Nylt mechanikus srlsek alkalmi sebek elltsa Dr Mth
Nyílt mechanikus sérülések, alkalmi sebek ellátása Dr. Máthé Zsolt
MECHANIKUS SÉRÜLÉSEK Ø Összenyomás ( compressio ) Ø Széthúzás ( tractio ) Ø Hajlítás ( flexio ) Ø Csavarás ( torsio ) Ø Széttolás ( pulsio )
MECHANIKUS SÉRÜLÉSEK ÁLTAL OKOZOTT HELYI ELVÁLTOZÁSOK FÜGGENEK ØHatóerő nagysága ØSzöveti ellenállás mértéke ØSzöveti rugalmasság foka
MECHANIKUS SÉRÜLÉSEK LEHETNEK ØFedett sérülések ØNyílt sérülések
FEDETT SÉRÜLÉSEK ØCommotio ØContusio ØDislaceratio ØFractura ØLuxatio
RÁZKÓDÁS (COMMOTIO) ØKimutatható anatomiai alapja nincsen (molekuláris) ØEsés, ütés, betemetődés Ø( agy, gerincvelő, mellkas, szív stb. )
ZÚZÓDÁS ( CONTUSIO ) Bőr folyamatos, szövetek roncsolódása, szakadása Ø Tünetek: vérzés, oedéma, duzzanat fájdalom működési zavar Ø Szövődmény : álaneurysma cysta traumatica Ø Kezelés : nyugalomba helyezés Ø
VONGÁLÁS ( DISLACERATIO ) Széthúzás által okozott károsodás, mely lehet megnyújtás ( distractio ) rándulás ( distorsio ) szakadás ( ruptura ) Ø Tünetek : fájdalom oedéma, duzzanat működési zavar Ø Kezelés : nyugalomba helyezés Ø
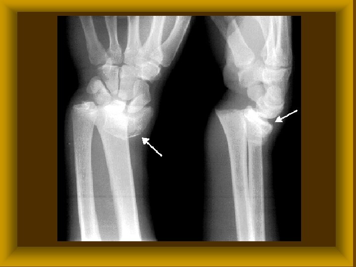
TÖRÉS ( FRACTURA ) Ø Traumás fractura * direct fractura ( behatás helyén ) * indirect fractura (behatástól távol) Ø Pathológiás fractura * tumorok, metastasisok * cysták * osteoporosis * osteomyelitis
FRACTURÁK MECHANIZMUSA ØCompressios törések ØHajlításos törések ØCsavarásos törések ØSzakításos törések
FRACTURÁK MORPHOLÓGIÁJA I ØRészleges törés * repedés ( fissura ) * megtöretés (infractio) ØTeljes törés
FRACTURÁK MORPHOLÓGIÁJA II Törési sík alapján : * haránt * hosszirányú * ferde * spirális Ø Törési darabok alapján * egyszerű * többszörös * rom törés Ø
FRACTURÁK MORPHOLÓGIÁJA III Ø Fractura sine dislocatione Ø Fractura cum dislocatione * ad longitudinem * ad latus * ad axim * ad periferiam
FRACTURA TÜNETEI Ø Szubjektív fájdalom * működési zavar Ø Objektív * deformitás * rendellenes mozgathatóság * crepitacio *
FRACTURA DIAGNÓZISA Ø Anamnesis Ø Megtekintés Ø Tapintás Ø Aktív és passzív mozgatás Ø Radiológiai vizsgálatok (kétirányú)
FRACTURA KEZELÉSE I Ø Hipokrates Ø Mathisen Ø Bardenhauer Ø Kirschner Ø Böhler rögzítősín gipszkötés extensio extensiós drót stabil osteosynthesis
FRACTURA KEZELÉSE II Ø Elsősegély Ø Sebészi ellátás * repositio * rögzítés • gipszkötések • extensio • osteosyntesis Ø Rehabilitáció
FRACTURA KEZELÉSE III Osteosynthesis Ø Csavaros osteosynthesis Ø Lemezes osteosynthesis Ø Velőűrszegezés Ø Dróttűzés Ø Dróthurok Ø Fixateur externe
FRACTURA KEZELÉSE IV Osteosynthesis idikációi Műtét nélkül ritkán gyógyuló sérülések (patella) Ø Nyílt törések Ø Interpositummal járó törések Ø Ideg, érsérüléssel járó törések Ø Hosszú csövescsontok instabil törései Ø Epiphysis törések gyermekkorban Ø
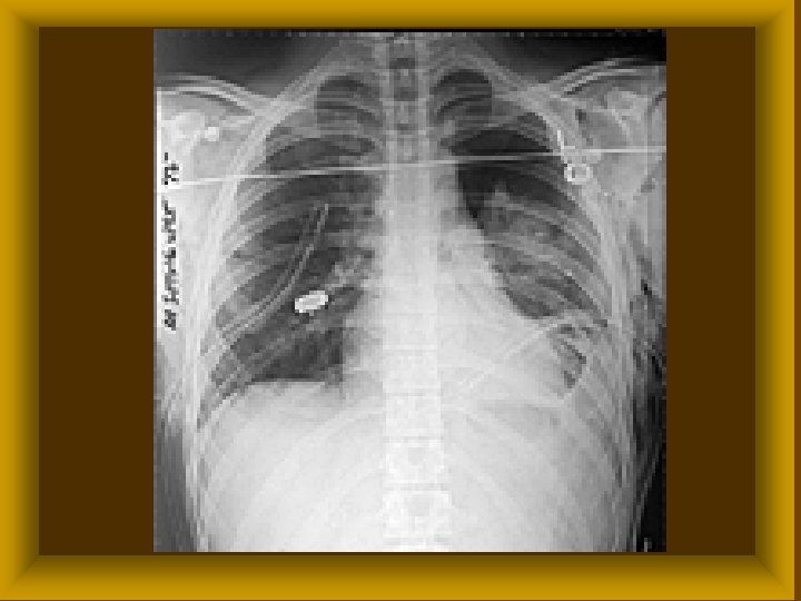
FRACTURA SZÖVŐDMÉNYEI Ø Posttraumás infectio zárt fractura 0, 5 -2 % * nyílt fractura 10 % * Sudeck atrophia Ø Refractura Ø Compartment syndroma Ø Myositis ossificans Ø Thromboembolia Ø Zsírembolia Ø
Sudeck atrophia
Myositis ossificans
FICAM ( LUXATIO ) Ø Luxatio completa ( teljes ) Ø Subluxatio ( részleges ) Ø Veleszületett (csípőficam) Ø Szerzett * traumás * habituális * recidiv
Subluxatio
FICAM ( LUXATIO ) SZÖVŐDMÉNYEI ØIzületi tok, izmok szakadása ØBőr, ideg, érsérülések ØCsonttörés
FICAM ( LUXATIO ) TÜNETEI Ø Szubjektív fájdalom * működési zavar Ø Objektív * alakváltozás * rugalmas rögzítettség *
FICAM ( LUXATIO ) KEZELÉSE Ø Repositio ( narkózisban ) * konzervativ * műtéti Ø Rögzítés Ø Rehabilitatio
NYÍLT SÉRÜLÉSEK Sebek Bőr vagy hám folytonosság hiánya Ø alkalmi sebek ( trauma ) * egyszerű sebek ( bőr + subcutis ) * szövődött sebek ( kötőszövet, izom stb ) Ø műtéti sebek
ALKALMI SEBEK FAJTÁI Ø Vulnus punctum ( szúrt ) Ø Vulnus scissum ( metszett ) Ø Vulnus contusum ( zúzott ) Ø Vulnus lacerum ( szakított ) Ø Vulnus morsum ( harapott ) Ø Vulnus sclopetarium ( lőtt )
SEBELLÁTÁS ALAPELVEI Minden alkalmi ( nem műtéti ) sebzést fertőzöttnek kell tekinteni el kell távolítani kórokozókat devitalizált szöveteket Alkalmi sebzést műtéti sebzéssé kell átalakítani
ELSŐDLEGES SEBELLÁTÁS Ideiglenes sebellátás ( elsősegély ) célja : másodlagos fertőzés megelőzése Ø Végleges elsődleges sebellátás ( 0 -8 h ) Friedrich ( 1898 ) kimetszés ( < 6 -8 h ) technikája : tisztítás érzéstelenítés kimetszés ( arc, kéz nem ) varratok Szúrt, harapott, lőtt, roncsolt sebnél situátios varratok + drain Ø Elsődleges halasztott varrat ( > 8 h ) kimetszés - kötés - varrat 3 -5 nap múlva Ø
ELSŐDLEGESEN ZÁRJUK A SEBET MINDEN ESETBEN ØMellüreget ØHasfalat ØKemény agyburkot áthatoló sérülésekor
HÁBORÚS SÉRÜLÉSEK ELLÁTÁSA A háborús sérülést aerob és anaerob baktériumokkal fertőzöttnek kell tekinteni Ø A sérültek reactiokészsége elmarad a normálistól Ø Az ellátás körülményei háborúsak ezért Ø elsődleges ellátást nem végzünk, kivétel koponya, mellkas, has áthatoló sérülése Ø
HÁBORÚS SÉRÜLÉSEK ZÁRÁSA Elsődleges halasztott varrat (3 -8 nap) Ø A sebszélek ragtapaszos közelítése Ø Átöltő U - varratok alátéttel Ø Korai másodlagos varrat (> 14 nap ) Ø Késői másodlagos varrat ( 4 - 6 hét ) Ø Plasticai eljárások Ø
GYULLADÁSOS SEBEK I Tünetek Ø Helyi Tumor * Rubor * Calor * Dolor * Functio laesa Ø Általános *
GYULLADÁSOS SEBEK II Befolyásoló tényezők Ø St. aureus vagy Streptococcus 50 % Ø Háborús, földdel szennyezett sebek anaerob Ø Idegentestek Ø Sebfalak állapota (zegzugos vagy éles) Ø Immunológiai status
GYULLADÁSOS SEBEK III Kezelés Ø Anamnesis, kísérő betegségek ( DM, art. scler. stb ) Eddigi kezelés, láz, septikus tünetek Megtekintés ( kötés levétele ) Tapintás (fluctuáció) punctio Ø Konz. kezelés (arc) Ø Ø Ø regressio progressio feltárás(drain) mintavétel kontroll
SEBFERTŐZÉS MEGELŐZÉSE Ø Friedrich féle sebkimetszés Ø Fertőzés gyanujakor nyitva kezelni Ø Gyülem esetén drain felett zárunk Ø Varrat nem feszülhet Ø Antibiotikum helyett incisio Ø Az asepsis szabályait be kell tartani
ÉGÉSI SEBEK ØElsősegély - folyó hidegvíz (min 20 perc) ØFájdalomcsillapítás ØFedőkötés
ÉGÉSI SÉRÜLÉSEK Felületes égés II/1 égés esetén : Ø fájdalomcsillapítás Ø sebkörnyék lemosása ( Neomagnol ) Ø debriment eltávolítása Ø kötés ( ezüstnitrát, Betadine ) Ø rögzítés
ÉGÉSI SÉRÜLÉSEK Mély másodfokú II/2 ( irha is elhalt - verejtékmirigy hám ) Ø Konzervatív kezelés Ø Tangentiális excisio ( Humby kés )
ÉGÉSI SÉRÜLÉSEK Mély égés III - IV fokú (zsír, izom ill. csont ) Acut műtét - hosszirányú bemetszések Elsődleges műtét ha : általános állapot jó égett felület nem nagy necrectomia + plastika Nagy felületű égések esetén ( > 15 % ) 15 % - t kimetszünk és fedünk autograf 5 - 7 nap 15 % - t kimetszünk és fedünk heterograf - cadaver 14 nap múlva Xenograf - sertés rejectio autograf
Sok esetben már az is számottevő eredmény, hogy legalább az orvos életben marad. . .
- Slides: 84