Olgu Sunumu 12 02 2013 ocuk Onkoloji Bilim
Olgu Sunumu 12. 02. 2013 Çocuk Onkoloji Bilim Dalı Dr. Duygu Bilal
17 yaşında, kız hasta • Şikayeti: Çift görme • Hikaye: Beş yıl önce yukarı bakış sırasında çift görme şikayeti ile dış merkeze başvuran hasta orbital myozit (Myastenia Gravis? ) tanısı ile 1, 5 sene tedavi görmüş. • Yakınmalarında gerileme olmayan hastanın son 5 -6 aydır alın kısmında ağrı başlamış. İleri tetkik amaçlı merkezimize başvurdu.
Özgeçmiş: • • Prenatal: Annenin 6 gebeliği. Özellik yok. Natal: 40 haftalık, normal yolla, 3550 gr olarak doğmuş. Postnatal: Özellik yok. . Beslenme: İlk 3 ay yalnızca anne sütü almış. Daha sonra ek gıdalara geçilmiş. Toplam 2 yıl anne sütü almış. D vitamini ve demir kullanım öyküsü var • Büyüme-gelişme: Yaşıtları ile uyumlu. • Aşılar: Sağlık ocağı aşıları tam • Alerji: Özellik yok. •
• Soygeçmiş: • Anne: 40 yaşında, ilkokul mezunu, ev hanımı • Baba: 45 yaşında, ilk okul mezunu, marangoz • Anne-babanın kardeş çocukları • 1. çocuk: kız, 21 yaşında, sağlıklı • 2. çocuk: Kız, 20 yaşında, sağlıklı • 3. çocuk: hastamız • 4. çocuk: 14 yaşında, erkek, sağlıklı • 5. çocuk: 13 yaş, erkek, ss • 6. çocuk: 11 yaş, kız, ss
Fizik muayene: • • • Ateş: 36 C Nabız: 78/dk Solunum sayısı: 17/dk Tansiyon: 100/70 mm. Hg Tartı: 60 (75 p) Boy: 160 cm (75 p)
Fizik muayene: • Genel durum: İyi, koopere, oryante • Cilt: Turgor, tonus doğal. ikter, siyanoz, purpura, pigmentasyon bozukluğu yok. • Baş boyun: saç ve saçlı deri doğal. LAP yok. Kitle yok • Gözler: Işık refleksi bilateral mevcut. Pupiller izokorik. Konjonktivalar ve skleralar doğal. Göz kürelerin her yöne hareketi doğal. • Kulak-burun- boğaz: Bilateral kulak zarları doğal. Burun tıkanıklığı, akıntısı yok. Orofarenks - tonsiller doğal • Kardiyovasküler: S 1, S 2 doğal. S 3 yok. Üfürüm yok. AFN her iki alt ekstremitede alınıyor. Kalp tepe atımı 5. interkostal aralıkta.
Fizik muayene: • Solunum sistemi: Her iki hemitoraks solunuma eşit katılıyor. Toraks deformitesi yok. Retraksiyon yok. Dinlemekle ral, ronküs, ekspiryum uzunluğu yok. • Gastrointestinal sistem: Batın normal bombelikte. Barsak sesleri doğal. Palpasyonla defans, rebound yok. Hepatomegali ve splenomegali yok. Traube alanı açık. • Genitoüriner sistem: Haricen kız. Puberte gelişimi yaşına uygun. • Nöromüsküler sistem: Bilinç açık. Koopere, oryante, çevreyle ilgili. Ense sertliği, kernig, brudzunski negatif. Babinski, klonus negatif. Kranial sinir çiftleri doğal. • Ekstremiteler: Kas kitlesi ve tonusu doğal. Deformite yok.
Patolojik bulgular • Diplopi (Öyküden)
• Muayenede araştırılması gereken bulgu var mı?
Video
• Diplopi – Monoküler / Binoküler Monoküler; göz içi sorunlar (kornea, lens, retina, bazı ilaçlar) Binoküler; Nörolojik sorunlar (hareket belirgin azalmış), kaslara ait patolojiler – Vertikal / Horizontal Vertikal; alta; 3. ve 4. kranial sinir paralizi, vertikal kas tutulumları Horizontal; yana; 6. kranial sinir, intranükleer oftalmopleji lateral ve medial rektus kası patolojileri, – Belirginleştiği bakış pozisyonu Hastamızda dışa-yukarıya bakış; lateral rektus kasını işaret ediyor.
Diplopi + • Pitozis 3. Kranial sinir, myastenia gravis, Kearns-Sayre Send, nöromuskuler hastalıklar • Propitozis Tümör, hemoraji, vasküler malformasyon • Konjesyon Tümör, vasküler malformasyon
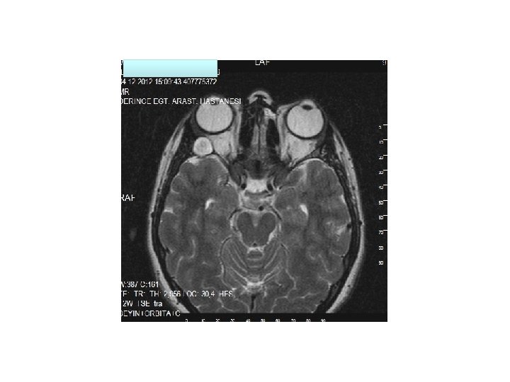
• Sağ orbita lateral duvarda yumuşak doku komponenti olan litik lezyon. Lezyon sol lateral rektus kası ve lakrimal glanda hafif itmektedir.
Kranial MR: • Sağ orbita lateral duvarı komşuluğunda 13 mm çapında kistik natürde kitle lezyonu izlenmektedir. • Sol ethmoid sol frontal sinüste mukozal kalınlaşma izlenmektedir.
Klinik Ön Tanı. . • Langerhans hücreli histiyositoz (radyolojik özellikleri uygun) • Rabdomyosarkom (öykü süresi uzun) • Beningn tümörler (lipom, fibrom, miyom, anjiyomiyolipom, inflamatuvar pseudo tümör, vasküler tümörler)
• Cerrahi çıkarım • Patoloji; dermoid kist
• Dermoid kistler çocuklarda dermal ve epidermal fetal elemanların sekestrasyonu sonucu oluşan konjenital benign tümörlerdir. • %80’i başta ve çoğunluklada orbital ve periorbital bölgede(en sık zigomatikofrontal bileşkede) ve genellikle lateral kantusa yakın yerleşimlidir. • Genellikle yüzeyel dermoid kistler ilk dekatta(1 -3 yaş) belirginleşir. Ancak derin yerleşimliler daha geç yaşlarda klinik bulgu verebilir.
18 aylık kız hasta, Şikayet; Kaşının üstünde şişlik Hikayesi, Doğumdan itibaren farkedilen şişliğin son 6 aydır büyüdüğü farkedilmiş Öz-soygeçmiş; özellik yok FM; Sağ frontal-zigomatik bileşkede 1 x 1, 5 cm çağlı, sert, ağrısız, hareketli kitle. Eksizyon Patoloji: dermoid kist İyi bilinen klinik prezentasyon
• Klinik bulgular yüzeyel yerleşimlilerde cilt altı lokalizasyonlu ağrısız hareketli kitle, derin yerleşimlilerde propitozis, fistülizasyon, sellülit ve intrakranial uzanım görülebilir. • Literatürde diplopi ile prezente olan ilk vaka
• Bulunduğu bölgede kemik erozyonu yapar. BT ve MRG kitlenin lokalizasyonu ve kemikle ilişkisi hakkında bilgi verir. • Tedavi; total cerrahi çıkarımdır. • Histopatolojik olarak squamöz epitelle birlikte saç folikülü, düz kas, ter ve yağ bezlerini içerir.
- Slides: 27