Pathology of Solid Tumors Megan Troxell MDPh D






























- Slides: 30
Pathology of Solid Tumors Megan Troxell, MD/Ph. D OHSU Pathology troxellm@ohsu. edu 8 -1770
Objectives • • Diagnostic Techniques Common terminology, definitions in cancer Multi-step carcinogenesis Invasion & Metastasis Tumor grading Tumor staging Newer prognostic/predictive testing
http: //www. cancer. org
Diagnostic Methods in Tumor Pathology • Histology-morphology H=hematoxy lin, nucleic acids, purple E=eosin, protein, pink – ‘Old fashioned’ microscope, H &E slides, formalin fixed paraffin embedded (FFPE) • Immunohistochemistry Undiff. tumor – Esp. tumor differentiation, mitotic rate HMB 45+ Melanoma
Diagnostic Methods in Tumor Pathology Pediatric Kidney Cancer • Immunohistochemistry – May help subclassify – Rarely, may imply specific genetic rearrangement Loss of PMS 2 expression, colon cancer Mismatch repair protein deficient (Lynch) TFE 3 +nuclear Argani. AJSP 26: 1553 -66 Cancer Aberrant TFE 3 protein expression as a result of t(X; 1)(p 11. 2; q 21) Normal
(courtesy of Helen Lawce) t(11; 22) Ewing’s EWS-FLI 1 Breakapart FISH probe FISH & Cytogenetics Characteristic translocations Diagnostic Methods in Tumor Pathology
Diagnostic Methods in Tumor Pathology • Molecular/PCR – Esp. hematopathology • T- B-cell clonality • Characteristic mutations • (Coming: gene arrays, etc) FISH: Her 2 amplification (breast cancer) Courtesy Dana Bangs PCR/HPLC (WAVE) for C-kit mutations in GIST Corless Am J Pathol. 2002 160: 1567 -72
Nomenclature • Hypertrophy: increase in size of cells • Hyperplasia: increase in the # of cells in organ/tissue • Neoplasia: “new growth” – Growth exceeds/uncoordinated with normal tissue – Growth persists after stimulus removed – CLONAL – Benign or malignant – Neoplasm=proliferating cells & associated stroma
Neoplasia: Benign • Cohesive, expansile masses (tumors) • Remain localized – No capacity to invade, metastasize • Slow growing – Often encapsulated • Well differentiated (still resemble normal) • Often named with suffix “-oma” • • • Chondroma (benign neoplasm of cartilage) Hemangioma (benign neoplasm of blood vessels) Leiomyoma (benign neoplasm of smooth muscle) Adenoma (benign epithelial neoplasm) Cystadenoma, Papilloma etc
Neoplasia: Malignant • Invade and destroy surrounding tissue • Capacity for metastasis – Spread through blood vessels/lymphatics to distant sites • • • Higher rate of growth Pleomorphism (variation in size/shape) Abnormal nuclear morphology & hyperchromasia De-differentiation/Anaplasia Nomenclature: – – – Malignant epithelial neoplasm: carcinoma Malignant mesenchyma: sarcoma Malignant hematolymphoid: leukemia, lymphoma Malignant melanocytic: melanoma Malignant germ cell: seminoma, and others
Neoplasia: Benign vs. Malignant Robbins 7 -22 Uterus
Normal, Benign, Malignant Normal colon and invasive adenocarcinoma (right, Malignant) Normal colon (lower) & tubular adenoma (benign, upper left)
Adenoma, colon (TVA)
Normal, Benign, Malignant Normal breast Benign hyperplasia Invasive carcinoma
Histologic Features of Malignant Cells http: //www. usc. edu/hsc/dental/ PTHL 312 abc/312 a/05/Reader/rea der. html
Transformation • “Malignant change in the target cell” • What features define a transformed cell? Hanahan and Weinberg. “The Hallmarks of Cancer” Cell. 100: 57 -70. 2000 And Genomic Instability
Transformation: Darwinian? • “Malignant change in the target cell” Mechanisms & chronology of acquired capabilities vary By organ/tumor type By subtype, etc Hanahan and Weinberg. “The Hallmarks of Cancer” Cell. 100: 57 -70. 2000
“The Genomic Landscapes of Breast and Colorectal Cancer” Wood et al. Science. 2007 318: 1108 -113
“Tumors as Complex Tissues” or, “It takes a village” Hanahan and Weinberg. “The Hallmarks of Cancer” Cell. 100: 57 -70. 2000
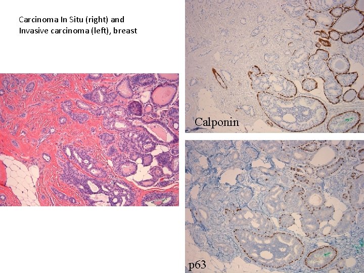
Concept: Carcinoma in situ (CIS) • Malignant cells that have not yet breached the basement membrane (still confined) DCIS & invasive DCIS: breast
Carcinoma In Situ (right) and Invasive carcinoma (left), breast Calponin p 63
Carcinoma in in situ (CIS) Carcinoma Squamous Cell CIS Squamous CIS Invasive SCC
1’tumor Invasion & metastasis BM Vein Lymph Platelets ECM Artery Colon CA in lymphatic channel Vein Artery Robbins 7 -42
Tumor growth and spread Normal cell (Lung) Single tumor cell 30 doublings 1 gm=109 cells Smallest clinically detectable mass 10 doublings 1 kg=1012 cells Maximum mass compatible w/ life Liver mets Robbins 7 -12
Tumor angiogenesis Leaky vessels Robbins 7 -41
Transformation • Some benign neoplasms have propensity to acquire additional genetic changes and progress to malignancy (precursors) – Example: colonic adenoma carcinoma • Others rarely undergo transformation – Example: Uterine leiomyomas, salivary gland pleomorphic adenomas
Histologic and Molecular Progression: Colon LG dysplasia APC b-cat Robbins. 7 th ed. Figure 17 -60 HG dysplasia Kras P 53 18 q 21 SMAD 2, 4 Carcinoma Telomerases, etc
It’s never that simple… http: //www. rr-research. no/wcache/650 x_58 df 157 ee 0 b 2 a 665 ce 8 c 99 e 0 dd 99 e 435 Adenoma_carcinoma. jpg
http: //www. mdconsult. com/das/book/body/128522719 -2/0/1492/f 4 -u 1. 0 -B 978 -1 -4160 -2805 -5. . 50208 -1. . gr 5. jpg from Cecil Medicine 23 ed (Saunders, Elsevier)
Histologic and molecular progression: Breast True precursor? Normal Florid proliferation ADH Non-obligate precursor? DCIS Infiltrating Carcinoma Tissue Invasion Robbins Fig 23 -15