Patient 11 m with nephrotic range proteinuria History








































- Slides: 40
Patient 11 m with nephrotic range proteinuria
History • 11 M with nephrotic range proteinuria – U P/C 7 • Microscopic hematuria
Alpha-1 Chain of Type IV Collagen CONTROL Alpha-1 Chain of Type IV Collagen Patient
Alpha-5 Chain of Type IV Collagen CONTROL Bowman’s Capsule Positive Alpha-5 Chain of Type IV Collagen Patient Occasional TBM Positive
Alpha-3 Chain of Type IV Collagen CONTROL Alpha-3 Chain of Type IV Collagen Patient
Immunofluorescence • Routine IF Negative for Ig’s and Complement • Alport’s Panel – Controls all positive – Negative for Alpha 3 and Alpha 5 in glomeruli – Positive for Alpha 5 in Bowman’s Capsule and some TBMs
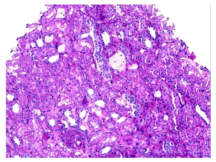
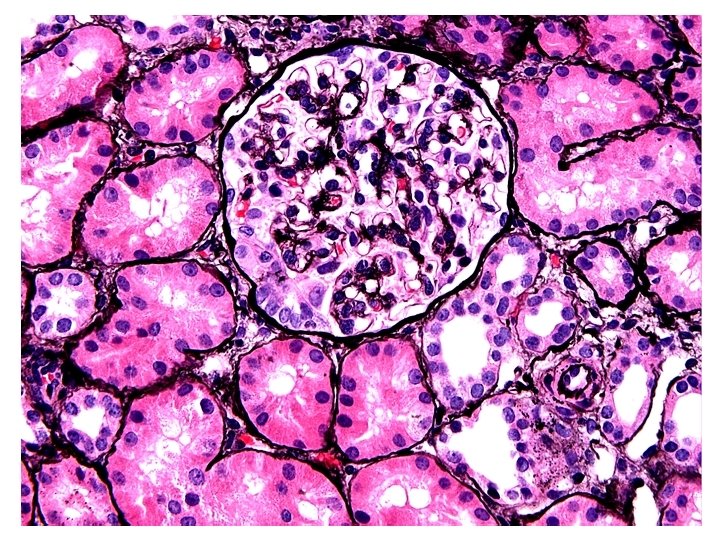
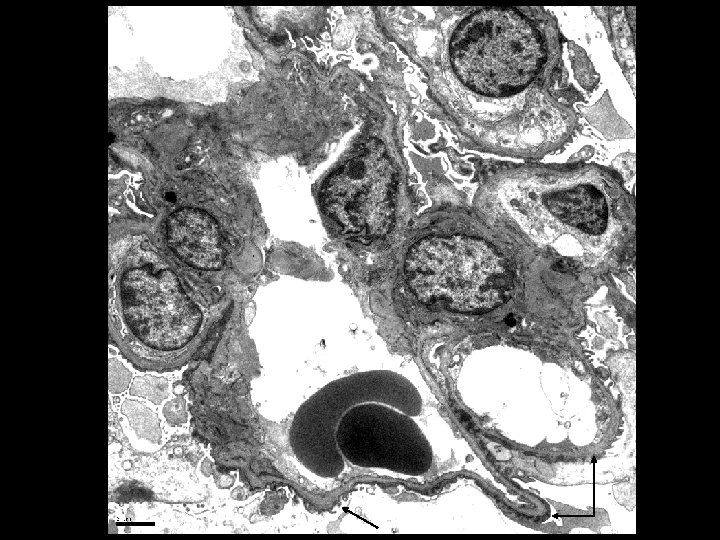
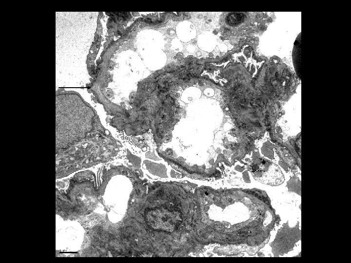
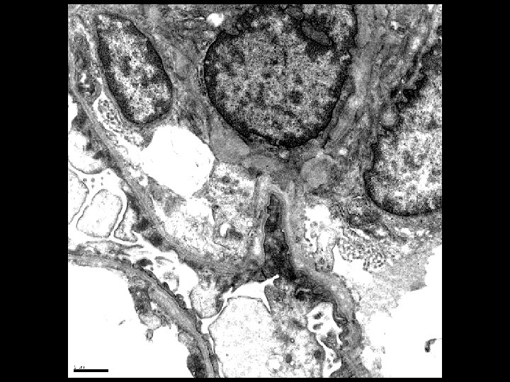
Electron Microscopy • Lamellation, thickening and thinning of GBMs
Diagnosis • Findings c/w Alport’s Syndrome, Autosomal Recessive Type • Mild Interstitial Fibrosis
Skin Biopsy to Confirm • The family history did NOT conform to an autosomal recessive pattern • A skin biopsy can be very helpful in that alpha 5 is not altered in typical Autosomal Recessive Alport’s Syndrome
Alpha-1 Alpha-5
Alpha-1
Alpha-5
Alpha-3
Skin Bx IF • Alpha-1 is Positive • Alpha-5 is Negative – The Type IV Collagen of Skin is composed of Alpha 1, 1, 2 and Alpha 5, 5, 6 – There is NO Alpha-3 (so the Alpha-3 is a negative control in this case)
Diagnosis • Likely X-Linked Alport’s Syndrome, though the data is somewhat conflicting • Lets review and come back to the final dx at the end.
Alport’s Syndrome • Recurrent hematuria • Nerve deafness • Usually presents in early 20’s • Classic renal biopsy features by EM – Thickened and Thinned GBM – Lamination and Rarefaction – Grains
Alport’s Syndrome • Frequency ~ 1: 5000 • Accounts for 1 -2% of ESRD in the US, Europe and India • Genetics were unclear until very recently – Strict inclusion criteria not used
Alport’s Syndrome • Genetics – X-Linked (80 -85%) – Autosomal Recessive (10 -15%) – Autosomal Dominant (very rare) – Spontaneous mutations (10 -15%)
Alport’s Syndrome • Pathogenesis – Genetic abnormality of type IV collagen – Each family has its own mutation – Hundreds of genetic variants all developing Alport’s syndrome
Alport’s Syndrome • Type IV collagen – Multimeric protein – Three alpha chain monomers coil in a triple helix to form a protomer • Each monomer is a very large protein with an even larger gene – 6 alpha chains of type IV collagen are known to exist – But only three are known to be expressed in protomers
Not All Combinations Exist • Type IV collagen – Alpha 1, Alpha 2 – Alpha 3, Alpha 4, Alpha 5 – Alpha 5, Alpha 6 – Two protomers combine to form a dimer – Known products • Alpha 1, 1, 2 with Alpha 1, 1, 2 • Alpha 3, 4, 5 with Alpha 3, 4, 5 • Alpha 1, 1, 2 with Alpha 5, 5, 6 All Basement Membranes GBM, Eye, Cochlea Epidermis, Bowmans Capsule
Type IV Collagen Composed of Alpha Chains NOT Beta Pleated Sheets Protomers are Triple Helices
These Combinations Form Basement Membrane Mats These Mats Incorporate Many Other Important Molecules e. g. Laminin, Entactin, et al
Alport’s Panel in Kidney Biopsy • Stain for a-1, a-3 and a-5 Chains of Type IV Collagen – a-1 ALL Basement Membranes and Mesangial Matrix – a-3 GBM, BCBM and DTBM – a-5 GBM, BCBM, DTBM and Epidermal BM • a-5 is Key to differentiating the forms of Alport’s BCBM = Bowman’s Capsule Basement Membrane DTBM = Distal Tubule Basement Membrane
Alport’s Syndrome • Type IV collagen – Known products • Alpha 1, 1, 2 with Alpha 1, 1, 2 ALL BMs & Mesangial Matrix • Alpha 3, 4, 5 with Alpha 3, 4, 5 GBM, BCBM, DTBM • Alpha 1, 1, 2 with Alpha 5, 5, 6 Epidermis, BCBM, DTBM BCBM = Bowman’s Capsule Basement Membrane DTBM = Distal Tubule Basement Membrane BM = Basement Membrane
Genetic Types of Alport’s • X-Linked (80 -85%) • Autosomal Recessive (10 -15%) • Autosomal Dominant (very rare) • Spontaneous mutations (10 -15%)
X-Linked – Alport’s Panel • Abnormality in alpha-5 so skin and kidney analysis of collagen subunits can be tested – Absence of staining for alpha-5 in glomerular, capsular and distal tubular basement membranes in Males – Discontinuous staining for alpha-5 in glomerular, capsular and distal tubular basement membranes in Females • Alpha-3 is also missing in a similar fashion since there is no alpha-5 to work with • Abnormalities seen in only 2/3 of patients!
Autosomal Recessive – Alport’s Panel • Abnormality in alpha-3 or alpha-4 – Absence of staining for alpha-5 in glomerular basement membranes, persistence in capsular and distal tubular basement membranes – Alpha-5 positive in epidermis because that collagen is made of Alpha 1, 1, 2 with Alpha 5, 5, 6 – no alpha-3 or -4 – So Skin examination alone will be normal and not reveal the Alports phenotype • Abnormalities of kidney seen in ‘most’ patients!
Alport’s Syndrome: Is Diagnosis Only Skin-Deep? • Skin biopsy in suspected cases is an excellent first step if … • Quality laboratory with experience – Interpreting skin IF for Alport’s is NOT trivial Kashtan CE, Kidney Int 55: 1575 -1576, 1999
Alport’s Syndrome • Skin Bx to rule in Alports Stain with Anti-a 5 of Type IV Collagen § Absent – Alport’s Syndrome § Segmental – Alport’s carrier § Positive – Cannot absolutely R/O Because. . . • Skin stains for a 5 in Autosomal Recessive Alport’s
Final Diagnosis • The kidney findings support Autosomal Recessive (abnormalities of Alpha-3 and/or Alpha-4) in that there is absence of 5 in GBM but presence of 5 in BCBM and DTBM – Alpha 3, 4, 5 with Alpha 3, 4, 5 GBM, BCBM, DTBM – Alpha 1, 1, 2 with Alpha 5, 5, 6 Epidermis, BCBM, DTBM
Final Diagnosis • The skin findings support X-Linked Alport’s Syndrome (abnormalities of alpha-5) in that there is absence of Alpha-5 and presence of Alpha-1 in Epidermis – Alpha 3, 4, 5 with Alpha 3, 4, 5 GBM, BCBM, DTBM – Alpha 1, 1, 2 with Alpha 5, 5, 6 Epidermis, BCBM, DTBM
Final Diagnosis • Changes c/w Alport’s • Dr. Bell Talked with Dr. Cliff Kashtan at the University of Minnesota – Never seen a case like this – Suggested Athena Diagnostics for genetic testing