NME OLGULARINDA ENDOVASKLER TEDAV YNTEMLER VE KARILAN KOMPLKASYONLAR







































- Slides: 39
İNME OLGULARINDA ENDOVASKÜLER TEDAVİ YÖNTEMLERİ VE KARŞILAN KOMPLİKASYONLAR Dr. Süha Akpınar -Dr. Bahar Kaymakamzade Burhan Nalbantoğlu Devlet Hastanesi-KKTC Yakın Doğu Üniversitesi -KKTC
Giriş İntravenöz trombolizis için uygulamaya tercihen ilk 3 saatte, bazı merkezlerce de en geç ilk 4. 5 saat içinde başlanması zorunludur. Anjiografi eşliğinde trombektomi veya trombolizis uygulamaları tek başına İV trombolizis uygulamasına oranla yüksek başarı oranları nedeni ile tercih edilmesi gereken seçeneklerdir. � Risk altındaki serebral doku dolaşımının düzeltilmesinde girişimin, anterior serebral dolaşım için en fazla 6 saat, posterior serebral dolaşım için ise 8 saat içinde uygulanması hayati önem taşımaktadır. � Anjiografik girişimlerin başarılı olabilmesi için girişim kadar işlem esnasında veya sonrasında gelişebilecek komplikasyonların bilinmesi, tanınması ve takibi de önem kazanmaktadır. �
Amaç � İnme bulguları ile başvuran olgularda intraarteriel tpa, mekanik tromboliz ve intraarteriyel stent eşliğinde trombektomi uygulamaları esnasında karşılan komplikasyonların retrospektif olarak araştırılması ve bulguların literatür bilgileri eşliğinde tartışılması amaçlanmaktadır.
Gereç ve yöntem � Kasım 2011 -aralık 2012 � KKTC , BNDH ve YDU � 45 -78 Yaş;
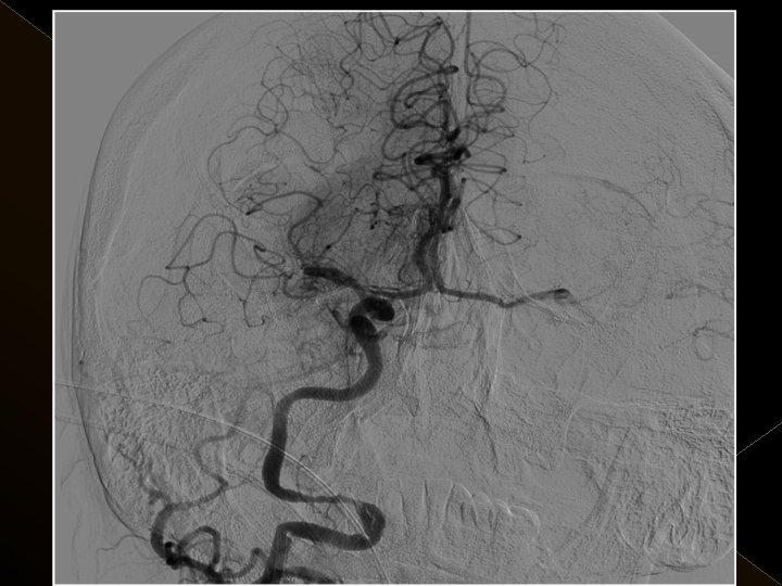
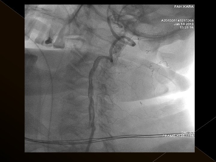
� 25 hasta (16 K, 9 E) , 27 vaskuler okluzyon � 16 orta serebral arter (MCA), � 6 baziler arter ve � 5 internal karotis arter (İCA) düzeyinde olmak üzere � Toplam 25 hasta, 27 tıkanıklığa (6 sı hariç) iv tpa sonrası endovaskuler yolla müdahale edildi
Acil servise başvuru süreleri: 1 -4. 5 saat Başvuru sırasındaki ortalama NIHSS skoru: 23 25 hastanın 21’inda kontrol serebral anjiografide tıkanıklığın tamamen açılmış olduğu görüldü. � Baziler arter ve ICA tıkanıklığı olan 4 hasta kaybedildi. � 19 hastanın 16’sında NIHSS skorlarında işlem sonrasında 24. saatte yapılan klinik değerlendirmede ortalama 10 puanlık düşüş saptandı. � � �
Uygulama � Toplam trombolitik ajan dozu: 0. 9 mg/kg , 0. 3 mg/kg’ lık bölümü intraarteriel işlemde � Tpa uygulaması sonrası 24 saat boyunca ek antikoagulan uygulanmadı. � İşlem sonrası kan şeker değeri 120 mg/lt de tutulmaya çalışıldı. � Endovasküler işlem sonrası KB tedrici düşme. KB 180/100 mm/Hg’nin üzerine çıkmadıkça müdahale edilmedi.
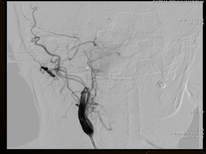
� İnme tedavisinde iv tpa uygulamasını takiben � intraarteriyel (İA) trombolitik tedavi (ia tpa ve ia mekanik trombolizis) � İA stent yardımı ile trombektomi yöntemleri kullanılarak tedaviye cevap ve komplikasyonlar araştırıldı.
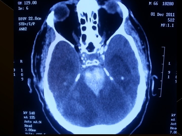
Görüntüleme İşlem öncesi § Bazal kontrastsız BT § BT anjiografi (varsa perfüzyon BT ) § MR (DW, ADC) İşlem sonrası § MR ( DW, ADC, SWI) § 24. saatte kontrol BT veya MR
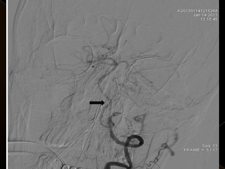
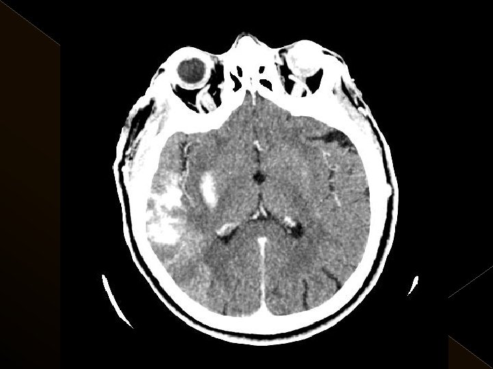
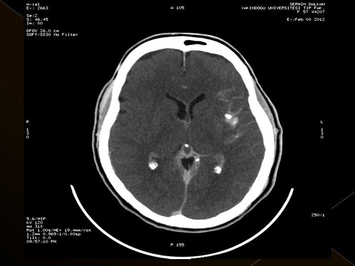
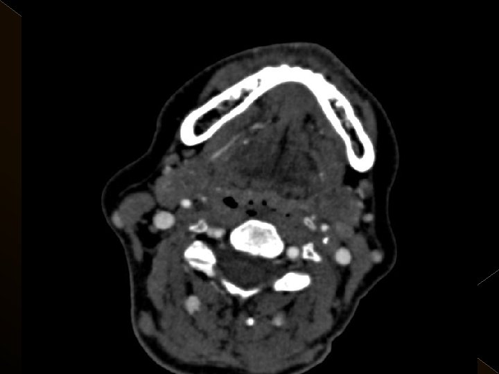
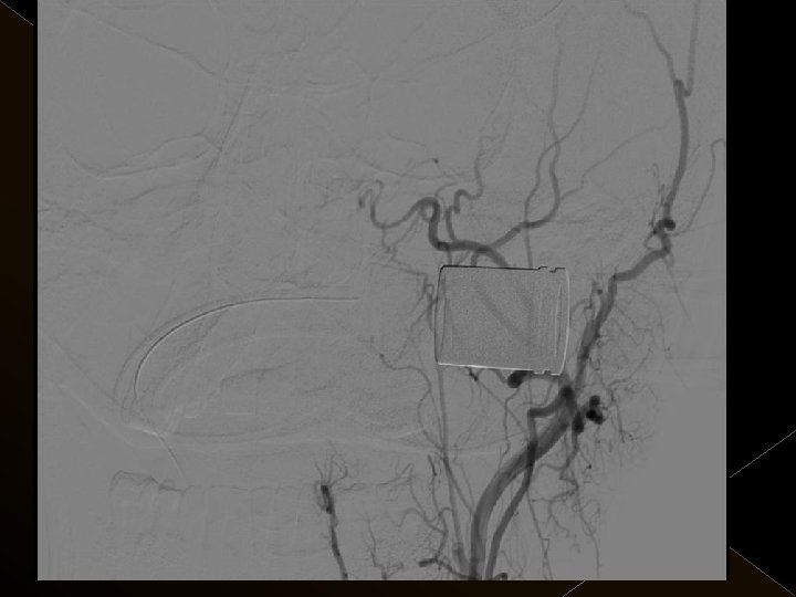
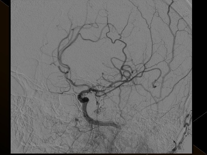
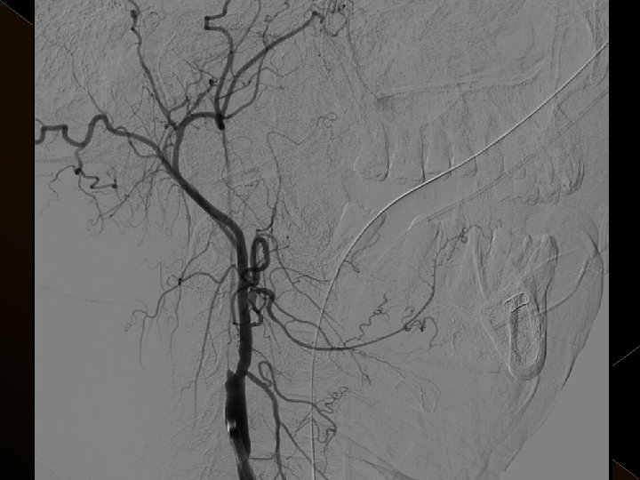
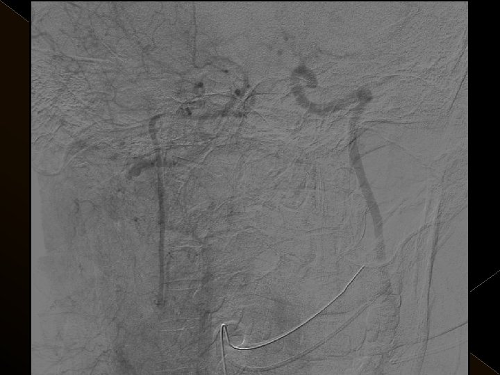
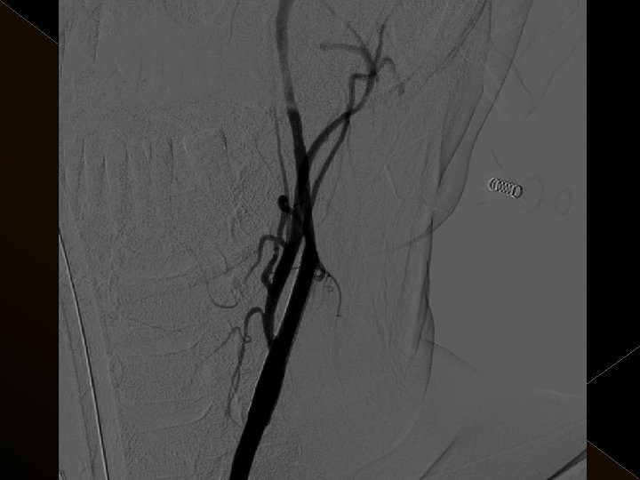
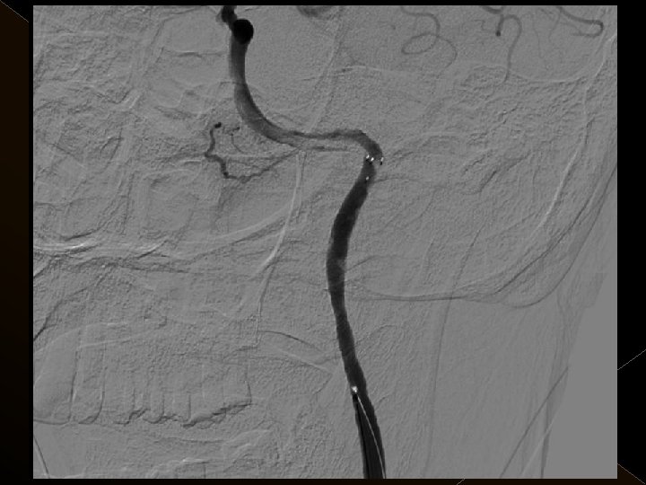
KOMPLİKASYONLAR Ponksiyon bölgesi komplikasyonları � Trombektomi stentine ait komplikasyon (*1) � Diseksiyon(*2) � Karotikokavernöz fistül (‘ 1) � Hemorajik komplikasyonlar(‘ 5) Semptomatik-nonsemptomatik � İskemik komplikasyonlar (3) � Reoklüzyon (2 i. a) � Kontrast madde nefropatisi �
Sonuçlar � Tedavi edilen hasta sayısındaki artış ile doğru orantılı olarak girişimsel tedavilerde de tedrici bir artış görülmektedir.
Sonuçlar � Endovaskuler tedavi ile inme hastalarının mortalite ve morbidite oranları azalmakta, tedavi oranları artmaktadır. Komplikasyonlar da vaka sayıları ile orantılı olarak çeşitlilik göstermektedir.
Sonuçlar � Girişim yapılan hasta gruplarının çeşitliliği endovasküler girişimlerin yapıldığı merkezleri komplikasyonlar konusunda kısa zamanda eğitebilmektedir.
Sonuçlar � Girişim yapılan olguların sayısı ve girişim süreleri arttıkça görülecek yeni komplikasyonlara göre tedavi planlamalarının da güncellenmesi gerekmektedir.
Sonuçlar � Girişimin önemi kadar girişim sonrasında nörolojik yoğun bakım ünitelerindeki hasta takibi de büyük önem taşımaktadır. � Sık nörolojik muayene, yakın takip, rutin kan basıncı ve şeker takibi, girişimsel işlem sonrası gelişebilecek komplikasyonlar hakkında bizlere önemli öncü bilgiler vermekte, hastaların morbidite ve sağ kalımında önemli rol oynamaktadır. � akpinarsuha@hotmail. com