Pathologie osseuse traumatique Type de fracture Fracture ouverte







































- Slides: 39
Pathologie osseuse traumatique
Type de fracture • Fracture ouverte = effraction cutanée • fracture fermée • Vaccination anti-tétanique
• L'examen clinique doit recher : · une atteinte nerveuse · une atteinte vasculaire : recherche du pouls
Bilan radiologique • Radiographie 2 incidences • Radiographie du segment Face et Profil • face et ¾ pour les mains et pieds
Localisation du trait de fracture • diaphysaire • épiphysaire = articulaire = > arthrose • métaphysaire
Métaphyse diaphyse Épiphyse
Trait de fracture
FRACTURE TRANSVERSE
FRACTURE SPIROIDE
déplacement
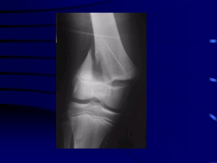
Particularité : le coude • L'examen clinique doit recher : · une atteinte nerveuse : médian (et en particulier l'atteinte du nerf inter-osseux antérieur), radial ou ulnaire · une atteinte vasculaire : recherche du pouls radial • Bilan radio : radiographie du coude Face et Profil
Recherche épanchement
FRACTURE PATHOLOGIQUE • Survient sur une trame osseuse anormale • souvent traumatisme minime • exemple: ostéoporose kyste osseux
Traumatologie pédiatrique • L'enfant présente des types de fractures particuliers, en rapport avec la présence du cartilage de croissance ou dus à des propriétés mécaniques de l'os différentes de celles de l'adulte
1 Les décollements épiphysaires • Le trait de fracture traverse le cartilage de croissance. • Il en existe différents types selon que la fracture est articulaire ou extra-articulaire. • La consolidation est généralement rapide. • Le risque principal est l'épiphysiodèse (fermeture prématurée du cartilage de croissance).
• Salter 1 · Décollement épiphysaire pur : le trait passe entre épiphyse et métaphyse et détache l'épiphyse en bloc · Réduction généralement facile si elle est faite rapidement · Risque d'épiphysiodèse faible
• Salter 2 · Le trait sépare un fragment métaphysaire qui reste solidaire de l'épiphyse · Réduction généralement facile si elle est faite rapidement · La stabilisation est fréquemment orthopédique; l'ostéosynthèse est rarement nécessaire · Risque d'épiphysiodèse faible
• Salter 3 · Fracture articulaire qui détache un fragment épiphysaire · Risque d'épiphysiodèse important · La réduction doit être anatomique et se fait donc le plus souvent à foyer ouvert · L'ostéosynthèse peut se faire par des broches ou des vis en évitant de les faire traverser le cartilage de croissance
• Salter 4 · Fracture articulaire qui détache un fragment épiphysaire et un fragment métaphysaire · Risque d'épiphysiodèse important · La réduction doit être anatomique et se fait donc le plus souvent à foyer ouvert
• Salter 5 · Écrasement du cartilage de conjugaison qui fait suite à un mécanisme de compression par chute d'un lieu élevé. · La radiographie initiale est normale · Le diagnostic se fait donc à postériori en constatant une épiphysiodèse
2 La fracture en bois vert • Il s'agit d'une fracture uni corticale : • Il est le plus souvent nécessaire de réduire ces fractures sous anesthésie. • La réduction nécessitera une rupture de la corticale non rompue pour éviter le déplacement secondaire sous plâtre.
3 La fracture en motte de beurre • Il s'agit d'un tassement métaphysaire par impaction de la diaphyse dans la métaphyse. • L'exemple le plus fréquent est celui de la métaphyse inférieure du radius. • Il n'y a pas de risque de déplacement secondaire et une simple immobilisation antalgique est généralement nécessaire.
La fracture en motte de beurre
4 La fracture plastique • L'os présente une déformation sans trait de fracture. • L'exemple le plus fréquent est la fracture plastique de l'ulna (cubitus) associée à une luxation de la tête radiale. .
La fracture plastique