Osteology and the Muscles of Mastication Lecture 5

  • Slides: 34
Download presentation

Osteology and the Muscles of Mastication Lecture #5

Osteology and the Muscles of Mastication Lecture #5

Mandible-lateral, exterior view

Mandible-lateral, exterior view

Mandible-lateral, interior view

Mandible-lateral, interior view

Mandibible-Superior view

Mandibible-Superior view

Cranium view

Cranium view

Maxilla-Inferior view

Maxilla-Inferior view

Muscles • Origin-The stable anchor point of the muscle • Insertion-the anchor point that

Muscles • Origin-The stable anchor point of the muscle • Insertion-the anchor point that moves when muscle is contracted • Action-What happens when the muscle is contracted

Masseter Muscle

Masseter Muscle

Temporalis muscle

Temporalis muscle

Medial Pterygoid

Medial Pterygoid

Lateral Pterygoid muscle

Lateral Pterygoid muscle

TMJ/TMD/MPD

TMJ/TMD/MPD

 • TMJ disfunction-Tempromandibular joint disfunction • TMD-Tempromandibular disfunction • MPD-Myofacial pain disfunction

• TMJ disfunction-Tempromandibular joint disfunction • TMD-Tempromandibular disfunction • MPD-Myofacial pain disfunction

Subjective Symptoms • • Headaches Jaw pain Ringing in the ears Pain with chewing

Subjective Symptoms • • Headaches Jaw pain Ringing in the ears Pain with chewing Grinding or clenching of teeth Neck aches Clicking jaw

Objective Symptoms • • Abnormal wear patterns on the teeth Deviated path of opening

Objective Symptoms • • Abnormal wear patterns on the teeth Deviated path of opening or closing Three finger rule Tenderness in muscles, especially the Lateral Pterygoid • “Can you chew a piece of gum comfortably” • Headaches focusing around the temporalis area or above the eyes

Demographics of disease • Women have the problem three times as often as men

Demographics of disease • Women have the problem three times as often as men • Problem often occurs after a traumatic event • Depression often comes along with TMD • High stress people (Type A personalities) • Certain jobs which compromise posture. (ie computer jobs)

Clicking of the jaw

Clicking of the jaw

Treatment of disease • Conservative versus Aggressive therapy • Aggressive – Surgery – Orthodontics

Treatment of disease • Conservative versus Aggressive therapy • Aggressive – Surgery – Orthodontics – Crown and Bridge or new dentures • Conservative – – – – limiting use of the joint anti-inflammatory drugs physical therapy or massage Exercise splints to manage grinding emotional counseling anti-depressant drugs.

NTI appliance

NTI appliance

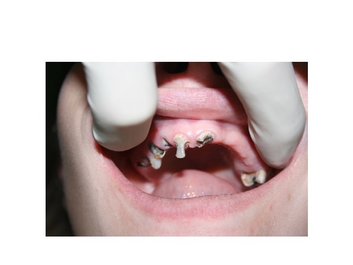
Methamphetamine-Lower anterior

Methamphetamine-Lower anterior

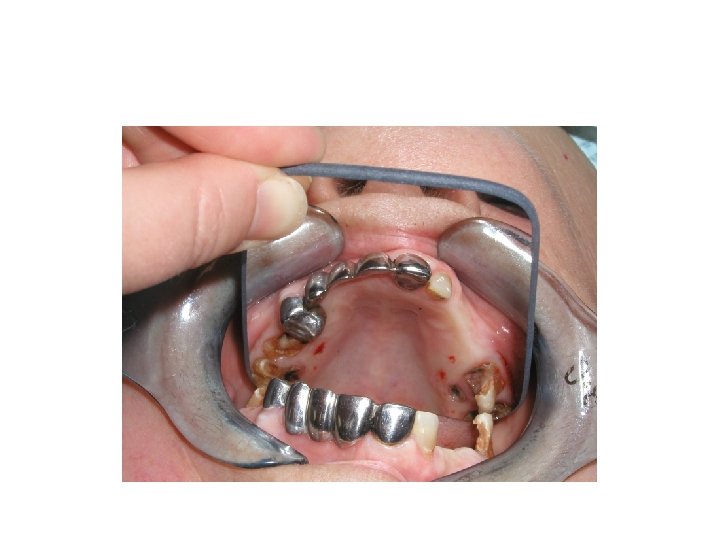
Methamphetamine-Upper anterior

Methamphetamine-Upper anterior