ORGANON VISUS VESTIBULOCOCHLEAR E HISTOLOGY LAB DEPARTMENT MEDICAL
ORGANON VISUS & VESTIBULOCOCHLEAR E HISTOLOGY LAB. DEPARTMENT MEDICAL & HEALTH SCIENCE FACULTY MUHAMMADIYAH YOGYAKARTA UNIVERSITY
BULBUS OCULI (EYEBALL/BOLA MATA)
A. TUNICA FIBROSA BULBI 1. SCLERA 2. CORNEA 3. LIMBUS
B. TUNICA VASCULOSA BULBI 1. CHOROIDEA 2. CORPUS CILIARE 3. IRIS
C. TUNICA SENSORIA BULBI (RETINAE) 1. PARS OPTICA 2. ORA SERRATA 3. PARS CILIARIS 4. PARS IRIDICA
PALPEBRA (EYELID / KELOPAK MATA)
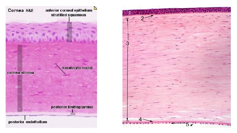
KORNEA (CORNEA / KORNEA)
1. EPITHELIUM ANTERIOR (EPITELIUM STRATIFICATUM SQUAMOSUM) 2. LAMINA LIMITANS ANTERIOR 3. SUBSTANSIA PROPRIA 4. LAMINA LIMITANS POSTERIOR 5. EPITHELIUM POSTERIOR (EPITHELIUM SIMPLEX CUBOIDEUM)
CORPUS CILIARIS (CILIARY BODY / BADAN SILIARIS)
RETINA (RETINA / RETINA)
1. STRATUM PIGMENTOSUM 2. STRATUM NERVOSUM 3. STRATUM LIMITANS EXTERNA 4. STRATUM NUCLEARE EXTERNA 5. STRATUM PLEXIFORMIS EXTERNA 6. STRATUM NUCLEARE INTERNA 7. STRATUM PLEXIFORMIS INTERNA 8. STRATUM GANGLIONARE 9. STRATUM NEUROFIBRARUM 10. STRATUM LIMITANS INTERNA
Figure 4. Retina, transverse section (Bouins, H&E, Bar = 20. 5 µm). 1. pigment epithelium; 2. photoreceptor layer (cones and rods); 3. outer limiting membrane; 4. outer nuclear layer; 5. outer plexiform layer; 6. inner nuclear layer; 7. inner plexiform layer; 8. ganglion cell layer;
GLANDULA LACRIMALIS (LACRIMAL GLAND / KELENJAR AIR MATA)
VERTIBULOCOCHLEAR
ORGAN OF CORTI ORGANON SPIRALE / ORGAN CORTI
- Slides: 30