OTITIS MEDIA AGUDA Dra M Carmen Montagud Junio




![Resistencia a antibióticos de los principales microorganismos respiratorios [*] Dosis altas de amoxicilina Resistencia a antibióticos de los principales microorganismos respiratorios [*] Dosis altas de amoxicilina](https://slidetodoc.com/presentation_image_h2/ab3320fe52ccee27865c40bd83ab925e/image-5.jpg)




































- Slides: 41
OTITIS MEDIA AGUDA Dra. Mª Carmen Montagud. Junio 2013 Centro Salud Vall d’ Alba
Generalidades de la OMA • Proceso infeccioso que afecta a la caja timpánica con una inflamación severa de la mucosa de la misma. Suele ser secundario a proceso catarral vías altas. • Es una de las infecciones habituales en pediatría y la primera causa de prescripción de antibióticos en niños. • La mayor incidencia es entre los 6 y 36 meses de vida y entre los 5 y 7 años. • Alta tasa de resolución espontánea, sin necesidad de antibioterapia: 20% de las infecciones por neumococo y 50% de las producidas por H Influenzae. • En estudios se ha demostrado un sobrediagnóstico de este cuadro en niños, con excesivo uso de antibióticos y sus consecuencias tanto de efectos secundarios como de resistencias. • Baja incidencia de complicaciones graves (mastoiditis, laberintitis…). • Dificultad para el diagnostico e importancia de la certeza del diagnostico de OMA.
ETIOLOGÍA • Bacteriana en un 65 -75% de los casos. Los gérmenes más frecuentemente implicados son: - S. neumoniae (35%) - H. influenzae (25%) - S pyogenes (3 -5%) - Otros: (M. Catharralis, Estafilococo, E. coli, anaerobios…). • Se han encontrado virus en los cultivos del exudado OM en un 3 -13% de los casos. • Un 20 -30% de los cultivos de los exudados del OM son estériles. 65 -75% BACTERIAS 3 -13% VIRUS 20 -30% ESTÉRIL
Bacterias: resistencia a antibióticos Neumococo - Resistencia a betalactámicos: modificación en las PLP (Proteínas ligadoras penicilinas en mayor medida). - No es productor de betalactamasas. - Resistencia a macrólidos: predomina el fenotipo MLS con alteración de los ribosomas (macrólidos de 14, 15 y 16 átomos de C) y con bombas de eflujo. GRAM(-): Haemophilus y Moraxella C. - Productores de betalactamasas: 18% 88 -100% Estreptococo Pyogenes - No presenta resistencias a betalactámicos (penicilinas ni cefalosporinas). - No es productor de betalactamasas. - Resistencias a macrólidos: Predomina el fenotipo M (macrólidos entre 14 y 15 átomos de C).
Resistencia a antibióticos de los principales microorganismos respiratorios [*] Dosis altas de amoxicilina
Streptococcus pneumoniae • Agente etiológico de OMA, SBA y NAC. • Desde la introducción de la vacuna antineumocócica se ven menos neumococos y han aumentado otros gérmenes o neumococos de otros serotipos. • La amoxicilina es el antibiótico oral más efectivo frente al neumococo. • Las resistencias del neumococo a las penicilinas (alt de las PBP) se solventan empleando dosis mas altas de amoxicilina. • No es productor de betalactamasas, por tanto no es necesario emplear la asociación amoxi-clavulánico. • Cefuroxima (ZINNAT) y Cefpodoxima (OTREON) son las cefalosporinas orales más activas frente neumococo. • De las cefalosporinas IM. disponibles en AP la Ceftriaxona es la más efectiva frente al neumococo. • Los macrólidos son poco activos y el neumococo presenta resistencias frente a todos ellos.
CLÍNICA de la OMA - OTALGIA: Es el dato clínico mas especifico de OMA (esta presente en el 70% de los casos), pero en niños pequeños es difícil valorar el dolor, por lo que podríamos considerar “equivalente de otalgia” la presencia de irritabilidad o llanto intenso (sobre todo de aparición nocturna tras unas horas de sueño). - OTORREA aguda (purulenta) es muy sugestiva de OMA. Cuando se perfora el tímpano y aparece la otorrea, desaparece el dolor. Solo en ocasiones aparece la otorrea. - OTROS SINTOMAS INESPECIFICOS: -- Síntomas catarrales: Aparecen en el 70 -90% de las OMAS. -- Fiebre: Presente en el 70% de los < de 12 meses, y en < del 50% de los niños mayores. -- Vómitos, rechazo del alimento… Estos datos clínicos por si solos, en niños < 3 años, (en quienes la otalgia es poco valorable), no nos permiten diferenciar una OMA de una IRS. -- El signo del TRAGO, aunque es más típico de la otitis externa, en los lactantes, cuyo CAE es cartilaginoso, también en la OMA suele ser positivo. - La aparición de conjuntivitis junto con la OMA se ha asociado clásicamente a infección por H. Influenzae.
Exploración: 1. - GENERAL: Deben descartarse signos de bacteriemia-Sepsis como decaimiento, mal estado general, postración y alt. de la perfusión cutánea. También deben explorarse los signos meníngeos y neurológicos por la probabilidad de complicación intracraneal. 2. - REGIONAL: la OMA suele acompañarse de proceso inflamatorio de vías respiratorias altas o puede producir complicaciones regionales, por lo que hay que explorar las fosas nasales, orofaringe y región cervical y mastoidea. 3. - LOCAL: (Otoscopia): Es importante poder explorar el tímpano. Podemos ver: - Abombamiento del tímpano: Es el signo más frecuente en el OMA. - Cambios en la coloración de la membrana timpánica: opacidad, coloración amarillenta (exudado purulento en OM), hiperemia (signo aislado de poco valor, excepto si es intensa). Con la otoscopia neumática se aprecia disminución de la movilidad del tímpano.
DIAGNÓSTICO Los síntomas generales de OMA frecuentemente están precedidos por infecciones virales de la vía aérea superior. El diagnostico debe basarse en 3 criterios: - Comienzo agudo de signos o síntomas. - Signos otoscopicos de ocupación del OM: Abombamiento, otorrea… - Signos y síntomas de inflamación del OM: Otalgia, hiperemia intensa…
Formas clínicas de la OMA OM: Presencia de exudado en la cavidad media del oído. 1. OTITIS MEDIA AGUDA: Presencia sintomática de exud. (mucopurulento) en OM. - OMA esporádica: Episodios aislados. - OMA de repetición: Episodios repetitivos. A su vez se clasifica en: . OMA persistente: Reaparición de síntomas en los 1º 7 días tras tto. . OMA recidivante: (recaída verdadera) Reaparición de los síntomas en el primer mes postratamiento. Se consideran episodios diferentes. . OMA recurrente: Tendencia a contraer OMA con episodios de IVRS (al menos 3 episodios en 6 meses o al menos 4 episodios en 1 año) 2. OTITIS MEDIA SUBAGUDA: Presencia asintomática de exudado en OM. Suele ocurrir tras una OMA pero en el 90% de casos se resuelve espontáneamente. 3. OTITIS MEDIA CRONICA: Ocupación del OM más de 3 meses
Orientación terapéutica • EDAD: La curación espontánea es menos frecuente en los niños de edad inferior a dos años. • GRAVEDAD DEL CUADRO CLINICO: La respuesta al tratamiento antibiótico es mejor en pacientes con OMA grave (otalgia intensa y fiebre >39ºC) • FACTORES DE RIESGO DE MAL PRONOSTICO EVOLUTIVO: . OMA recurrente (Excluir las OMA persistentes). Inicio de la OMA antes de los 6 meses de vida. Antecedentes familiares de secuelas óticas por OMA Tratamiento antibiótico empírico: El tratamiento debe ir encaminado a cubrir al neumococo
¿Cuándo usar la terapia diferida? CRITERIOS PARA DECIDIR LA INMEDIATEZ DEL INICIO DEL TRATAMIENTO ANTIBIOTICO. Niños menores de dos años: Iniciar tratamiento antibiótico inmediato. . Niños mayores de dos años: - Con OMA grave y/o factores de riesgo de mal pronostico evolutivo: Iniciar el tratamiento antibiótico inmediato. - Con síntomas leves y ausencia de factores de riesgo de mal pronostico evolutivo: instaurar tratamiento sintomático y adoptar una estrategia de uso diferido de antibióticos, con la advertencia a los padres de que vuelvan a la consulta si los síntomas no remiten a las 48 -72 h. Para iniciar en ese momento el tratamiento antibiótico.
Tratamiento antibiótico
Duración del tratamiento antibiótico • OMA aislada en niños mayores de dos años sin criterios de gravedad: duración del tratamiento de 7 días. • OMA aislada en niños menores de dos años o mayores de dos años con criterios de gravedad: duración de tratamiento de 10 días. • OMA persistente: duración de tratamiento de 12 -15 días. • OMA recurrente: duración de tratamiento de 10 días.
TÍMPANO NORMAL
Otoscopia normal tímpano izquierdo:
Imagen de tímpano derecho normal
OTITIS MEDIA AGUDA
Otitis media aguda de oído derecho, posiblemente gripal. Gran vesícula en cuadrantes posteriores. Suele ser muy dolorosa
EVOLUCIÓN ERITEMA HIPEREMIA EXUDACIÓN
PERFORACIÓN CURACIÓN
Otitis Media Aguda Niña de 18 meses. La familia consulta por episodio agudo de otorrea con restos hemáticos, descubierta por la madre en la almohada 2 días antes. La paciente estaba afebril, recogiéndose el antecedente reciente de catarro de vías altas y diarrea mantenida de 7 días de evolución, que cedió al iniciarse la otorrea. La exploración demuestra un abombamiento timpánico y maceración de la pared de CAE por secreción.
Otitis Media Aguda Varón de 13 años de edad. Clínica de otalgia intensa iniciada a las 24 horas de presentar cuadro catarral vírico de vías altas. La exploración evidencia un abombamiento de la membrana timpánica, con una opacidad completa, hiperemia, e, incluso, restos hemáticos en la parte inferior de conducto.
Otitis Media Aguda El mismo oído después de tratamiento médico, a los 9 días. Observamos una membrana que ha vuelto a una posición normal, con un aumento de la transparencia global. Se observa la persistencia de un ligero eritema pósterosuperior. Presenta placas de depósito de calcio, que se han querido relacionar con patología previa, pero que se pueden hallar en oídos sin ningún antecedente.
Otitis Media Aguda Niña de 7 años. OMA supurada izquierda. Opacidad y abombamiento posterior. Área supurativa póstero-superior Mismo caso a los 10 días de tratamiento. Tímpano en su posición. La imagen ambarina de caja debe sugerir la persistencia de moco en caja.
Otitis Media Aguda Niño de 2 años. Abombamiento y eritema importantes. Niña de 5 años. Abombamiento severo y opacidad completa.
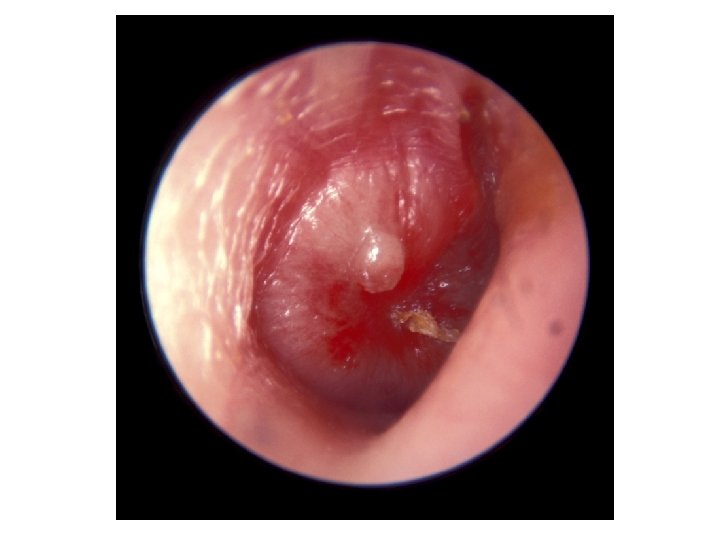
Otitis Media Aguda Niña de 5 años de edad. Consulta por clínica de otalgia muy intensa iniciada a los 3 días de haber presentado una otitis media supurada, y haber iniciado tratamiento. A la exploración se aprecia una lesión que cubre la membrana timpánica. Se trata de un GRANULOMA de la membrana timpánica (enmarcado en la imagen pequeña).
Otitis Media Aguda Mismo caso. Al tratamiento de la otitis media se añadió un tratamiento local con gotas combinadas de antibiótico y antiinflamatorio. A los 5 días el granuloma se había reducido casi completamente. Quedan restos de secreción en CAE y la membrana aún presenta aspecto inflamatorio.
Otitis Media Aguda Mismo caso. A los 15 días solamente queda una pequeña placa de secreción en la zona donde se produjo la perforación timpánica, y donde se inició el granuloma. A las 3 semanas el tímpano prácticamente recupera su posición normal, se ha definido el resto de secreción seca, que será expulsada espontáneamente. Queda un depósito de calcio ya existente previamente.
Otitis Media Aguda Paciente 15 años. OMA con resto de moco seco posterior. No se evidencia perforación. A los 7 días la placa de moco seco ya inicia su expulsión por el conducto.