Paciente natural de Marruecos con adenopatas cervicales Paciente




























- Slides: 28
Paciente natural de Marruecos con adenopatías cervicales
Paciente natural de Marruecos con adenopatías cervicales Antecedentes personales: Mujer de 24 años, natural de Marruecos, lleva 3 meses en España. No habla español, acude con un familiar que traduce. Situación regularizada, está con permiso de trabajo. Vive con su hermana en un piso. Nivel de estudios secundarios. No antecedentes médicos de interés salvo anemia ferropénica que trata con sulfato ferroso.
Paciente natural de Marruecos con adenopatías cervicales Motivo de consulta: Desde hace un año presenta adenopatías dolorosas laterocervicales derechas, que han ido disminuyendo de tamaño las últimas semanas. Sensación febril no termometrada vespertina. Astenia y anorexia, pero no pérdida de peso. No refiere tampoco tos, expectoración ni sintomatología abdominal.
Paciente natural de Marruecos con adenopatías cervicales Exploración física: TA: 125/70 mm. Hg. Peso: 84, 700 kg. Buen estado general, normocoloreada. Cabeza y cuello: Adenopatías laterocervicales y supraclaviculares derechas, dolorosas, alguna rodadera, pero la mayoría adheridas a planos profundos. ACR: sin hallazgos. Abdomen: sin hallazgos. Extremidades: No adenopatías inguinales ni axilares.
Paciente natural de Marruecos con adenopatías cervicales ¿Qué exploraciones complementarias solicitaría?
Paciente natural de Marruecos con adenopatías cervicales Exploraciones complementarias solicitadas: Hemograma Bioquímica con metabolismo del hierro y perfil hepático. Ig. E. Orina con sedimento Parásitos en heces (x 3). Serología de VIH, VHB, VHC, LUES. Mantoux. Rx de tórax y abdomen. Ecografía cervical.
Paciente natural de Marruecos con adenopatías cervicales Exploraciones complementarias: Leuc: 8300 (57%S, 24%L, 1. 3%Eo). Hb 11. 6 mg/dl; Htc 34. 1%; VCM 74; HCM 25; plaquetas 257. 000/mm 3. VSG: 69 mm Bioquímica: Fe 28 µgr/dl, ferritina 28 ng/ml, IST 6%. Resto normal, incluido perfil hepático. Ig. E 301 UI/ml. Mantoux: 25 x 20 mm. Serología: § VIH, VHB, VHC, LUES: negativas. § Epstein-Barr, CMV, Ac Ig. M Toxoplasma: negativas
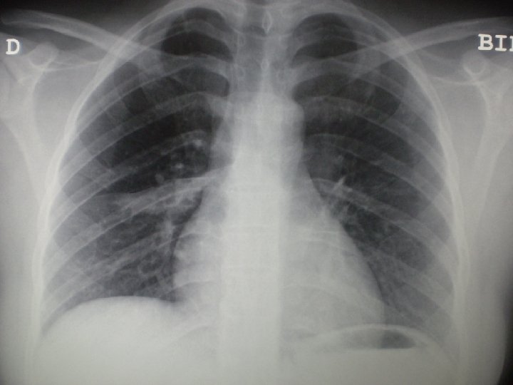
Paciente natural de Marruecos con adenopatías cervicales Exploraciones complementarias: Orina: sedimento normal. Parásitos en heces (x 3): negativos. Rx de abdomen: sin hallazgos patológicos. Rx de tórax: pequeño infiltrado en segmento postero-basal de LID, limitado por la cisura. Ecografía cervical: múltiples adenopatías laterocervicales derechas que se extienden por cadena yugular y espinal hasta hueco supraclavicular, algunas con centro necrótico.
Paciente natural de Marruecos con adenopatías cervicales Evolución: Se solicitan § BAAR de esputo. § TAC cervical y torácico.
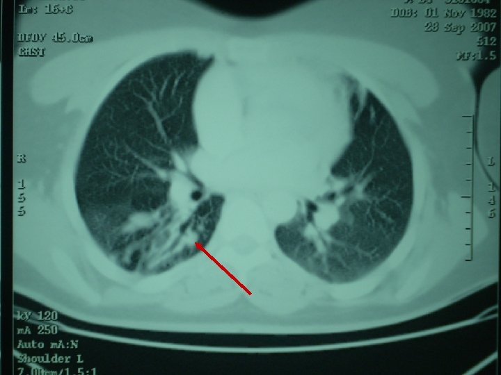
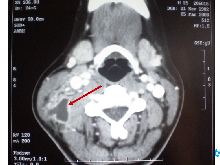
Paciente natural de Marruecos con adenopatías cervicales Evolución: BAAR de esputo: NEGATIVOS TAC de tórax: lesiones nodulares en lóbulos superiores y pequeño infiltrado intersticio-alveolar en segmento 6 de LID. TAC cervical: Adenopatías cervicales derechas que captan contraste, con centro hipoatenuado en su interior en relación con necrosis, y cuyo tamaño oscila entre 1, 5 y 2, 5 cms.
Paciente natural de Marruecos con adenopatías cervicales Evolución: Fibrobroncoscopia: Ausencia de orificio de entrada del B 6 derecho, que muestra una coloración blanquecina y muy friable. Se realiza BAS. Resultado BAS: No se observan BAAR, se envía para cultivo.
Paciente natural de Marruecos con adenopatías cervicales Evolución: PAAF de adenopatía: abundantes BAAR. Cultivo de Lowenstein (de PAAF cervical y BAS): Mycobacterium tuberculosis complex. Antibiograma: sensible Pirazinamida, Estreptomicina. a Rifampicina, Isoniacida,
Paciente natural de Marruecos con adenopatías cervicales Diagnóstico: Tuberculosis pulmonar y ganglionar. Tratamiento: Isoniacida 5 mgr/kg/día (máximo 300 mgr) 6 meses Rifampicina 10 mgr/kg/día (máximo 600 mgr) 6 meses Pirazinamida 25 mgr(kg/día (máximo 2 gr) 2 meses Etambutol 25 mgr/kgr/día 2 meses
Paciente natural de Marruecos con adenopatías cervicales Evolución - La paciente completó correctamente el tratamiento, presentando inicialmente fistulización de la adenopatía cervical sobre la que se realizó la PAAF, que tardó 3 meses en resolverse, quedando cicatriz retractil de la zona. -La Rx de tórax de normalizó, y no hubo problemas de tolerancia de tratamiento en los controles periódicos que se realizaron. -Se realizó estudio de convivientes (hermana), la cual realizó finalmente tratamiento quimioprofiláctico tras descartar infección tuberculosa activa.
TUBERCULOSIS • 8, 8 millones de nuevos casos en el mundo en 2003, con 1, 6 millones de muertes (incidencia 140/100. 000 h. ). • El 80% de los casos se concentra en 20 países, 12 de ellos situados en África. • Tasa tuberculosis respiratoria en España año 2007: 13, 81 casos/100. 000 h.
CARACTERÍSTICAS DIFERENCIALES DE LA TBC EN LA POBLACIÓN INMIGRANTE RESPECTO A LA AUTÓCTONA § La mayoría de los casos ocurren en los 5 primeros años de su llegada, y sobre todo en los 2 primeros. § Aunque habitualmente se trata de reactivación endógena, hasta el 20% puede ser debido a reinfección exógena. § La localización pulmonar es la más frecuente, aunque las forma extrapulmonares son más frecuentes que en la población autóctona. § La tasa de resistencias es mayor, en relación con la mayor tasa de resistencias en sus países de origen. § La cumplimentación del tratamiento es menor que en la población autóctona.
FACTORES QUE INFLUYEN EN LA MENOR CUMPLIMENTACIÓN DEL TRATAMIENTO § Barreras idiomáticas o culturales. § Diferente percepción de la enfermedad. § Movilidad geográfica. § Irregularidad legal.
Prioridades para el control de la tuberculosis en la población inmigrante § Son las mismas que en la población autóctona: § Detección y cumplimento del tratamiento en los casos de TBC activa. § Estudio de contactos. § Identificación y tratamiento de los pacientes con infección tuberculosa latente con mayor riesgo de reactivación de la infección.
Tratamiento de la tuberculosis en inmigrantes (1) § Mismos principios que para la población autóctona pero con algunas recomendaciones: § Conocer bien los antecedentes epidemiológicos del paciente. § Se debe realizar un antibiograma en todos los cultivos positivos.
Tratamiento de la tuberculosis en inmigrantes (2) §Tratamiento empírico inicial con 4 fármacos (habitualmente INH+RIF+PZA+EMB), y continuar con el mismo hasta que se disponga de la sensibilidad de la cepa. § Si la cepa es sensible y tras 2 meses al menos de tratamiento, continuar con INH+RIF hasta completar los 6 meses de tratamiento.
Estrategias para mejorar los resultados en la finalización del tratamiento (1) § El TDO (Tratamiento Directamente Observado) puede ser un elemento clave. § Puesta en marcha de actividades educativas, facilitadoras e incentivadoras para la cumplimentación del mismo.
Estrategias para mejorar los resultados en la finalización del tratamiento (2) § El TDO se recomienda en los colectivos de mayor riesgo de incumplimiento terapéutico, como en casos de: § Hacinamiento. § Resistencias. § Recaídas. § Retratamientos. § Abuso de drogas y alcohol.
Estrategias para mejorar los resultados en la finalización del tratamiento (3) § Salvar barreras idiomáticas, culturales y sociales (elaborar material didáctico en los idiomas del paciente, uso de mediadores, trabajadores sociales…). § Garantizar una asistencia sanitaria gratuita (consultas médicas y medicación). § Establecer un programa de coordinación entre niveles asistenciales para el seguimiento. § Sistemas de seguimiento cuando existen traslados durante el tratamiento.