephrectomy
BLADDER INJURIES • The urinary bladder is well protected from external trauma by the bony confines of the pelvis • The majority results from blunt trauma which include motor vehicle accidents, falls and assaults • They are frequently associated with multiple organ trauma, with an average of three coexisting organ injuries and a mortality rate of 20% • Absolute indications for bladder imaging after blunt abdominal trauma are currently limited to two indications: (1) the presence of gross hematuria coexisting with a pelvic fracture and (2) inability to void
Classification • • Bladder contusion Extraperitoneal bladder rupture Intraperitoneal bladder rupture Combination of intraperitoneal and extraperitoneal ruptures
BLADDER INJURIES • Traumatic bladder lacerations in children are approximately two times more likely to extend through the bladder neck compared with adults • The diagnosis of a traumatic bladder injury should be assessed by either standard or CT cystography • The amount instilled within the bladder should, at a minimum, be equal to one half of the estimated bladder capacity for age • All patients with traumatic bladder lacerations, either extraperitoneal or intraperitoneal, should initially be treated with intravenous antibiotics with oral antibiotic therapy continued for 48 hours after removal of bladder catheters
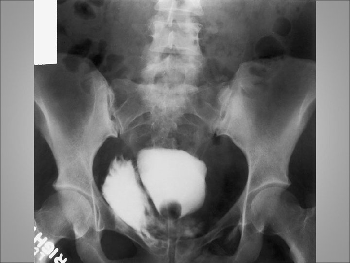
Intra and extra peritoneal bladder rupture
BLADDER INJURIES • In extraperitoneal bladder injury, consideration for open surgical intervention should be given if a bony spicule is found to protrude into the bladder on CT evaluation or if concern for a bladder neck laceration is present • If these two complications are not present, management by an indwelling urethral catheter can be considered • Urinary drainage via the bladder catheter is maintained for 7 to 10 days, and a cystogram should be obtained to verify healing of the injury before catheter removal • In intraperitoneal bladder injuries, open surgical repair of the laceration is the recommended treatment modality
URETHRAL INJURIES • Classified into 2 broad categories based on the anatomical site of the trauma • Mechanism of injury include: blunt trauma such as MVA or falls, penetrating injuries, straddle injuries and Iatrogenic injury like traumatic catheter placement • Posterior urethral injuries commonly associated with pelvic fractures • Anterior urethral injuries come from blunt trauma to the perineum (straddle injuries)
URETHRAL INJURIES • children with a posterior urethral injury will differ from adults with this injury in four ways • First, a pelvic fracture is more likely to be unstable and associated with a severely and permanently displaced prostatic urethra. • Second, the severe displacement of the prostate off the pelvic floor makes a complete posterior urethral disruption more common in boys than men • Third, in children, concurrent bladder and urethral injuries may occur in up to 20% of the patients • Fourth, in prepubertal girls, pelvic fractures are four times more likely to be associated with a urethral injury than in adult women
URETHRAL INJURIES • Radiographic or cystoscopic evaluations to rule out this injury are mandatory in the following circumstances: • (1) when the patient presents with the classic triad of findings of a perineal/penile hematoma, blood at the meatus/vaginal introitus, and inability to void • 2) when one or more pubic rami are fractured or symphyseal diastases are present • (3) when radiographic findings suggest a bladder neck injury
Diagnosis • Symptoms include hematuria or inability to void • Physical examination may reveal blood at the meatus or a high-riding prostate gland upon rectal examination. Extravasation of blood along the fascial planes of the perineum is another indication of injury to the urethra • The diagnosis is made by performance of a retrograde urethrogram • "Pie in the sky" findings revealed by cystogram usually indicate urethral disruption
Management • The traditional intervention for patients with posterior urethral injury secondary to pelvic fracture is placement of a suprapubic catheter for bladder drainage and subsequent delayed repair • The suprapubic catheter can be safely placed either percutaneously or via an open approach with a small incision • Ultimate repair can be performed 6 -12 weeks after the event, after the pelvic hematoma has resolved and the patient's orthopedic injuries have stabilized
Management • An attempt at primary realignment of the distraction with a urethral catheter is reasonable in stable patients either acutely or within several days of injury (ie, 5 -7 d post injury) • When the urethral catheter is removed after 4 to 6 weeks, it is imperative to retain a suprapubic catheter because most patients will, despite realignment, develop posterior urethral stenosis
Management • Placement of a catheter across a urethral disruption injury may rarely allow healing without stricture but in most patients, mild stenosis 1 to 2 cm in length develops • Incomplete urethral tears are best treated by stenting with a urethral catheter • There is no evidence that a gentle attempt to place a urethral catheter can convert an incomplete into a complete transection
Management • In cases of female urethral disruption related to pelvic fracture, most authorities suggest immediate primary repair, or at least urethral realignment over a catheter, to avoid subsequent urethrovaginal fistulas or urethral obliteration • Concomitant vaginal lacerations must also be closed acutely to prevent vaginal stenosis. Delayed reconstruction is problematic because the female urethra is too short (about 4 cm) to be amenable to anastomotic repair when it becomes embedded in scar
Management • Penetrating anterior urethral injuries should be explored • The area of injury should be examined, and devitalized tissue should be debrided carefully to minimize tissue loss • Defects of up to 2 cm in the bulbar urethra and up to 1. 5 cm in the penile urethra can be repaired primarily via a direct anastomosis over a catheter with fine absorbable suture. • Longer defects should never be repaired emergently; Urinary diversion with a suprapubic catheter is performed till time of delayed reconstruction
Testicular Trauma • Testicular injuries can be divided into 3 broad categories based on the mechanism of injury • (1) blunt trauma • (2) penetrating trauma • (3) degloving trauma
Testicular Trauma • Testicular rupture or fractured testis refers to a rip or tear in the tunica albuginea resulting in extrusion of the testicular contents • Blunt trauma accounts for approximately 85% of cases, and penetrating trauma accounts for 15% • As many as 80% of hematoceles (blood in the tunica vaginalis) are associated with testicular rupture
Clinical diagnosis • Patients typically present to ER with a straightforward history of injury • Symptoms include extreme scrotal pain, frequently associated with nausea and vomiting • Physical examination often reveals a swollen, severely tender testicle with a visible hematoma • Scrotal or perineal ecchymosis may be present • When evaluating a patient with a clinical history of only minor trauma, do not overlook the possibility of testicular torsion or epididymitis
Clinical diagnosis • For penetrating injuries, determine the entrance and exit sites of the wound. • Screening urinalysis is important to rule out urinary tract infection or epididymo-orchitis • Scrotal ultrasound imaging with Doppler studies is valuable for diagnosing and staging testicular injuries • The presence of a disrupted tunica albuginea is pathognomonic for testicular rupture
Management • Institute conservative treatment for patients with minor trauma in which the testes are spared and the scrotum has not been violated • The usual treatment consists of scrotal support, nonsteroidal anti-inflammatory medications, ice packs, and bed rest for 24 -48 hours
Indications for scrotal exploration • Uncertainty in diagnosis after appropriate clinical and radiographic evaluations • Disruption of the tunica albuginea • Large hematocele • Absence of blood flow on scrotal ultrasound images with Doppler studies
scrotal exploration • Clinical hematoceles that are expanding or of considerable size (eg, 5 cm or larger) should be explored • Collections of smaller size are also often explored, because it has been shown that such practice allows for more optimal pain control and shorter hospital stays • If the testis is fractured, testicular debridement and surgical closure of the tunica albuginea are necessary
Thank You