NEOPLASIA Servicio de Anatoma Patolgica HSJD Dr Ruy














































































- Slides: 78
NEOPLASIA Servicio de Anatomía Patológica HSJD Dr. Ruy Vargas Baldares Dra Yetty Vargas S.
Neoplasia ► Literalmente: crecimiento nuevo”. ► Neo: nuevo-plasia: tejido. ► Sinónimos: Tumor-cáncer. ► Una neoplasia es una masa anormal de tejido, cuyo crecimiento es excesivo e incoordinado respecto al tejido normal, y persiste de la misma forma excesiva aunque cese el estímulo que evocó el cambio. Sir. Rupert Willis.
NOMENCLATURA ► Componentes básicos: 1 -Parénquima: células neoplásicas proliferantes. Determina el comportamiento y las consecuencias patológicas. 2 -Estroma de soporte: tejido conectivo y vasos sanguíneos. Determina el crecimiento y la evolución de la neoplasia.
► Nomenclatura = componente parenquimatoso. ► Tumores benignos: sufijo “- oma”a la célula de orígen. Lipoma condroma
► En tumores epiteliales benignos la nomenclatura es más compleja: -Célula de orígen. -Arquitectura microscópica. -Patrones macroscópicos.
Adenoma
NEOPLASIAS ► Si el tumor presenta un patrón de crecimiento exofitico digitiforme y se deriva de un epitelio le llamamos papiloma.
► Si forma masas quísticas le llamamos cistoadenoma Cisto: quiste Adenoma: tumor glandular ► Si ademas tiene un crecimiento papilar le denominamos cistoadenoma papilar
Neoplasias ► Cuando el tumor crece de la superficie de una mucosa hacia el lumen del órgano, decimos que tiene un crecimiento polipoide y lo llamamos pólipo si es benigno ► Si es maligno unicamente hacemos referencia a su patron de crecimiento Ej. Adenocarcinoma polipoide
Tumores malignos Tejido mesenquimal: Sarcomas (griego - sar=carnoso).
OSTEOSARCOMA
CONDROSARCOMA
Leiomiosarcoma
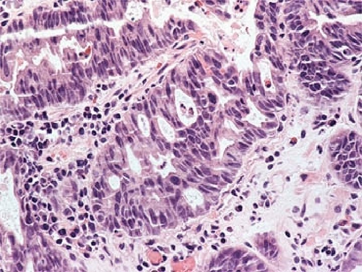
Tumores malignos ► Células epiteliales de cualquiera de las tres capas germinales: Carcinomas
► Tanto en los tumores benignos como en malignos diferenciados, las células parenquimatosas se parecen entre sí, porque derivan de una única estirpe de células.
► Diferenciación divergente de una única estirpe de células parenquimatosas en otros tejidos, crea lo que se denomina : Tumores mixtos ( componentes epiteliales diseminados en un estroma mixoide, con islotes de cartílago e incluso hueso.
Tumor mixto • Tumor compuesto de células representando una única capa germinal.
Teratomas Compuesto de una variedad de células parenquimatosas representativas de más de una capa de células germinales, generalmente de las tres. Se originan de células totipotenciales. Principalmente en gónadas, o en cualquier otro sitio células primitivas secuestradas
NOMENCLATURA DE TUMORES
Hamartoma: -Masa desorganizada de células especializadas maduras o tejido autóctono al sitio particular. Representan anomalías del desarrollo.
► Coristoma: -Resto ectópico de tejido normal. Ej: restos de tejido adrenal bajo la cápsula renal.
Biología del crecimiento tumoral ► Fases de evolución de los tumores malignos transformación crecimiento invasión metástasis
Características de las neoplasias ► Diferenciación: Hasta qué punto la célula neoplásica recuerda a la célula normal, morfológica y funcionalmente.
► Carencia de diferenciación…anaplasia. Tumor benigno/maligno bien diferenciado Tumor maligno Neoplasias malignas compuestas de células indiferenciadas. . anaplásicas
Anaplasia: Carencia de diferenciación. Se considera el sello de la transformación maligna. ► Literalmente: formar hacia atrás. ► No representa diferenciación inversa ► Los cánceres brotan de células madre presentes en todos los tejidos especializados. ► El cancer bien diferenciado se forma por maduración o especialización de células indiferenciadas a medida que proliferan. ► El tumor maligno indiferenciado se forma por proliferación sin maduración de las células transformadas. ►
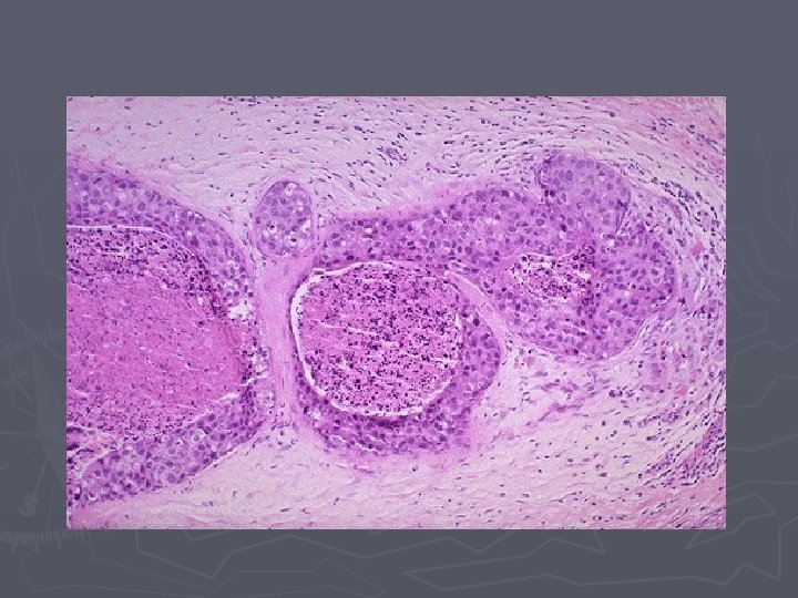
Cambios morfológicos ► Pleomorfismo : variabilidad de tamaño y forma en células y núcleos.
► Morfología nuclear anormal: -Hipercromatismo ( núcleos oscuros por abundancia de ADN). -Relación núcleo –citoplasma alterada (normal 1: 4 -1: 6) -Formas nucleares variables. - Cromatina en grumos. - Nucleolos grandes.
Forma nuclear variada hipercromatismo nucleolos
► Mitosis: - Gran cantidad de mitosis atípicas: tripolares, cuadripolares o multipolares.
► Pérdida de la polaridad. ► Otros cambios: - Células tumorales gigantes.
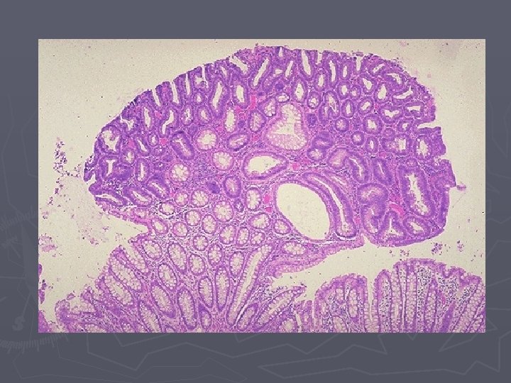
Displasia ► Literalmente: crecimiento desordenado. ► Se trata de una proliferación desórdenada pero no neoplásica. ► Se encuentra principalmente en los epitelios. ► Cambios: -Pérdida de uniformidad de las células individuales. -Pérdida de la orientación en su arquitectura.
Displasia ► Con frecuencia adyacente a focos de carcinoma invasor. ► Antecede la aparición del cancer. ► No necesariamente progresa a cáncer. ► Displasias leves y moderadas pueden ser reversibles al remover la causa que incitó el cambio.
DISPLASIA ► Cuando la displasia afecta todo el espesor del epitelio se habla de un carcinoma in situ, esto quiere decir que la neoplasia esta limitada al epitelio y no ha sobrepasado la membana basal. ► En la actualidad se cambia el termino de displasia por el de Neoplasia intraepitelial
INDICE DE CRECIMIENTO ► Cuanto tiempo tarda en producirse un tumor clínicamente detectable?
En el momento en que un tumor es clínicamente detectado, ya ha completado una porción principal de su ciclo de vida.
Velocidad de crecimiento ► 3 factores: 1 - Tiempo de duplicación de células tumorales. 2 - Fracción de las células en replicación ( fracción de crecimiento). 3 - % de las células que se pierden durante el crecimiento de la lesión.
► Estudios clínicos y experimentales sugieren que en las fases iniciales o submicroscópicas del crecimiento tumoral, la mayoría de las células están en el conjunto proliferativo. ► Conforme crece el tumor, las células abandonan el conjunto proliferativo en cantidad cada vez mayor y se pierden por falta de nutrientes, apoptosis, diferenciación o por reversión a fase G 0. ► En el momento en que un tumor es clínicamente detectable, la mayoría de las células no están en el conjunto proliferativo.
► Aún en tumores con crecimiento rápido la fracción de crecimiento es de 20% o menos. ► De manera que el crecimiento progresivo de un tumor y el índice con el cual crece depende de que haya exceso de producción de células sobre la pérdida celular.
► La fracción de crecimiento tiene un profundo efecto en la suceptibilidad del cáncer a la quimioterapia, ya que la mayoría de los agentes anticancerígenos, actúan sobre células que están en el ciclo celular.
► El índice de crecimiento de un tumor correlaciona con su nivel de diferenciación. ► Los tumores más malignos crecen más rápido que las lesiones benignas. ► Influencias hormonales, de flujo sanguíneo adecuado, etc.
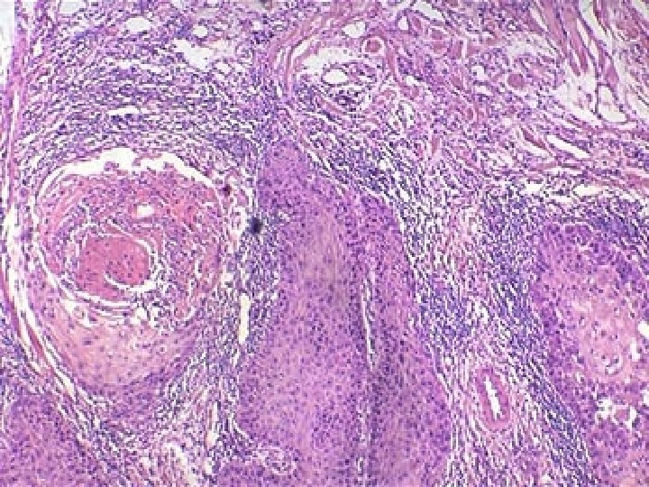
Invasión local ► Tumor benigno ► Crecimiento expansivo ► Cápsula fibrosa ► Pseudocápsula ► Plano de clivaje definido. ► Carecen de capacidad de invadir y metastatizar. ► Tumor maligno ► Crecimiento infiltrativo ► No encapsulados ► Invasión vascular, linfática o perineural
Metástasis ► Crecimiento a distancia de masas tumorales que no presentan continuidad con el tumor original. ► Característica más importante que distingue a los tumores malignos de benignos.
VIAS DE DISEMINACIÓN 1. Siembra directa de cavidades o superficies corporales. 2. Diseminación linfática. 3. Diseminación hematógena.
Siembra de cavidades ► Cáncer penetra espacio abierto natural: -Cavidad peritoneal -Cavidad pleural. -Cavidad pericárdica. -Espacio subaracnoideo o articular. Ej: Carcinoma ovárico.
DISEMINACION LINFATICA ► Vía más común de diseminación de los carcinomas. ► Patrón de afectación sigue vías naturales de drenaje. Ca de mama: Ganglios axilares. Ca de pulmón: Ganglios traqueobronquiales perihiliares y mediastínicos.
DISEMINACION HEMATOGENA ► Vía más común de diseminación de los sarcomas. ► Venas son más fácilmente penetradas por tumor. ► Siguen flujo venoso. ► Hígado y pulmón : órganos más afectados.
Epidemiologia ► Estudios epidemiológicos ayudan a conocer relación de factores ambientales, raciales ( hereditarios) y culturales con cancer. ► Sexo: Hombres: Próstata, pulmón y cáncer colorectal. Mujeres: Ca de mama, pulmón y colon- recto.
► Factores geográficos y ambientales: Muerte por Ca gástrico 8 veces > Japón que en EEUU. Ca de pulmón 2 veces> en EEUU. Muertes por melanoma 6 veces más frecuentes en Nueva Zelanda que en Islandia.
Canceres profesionales ► Arsenico ► Asbestos ► Benceno ► Cadmio Pulmon, piel. Mesotelioma Leucemias Prostata
► Edad: más frecuentes en mayores de 55 años. ► En EEUU el cancer produce más del 10% de todas las muertes en menores de 15 a.
Predisposición genética al cancer ► Existe predisposición hereditaria en diferentes tipos de cancer. ► Menos del 10% de los pacientes con cáncer ha heredado mutaciones que predisponen al cáncer. ► La predisposición genética al cáncer puede dividirse en 3 categorías:
Predisposicion hereditaria al cancer ► 1 - Sd. Hereditarios de cancer -RB Retinoblastoma -p 53 Sd. De Li-Fraumeni. -APC Poliposis adenomatosa fam. -BRCA 1, BRCA 2 Mama y ovario.
► 2 - Canceres familiares -Ca de mama -Ca de ovario. -Ca de pancreas ► 3 - Sd autosómicos recesivos de reparacion de DNA defectuoso. -Xeroderma pigmentosum -Ataxia teleangiectasia. -Sd de Bloom. -Anemia de Fanconi.
► Síndromes cancerosos heredados en forma autosómica dominante: -Mutación puntual que ocurre en un solo alelo de un gen supresor tumoral. Retinoblastoma – 40% son hereditarios.
► Síndromes de reparación del DNA defectuoso: - Defectos en la reparación del DNA. - Herencia autosómica recesiva. Ej: Xeroderma pigmentoso Ataxia teleangiectasia Sd de Bloom.
► Canceres familiares: Familias sin un patrón de trasmisión claramente definido. Ca de colon, mama, ovario, cerebro y melanomas. ► Características: Edad precoz de comienzo Tumores en 2 o más parientes próximos al caso problema. Tumores múltiples o bilaterales.
► Suceptibilidad familiar puede depender de múltiples alelos de penetrancia baja Ej: Ca de mama…genes de suceptibilidad BRCA 1 -BRCA 2 Se produce en no más de 3% de los Ca de mama.
Trastornos predisponentes no hereditarios ► Proliferaciones regenerativas, hiperplásicas y displásicas…suelo fértil para el origen de un tumor maligno. Ej: Displasia de cérvix- CA Metaplasia y displasia de mucosa bronquial en fumadores. . Ca broncogénico.
Inflamacion crónica y cancer ► Colitis ulcerosa ► Enf de Chron ► Gastritis por Helicobacter. ► Hepatitis viral ► Pancreatitis crónica.