Oleh Nur Imamah Fakultas Keguruan dan Ilmu Pendidikan



























































































































- Slides: 123
Oleh: Nur Imamah Fakultas Keguruan dan Ilmu Pendidikan Prodi Biologi Universitas Muhammadiyah Jember
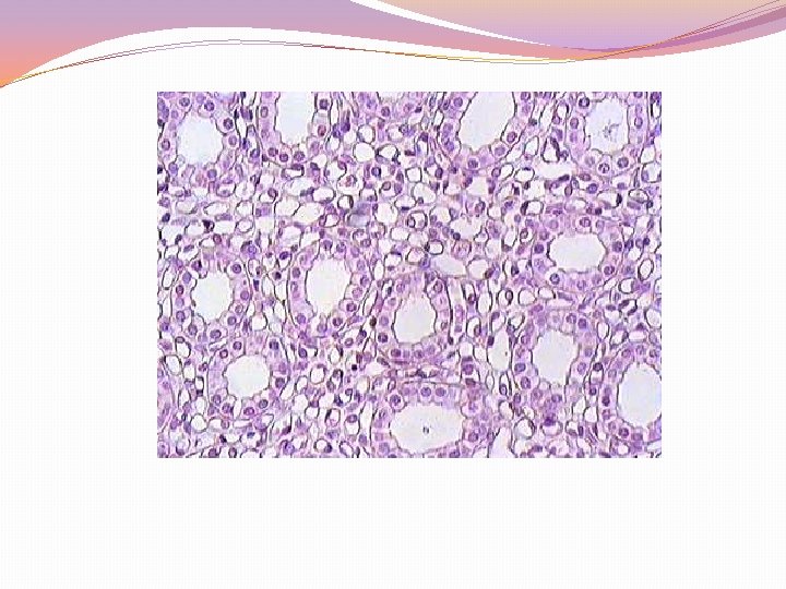
Ginjal (ren) • Terdapat 2 buah, ginjal kanan dan ginjal kiri • Terletak retroperitoneal, di dinding posterior cavum abdomen, ginjal kanan lebih rendah 2 cm dari ginjal kiri • Bentuk seperti kacang dengan permukaan medial cekung yang disebut HILUS • Hilus merupakan tempat keluar-masuknya vasa renalis, dan tempat keluarnya pelvis renalis • Mempunyai pembungkus dari dalam ke luar : Capsula renalis, Perirenal fat dan paling luar adalah Fascia renalis • Terdiri dari cortex di sebelah luar dan medulla di sebelah dalam
Struktur Ginjal glomerulus Pembuluh kapiler korteks Arteri ginjal Medula/ Sumsum ginjal Vena ginjal ureter Saluran pembawa Hasil penyaringan
1. Korteks �Bagian paling luar dar ginjal �Cortex tampak berwarna gelap kecoklatan karena adanya renal corpuscle �Bagian cortex yang terletak di antara medulla disebut columna renalis
2. Badan malpighi Terdiri dari bagian-bagian berikut: a. Glomerulus b. Kapsul bowman c. Pembuluh (tubulus)
a. Glomerulus �Suatu gumpalan kapiler yang beranastomosis yg terdiri dari arteri afferen dan arteri efferen. �Diantara kapiler sering dijumpai sel mesangium (derivat mesenkim). �Daerah pingir banyak terdapat sel yang berasal dari kapsul bowman.
b. Kapsul bowman �Merupakan bagian nephron yang berbentuk seperti mangkok. �Rongga antara dua dinding kapsul disebut rongga kapsul, untuk menampung bahan kemih yang berfitrasi dari glomerulus. �Dinding sebelah dalam disebut epitel glomerulus, sedangkan bagian luar disebut epitel parietal. �Sel epitel glomerulus yang bertonjolan banyak itulah yang disebut podosit.
RENAL CORPUSCLE (CAPSULA BOWMAN DAN GLOMERULUS)
c. Pembuluh (tubulus) �Pembuluh dibina atas selapis bentuk batang atau kubus. �Pada pangkal pembuluh proksimal, sebelum lekukan helen, sel besar-besar, sehingga lumennya empit. �Pada papilla beberapa berkas bergabung membentuk pembuluh papilla. �Pada pembuluh pengumpullah pembuluh banyak nephron sekitar bermuara, dinding pembuluh pengumpul dibina atas sel epitel selapis kubus.
TUBULUS PROXIMALIS �Merupakan saluran yang berkelok-kelok, dimulai dari daerah di corpuscle renalis �Saluran ini akan masuk daerah saluran medulla sebagai Henle tebal descending menuju medulla �Saluran ini merupakan bagian dari nephron yang terpanjang dan terlebar membentuk massa utama cortex �Selnya berbentuk kubis dengan mikrovili yang panjang pada permukaannya. �Batas sel tidak jelas, sitoplasma bersifat asidofilik �Inti sel besar jumlah hanya sedikit
TUBULUS DISTALIS �Merupakan kelanjutan dari Henle tebal ascending, menuju cortex �Berupa saluran pendek yang berkelok-kelok �Dilapisi oleh selapis kubis tanpa brush border �Jumlah inti lebih banyak dari Tubulus proksimal �Sitoplasma lebih pucat dibanding Tubulus proksimal �Pada saat bersentuhan dengan vaskular(tepatnya bersentuhan dengan sel juxtaglomerular pada arteriole afferen), sel-selnya berubah menjadi lebih tinggi dan lebih rapat, dengan inti berdekatan dan tampak gelap �Struktur ini disebut MACULA DENSA
2 1 1. 2. TC II TC I
1 2 � 1. TC I � 2. TC II
MACULA DENSA �Struktur ini berupa sel yang tersusun rapat pada TC II yang bersentuhan dengan sel juxtaglomerular pada arteriole afferen �Inti sel tampak berdekatan dan sel-selnya lebih tinggi dari sel TC II yang lain
Medullary rays
2. Medula (sumsum ginjal) �Terdapat pada sebelah dalam , berwarna pucat tampak bergaris-garis dan berbentuk keucut yg disebut piramida ginjal �Medulla tampak bergaris-garis sejajar karena adanya tubulus dan pembuluh darah yang terpotong membujur
STRUKTUR MIKROSKOPIS MEDULLA 1. Lengkung Henle 2. Ductus colligentes LOOP OF HENLE (LENGKUNG HENLE / ANSA HENLE) � Terdiri dari 3 bagian : 1. Henle tebal descending 2. Henle tipis 3. Henle tebal ascending
HENLE TEBAL DESCENDING � Sel mirip TC I bedanya selnya lebih rendah, mitokondria lebih sedikit dan mikrovili juga lebih sedikit � Fungsi sama seperti TC I yaitu reabsorpsi air dan Na. Cl HENLE TIPIS � Terdiri dari epitel selapis pipih sehingga mirip dengan kapiler � Bedanya dengan kapiler : 1. Epitel lebih tebal, inti lebih menonjol dan berdekatan 2. Sitoplasma kurang asidofilik 3. Mempunyai mikrovili, pendek dan sedikit
HENLE TEBAL ASCENDING �Saluran ini berbalik dari medulla menuju cortex �Terdiri dari epitel selapis kubis yang mirip dengan epitel TC II �Sel lebih pendek dengan inti yang menonjol ke lumen �Tidak mempunyai brush border COLLECTING TUBULE (DUCTUS COLLIGENTES) �Tidak termasuk bagian dari nephron �Terdapat pada medullary rays dan menjulur menuju medulla �Terdiri dari epitel selapis kubis rendah sampai silindris dengan batas sel yang jelas dan sitoplasma yang pucat
Fungsi ginjal �Mengekskresikan zat-zat buangan (waste product) seperti urea, asam urat, kreatinin, kreatin, dan lain �Menyaring/Membersihkan Darah �Mengatur Volume Darah �Mendaur Ulang Air, Mineral, Glukosa, dan Gizi �Mengatur Keseimbangan Kandungan Kimia Darah �Menjaga Darah agar Tidak Terlalu Asam
Daftar pustaka �Yatim, Dr. Wildan. 1990. Buku modern HISTOLOGI. Bandung; Tarsito. �Leeson, C. Roland. 2002. Buku Ajar HISTOLOGI. Jakarta; Buku Kedokteran EGC. �http: //edukasi. kemdiknas. go. id/index. php? mod=scrip t&cmd=Bahan%20 Belajar/Materi%20 Pokok/view&id= 49&uniq=269 �http: //www. ekskresi. co. cc/2011/01/ginjal_26. html
Struktur & fungsi Vesica urinaria, Ureter, & Uretha Oleh: Nur Imamah Fakultas Keguruan dan Ilmu Pendidikan Prodi Biologi Universitas Muhammadiyah Jember
Vesica urinaria (kandung kemih) �Vesika urinaria bekerja sebagai penampung urin. Organ ini berbentuk seperti buah pir (kendi). letaknya d belakang simfisis pubis di dalam rongga panggul. Vesika urinaria dapat mengembang dan mengempis seperti balon karet.
Vesica urinaria � Dinding kandung kemih terdiri dari: 1. Lapisan sebelah luar (peritoneum). 2. Tunika muskularis (lapisan berotot). 3. Tunika submukosa. 4. Lapisan mukosa (lapisan bagian dalam). � Berfungsi sebagai kantong simpanan sementara kemih yg mengalir sedukit demi sedikit dari kedua buah ureter.
Vesica urinaria LAPISAN MUKOSA � Terdiri dari epitel peralihan, muskularia mukosa dan lamina propria � Dalam keadaan kosong sel epitel terdiri 6 -8 lapis, sedang dalam keadan terisi terdiri dari 2 -3 lapis � Muskularis mukosa terdiri dari otot plos yang terputus-putus � Lamina proprianya relatif tebal LAPISAN MUSKULARIS � Terdiri dari 3 lapis otot polos arah dari dalam ke luar : longitudinal – sirkuler – longitudinal � Lapisan otot sirkuler paling tebal terutama pada daerah sphincer LAPISAN ADVENTITIA � Terdiri dari jaringan ikat fibroelastik
Vesica urinaria
Ureter �Terdiri dari 2 saluran pipa masing-masing bersambung dari ginjal ke vesika urinaria. Panjangnya ± 25 -30 cm, dengan penampang 0, 5 cm. Ureter sebagian terletak pada rongga abdomen dan sebagian lagi terletak pada rongga pelvis. �Berfungsi menempung kemih yg keluar dari ginjal dan dialirkan ke kadung kemih.
Ureter Merupakan saluran lanjutan dari pelvis renalis Menembus vesica urinaria dengan arah serong Pada potongan melintang tampak lumen berbentuk bintang karena lipatan longitudinal dari lamina propria � Dindingnya terdiri dari 3 lapis yaitu lapisan mukosa, lapisan muskularis dan lapisan adventitia 1. Lapisan mukosa terdiri dari epitel peralihan, basal lamina dan lamina propria 2. Lapisan muskularis terdiri dari 2 lapis otot polos sebelah dalam arah longitudinal dan sebelah luar arah sirkuler 3. Lapisan adventitia terdiri dari jaringan ikat fibroelastis Lapisan dinding ureter menimbulkan gerakan-gerakan peristaltic yang mendorong urin masuk ke dalam kandung kemih � � �
Ureter
Ureter
Urethra Merupakan saluran sempit yang berpangkal pada vesika urinaria yang berfungsi menyalurkan air kemih ke luar. � Dinding urethra terdiri dari 3 lapisan: 1. Lapisan otot polos, merupakan kelanjutan otot polos dari Vesika urinaria. Mengandung jaringan elastis dan otot polos. Sphincter urethra menjaga agar urethra tetap tertutup. 2. Lapisan submukosa, lapisan longgar mengandung pembuluh darah dan saraf. 3. Lapisan mukosa. Berfungsi sebagaipenyalur kemih dari kandung kekeluar tubuh.
Pada laki-laki panjangnya kira-kira 13, 7 -16, 2 cm, terdiri dari: 1. Urethra pars Prostatica 2. Urethra pars membranosa ( terdapat spinchter urethra externa) 3. Urethra pars spongiosa Uretrha
Urethra pada wanita panjangnya kira-kira 3, 7 -6, 2 cm (Taylor), 3 -5 cm (Lewis). Sphincter urethra terletak di sebelah atas vagina (antara clitoris dan vagina) dan urethra disini hanya sebagai saluran ekskresi. Uretha
Daftar pustaka �Yatim, Dr. Wildan. 1990. Buku modern HISTOLOGI. Bandung; Tarsito. �Leeson, C. Roland. 2002. Buku Ajar HISTOLOGI. Jakarta; Buku Kedokteran EGC. �http: //edukasi. kemdiknas. go. id/index. php? mod=scrip t&cmd=Bahan%20 Belajar/Materi%20 Pokok/view&id= 49&uniq=269 �http: //dc 244. 4 shared. com/img/v 88 crhr. S/preview. htm l
Trim’s…
Struktur dan fungsi pe. Nis & testis Umi Kholila ( 0910211084 )
Sistem Reproduksi Pria Terdiri dari : �Gonad : testis �Pembuluh : epididimis, vas defrens, dan urethra. �Kelenjar : prostat, vesicula seminalis, dan bolbourethalia �penis
Struktur da. N fu. Ngsi testis Pengertian testis �Testis adalah kelenjar kelamin jantan pada hewan dan manusia. Manusia (pria) mempunyai dua testis yang dibungkus dengan skrotum. �Pada umumnya, kedua testis tidak sama besar. Dapat saja salh satu terletak lebih rendah dari yang lainnya. Hal ini diakibatkan perbedaan struktur anatomis pembuluh darah pada testis kiri dan kanan.
Fungsi testis : Testis memiliki 2 fungsi, yaitu pembentukan dan pemasakan sperma yg disebut spermatogenesis dan membuat testosteron (hormon seks pria yang utama). Testis berbentuk lonjong dengan ukuran sebesar buah zaitun dan terletak di dalam skrotum.
�Testis dibungkus oleh lapisan fibrosa yang disebut tunika albuginea. Di dalam testis terdapat banyak saluran yang disebut tubulus seminiferus. Tubulus inidihasilkan spermatozoa serta hormon inhibin, ABP, dan estrogen. Di antara tubulu seminiferus terdapat sel khusus yang disebut sel intersisial Leydig. Sel Leydig memproduksi hormon testosteron. �Spermatozoa (sel benih yang sudah siap untuk diejakulasikan), akan bergerak dari tubulus menuju rete testis, duktus efferen, dan epididimis. Bila mendapat rangsangan seksual, spermatozoa dan cairannya (semua disebut air mani) akan dikeluarkan ke luar tubuh melalui vas deferen dan akhirnya penis.
testis
Struktur da. N fu. NGsi pe. Nis �Pengertian pe. Nis Penis (dari bahasa Latin) yang artinya "ekor", akar katanya sama dengan phallus, yang memiliki arti sama) adalah alat kelamin jantan. Penis merupakan organ eksternal, karena berada di luar ruang tubuh. Pemakaian istilah "penis" praktis selalu dalam konteks biologi atau kedokteran.
Struktur pe. Nis Penis terdiri dari: - Akar (menempel pada didnding perut) - Badan (merupakan bagian tengah dari penis) - Glans penis (ujung penis yang berbentuk bongkol, ) bagian ujung kulit yg menyalutnya disebut prepuce ( inilah yg dipotong waktu sunat ). Badan penis terdiri dari : - 2 rongga yang berukuran lebih besar disebut korpus kavernosus, terletak bersebelahan - Rongga yang ketiga disebut korpus spongiosum, mengelilingi uretra.
. � Kedua korpus kava kavernosa ini diliputi oleh jaringan ikat yang disebut tunica albuginea, satu lapisan jaringan kolagen yang padat dan di luarnya ada jaringan yang kurang padat yang disebut fascia buck. � gelembung yang disebut sinusoid. Dinding dalam atau endothel sangat berperan untuk bereaksi kimiawi untuk menghasilkan ereksi. Ini diperdarahi oleh arteriol yang disebut arteria helicina. Seluruh sinusoid diliputi otot polos yang disebut trabekel.
Pada keadaan ereksi, arteriol-arteriol helicina mengalami relaksasi atau pelebaran pembuluh darah sehingga aliran darah bertambah besar dan cepat kemudian berkumpul di dalam rongga-rongga lakunar atau sinusoid. Rongga sinusoid membesar sehingga terjadilah ereksi.
korpus kavernosus DAN korpus spongiosum
Nich pengecua. Lian……. Pada awal bayi kulup adalah tetap dengan kepala penis, tapi akan berangsur-angsur mengendur, biasanya selama masa kanak-kanak awal, tetapi dengan anak remaja di sana masih dapat ada beberapa adhesi tersisa sekitar dasar kepala. ! Dalam beberapa budaya itu adalah kebiasaan untuk menghilangkan kulup untuk berbagai alasan oleh sebuah operasi yang disebut sunat. , membuat kepala penis secara permanen terbuka dan terlihat. Ketika sunat dilakukan pada awal masa bayi, prosedur robek juga melibatkan kulup tetap lepas dari permukaan kepala.
Penis hewa. N : Penis hewan biasanya proporsional dengan ukuran tubuh, namun terdapat variasi ukuran yang besar di antara spesies, baik panjang maupun diameter, namun demikian, bentuknya hampir selalu berupa tabung. Sebagai contoh, penis gorila dewasa yang tengah ereksi mencapai 4 cm; sementara itu, penis simpanse yang berukuran tubuh lebih kecil memiliki panjang dua kali lipat.
Fungsi pe. Nis Fungsi penis secara biologi adalah sebagai alat pembuangan (organ ekskresi) sisa metabolisme berwujud cairan (urinasi) dan sebagai alat bantu reproduksi. .
Daftar pustaka � http: //www. seksualitas. net/fungsi-dan-anatomipenis. htm � http: // www. seksualitas. net/fumgsi-dan-anatomitestis. htm �yatim wildan. 1990. HISTOLOGI. Bandung : penerbit tarsito.
te. Ngs before !!! I hope it has benefit for ALL Us Umi 091021108 kho. Li. LA 4
Welcome to my Presentation by Siti Hasanah Nim 0910211073
struktur dan fungsi epididimis dan vas deferens
Epididimis, yaiu tuba yang terlilit yang panjangnya 4 -6 meter yang terletak disepanjang sisi posterior testis. Di bagian ini menerima sperma dari duktus aferen. Epididimis terletak di atas testis dan merupakan saluran sepanjang 6 meter. Epididimis mengumpulkan sperma dari testis dan menyediakan ruang serta lingkungan untuk proses pematangan sperma.
Fungsi epididimis Menyimpan, menutrisi, reabsorp si sekresi, transportasi. epididimis juga berfungsi sebagai transport mani, oleh kontraksi otot dindingnya terjadi gerakan peristalsis yang halus dan pelan, yang di kontrol eleh hormon dan saraf otonom.
�duktus efferensia, terdiri dari 3 bagian: kepala, badan ekor �Kepala (caput epididymis) membentuk suatu penonjolan dasar dan agak berbentuk mangkok yang dimulai pada ujung proximal testis. Umumnya berbentuk U, berbeda dalam ukurannya dan menutupi seluas satu pertiga dari bagian-bagian testis
Corpus epididimis (badan epididimis): bagian badan terentang lurus ke bawah, sejajar dengan jalannya vasdeferens, menjalar terus hampir melewati testes, dibagian bawah testes epididimis membelok ke atas.
�Vas deferens merupakan saluran yang membawa sperma dari epididimis. Saluran ini berjalan ke bagian belakang prostat lalu masuk ke dalam uretra dan membentuk duktus ejakulatorius. �vas deferens berasal dari epididimis dan berjalan dari titik terendah testis ke atas dan bersama dengan tali spermaticus melewati cincin inguinalis dan di tempat itu vas deferens akan memisahkan diri dari pembuluh darah arteri dan vena, syaraf dan jaringan lain pada tali spermaticus tersebut.
�Secara histologi dinding vas deverens terdiri dari. �Tunica mecosa �Tunica muscularis �Tunica adventitia
�Tunica mucosaterdiri dari jaringan epitel selapis semu yang selnya bentuk batang yang rendah dan bertercosilia. �Tunica muscularis berada di bawah tunica mucosa, di bina atas tiga lapis otot polos. �Tunika adventitia berada di luar tunica muscularis, terdiridari jaringn ikat.
THANK’S FOR ATTANTION
Sistem urogenital PROGRAM STUDI PENDIDIKAN BIOLOGI FAKULTAS KEGURUAN DAN ILMU PENDIDIKAN UNIVERSITAS MUHAMMADIYAH JEMBER 2011
VESICULA SEMINALIS PROSTAT BOLBOURETRAL DIAN ULIN NUHA NIM : 0910211081
Vesicula seminalis �Kelenjar mani ini berbentuk kantung , sepasang kiri-kanan. Kantung ini dibina atas gabungan kantung kecil yang dibungkus oleh kapsul jaringan ikat. �Lapisannya terdiri dari 3 lapis yaitu: Tunica adventita Tunica muscalaris Tunica mucosa
Tunica mucosa : membuat tonjolan bercabang Dan berjalin ke lumen sehingga selain ada lumen utama di tengah kantung - kantung ada pula lumen kecil di antara jalinan tonjolan tunica. Tunica mucalaris : sekeliling kantung cabang tipis sedangkan sekeliling keseluruhan kantung adalah tebal. Tunica adventita : tipis, baik yang menyalut kantung cabang maupun kantung keseluruhan, terdiri dari serat kalogen dan elastis
Struktur dan fungsi vesicula seminalis �Vesikula seminalis adalah sepasang kantong yang memproduksi 60 persen cairan air mani di mana sperma diangkut. Cairan seminalis ini menyediakan nutrisi bagi sperma. �VESICULA SEMINALIS 1. terdapat sepasang menyumbangkan sekitar 60% total volume semen. 2. Kental kekuningan dan alkalis (bersifat basa). 3. Mengandung mucus , gula fruktosa (yang menyediakan sebagian besar energi yang digunakan oleh sperma) , enzim pengkoagulasi, asam askorbat dan prostaglandin.
Prostaglandin : mengencerkan mucus pada pembukaan uterus dan merangsang kontraksi otot uterus yang membantu menggerakkan semen masuk ke dalam uterus. Semen bersifat sedikit alkalis : Hal ini membantu menetralkan vagina yang asam, sehingga melindungi sperma dan meningkatkan motilitasnya.
�Enzim pengkoagulasi : Ketika pertama kali diejakulasi, semen berkoagulasi sehingga memudahkan kontraksi uterus untuk menggerakkannya, kemudian antikoagulan mencairkan semen dan sperma mulai berenang melalui saluran perempuan
Letak vesicula seminalis
prostat �prostat berbentuk seperti kacang walnut yang menghasilkan sekitar 30 persen cairan air mani. Kadar basa dari cairan tersebut menetralisir lingkungan asam dari saluran reproduksi laki-laki dan perempuan �Kelenjar prostat sangat sensitif terhadap rangsangan.
�Prostat adalah kelenjar eksokrin pada sistem reproduksi jantan. Fungsi utamanya adalah untuk mengeluarkan dan menyimpan sejenis cairan yang menjadi dua pertiga bagian dari air mani. Prostat berbeda-beda dari satu spesies ke spesies lainnya dalam hal anatomi, kimia dan fisiologi. �Pembesaran prostat adalah gejala umum yang diderita kaum lelaki di atas usia 50 tahun. Pembesaran terjadi di bagian tengah dari kelenjar prostat yang mengelilingi saluran kencing (uretra). Pembesaran kelenjar prostat yang berkelanjutan dapat mengarah ke tahap yang lebih serius sampai ke kanker prostat.
Struktur dan fungsi prostat �terletak di bawah kandung kemih di dalam pinggul dan mengelilingi bagian tengah dari uretra. �Biasanya ukurannya sebesar walnut dan akan membesar sejalan dengan pertambahan usia. Prostat dan vesikula seminalis menghasilkan cairan yang merupakan sumber makanan bagi sperma. Cairan ini merupakan bagian terbesar dari semen
Letak prostat
Tentang prostat �Kelenjar pensekresi semen terbesar �Kelenjar ini mensekresikan produknya secara langsung ke dalam urethra melalui beberapa saluran kecil Cairan prostate bersifat encer dan seperti susu
bulbouretral BULBOURETRALIS (BULBOURETRAL GLAND) Sepasang kelenjar kecil yang terletak disepanjang uretra , dibawah prostat sebelum ejakulasi kelenjar ini mensekretkan mucus bening yang menetralkan setiap urin asam yang masih tersisa dalam uretra.
�Kelenjar mani ini kecil , berbentuk kacang buncis , sepasang kanan – kiri, terletak diantara prostat dan salurannya yang bermuara ke urethra di pangkal penis.
Letak bulbouretral
TERIMA KASIH
STRUKTUR DAN FUNGSI OVARIUM, TUBA, DAN UTERUS BY: ROUNDE CRISTY S 08121042
OVARIUM • Ovarium merupakan organ utama pada wanita. Berjumlah sepasang dan terletak di dalam tongga perut pada daerah pinggang sebelah kiri dan kanan. • Berfungsi untuk menghasilkan sel ovum dan hormone wanita seperti : ü Estrogen yang berfungsi untuk mempertahankan sifat sekunder pada wanita, serta juga membantu dalam prosers pematangan sel ovum. ü Progesterone yang berfungsi dalam memelihata masa kehamilan. Fimbriae merupakan serabut/silia lembut yang terdapat di bagian pangkal ovarium berdekatan dengan ujung saluran oviduct. Berfungsi untuk menangkap sel ovum yang telah matang yang dikelurakan oleh ovarium.
• Indung telur ovarium berjumlah sepasang, kiri dan kanan, bentuknya lonjong agak gepeng. Berada dalam rongga peritoneum, menggantung pada ligament besar oleh selaput peritoneum sendiri, disebut mesovarium. Menggantung pula pada uterus oleh ligamen ovarium. Lapisan terluar ovarium terdiri dari epitel germinal, selapis sel bentuk kubus yang berasal dari selaput peritoneum. • Ovarium terdiri dari dua bagian, yaitu korteks dan medulla.
�Korteks adalah bagian kulit ovarium, di bawah epitel germinal. Terdiri dari jaringan ikat interstisial, yang disebut stroma. Diantara stroma terdapat banyak folikel. Folikel mengandung sel telur (oosit) dalam berbagai tingkat pertumbuhan. Setiap oosit diselaputi oleh sel folikel. Berbatasan dengan epitel germ inal, stroma memadat membentuk lapisan, disebut tunca albuginea. Stroma banyak mengandung serat retikuler dan sel bentuk gelendong mirip fibroblast
�Medulla adalah bagian sumsum ovarium. Batas korteks dan medulla tidak tampak. Medulla terdiri atas jaringan ikat. Bagian ini banyak mengandung pembuluh darah, sehinga sumsum disebut juga zona vasculosa �Dalam srtoma terdapat banyak folikel, Terdapat tiga tahap pertumbuhan folikel yaitu: üFolikel primordial üFolikel tumbuh üFolikel Graaf
Tuba fallopi • Tuba fallopi merupakan saluran memanjang setelah infundibulum yang bertugas sebagai tempat fertilisasi dan jalan bagi sel ovum menuju uterus dengan abantuan silia pada dindingnya. • Tuba fallopi disebut juga tuba uterina atau oviduk. Bagian kelamin ini menampung telur yang ovulasi, tempat terjadinya pembuahan, kemudian menyalurkan oosit yang sudah dibuahi ke dalam uterus. Tuba sepasang kiri dan kanan, sesuai dengan ovarium yang sepasang. Bagian ujung yang menampung oosit disebut infundibulum dan tonjolannya yang menjarimembentuk penadah, disebut fimbriae
Dinding saluran ini terdiri dari tiga lapisan yaitu : ü Tunika mucosa, terdiri atas jaringan epitel, yang selnya selapis bentuk batang, atau berlapis semu. Sel epitel dapat dibedakan atas dua macam, yaitu sel bersilia dan sel penggetah. ü Tunika muscularis terletak di bawah tunika mucosa, keduanya dibatasi oleh lapisan jaringan ikat yang tipis. Tunika ini terdiri atas serat otot polos yang terdiri dari dua lapis, sirkuler sebelah dalam, longitudinal sebelah luar. Lapisan otot ini berperan untuk kontraksi tuba, yang perlu untuk melancarkan transport spermatozoa atau oosit. ü Tunika serosa adalah penerusan selaput peritonium, terdiri atas jaringan ikat, dan disebelah luar dilapisi olewh sel mesotel yang gepeng •
Fungsi Tuba Fallopi • Menangkap sel ovum • Merupakan saluran spermatozoa • Merupakan tempat konsepsi, pertumbuhan dan perkembangan konsepsi sampai blastula
UTERUS • Uterus merupakan organ yang berongga dan berotot. Berbentuk sperti buah pir dengan bagian bawah yang mengecil. Berfungsi sebagai tempat pertumbuhan embrio. Tipe uterus pada manusia adalah simpleks yaitu dengan satu ruangan yang hanya untuk satu janin • Rahim atau uterus berada ditengah atau hanya ada satu. Pada bagian anteriornya bermuara tuba sepasang kiri dan kanan, dan ke bagianposteriornya bermuara vagina. • Uterus mempunyai 3 macam lapisan dinding yaitu : ü Perimetrium yaitu lapisanyang terluar yang berfungsi sebagai pelindung uterus. ü Miometrium yaitu lapisan yang kaya akan sel otot dan berfungsi untuk kontraksi dan relaksasi uterus dengan melebar dan kembali ke bentuk semula setiap bulannya. ü Endometrium merupakan lapisan terdalam yang kaya akan sel darah merah. Bila tidak terjadi pembuahan maka dinding endometrium inilah yang akan meluruh bersamaan dengan sel ovum matang.
• • • Tunika mucosa dikenal sebagai endometrium. Terdiri atas jaringan epitel dan lamina propia. Sel epitel berbentuk batang dan dibedakan menjadi sel bersilia dan sel penggetah. Di bawah lapisan epitel terdapat lamina propia yang mengandung banyak kelenjar yang mengetahkan lendir. Tunika muscularis terletak dibawah tunika mucosa, lebih dikenal dengan sebutan myometrium. Terdiri dari jaringan otot polos dan sedikit jaringan ikat. Lapisan ini sangat tebal, hingga mencapai 2 -3 cm. Dapat dibedakan menjadi empat strata, yaitu stratum submucosum, stratum vaskulare, stratum supravasculare, dan stratum subserosum. Tunika serosa terdiri dari serat kolagen dan fibroblast. Terkadang juga ditemukan serat elastis dan retikulosa. Bagian terluarnya dilapisi mesotel yang merupakan terusan peritoneum
Fungsi Uterus • Tempat implantasi paska fertilisasi • Nutrisi hasil konsepsi • Perkembangan dan pertumbuhan konsepsi • Mengeluarkan hasil konsepsi • Involusi paska kelahiran bayi
Struktur dan fungsi cervix, vagina mega
No data
Kelenjar Mammae, , ,
Struktur & fungsi � Payudara (mammae, susu) adalah kelenjar yang terletak di bawah kulit, di atas otot dada � Kelenjar payudara merupakan derivatif sel epitel � Struktur anatomi payudara secara garis besar tersusun dari jaringan lemak, jaringan ikat, lobus dan lobulus (setiap kelenjar terdiri dari 15 -25 lobus) yang memproduksi cairan susu, serta ductus lactiferous yang berhubungan dengan glandula lobus dan lobulus yang berfungsi mengalirkan cairan susu, di samping itu juga terdapat jaringan penghubung (konektif), pembuluh darah dan limphe node � Fungsi dari payudara adalah memproduksi susu untuk nutrisi bayi
Komponen Korpus ( badan ) � Terdiri dari jaringan kelenjar payudara, saluran susu (duktus laktiferus), jaringan ikat, lemak, pembuluh darah, saraf dan pembuluh limfe. � Alveolus, yaitu unit terkecil yang memproduksi susu. Bagian dari alveolus adalah sel Aciner, jaringan lemak, sel plasma, sel otot polos dan pembuluh darah. Lobulus, yaitu kumpulan dari alveolus. � Lobus, yaitu beberapa lobulus yang berkumpul menjadi 15 -20 lobus pada tiap payudara. ASI dsalurkan dari alveolus ke dalam saluran kecil (duktulus), kemudian beberapa duktulus bergabung membentuk saluran yang lebih besar (duktus laktiferus
Areola(bagian kehitaman di tengah) � Kelenjar morgagni adalah kelenjar keringat besar yang salurannya bermuara pada areola. Kelenjar ini mengeluarkan cairan yang berfungsi melemaskan dan melindungi areola sewaktu menyusui. � pada areola terdapat otot polos dan ujung-ujung serabut saraf. � Fungsi otot polos dalam puting dan areola adalah mengurangi permukaan areola, menonjolkan puting dan mengosongkan sinus laktiferus waktu menyusui. � Sinus laktiferus, yaitu saluran di bawah areola yang besar melebar, akhirnya memusat ke dalam puting dan bermuara ke luar � Di dalam dinding alveolus maupun saluran-saluran terdapat otot polos yang bila berkontraksi dapat memompa ASI keluar. Papilla (putting) � Puting mengandung ujung-ujung saraf perasa yang sensitif, dan otot polos yang akan berkontraksi bila ada rangsangan.
Hormon 1. HORMON PROLAKTIN hormon yang dikeluarkan oleh kelenjar pituitari atau kelenjar hipofisis bagian anterior (depan) � Fungsi : 1. Berperan dalam pembesaran alveoli dalm kehamilan 2. Mempengaruhi inisiasi kelenjar susu dan mempertahankan laktas 3. Menstimulasi sel di dalam alveoli untuk memproduksi ASI 4. Hormon ini juga mengatur metabolisme pada ibu 2. HORMON OKSITOSIN hormone yang dihasilkan kelenjar hipofisis bagian posterior (belakang). � Fungsi : 1. Mengencangkan otot halus dalam rahim pada saat melahirkan. 2. Merangsang terjadinya kontraksi yang penting dalam proses pembukaan vagina sebelum melahirkan dan ketika proses melahirkan. 3. Setelah melahirkan, oksitosin juga mengencangkan otot halus di sekitar alveoli untuk memeras ASI menuju saluran susu. 4. Oksitosin berperan dalam proses turunnya susu let-down / milk ejection reflex. 5. Membantu mengembalikan uterus pada ukuran sebelumnya dan membantu menghentikan pendarahan pasca persalinan.
Terima kasihhh, ,
Eni nur kumala (08121005)
Penyakit pada sistem reproduksi manusia dapat disebabkan oleh virus ataupun bakteri. Penyakit yang menyerang sistem reproduksi manusia dinamamelalui hubungan seksualkan juga penyakit kelamin. Pada umumnya, penyakit kelamin ditularkan. Penyakit tersebut dapat menyerang pria maupun wanita. Kelainan-kelainan congenital alat-alat genital dapat disebabkan oleh kelainan kromosom ataupun faktor lingkungan • Kelainan kromosom khususnya kromoson seks dan gangguan hormonal sesring menimbulkan • Faktor lingkungan : – Keadaan endometrium yang mempengaruhi nutrisi – Penyakit metabolic – Penyakit virus – Obat-obat teratogenik
UROGENITAL 1. Penyakit kista merupakan penyakit yang menyerang kaum perempuan. Kista sendiri merupakan benjolan yang berisi cairan yang berada di indung telur. Penyakit ini merupakan penyakit tumor jinak, karena kebanyakan penanganannya tidak melalui operasi besar. Namun berdasarkan tingkatan keganasan, penyakit kista dapat dibagi menjadi dua macam: 1. Kista non-neoplastik, yang sifatnya jinak dan biasanya akan mengempis sendiri setelah 2 hingga 3 bulan 2. Kista neoplastik, kista ini umumnya harus dioperasi, namun hal itu pun tergantung pada ukuran dan sifatnya Beberapa gejala timbulnya penyakit kista adalah rasa nyeri sewaktu haid, nyeri perut bagian bawah, sering merasa ingin buang air besar atau kecil, dan pada keadaan yang sudah lanjut dapat teraba benjolan pada daerah perut. Dan jika kista pecah, misalnya saat berhubungan seksual, penderita akan merasa nyeri yang bertambah bila melakukan aktivitas fisik berat.
Ada 4 macam kista indung telur. Kista fungsional, dermoid, cokelat (endometriosis) dan kista kelenjar (cystadenoma). Sampai saat ini masih belum diketahui bagaimana terjadinya kista. Biasanya tumbuh sangat pelan dan sering terjadi keganasan pada umur lebih 45 tahun. Dari keempat kista ini yang paling banyak dan justru sering mengecil sendiri seiring dengan membaiknya keseimbangan hormonal adalah kista fungsional.
2. Sifilis adalah penyakit kelamin yang disebabkan oleh bakteri. Tanda-tanda sifilis, antara lain terjadinya luka pada alat kelamin, rektum, lidah, dan bibir; pembengkakan getah bening pada bagian paha; bercak-bercak di seluruh tubuh; tulang dan sendi terasa nyeri ruam pada tubuh, khususnya tangan dan telapak kaki. Tanda-tanda penyakit ini dapat hilang, namun bakteri penyebab penyakit tetap masih di dalam tubuh, setelah beberapa tahun dapat menyerang otak sehingga bisa mengakibatkan kebutaan dan gila. Penyakit ini dapat disembuhkan jika dilakukan pengobatan dengan penggunaan antibiotik secara 3. Herpes Genetalis Herpes genetalis disebabkan oleh virus. Virus penyebab penyakit herpes genetalis adalah Herpes simpleks. Gejala penyakit herpes genetalis, antara lain timbulnya rasa gatal atau sakit pada daerah kelamin dan adanya luka yang terbuka atau lepuhan berair. Tubuh yang terinfeksi Pada wanita : daerah genital; vulva dan lubang masuk vagina Pada lelaki : pangkal penis, kuncup penis, batang penis, dan testikel Selain di daerah tersebut, infeksi juga dapat terjadi di anus.
Gambar dibawah ini ibaratkan, luka pada pinggiran-pinggiran mulut vagina. (Herpes)
4. Gonore (kencing nanah) disebabkan oleh bakteri. Gejala dari gonore, antara lain keluarnya cairan seperti nanah dari saluran kelamin; rasa panas dan sering kencing. Bakteri penyebab penyakit ini dapat menyebar ke seluruh tubuh sehingga menyebabkan rasa nyeri pada persendian dapat mengakibatkan kemandulan. Penyakit ini dapat disembuhkan jika dilakukan pengobatan dengan penggunaan antibiotik secara cepat
v DAFTAR PUSTAKA di http: //dahlanforum. wordpress. com/2009/10/30/gangguan-sistemreproduksi/ http: //www. syafir. com/wp-content/uploads/2011/01/kista_08 folikuler. gif http: //yustian. com/penyakit-kista v. ENI NUR KUMALA ( 08121005)
3. Kelainan perineum • Kloaka persistens septum urogenital tidak tumbuh, bayi tidak mempunyai lubang anus, atau anus bermuara dalam sinus urogenitalis, dan terdapat satu lubang tempat keluar air kencing dan feses. 4. VAGINA • Septum vagina – Adanya sekat sagital di vagina yang ditemukan di bagian atas vagina Sering ditemukan dengan kelainan pada uterus �� adanya gangguan dalam fusi atau kanalisasi kedua duktus Mulleri Pada umumnya tidak menimbulkan keluhan Ditemukan pada pemeriksaan ginekologik, Darah haid keluar secara normal 5. VAGINA • Kista vagina Dikenal 2 macam kista kongenital 1. Kista dari sisa-sisa epitel duktus Mulleri 2. Kista dari sisa-sisa duktus Gartner yang terletak di bagian anterolateral vagina • Pengobatan : pengangkatan kista dengan pengupasan simpainya