OSTEOMIELITE E ARTRITE SPTICA CAMILA VITRIA HOSPITAL REGIONAL

















































- Slides: 49
OSTEOMIELITE E ARTRITE SÉPTICA CAMILA VITÓRIA HOSPITAL REGIONAL DA ASA SUL/SES/DF BRASÍLIA, 6/5/2011 WWW. PAULOMARGOTTO. COM. BR
OSTEOMIELITE
INTRODUÇÃO Infecção do osso Geralmente de origem bacteriana Os microorganismo podem atingir o osso das seguintes maneiras: Invasão hematogênica (bacteremia) Inoculação direta (trauma) Infecção contígua (celulite)
INTRODUÇÃO Epidemiologia Maior incidência nas 2 primeiras décadas de vida (metade ocorre com menos de 5 anos) 2 meninos : 1 menina Fatores de risco Neonatos criticamente doentes Hemoglobinopatia (Doença falciforme) Imunodeficiência
SITIO DE INFECCAO Geralmente ocorre apenas em um sítio RN criticamente doentes ou causado por MRSA vários sítios Osso longos são os mais atingidos (80%) Metafise Femur, tibia ou umero Coluna (discite) 1 -2% lombar
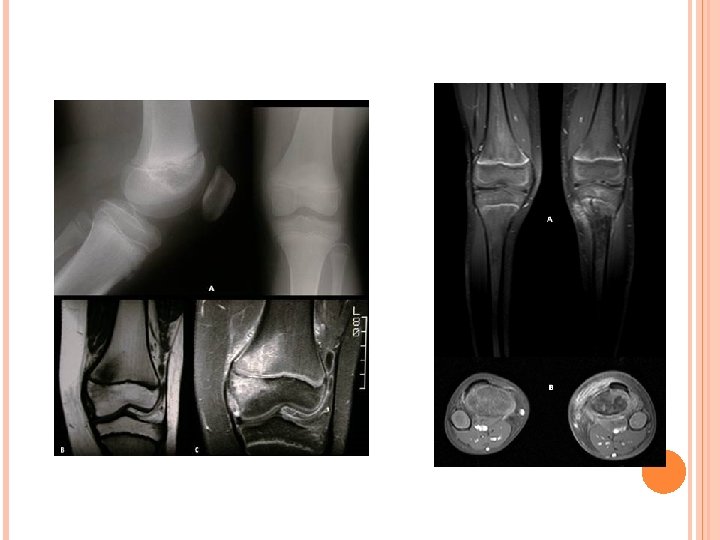
SITIO DE INFECÇÃO
FISIOPATOLOGIA
FISIOPATOLOGIA
AGENTES PATOGENICOS S. aureus Estreptococos do grupo A MRSA Estreptococos do grupo B / E. coli Neonatos S. pneumoniae H. influenzae ( devido vacinação) Salmonella Anemia falciforme Pseudomonas imunodeprimidos e grandes queimados
CARACTERISTICAS CLINICAS Inicialmente são inespecificos e leve Mal estar e febre baixa Eritema e edema local Dor localizada Diminuição da mobilidade Com o avançar da idade os sintomas vão tornando-se de inespecíficos para mais específicos.
QUADRO CLÍNICO Recém nascidos Intensa irritabilidade Ausência de um estado toxêmico evidente Dor a manipulação Pseudoparalisia Drenagem de material purulento através da pele Mais susceptível a artrite séptica
QUADRO CLÍNICO Lactentes >1 ano até pré-escolar dor e impotência funcional edema e abscesso subperiostal Escolar e adolescente Sinais e sintomas focais Menos restrição funcional Ponto doloroso bem circunscrito Lesão raramente ultrapassa córtex
DIAGNÓSTICO Historia clinica e sintomas Exames laboratoriais HC Exames de imagem RX / VHS / PCR / Cintilografia / RNM / TC / USG Cultura
DIAGNÓSTICO EXAMES LABORATORIAIS Aumento do nível de leucócitos Aumento do VHS (92%) Aumento da PCR (98%) Úteis para monitorizar a evolução da doença e a resposta ao tratamento
DIAGNÓSTICO EXAMES DE IMAGEM Radiografia simples Realizado em todos os pacientes Método tardio Excluir outras diagnósticos Alterações: >7 dias dos sintomas – elevação periosteal, espessamento cortical 10 -21 dias – destruição ossea
1 semana de sintomas
DIAGNÓSTICO EXAMES DE IMAGEM Cintilografia (Tecnécio-99) Mais sensível e mais rápido Diagnostico precoce (1 as 24 horas) Captação do radioisotopo local da osteomielite aguda Altamente sensível (84 -100%) e especifico (70 -96%)
DIAGNÓSTICO EXAMES DE IMAGEM RNM Alta sensibilidades (97%) e especificidade (92%) Delinear a localização e extensão do comprometimento osseo Envolvimento da placa de crescimento
DIAGNÓSTICO EXAMES DE IMAGEM TC Preferivel quando já tem destruição ossea Nem a TC e nem a RNM são recomendados como primeira escolha Alto custo Requer sedação Não podem mapear o corpo todo
DIAGNÓSTICO CULTURA Isolamento do microrganismo Definitivo A partir da punção ossea (70 -80%) ou hemocultura (40 -50%) Em 50% dos casos não se isola nenhum patógeno ou seja cultura negativa.
DIAGNOSTICO DIFERENCIAL Lesão musculo-esqueletica Artrite séptica Celulite Fasciite Câncer Infarto ósseo
TRATAMENTO Cuidados gerais Hidratação Analgésico Antibioticoterapia Influenciada pelo agente causador de 90% dos casos (Staphylococcus aureus) Acompanhamento ortopédico
TRATAMENTO Antibióticos: Oxacilina: 200 mg/kg/dia IV Clindamicina 30 – 50 mg/Kg/dia Cafalosporina de 1 geração MRSA: vancomicina 30 – 50 mg/Kg/dia AF: oxacilina + cefalosporina de 3 geração RN: oxacilina + gentamicina
TRATAMENTO Antibioticoterapia sequencial tratamento IV VO Transição para VO, geralmente 7 – 10 dias apos IV, se: Inicia Afebril por 48 -72 horas Melhora dos sinais e sintomas VHS e PCR reduzidos Drogas: doses + elevada que o habitual Amoxicilina + clavulanato Cefalexina Clindamicina
TRATAMENTO Duração Baseada na resposta clinica e resolução dos marcadores de inflamação PCR normaliza em 2 semanas VHS normalizada em 3 ou mais semanas Mínimo de 4 semanas Acompanhamento: 1 -2 semanas VHS, bioquimicas e Rx
TRATAMENTO Falha terapeutica Sintomas prolongados Elevação ou declínio prolongado do VHS ou PCR Progressão de anormalidades radiográficas Complicação Dx errôneo ATB ineficaz (patógeno incomum)
INDICAÇÃO PARA TRATAMENTO CIRÚRGICO Abscessos subperioteal drenar Sequestros osseos Focos infecciosos contiguos remover debridar + ATB
OSTEOMIELITE CRÔNICA Rara Consequente a uma osteomielite não diagnosticada ou tratada inadequadamente Sinais e sintomas de inflamação ossea por mais de 2 semans + Rx evidenciando osso desvitalizado. Tratamento Remoção dos ossos desvitalizado ATB por 6 semanas ou mais
ARTRITE SÉPTICA
INTRODUÇÃO Processo infeccioso articular agudo causado por germes piogênicos 2 meninos : 1 menina Ocorre mais comumente na infância (< 3 anos) Local de acometimento: Joelho Quadril
FISIOPATOGENIA Via hematogenica: Bacteremia (IVAS, pele, TGI) Inoculação direta Articulação invadida por um objeto contaminado (punção) Considerar infecções polimicrobianas. Contiguidade Osteomielite dos RN e lactentes jovens
FISIOPATOGENIA Membrana sinovial altamente vascularizada e ausência de membrana basal Facilidade para a bactéria atingir a sinóvia durante bacteremia Liberação de citocinas Estimulam liberação de enzimas proteolíticas Aumentam migração dos leucócitos Derrame articular, edema Degradação da cartilagem
Anemia falciforme Salmonela
CLÍNICA Local de infecção MMII Quadril, joelho e tornozelo (80%) Unilateral Idade RN e lactentes Septicemia (irritabilidade, má alimentação) Febre sem foco Pseudoparalisia Desconforto quando manuseado Posicionamento antalgico
CLINICA Idade Crianças mais velhas e adolescentes Febre Sintomas constitucionais Dor a movimentação Recusa a andar Quadril: Criança quieta com joelhos e a coxa fletidos, coxa em rotação externa. Ombro: Criança segura o braço contra o tórax para imobilizar a articulação.
DIAGNOSTICO Historia Caracterização da dor (constante) Uso recente de ATB (mascara clinica) Doença concomitante ou recente Vacinação (Rubéola) Exame físico Mantém a articulação em uma posição que maximiza o conforto Examina todas as articulações, se mais de 1 envolvida provavelmente será outra artropatia Sinais flogísticos na articulação envolvida Diminuição da amplitude de movimento
DIAGNOSTICO Exames laboratoriais Hemograma completo VHS PCR Hemocultura Utilizados para avaliar o curso da doença e a resposta ao tratamento
DIAGNÓSTICO Exames de imagem Radiografia Alargamento do espaço articular Ao analisar as radiografias, é útil comparar a extremidade envolvida com o lado oposto USG Derrames articulares
DIAGNÓSTICO Exames de imagem Cintilografia Diagnostico precoce Suspeita de osteomielie RNM Mais sensível para derrame articular Avalia possível osteomielite ou abscesso se não há resposta em 48 horas de ATB
DIAGNOSTICO Punção articular SEMPRE Diagnostico definitivo Cultura Bioquimica: contagem de leucócitos do líquido sinovial de> 50. 000 células / micro. L, com predominância de polimorfonucleares (PMN). Glicose < 40 mg/dl Elevada concentração de proteínas Aspiração do liquido sinovial e colher hemocultura Inicia ATB
TRATAMENTO Antibióticos Sempre fazer cobertura para S. aureus. Dependendo da idade outros antibióticos devem ser associados. Oxacilina: 200 mg/kg/dia IV Clindamicina 30 – 50 mg/Kg/dia Cafalosporina de 1 geração MRSA: vancomicina 30 – 50 mg/Kg/dia AF: oxacilina + cefalosporina de 3 geração RN: oxacilina + gentamicina
TRATAMENTO Analgesia Anti-inflamatorio Corticoterapia? ? ? Tratamento ortopédico Drenagem cirúrgica da articulação ou punções articulares repetidas. Resposta terapêutica favorável: Resolução da febre e dos sintomas (dor, mobilidade) DIMINUIÇÃO DO VHS
TRATAMENTO Duração, terapia sequecial e acompanhamento = osteomielite RN: toda terapia deve ser parenteral Lactentes e crianças; terapia sequencial se melhora clinica e laboratorial. Complicações Luxação Anormalidade do crescimento Necrose avascular Fraturas patológicas
TRATAMENTO Punção negativa, sem pus: Imobilização Antibiótico? ? ? Punção positiva com saída de liquido espesso ou resposta desfavorável em 48 horas após ATB Drenagem ATB cirurgica
FATORES DE MAU PROGNOSTICO Atraso do tratamento Envolvimento do quadril Osteomielite concomitante Idade precoce (< 1 ano)
ARTRITE SÉPTICA X OSTEOMIELITE Não confundir artrite séptica com osteomielite Osteomielite Inchaço não se limita a articulação mas se estende por todo o membro acometido; Permite a movimentação articular; Quadro clínico não condiz com a severidade do quadro. Artrite séptica A articulação é que está inchada; Dor intensa impede a movimentação Posicao antalgia; Quadro clínico compatível com a severidade da doença.
BIBLIOGRAFIA MURAHOVSCHI, Jayme. Pediatria: diagnóstico + tratamento. 6. ed. São Paulo, SP: Sarvier, 2006 FARHAT, Calil Kairalla; CARVALHO, Luiza Helena Falleiros Rodrigues; SUCCI, Regina Célia de Menezes. Infectologia pediátrica. 3. ed. São Paulo, SP: Atheneu, 2008. KLIEGMAN, Robert M. ; JENSON, Hal B. . Nelson: princípios de pediatria. 5. ed Rio de Janeiro, RJ: Saunders, 2006 Uptodate Bacterial arthritis: Epidemiology, pathogenesis, and microbiology in infants and children Bacterial arthritis: Clinical features and diagnosis in infants and children Bacterial arthritis: Treatment and outcome in infants and children Epidemiology, pathogenesis, and microbiology of hematogenous osteomyelitis in children Clinical features of hematogenous osteomyelitis in children Evaluation and diagnosis of hematogenous osteomyelitis in children Treatment of hematogenous osteomyelitis in children
OBRIGADA!!!!