Partial Veneer Crown Dr Muhammad Rizwan Memon F






















































- Slides: 54
Partial Veneer Crown Dr. Muhammad Rizwan Memon F. C. P. S Assistant Professor
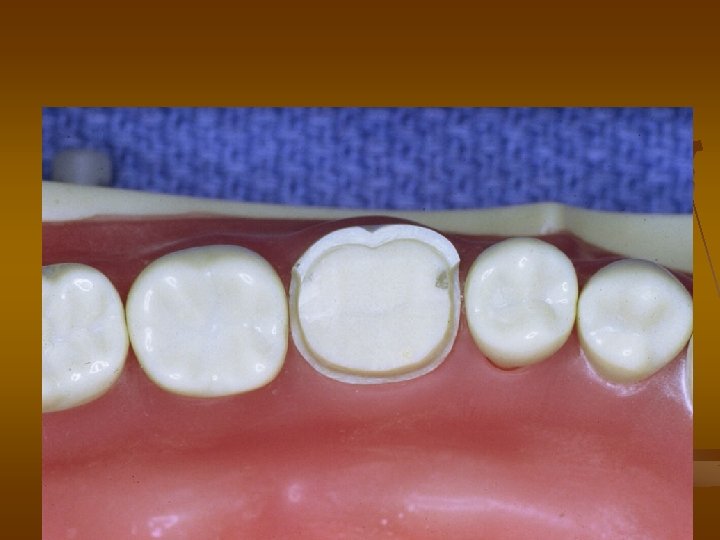
Partial Veneer Crown n Partial Veneer Crown: a restoration that restores all but one coronal surface of a tooth remain intact, usually not covering the facial surface (GPT 8 - 2005)
PARTIAL VENEER CROWNS PARTIAL VENEER CROWN ANTERIOR PARTIAL VENEER CROWNS POSTERIOR PARTIALVENEER CROWN THREE QUARTER PINLEDGE PREPARATIONS SEVEN-EIGHTHS CROWN
INDICATIONS Strong clinical crown of average length or longer n Intact Buccal/Labial Surface n Retainers for FPD n
CONTRAINDICATIONS Short and thin teeth n Non vital teeth n High caries index n Extensive destruction n Retainers for long span FPDs n Poor aligned abutment for FPDs n
ADVANTAGES n n n Conservation of tooth structure Reduced pulpal & periodontal insult during tooth preparation Easy access to margins for finishing (dentist) & cleaning (patient) Less gingival involvement Easy escape of cement and good seating Electric vitality test feasible
DISADVANTAGES Less retention and resistance than complete cast crown n Preparation of tooth is difficult n Some display of metal n Not indicated on non vital teeth n
Occlusal Reduction
Functional Cusp Bevel
Avoid Undercuts
Interproximal Reduction
Retention Grooves
Bevel Shoulder
Non-functional Bevel
Maxillary Molar Seven-eighths Crown
n Preparation n Occlusal depth grooves
n Mesial half of the occlusal reduction is completed
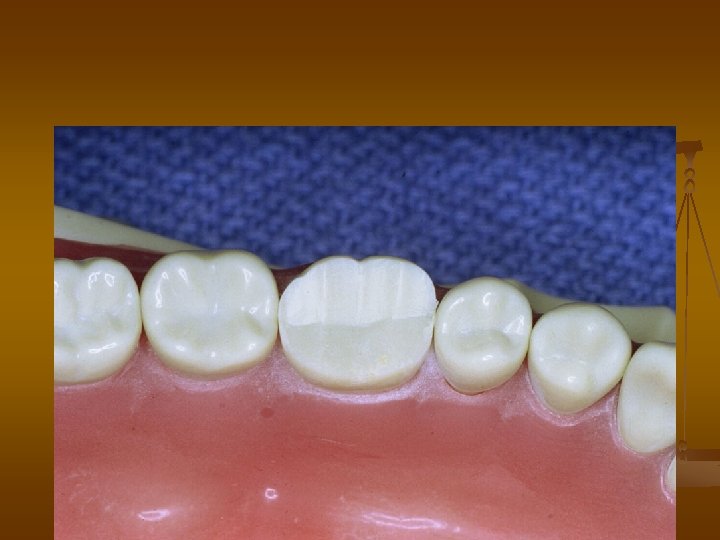
n Occlusal reduction completed
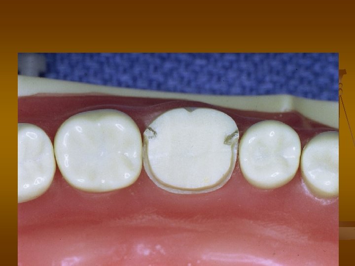
n Distal half of the axial reduction completed
n Mesial half of the axial reduction completed and a proximal groove placed
n Buccal groove
n A contrabevel connects the mesial flare with the buccal groove
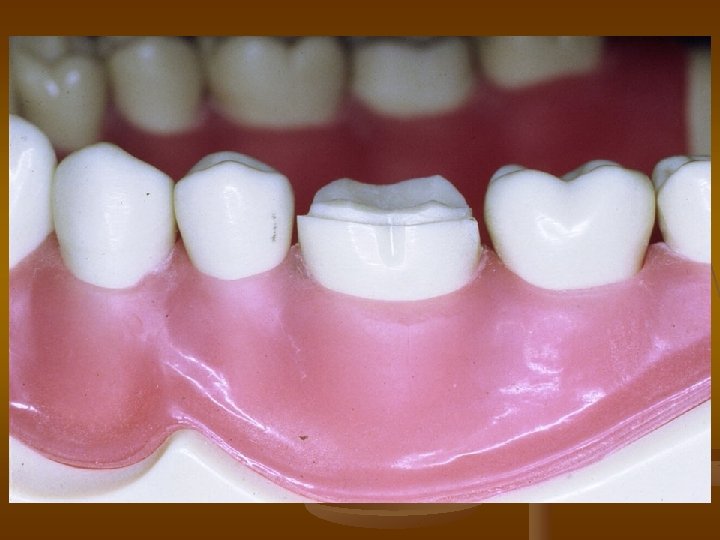
PINLEDGE PREPARATIONS n Pinledge: A partial veneer retainer preparation incorporating pins holes to provide retention (GPT 8 - 2005)
Periodontally compromised teeth splinted with pinledges
INDICATIONS Reestablish anterior guidance n Splint periodontally compromised anterior teeth n Undamaged anterior teeth in caries free mouth n High esthetic demand n Alteration of lingual contour of maxillary anterior teeth n
CONTRAINDICATIONS Poor oral hygiene n High caries rate patients n Large pulp n Thin teeth n Non-vital teeth n
ADVANTAGES Minimal tooth reduction n Minimal margin length n Minimal gingival involvement n Overall conservative of tooth structure n
DISADVANTAGES Less retentive then Complete/Full coverage crown n Technically sensitive n Non usable on non-vital teeth n
n Guiding grooves
n The lingual reduction completed an incisal bevel placed
n Incisal and cervical ledges prepared
n Indentations
n Pinholes (2 mm)