Olgu Sunumu Dr Murat MAL Do Dr Zeynep












































- Slides: 44
Olgu Sunumu Dr. Murat İMAL Doç. Dr. Zeynep Seda UYAN
Kocaeli Üniversitesi Tıp Fakültesi Çocuk Sağlığı ve Hastalıkları Anabilim Dalı Göğüs Hastalıkları Bilim Dalı Olgu Sunumu 20 Haziran 2013 Dr. Murat İmal Doç. Dr. Zeynep Seda Uyan
H. E. • 10 aylık erkek hasta
• Şikayeti: Ateş, kusma, ishal
2 hafta önce ateş, kusma, ishal şikayetiyle başvurduğu hastanede yatırılarak tedavisi başlanan hastanın yatışının 5. gününde ani solunum sıkıntısının başlaması ve morarmasının olması üzerine hastanın akciğer grafisi çekilmiş.
• Prenatal: Annenin 4. gebeliği. Gebeliği boyunca düzenli doktor kontrolü ve ultrasonografi kontrolü var. Ultrasonografi kontrollerinde bir patoloji saptanmamış. • Natal: Fatih Devlet Hastanesi'nde, miyadında da normal vajinal yolla 3250 gr olarak doğmuş. • Postnatal: Doğar doğmaz ağlamış. Solunum sıkıntısı nedeniyle 20 gün küvez bakımı almış. İkter, siyanoz öyküsü yok. • Beslenme: İlk 6 ay sadece anne sütü almış, daha sonra ek gıdalara geçilmiş, hala anne sütü almakta. • Büyüme Gelişme : Başını dik tutma 6 ay, emekleme 7 ay • Aşılar : Sağlık ocağı aşıları tam. • Geçirdiği hastalıklar: Operasyon geçirme, kan alma, hastanede yatma öyküsü yok. • Alerji: Özellik yok. • Parazit, PICA : Özellik yok.
• Soygeçmiş: • Anne: 30 yaşında, okuma-yazma yok, ev hanımı, sağ-sağlıklı • Baba: 40 yaşında, 5. sınıfta ilkokul terk, memur, sağ- sağlıklı • Anne ve baba arasında akrabalık yok. • 1. çocuk: 13 yaşında kız, sağ-sağlıklı • 2. çocuk: 11 yaşında kız, sağ-sağlıklı • 3. çocuk : 8 yaşında erkek, sağ-sağlıklı 4. çocuk : Hastamız
Fizik muayene • • • Ateş: 38, 9 °C Nabız: 127/dk SS: 60/dk TA: 86/51 mm/Hg SPO 2 : %90 • • Boy: 76 cm (90 p) Kilo: 9600 gr (50 -75 p) Baş çevresi: 50 cm (>97 p) BCG Skarı (+)
Fizik Muayene • Genel durum: iyi, • Cilt: Turgor, tonus doğal, ödem siyanoz sarılık yok. Döküntü yok. • Baş-Boyun: Saç ve saçlı deri doğal, kafa yapısı simetrik, boyunda kitle LAP yok. Ön fontanel 3 cm, normal bombelikte. • Gözler: Bilateral ışık rekleksi doğal, pupiller izokorik • SS: Her iki hemitoraks solunuma eşit katılıyor. Toraks deformitesi yok. Sağ AC’de yaygın raller ve üst zonda solunum sesleri azalmış. • KVS: S 1(+), S 2(+) doğal S 3 yok, ritmik, ek ses yok, AFN +/+ • GİS: Batın rahat, defans-rebound yok, hepatosplenomegali yok, traube açık • GÜS: Haricen erkek anomali yok, testisler bilateral skrotumda • Ekstremiler: Doğal • NMS: Doğal.
Laboratuvar • • • WBC: 17, 400 /mm³ ANS: 6230 /mm³ HGB: 9, 58 g/dl PLT: 741, 000 /mm³ MCV: 81, 6 fl • CRP: 3, 69 mg/dl • Sedimentasyon: 114 mm/saat • Periferik Yayma : %52 Lenfosit, %38 PMNL, %6 Band, %4 Monosit • • • Glukoz: 91 mg/dl Kreatinin: 0, 47 mg/dl AST: 29 U/L ALT: 68 U/L Na: 131 m. Eq/L K: 5, 04 m. Eq/L Ca: 9, 9 mg/dl Total Protein: 8 g/dl Albümin: 3, 78 g/dl • TİT: Normal • İdrar sedimenti: Normal
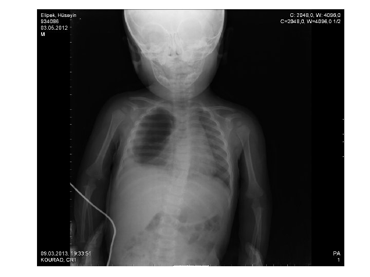
ÖZET • 10 aylık, erkek hasta, ateş kusma ve ishal şikayetleri ile izlenirken solunum sıkıntısı gelişiyor. • Takipne, saturasyon düşüklüğü, • Sağ akciğerde yaygın ral, sağ üst zonda solunum seslerinde azalma, • PA AC grafisnde sağ akciğerde havalanma artışı • AFR artışı mevcut • ÖN TANI?
• Hasta Çocuk Cerrahisi Servisi’nde değerlendirildi. • 09/03 Toraks USG : Sol kostofrenik sinüsler açıktır. Sağda en kalın yerinde 8 mm ye ulaşan plevral efüzyon izlendi.
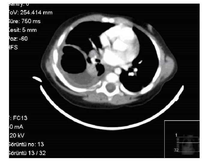
Toraks Tomografi(12/03/2013) • Sağ akciğer alt lobda içerisinde hava sıvı seviyesi izlenen kalın duvarlı ve duvar kontrastlanması gösteren abse ile uyumlu lezyon. • Sağ akciğer üst lob posterior ve alt lob superiorda pnömonik konsolidasyon. • Sağda plevral effüzyon.
• Hastaya Akciğer absesi düşünülerek Gentamisin ve Seftazidim tedavisi başlandı. • Hastanın ateşinin devam etmesi ve klinik kötüleşmesi nedeni ile tedavinin 3. gününde tedavisi Tazosin ve Klindamisin olarak değiştirildi. • 13/03/2013 tarihinde hasta tetkik ve tedavisinin devamı amacıyla servisimize yatırıldı.
PLAN • Mevcut antibiyotik tedavisinin devam edilmesi, • Ig’lerinin gönderilmesi, • NBT yapılması, • Eccinococcus Ig. G ve İHA gönderilmesi, • Aralıklı görüntülemeler ile akciğer düzelmesinin izlenmesi.
• 13/03/2013 Ig. E : 135 k. U/l Eozinofili %0, 2
• 14/03/2013
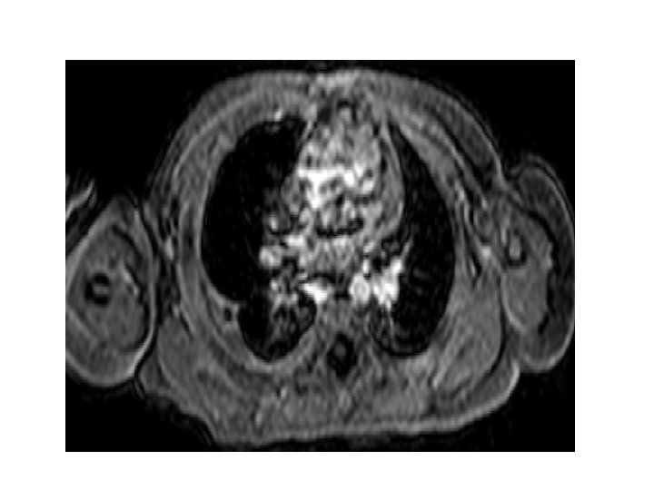
09/04/2013 Tarihli Toraks MR • Akciğer parankim alanlarının değerlendirilmesinde; aktif infiltratif görünüm ve nodüler lezyon saptanmadı. • Sağ akciğer alt lobda 9 x 14 mm boyutlu abse ile uyumlu içerisinde hava bulunan kalın duvarlı ve duvarı kontrast tutan kitle lezyon izlenmektedir. • Hastanın 26/03/2013 tarihli toraks BT incelemesine göre boyutları küçülmüştür. • Ayrıca sağdaki plevral efüzyon gerilemiştir. • Sağ akciğer alt lob posteriorda hafif konsolide görünüm izlenmekte olup, 26/03/2013 tarihli incelemeye göre gerilemiştir.
24/04/2013 Tarihli Toraks MR • 09. 04. 2013 tarihli MR incelemede sağ akciğer alt lobda izlenen kalın duvarlı abse ile uyumlu lezyon günümüz MR incelemesinde belirgin derecede küçülmüş olup çapı 1 cm ölçüldü. • Sağda bu alan komşuluğunda plevrada fokal kalınlaşma ve minimal plevral efüzyon izlenmektedir. • Sağ akciğer alt lob posteriorda hafif konsolide görünüm izlenmekte olup, 26/03/2013 tarihli incelemeye göre gerilemiştir.
• Hastanın IV antibiyotik tedavisi 6 haftaya tamamlandı, 2 hafta oral Amoksisilin + Klavulonat almak üzere taburcu edildi. • Kontrolünde MR görüntülemesi planlandı. • Taburculuk sonrasında NBT tetkiki yapılması planlandı.
12/05/2013 Tarihli Toraks MR • 24/04/2013 tarihli MR incelemede sağ akciğer alt lobda tanımlanan abse lezyon günümüz MR incelemesinde gerilemiş olup bu lokalizasyonda sekel değişiklikler mevcuttur.
AKCİĞER ABSESİ
• Akciğer absesi mikrobik enfeksiyon sonucu pulmoner parankimin nekrozu olarak tanımlanır. • Semptomların süresine göre akut yada kronik olarak sınıflandırılabilir. Bir aydan daha fazla olan olgular kronik olarak adlandırılır.
• Önceden sağlıklı olduğu bilinen olgularda rastlanan abse primer olarak kabul edilirken organ nakli gibi bağışıklık sisteminin zayıflamasıyla ilişkili altta yatan bir neden var ise sekonder akciğer apsesi olarak da tanımlanabilir.
• Akciğer absesi, pulmoner parankimin yıkımı ve kavite oluşumu ile sonuçlanan süpüratif bir enfeksiyondur.
• Genellikle bakteriler, en sık neden olarak da anaerob bakteriler tarafından oluşur. • En sık görülen organizmalar Peptostreptococcus, Prevotella, Bacteroides (genellikle B. fragilis), ve Fusobacterium spp dir. • Diğer nedenler arasında da S. aureus , K. pneumoniae , diğer gram-negatif basiller, Streptococcus pyogenes sayılabilir.
Klinik ve Fizik Muayene Bulguları • Ateş, öksürük ve balgam çıkarma gibi akciğer enfeksiyonunu düşündüren bulgular • Hemoptizi veya plevral effüzyon da saptanabilir. • Parankim enfeksiyonu veya plevral effüzyonda duyulan her türlü solunum sesi duyulabilir.
Radyolojik Yöntemler • Akciğer grafisi • Bilgisayarlı tomografi
• Akciğer grafisinde doku nekrozu gelişerek oluşan kaviteye pürülan materyalin boşalması ile hava-sıvı seviyesi şeklinde bir görünüm rastlanabilir. • Hava sıvı seviyesi akciğer apsesinde görülebildiği gibi ampiyemde de görülebilir bu nedenle daha ileri tetkiklere ihtiyaç vardır.
• Bilgisayarlı tomografi parankim lezyonlarını rahatlıkla ayırt edebilir. • Etken saptanmak istenirse nadir olarak transtrakeal aspirat veya transtorasik iğne aspirat tercih edilirken sık olarak plevral sıvı veya kan kültürü denenir. • Ancak kan kültürleri anaerob bakteriler açısından nadiren pozitiftir. • Balgam kültürü rahatlıkla yapılabilir fakat yanıltıcı olduğu unutulmamalıdır.
• Bir zamanlar akciğer absesi olan tüm olgularda bronkoskopi önerilirken şimdi tedavi başarısızlıklarında önerilmektedir.
• Akciğer absesi polimikrobiyal bir enfeksiyon olması nedeni ile antibiyotik tedavisinde in vitro veriler beta laktam ve beta laktamaz inhibitörlerinin bir arada kullanılmasını destekler. • Metronidazol de istenen başarı elde edilememiş olup bunun nedeni etyolojide aerobik ve mikroaerofilik streptokokların da rol alması ve metronidazolun bu bakterilere karşı hiç bir etkisinin olmamasıdır.
• Akciğer absesi tedavisinde mutlaka aneorobları etki spektrumun almalıdır. Klindamisin bacteriodes ve clostrıdıum grubu anaeroblara etkilidir. Özellikle penisilinlere karşı beta laktamaz üreterek direnç sağlanması nedeni ile klindamisin iyi bir alternatiftir. B. fragilise karşı her zaman etkisi bakterisidal değildir. B. fragilis susların %5 -10 u klindamisne dirençlidir.
• Metisiline dirençli Staphylococcus aureus (MRSA) un neden olabileceği abselerde ise linezolid veya vankomisin, trimetoprim-sulfametoksazol diğer alternatiflerdir.
• Tedavi süresi konusunda tartışmalar devam etmekle beraber antibiyotik tedavisinin süresi enfeksiyonun tamamen geçmesine göre oral tedavide eklenerek birkaç ay sürebilir.
Ne zaman cerrahi? • Medikal tedaviye cevapsız olgularda, • Kanama veya neoplazinin ayırt edilemediği olgularda gereklidir. Medikal tedaviye cevapsız olabilecek olgular; ü Bronş obstrüksiyona yol açan abseler ü Çapı 6 cm’ den büyük olan abseler ü P. aeruginosa gibi dirençli organizmaların yol açtığı abselerdir. Bu vakalarda lobektomi ve pnömonektomi uygulanabilir.
Prognoz • Primer bir akciğer absesinde antibiyotik tedavisi ile %95 oranında iyileşme görülürken altta yatan bir hastalığı olanlarda mortalitenin %75 gibi yüksek olduğu saptanmıştır.