PATOLOGIA FICATULUI HEPATIC PATHOLOGY a c Morfologia normal

  • Slides: 19
Download presentation
PATOLOGIA FICATULUI ПАТОЛОГИЯ ПЕЧЕНИ HEPATIC PATHOLOGY

PATOLOGIA FICATULUI ПАТОЛОГИЯ ПЕЧЕНИ HEPATIC PATHOLOGY

a c Morfologia normală a ficatului: b a – aspect macroscopic; b – aspect

a c Morfologia normală a ficatului: b a – aspect macroscopic; b – aspect pe secţiune; c - structura microscopică a lobulului hepatic portal (zonele 1, 2 şi 3)

Pattern of Liver Damage • • Zonal – Toxin/Hypoxia Bridging – Viral severe Interface

Pattern of Liver Damage • • Zonal – Toxin/Hypoxia Bridging – Viral severe Interface – Immune Apoptotic - Viral

Steatoza ficatului

Steatoza ficatului

Necroză masivă a ficatului (distrofie toxică)

Necroză masivă a ficatului (distrofie toxică)

Acute - Hepatitis - Chronic

Acute - Hepatitis - Chronic

Hepatită alcoolică, steatoză şi corpusculi Mallory

Hepatită alcoolică, steatoză şi corpusculi Mallory

Alcoholic Liver Damage

Alcoholic Liver Damage

Hepatită virală, distorfie hidropică şi corpusculi Councilman , infiltraţia limfoidă a tractelor portale (necroză

Hepatită virală, distorfie hidropică şi corpusculi Councilman , infiltraţia limfoidă a tractelor portale (necroză periportală parcelară)

¬ Hepatocite “de sticlă mată” cu citoplasma omogenizată (acumulări masive de HBs. Ag) Ground

¬ Hepatocite “de sticlă mată” cu citoplasma omogenizată (acumulări masive de HBs. Ag) Ground glass hepatocytes with homogenous cytoplasm (massive accumulation of HBs. Ag) ¬ Fragmente rotunde eozinofile de hepatocite apoptozice – corpusculi Councilman ¬ Rounded eosinophil fragments of apoptotic hepatocyte – Councilman bodies

c a b d Ciroză macro- (a, b) şi micronodulară (c, d)

c a b d Ciroză macro- (a, b) şi micronodulară (c, d)

Ciroză hepatică, aspecte microscopice

Ciroză hepatică, aspecte microscopice

Dilatarea varicoasă a venelor esofagiene şi peretelui abdominal anterior

Dilatarea varicoasă a venelor esofagiene şi peretelui abdominal anterior

Jaundice

Jaundice

Splenomegalie

Splenomegalie

Calculi şi stază biliară în ficat

Calculi şi stază biliară în ficat

Carcinom hepatic nodular

Carcinom hepatic nodular

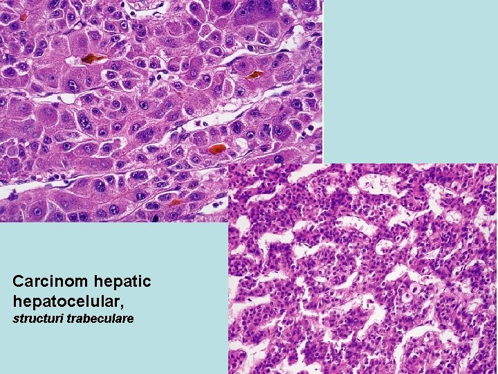
Carcinom hepatic hepatocelular, structuri trabeculare

Carcinom hepatic hepatocelular, structuri trabeculare

Metastaze de carcinom în ficat

Metastaze de carcinom în ficat