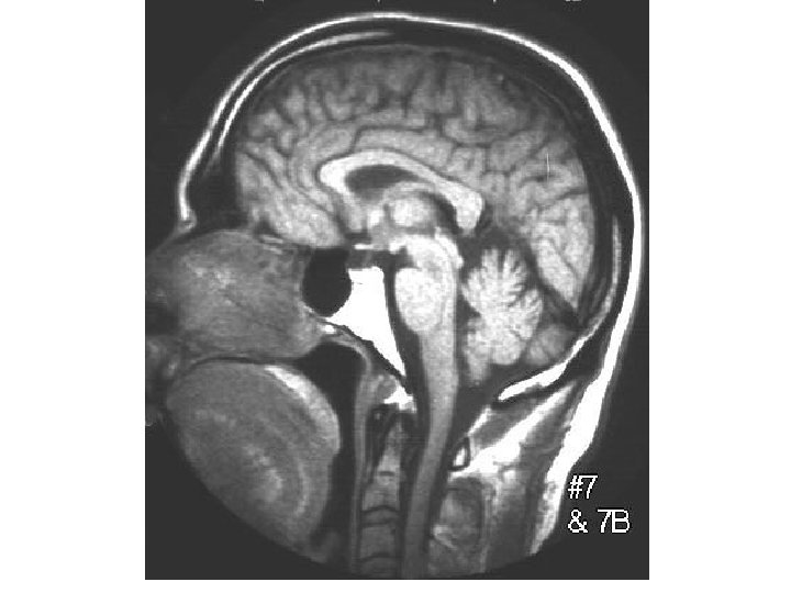
Not These Not these This one Not these

  • Slides: 15
Download presentation

Not These

Not These

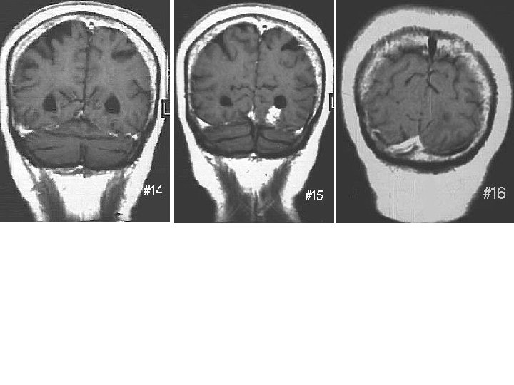
Not these

Not these

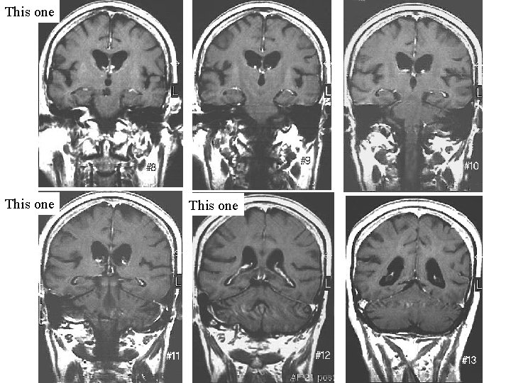
This one

This one

Not these

Not these

This one only

This one only

This one

This one

Circle of Willis Drawing See plates 131 -134 8 18 points 7 6 5

Circle of Willis Drawing See plates 131 -134 8 18 points 7 6 5 Rt Lt 4 10 1. Vertebral arteries 2. Common carotid arteries 3. Basilar artery 4. Anterior communicating artery 5 Anterior cerebral arteries 6. Middle cerebral arteries 7. Internal carotid arteries 8. External carotidl arteries 9. Posterior cerebral arteries 10. Posterior communicating arteries 9 3 1 2 9

See plates 97 -98 Venous Sinuses Drawing 9 points 1 2 1. 2. 3.

See plates 97 -98 Venous Sinuses Drawing 9 points 1 2 1. 2. 3. 4. 5. 6. 7. 8. 9. Superior sagittal sinus Inferior sagittal sinus Great cerebral vein (of Galen) Straight sinus Confluence of sinuses Occipital sinus Transverse sinus Sigmoid sinus Internal jugular vein 4 3 8 5 7 6 9

14 points 1. Frontal (anterior) horn of Lateral ventricle 2. Body (central part) of

14 points 1. Frontal (anterior) horn of Lateral ventricle 2. Body (central part) of lateral ventricle 1 3. Trigone of lateral ventricle (not in Netter) 6 4. Occipital (posterior) horn of lateral ventricle 7 5. Temporal (inferior) horn of lateral ventricle 6. Interventricular foramen (of Monro) 7. Interthalamic adhesion 8. 3 rd ventricle 9. Cerebral aqueduct (of Sylvius)* 10. 4 th ventricle 11. Foramen of Luschka 12. Lateral recess 13. Median aperture (Foramen of Magendie) 14. Central canal of spinal cord See plate 102 -103 2 8 3 9 4 5 10 11 12 13 Ventricular System Drawing 14