Oral cavity and pharynx Face Facies labia oris
Oral cavity and pharynx
Face = Facies • labia oris (sup. +inf. ) – frenulum • angulus oris • philtrum • sulcus – mentolabialis – nasolabialis • bucca = cheek – m. buccinator – corpus adiposum buccae Bichati = buccal pat pad • extensions
General structure of digestive tube • tunica mucosa (mucosa; mucous membrane) – epithelium – lamina propria mucosae – lamina muscularis mucosae • tela submucosa (submucosa) • tunica muscularis (muscular layer) • tunica serosa (serosa) x tunica adventitia (adventitia)
General structure of digestive tube tunica serosa / tunica adventitia tunica muscularis tela submucosa tunica mucosa
Tunica mucosa epithelium lamina propria mucosae connective tissue blood vessels, lymphatics, macrophages and lymphocytes, sometimes glands mucosa lamina muscularis mucosae smooth muscles movements of mucosa – better contact with food
Tela submucosa connective tissue blood and lymph vessels, glands, lymphoid tissue submucosa submucous plexus (of Meissner) of autonomic nerves function: secretion
Tunica muscularis longitudinal circular muscularis Cajal cells - pacemaker smooth muscle cells 2 sublayers 1) internal - circular 2) external - longitudinal myenteric plexus – (of Auerbach) contraction of muscular layer Enteric nervous system – part of autonomic nervous system • plexus submucosus et myentericus • aggregates of nerve cells that form parasympathetic ganglia (contains autonomic neurons) • origin from neural crest
Enteric nervous system • Hirschsprung disease (megacolon congetinum, aganglionosis intestinalis) – cells from neural crest do not migrate properly • Chagas disease (American trypanosomiasis) – – parasite (Trypanosoma cruzi) trasmitted by "kissing bugs“ injures nervous plexuses dilations (mega-oesophagus, megacolon)
Tunica serosa / Tunica adventitia serosa / adventitia tunica serosa • simple squamous • mesothel + tela subserosa • connective tissue • rich in vessels and adipose tissue • continuous with mesenterium and peritoneum • only on organs which are inside the abdominal cavity (= intraperitoneal organs) tunica adventitia • connective tissue • on organs outside the abdominal cavity and on retroperitoneal organs
Oral cavity (Cavitas oris) • oral vestibule (vestibulum oris) • oral cavity proper (cavitas oris propria) – hard palate (palatum durum) – soft palate (palatum molle) – gum (gingiva) – tongue (lingua) – teeth (dentes) – salivary glands (glandulae salivariae)
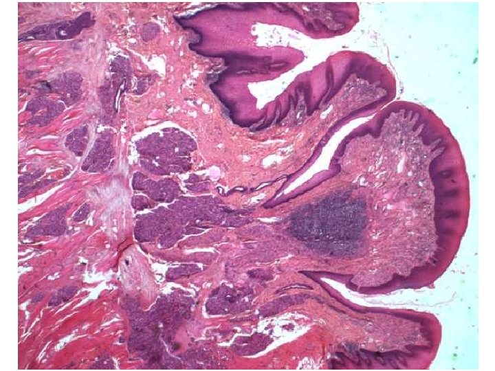
Oral cavity (Cavitas oris) • lips – transition to keratinizing epithelium – – pars cutanea pars intermedia (vermilion part) – glandulae sebaceae pars mucosa – glandulae labiales m. orbicularis oris (n. VII • stratified sqamous non-keratinizing epithelium (epithelium stratificatum squamosum non cornificatum / paracornificatum) • lamina propria mucosae underlied with submucosa containing small salivary or mucinous gland (soft palate)
Stratified sqamous epithelium • keratinizing – skin, hard palate, gum • non-keratinizing – rest of oral cavity, pharynx, oesophagus
• m. buccinator (n. VII) covered by fascia buccopharyngea • corpus adiposum buccae (buccal fat pad of Bichat) – reaches under ramus mandibulae into the fossa infratemporalis • glandulae buccales • ductus parotideus • papilla parotidea in vestibulum oris – at the level of the 2 nd upper molar https: //web. duke. edu/anatomy/Lab 17. html Cheek (bucca)
Oral cavity (Cavitas oris) • rima oris (oral fissure) isthmus faucium (isthmus of fauces) borders: • ventrally and externally: lips (labia oris) and cheeks (buccae) • roof: palate (palatum) • floor: m. mylohyoideus and m. geniohyoideus • vestibulum oris (oral vestibule) – fornix vestibuli sup. + inf. – frenulum labii sup. + inf. – papilla parotidea
Tongue (Lingua, Gr. glossa) • apex • corpus (body) – dorsum – facies inferior • radix (root) • margo (margin) • sulcus (groove) – terminalis – medianus (midline) • foramen caecum • tonsilla lingualis
Development of tongue - overview • 1 st pharyngeal arch → tuberculum impar + tubercula lateralia • 2 nd pharyngeal arch → overgrown by 1 st • 3 rd pharyngeal arch → cupola • 4 th pharyngeal arch → eminetia hypopharyngea • occipital somites → muscles
Tongue – structure • dorsum – papillae • radix – tonsilla lingualis • facies inferior linguae – frenulum – plica sublingualis • openings of ductus sublinguales minores – caruncula sublingualis (sublingual caruncle) • opening of ductus sublingualis major et dutcus submandibularis – plica fimbriata (remnant of mucous „sublingua“)
Tongue - structure – lamina propria mucosae tvoří vysoké papily • papillae filiformes • papillae fungiformes – sparse gustatory buds • papillae foliatae - rudimentary • papillae vallatae - 12 shaped as letter „V“ – glandulae gustatoriae (= Ebner´s serous glands) – gustatory buds – tunica submucosa is missing at dorsum! – stratified muscle in 3 planes
Papillae of tongue (Papillae linguales)
papillae vallatae papillae foliatae papillae filiformes papillae fungiformes
Taste buds (Gemmae gustatoriae) • in all papillae (except for papillae filiformes) • most of them within papillae vallatae • papilla vallata – vallum papillae – sulcus papillae • serous salivary glands (of von Ebner) glandulae gustatoriae – wash food particles away
Tongue – muscles • aponeurosis, septum (incomplete) • intraglossal – n. hypoglossus – m. longitudinalis sup. et inf. – m. transversus – m. verticalis
Extraglossal muscle of tongue innervation – n. hypoglossus • m. genioglossus • m. hyoglossus • m. styloglossus • m. palatoglossus ! exception ! – n. vagus
Extraglossal muscle of tongue
Tongue – vessels and nerves • arteries: a. carotis ext. → a. lingualis • veins: v. lingualis, v. comitans n. XII. → v. jugularis int. • nerves: – motor n. XII, n. X (m. palatoglossus) – sensory n. V 3. (n. lingualis), n. IX, n. X – gustatory VII. (chorda tympani), n. IX, n. X
Tongue – lymph drainage nodi lymphoidei cervicales profundi • tip n. l. submentales • margins n. l. submandibulares • corpus, dorsum n. l. cervicales profundi – n. l. jugulo-digastricus + jugulo-omohyoideus • ! contralateral connections !
Salivary glands (Glandulae oris) oris • major salivary glands (glandulae salivariae majores) – gl. parotidea – gl. sublingualis – gl. submandibularis • minor salivary glands (glandulae salivariae minores) – gll. labiales, buccales, molares, palatinae – gll. linguales anteriores (Blandini-Nuhni) – gll. lingulaes posteriores • pars profunda = gl. gustatoria (von Ebneri) • pars superficialis = gl. radicis linguae (Weberi)
• hrad palate (palatum durum) • soft palate (palatum molle) – aponeurosis (formed by fuesd tendons of tensor veli palatini) – uvula (seals nasopharynx in swallowing) – arcus palatoglossus – arcus palatopharyngeus = isthmus faucium • palatine tonsil (tonsilla palatina) Throat (Fauces)
Isthmus faucium • arcus palatoglossus (palatoglossal arch; anterior pillar of fauces) • fossa (sinus) tonsillaris • tonsilla palatina – capsula – fossula – cryptae • fossa supratonsillaris • arcus palatopharyngeal arch (posteiror pillar of fauces)
Muscles of soft palate innervation: plexus pharyngeus = n. vagus (n. X) • • • m. levator veli palatini m. uvulae m. palatoglossus m. palatopharyngeus m. tensor veli palatini – ! exception ! n. V 3 (mandibularis)
Hltan – pars nasalis = nasopharynx; epipharynx • fornix § fascia pharyngobasilaris § sinus Morgagni § recessus pharyngeus Luschkae (remnant after notochord) § pharyngeal tonsil (tonsilla pharyngealis Luschkae) § tuba auditiva Eustachii § torus tubarius § tonsilla tubaria Gerlachi § recessus pharyngeus Rosenmülleri § pseudostatified columnar epithelium with kinocilia
Hltan (Pharynx)
Hltan – other parts pars oralis (oropharynx; mezopharynx) • valleculae epiglotticae • plica glossoepiglottica mediana + laterales pars laryngea (laryngopharynx; hypopharynx) • recessus piriformis • aditus laryngis both lined with stratified nonkeratinizing squamous epithelium
Pharynx – surrounding spaces • fascia cervicalis • spatium parapharyngeum (lateropharyngeum) – spatium prestyloideum – septum styloideum (aponeusoris stylopharyngea) • 5 muscles and ligament • m. stylopharyngeus + m. styloglossus + m. stylohyoideus + lig. stylohyoideum + venter posterior m. digastrici + m. sternocleidomastoideus spatium retrostyloideum • spatium retropharyngeum
Muscles of pharynx • raphe pharyngis • fascia pharyngobasilaris • sinus Morgagni • 3 constrictors • 3 levators • innervation: plexus pharyngeus (n. X) – except m. stylopharyngeus (n. IX)
Muscles of pharynx • constrictors (mm. constrictores) – m. c. superior – 4 parts – origin at skull (3) and tongue (1) – m. c. medius – 2 parts – origin at hyoid bone – m. c. inferior – 2 parts – origin at laryngeal cartilages • levators (mm. levatores) – m. palatopharygeus • part of soft palate muscles, base of palatopharyngeal arch – m. salpingopharyngeus – m. stylopharyngeus • ! exception ! – innervated by n. IX
Pharynx – blood supply • arteries: a. carotis externa → – – • a. pharyngea ascendens a. facialis → a. palatina ascendens a. lingualis → rr. dorsales linguae a. maxillaris → a. palatina major, a. canalis pterygoidei, r. pharyngeus veins: plexus (venosus) pharyngeus → v. facialis → v. jugularis interna
Pharynx – lymph and nerves • lymph: n. l. retropharyngei, n. l. paratracheales → n. l. cervicales profundi • nerves: form plexus pharyngeus – motor n. X (plexus pharyngeus), n. IX (m. stylopharyngeus) – sensory n. X + n. IX (plexus pharyngeus), n. V 2 (n. pharyngeus for nasopharynx) – autonomic (plexus pharyngeus) • n. X = parasympathetic • rr. laryngopharyngei = sympathetic
Anulus lymphoideus pharyngis Waldeyeri • tonsilla lingualis – crypta, noduli – one smaller crypt • tonsilla palatina – fossulae, cryptae, capsula – thick capsule • tonsilla pharyngealis = adenoid vegetation – fossulae, cryptae, noduli – no crypts, thin capsule • tonsilla tubaria Gerlachi – cryptae
Sites with weakened wall • trigonum Killiani – cranially: m. thyropharyngeus (m. constrictor ph. inf. ) – caudally: m. cricopharyngeus (m. constrictor ph. inf. ) – diverticulum of Zenker (= pharyngo-oesophageal diverticle; dehiscence of Killian) • trigonum Laimeri – cranially: m. cricopharyngeus – caudally: upper oblique fibres of longitudinal muscle layer of oesophagues • (area Killian-Jamieson) – at lateral side of oesophagus – diverticulum of Killian-Jamieson
End Identification of dead
TEETH dens, dentis odus, odonotos
Dentes = Teeth • arcus dentalis superior (elipsoid) • inferior (parabolic) • dentes permanentes - 32 • dentes decidui - 20 dens incisivus (= cutter, incisive/incisor tooth) 8/8 caninus (= eyetooth, cuspid) 4/4 premolaris (= premolar, bicuspid tooth) 8/0 molaris (= molar, grinder, cheetooth) 12/8
Teeth – parts • • corona cervix radix pulpa
Surfaces and directions • occlusalis • vestibularis (buccalis/labialis) • lingualis (upper teeth) palatinalis (lower teeth) • mesialis • distalis
Teeth – fixation • gomphosis = dentoalveolar juncture • situated in the bonyalveolus dentalis of jaw • periodontium parodontium = all structures around tooth
Peridontium • ligaments between tooth and alveolus (fixed firmly into bone) • collagen fibres (serve as bone periosteum) • fixation systém of tooth = fibres of various directions • they penetrate into cement • high connective tissue regeneration, plasticity – orthodontia • atrophy in lack of proteins and vitamine C scurvy (= scorbute)
Macroscopy and fication of tooth
Dentition as a whole mordex = dentition • orthodent position (teeth are vretically) • occlusion – 80% psalidodontia („scissors occlusion“) = norm – progenia = lower teeth in front of upper ones – hiatodontia (= mordex apertus), stegodontia, prognathia, opisthodontia
Dental formula • cross with letters – lower case = deciduous – UPPER CASE = permament • cross with numbers • numerical – 1 -4 quadrants (from right upper one clockwise) = PERMANENT – 5 -8 (idem) = deciduous
Dental formula
Teeth - structure • dentine = dentinum (substantia eburnea) • enamel = enamelum (substantia adamantina) • cement = cementum (substantia ossea) • pulp = pulpa – loose connective tissue, vessels, nerves
- Slides: 66