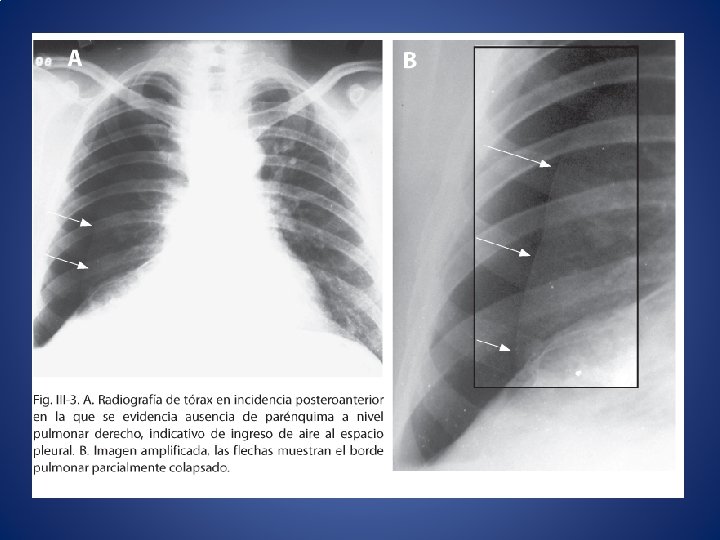
Paciente masculino de 35 aos luego de accidente

  • Slides: 12
Download presentation

Paciente masculino de 35 años, luego de accidente automovilístico presenta herida penetrante en el

Paciente masculino de 35 años, luego de accidente automovilístico presenta herida penetrante en el tórax, observándose orificio con entrada de aire. • • a. Tipos de neumotórax • b. Presiones en el sistema respiratorio • c. Consecuencias del neumotórax • d. Tratamiento • e. Trampa de agua

CASO CLÍNICO Paciente masculino 37 años, que recibe proyectil de arma de fuego en

CASO CLÍNICO Paciente masculino 37 años, que recibe proyectil de arma de fuego en el muslo, alojándose cerca de la rodilla. Es sometido a una limpieza quirúrgica dos días después y al día siguiente presenta fiebre y contracciones musculares involuntarias repetitivas y dolorosas. • a. Mecanismos de transporte de gases: oxigeno y anhidrido carbónico • b. Curva de disociación de la hemoglobina • c. Explicar que efectos metabólicos pueden ocurrir en este paciente y estos como afectan a la curva de disociación (temperatura, acidemia, hipoxemia, hipercapnia) • d. Definir oxihemoglobina, hemoglobina reducida, carbaminoglobina, metahemoglobina

CASO CLÍNICO • Paciente femenina de 59 años, consulta por presentar tos con expectoración

CASO CLÍNICO • Paciente femenina de 59 años, consulta por presentar tos con expectoración purulenta, fiebre y dolor “en punta de costado, 15 días antes estuvo con cuadro gripal no resuelto. Al examen se constatan cianosis, crepitantes, respiración soplante e incremento de vibraciones vocales en Ia base derecha. En la gasometría se evidencia alcalemia • a. Concepto de barrera de difusión • b. Concepto de shunt. Relación ventilación perfusión. Desequilibrio ventilación perfusión. Formas extremas: embolia pulmonar y neumonectomía • c. Regulación de la respiración. SNC. Quimiorreceptores