Pediatric Lectures Unit Neonatology Total Lectures 06 Lecture

  • Slides: 21
Download presentation
Pediatric Lectures • Unit: Neonatology • Total Lectures: 06 • Lecture no: 2 •

Pediatric Lectures • Unit: Neonatology • Total Lectures: 06 • Lecture no: 2 • Topic: Respiratory distress of new born, birth asphyxia, MAS, TTN

Neonatology Dr. Saba Haider Tarar MBBS, MCPS, FCPS (Pakistan), MRCPCH(AKP-London) Assistant Professor of Pediatrics.

Neonatology Dr. Saba Haider Tarar MBBS, MCPS, FCPS (Pakistan), MRCPCH(AKP-London) Assistant Professor of Pediatrics.

Objective: By the end of this lecture, the students will be able to: •

Objective: By the end of this lecture, the students will be able to: • Enlist causes of respiratory distress in a neonate • Identify signs and symptoms of respiratory illness • Outline a working management plan

Respiratory distress of new born Definition: • Respiratory rate > 60 cycles per second

Respiratory distress of new born Definition: • Respiratory rate > 60 cycles per second with chest indrawing

Respiratory distress Syndrome (RDS) • • Definition: Preterm neonate presenting with Tachypnea (R. R

Respiratory distress Syndrome (RDS) • • Definition: Preterm neonate presenting with Tachypnea (R. R > 60/ minute) Chest retractions Cyanosis CXR with reticulo-granular pattern and air bronchograms

Incidence and risk factors • • 25 %of all neonates less than 32 weeks

Incidence and risk factors • • 25 %of all neonates less than 32 weeks 20 % of all neonatal deaths Risk factors are Prematurity, male gender, Chorio-amniotis, IDM, birth asphyxia, LSCS and twin pregnancy , hypothermia

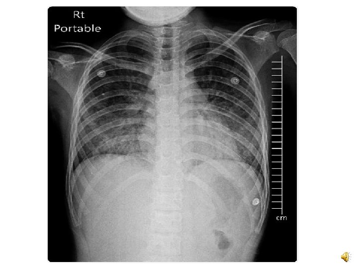
Differential diagnosis • • Congenital Pneumonia Aspiration Pneumonia Meconium Aspiartion Pnuemothorax Diaphragmatic hernia Cardiac

Differential diagnosis • • Congenital Pneumonia Aspiration Pneumonia Meconium Aspiartion Pnuemothorax Diaphragmatic hernia Cardiac failure CHD TTN

Investigations: • • Pulse Ox ABGs CXR ECG Hyperoxia test Baseline (CBC, BSR, Sr.

Investigations: • • Pulse Ox ABGs CXR ECG Hyperoxia test Baseline (CBC, BSR, Sr. Calcium) Septic Screening

Management: • • Supportive: Oxygen Thermo-neutral environment Prevent hypoglycemia Minimal handling Intake output record

Management: • • Supportive: Oxygen Thermo-neutral environment Prevent hypoglycemia Minimal handling Intake output record Treat metabolic acidosis

Specific Management: • • • Warm humidified oxygen CPAP IPPV Surfactant Complications include: IVH,

Specific Management: • • • Warm humidified oxygen CPAP IPPV Surfactant Complications include: IVH, pneumothorax, pneumonia

Birth Asphyxia • Sudden hypoxia at birth due to failure of initiation of normal

Birth Asphyxia • Sudden hypoxia at birth due to failure of initiation of normal breathing • 3. 3% incidence

Management Mainly supportive ABC Maintain temperature Monitor vitals I/T, O/P monitoring Treat hypoglycemia, hypovolemia,

Management Mainly supportive ABC Maintain temperature Monitor vitals I/T, O/P monitoring Treat hypoglycemia, hypovolemia, seizures, metabolic acidosis, infections • Selective head cooling • • •