Oral Lichen Planus Dept of Oral Maxillofacial Surgery

  • Slides: 29
Download presentation
Oral Lichen Planus Dept. of Oral & Maxillofacial Surgery, Dental Clinic, Gachon Medical School,

Oral Lichen Planus Dept. of Oral & Maxillofacial Surgery, Dental Clinic, Gachon Medical School, Ghil Medical Center Nam Hun Kim

Introduction l l l 0. 5 -2. 2% 30 -60 Years, Female Mild, Chronic,

Introduction l l l 0. 5 -2. 2% 30 -60 Years, Female Mild, Chronic, Resolve within 2 years Punctuation, by Acute Exacerbations Oral Neoplasia : Close Observation

Diagnosis (감별) l l l Lichenoid lesion, Leukoplakia, Lichen sclerosis, Lupus erythematosus, chronic. Ulcerative

Diagnosis (감별) l l l Lichenoid lesion, Leukoplakia, Lichen sclerosis, Lupus erythematosus, chronic. Ulcerative stomatitis, Malignant neoplasia

Risk of Malignat Transformation l l l Controversial 1. 2% 3 years After Dx.

Risk of Malignat Transformation l l l Controversial 1. 2% 3 years After Dx. Current increase state High risk : 1. Atrophic plaque type 2. Lesion on Tongue, Mouth floor 3. Smoking, Alcoholism

Examination l l Histologic biopsy Immunofluorescence conformation

Examination l l Histologic biopsy Immunofluorescence conformation

Management (General Measures) l l • • Oral hygiene: CHX , antibacterial mouth wash

Management (General Measures) l l • • Oral hygiene: CHX , antibacterial mouth wash Dental restoration 에 의한 마찰력 Past hx : immunosuppressive agent Saliva collection & culture : Recurrent Candidiasis Antifungal Tx ( Nystatin Oral suspension Miconasole gel, amphotericin lozenges)

Topical agents l l l Analgesia : Lidocaine gel, dyphenhydramine Topical steroids (first of

Topical agents l l l Analgesia : Lidocaine gel, dyphenhydramine Topical steroids (first of choice) Triamcinolone : 경미한 증상의 OLP

Topical agents Fluocinonide : 0. 025% l Betamethasone valate : Aerosol type, l Clobetasol

Topical agents Fluocinonide : 0. 025% l Betamethasone valate : Aerosol type, l Clobetasol proprionate l

Topical agents l Topical Cyclosporin 1. Controversial 2. Expensive 3. No commercially preparations

Topical agents l Topical Cyclosporin 1. Controversial 2. Expensive 3. No commercially preparations

Systemic agent l Prednisolone 1. Topical 로 치료가 안될경우 2. 30 -60 mg 을

Systemic agent l Prednisolone 1. Topical 로 치료가 안될경우 2. 30 -60 mg 을 2 -3 주간 매일 사용

Surgical Techniques l l l Surgical excision & biopsy cryotherapy, CO 2 laser, ND:

Surgical Techniques l l l Surgical excision & biopsy cryotherapy, CO 2 laser, ND: YAG laser

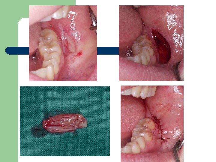
Case Report 1 27 Y/F 초진 : Lt. lower buccal area 1개월 전부터 ulceration

Case Report 1 27 Y/F 초진 : Lt. lower buccal area 1개월 전부터 ulceration EX. Bx. 1주일 후 : f/u

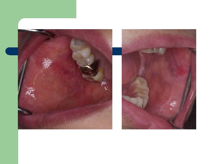
Case Report 2 l l 37/M 초진: 4개월 전부터 입안이 쓰리고 아픔 Both lower

Case Report 2 l l 37/M 초진: 4개월 전부터 입안이 쓰리고 아픔 Both lower buccal mucosa ulceration white patch Rx) Oradex. 10 A + saline 100 cc • 1주일 후: 증상호전

Case Report 3 l l • 60/F 초진: 4년전 입안이 벗겨지고 쓰림. white linear

Case Report 3 l l • 60/F 초진: 4년전 입안이 벗겨지고 쓰림. white linear striae Mild erythmatous, imflammatory state Rx) Methyl prednisolone po. B-com (Vit. ) 1주일후 : SX. Retained Rx. ) Trental po.