Otite Moyenne aigue Ahmed Hesham Galal Maitre de
















- Slides: 16
Otite Moyenne aigue Ahmed Hesham Galal Maitre de conference ORL
Otite moyenne Définition Inflammation de la muqueuse mucopériosté de l'oreille moyenne et des cavités qui l’entourent (trompe d'Eustache, cavité tympanique, l'antre mastoïdien et des cellules mastoïdiennes). Classification • L'otite moyenne aiguë: - Virale aiguë (non suppurative otite moyenne). - Otite moyenne aiguë suppurée. - Otite moyenne aiguë nécrosante. • L'otite moyenne chronique: - non spécifique: L'otite moyenne chronique suppurée: • Tubotympanic. • Attico-antrale. Chronique non suppurative otite moyenne • L'otite moyenne avec épanchement. • Une otite adhésive - Spécifique: Otite moyenne tuberculeuse.
Otite moyenne aiguë suppurée • Définition L'inflammation aiguë de la muqueuse mucopériosté de l'oreille moyenne. Incidence L'otite moyenne aiguë est principalement une maladie des enfants. Son pic d'incidence se situe pendant les 6 premières années de vie.
facteurs contribuent à la prévalence de l'otite moyenne aiguë chez les jeunes enfants • Les caractéristiques anatomiques de la trompe d'Eustache: La trompe d'Eustache est plus courte, plus large et plus horizontale que chez les adultes. Également les orifices du tube sont plus inférieurement trouve que chez l'adulte et sont entourés par les tissus lymphoïdes. • L'exposition fréquente à des infections des voies respiratoires supérieures et des exanthèmes. • Les amygdales et les végétations adénoïdes agrandies infectés. • Allaitement au biberon: - Allaitement au biberon exige une plus négative intra-orale pression qui peut précipiter le lait vers le rhinopharynx. - Bouteille de lait est responsable de la contamination et n'a pas les propriétés protectrices du lait maternel.
• Une forte relation existe entre l'otite moyenne et des pauvres conditions socio-économiques, le surpeuplement, la malnutrition, et les états d'immunodéficience. • Bactériologie Les organismes communs incluent: hemolyticus, Streptococcus pneumoniae et H. influenzae est plus fréquente durant l'enfance et la petite enfance. L'infection virale précède souvent l'invasion bactérienne secondaire. • Voies d'infection • Par la trompe d'Eustache: Il s'agit de la plus fréquente route. • une perforation du tympan
• Pathologie Le processus inflammatoire passe par 3 étapes continues sans frontières nettes entre eux: • Stade de l’occlusion de trompe d’Eustache: La trompe d'Eustache est bloquée et la pression négative se développe dans l'oreille moyenne. La muqueuse de l'oreille moyenne semble gonflé et hyperémique. • Étape de l'inflammation catarrhale: Les augmentations hyperémie suivis par effusion de transsudat de capillaires dilatés sous-muqueuse. • Stade de suppuration: exsudats purulents s'accumule sous pression dans la cavité de l'oreille moyenne et peut s'étendre à l'antre mastoïdien et des cellules d'air. • Stade de la résolution: Le résultat final de l'otite moyenne aiguë, sauf si compliqué, c'est la guérison éventuelle et la restauration de la forme et la fonction normales.
• Si la condition est traitée rapidement une résolution complète se fait rapidement sans laisser aucune trace. • D'autre part, si la condition n'est pas traitée, une tache jaunâtre se développera dans le quadrant antéroinférieur de la membrane tympanique dans la plupart des cas. Elle est suivie d'une perforation de la membrane tympanique à l'écoulement de la décharge recueillies mucopurulent. • La perforation tend à guérir rapidement après le contrôle et la cessation de la décharge.
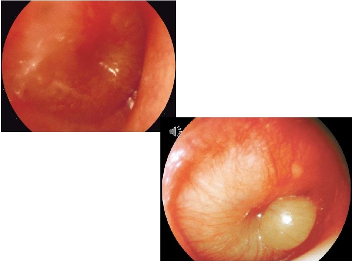
Tableau clinique L'otite moyenne aiguë est souvent précédée d'une infection des voies respiratoires supérieures. Les stades cliniques correspondent à peu près aux stades pathologiques • Stade de l’occlusion de trompe d’Eustache: • Symptômes: - Sens de plénitude dans l'oreille. - Otalgie. - Peut-être une légère fièvre. • Signes: - La membrane tympanique apparaît rétracté, congestionné, et sans éclat. La congestion commence le long de la poignée de marteau, puis le long de la périphérie de la membrane du tympan (aspect roue du chariot). - Peut-être une légère surdité.
• Stade de l'otite moyenne aiguë catarrhale: • Symptômes: - L'augmentation de mal d'oreille. - Fièvre surtout chez les nourrissons et les enfants. • Signes: - La membrane tympanique apparaît rétractée, uniformément congestionné (notamment te pars flaccide) avec une déformation ou une perte du cône de lumière. La poignée du marteau est importante, en raccourci et plus horizontale que d'habitude. La mobilité de la membrane du tympan est réduite. - Légère perte auditive.
• Stade de l'otite moyenne aiguë suppurée (avant la rupture de la membrane tympanique): • Symptômes: - Douleur lancinante sévère. - Une forte fièvre. - Peut être des vomissements ou des convulsions fébriles même. - Surdité. • Signes: - La membrane tympanique apparaît nettement congestionnée, terne, et bombé, d'abord dans la moitié postérieure, avec des repères perdus et à mobilité réduite. La poignée du marteau est moins importante et plus verticale que la normale. Le cône de lumière est absent. Plus tard apparaît une tache jaunâtre, généralement dans le quadrant antéro-inférieur, ce qui indique une rupture imminente de la membrane tympanique.
• • Stade de l'otite moyenne aiguë suppurée (après la rupture de la membrane tympanique): • Symptômes: - Soulagement rapide de la douleur, de la fièvre et d'autres symptômes. - écoulement mucopurulent qui peut être à taché premier sang. La décharge est abondante dans un premier temps, puis diminue en quantité. • Signes: - Mucopurulent décharge inodore. - Petite perforation centrale. La perforation est souvent situé dans le quadrant antéro-inférieur, mais peut être présent n'importe où dans le pars tense. Si la perforation est petite la décharge pulsations peut apparaître. Phase de résolution: Résolution peut se produire avec un traitement ou après la perforation de la membrane du tambour. Les symptômes s'estompent et dans la plupart des cas, la perforation et guérit spontanément la membrane du tympan lui redonne son apparence normale.
Traitement: • Général: - Antibiotiques - Antipyrétique-analgésiques préparations. • Local: - Avant de perforation de la membrane tympan: * Gouttes chaudes glycérine de phénol (5% pour les adultes et de 2% pour les enfants), ou préparations similaires. La glycérine est hygroscopique, le phénol est anesthésique, et la chaleur est apaisante. * Paracentèse si le tympan est trop bombé avec perforation imminente. • - Après perforation de la membrane du tambour: * Culture et de la sensibilité de la décharge. * Le nettoyage fréquent de l'oreille. *Goutes antibiotiques d’oreille. * Le traitement et le suivi doit être poursuivi jusqu'à disparition complète de l'infection. Ne pas le faire peut causer: Récurrence rapide de l'infection aiguë. , La surdité persistante due à la résolution incomplète et l'absorption du liquide dans l'oreille moyenne.
• L'otite moyenne aiguë nécrosante Une forme sévère d'otite moyenne se produisant dans malades, les enfants atteints de rougeole toxiques et d'autres exanthèmes. • Elle est causée par le streptocoque hémolytique virulent et se caractérise par une nécrose et une desquamation des tissus. Cela prédispose à la chronicité de l'infection, la formation d'un cholestéatome (secondaire acquise), les granulations, et la survenue de complications.
• Caractéristiques cliniques: • La perforation du tympan est généralement de grande taille en forme de rein (comme la périphérie a un meilleur approvisionnement en sang), ou subtotale (c. plus grande perforation centrale). Occasionnellement, il arrive à l'anneau (devient marginal). • La décharge est souvent nauséabonde. • Surdité est plus sévère que dans l'otite moyenne aiguë suppurée. • Les complications sont plus susceptibles de se produire. Traitement: • Fréquentes toilettes sonores (nettoyage). • Culture et de la sensibilité de la décharge. • Les antibiotiques systémiques et locaux. • Traitement des séquelles et des complications