Neoplasia Part I 1 What are neoplasams Neoplasms
































- Slides: 32
Neoplasia Part I
• 1. What are neoplasams?
• Neoplasms represent new, uncontrolled growth of cells. In contrast to normal cells, the proliferation of neoplastic cells is autonomous, excessive, and disorganized. • Greek “neos”= new; “plasia”=growth
• 2. How are human tumors classified?
1. Clinical classification (presentation and outcome) 2. Histologic classification (origin of the tumor, beningn or malignant, . . . )
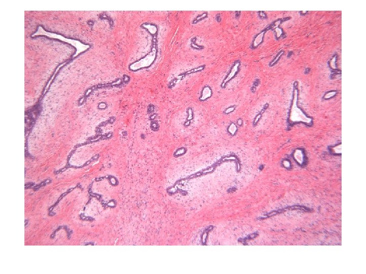
3. What are the main differences between benign and malignant tumors?
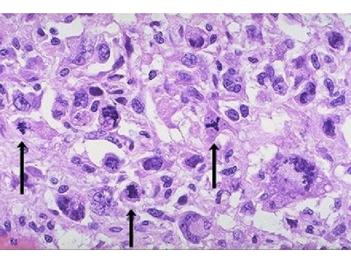
• Benign tumors generally have a limited growth potential and a good outcome, whereas malignant tumors grow uncontrollably and may eventually kill the patient. Benign tumors are typically encapsulated and more highly differentiated. In contrast, malignant tumors invade surrounding tissue and metastasize. Malignant tumors commonly lack differentiated cytologic features (anaplasia) and show marked heterogeneity of cell morphology (pleomorphism).
4. How do tumors metastasize?
• Only malignant cells have the capacity to metastasize, that is, to move from one location to another in the body. Spread can occur through the lymphatic system, through the blood, and by direct seeding of body cavities (e. g. , peritoneal carcinomatosis). Key steps in the metastatic cascade include invasion of a vessel wall, transport by circulation (embolization), and arrest.
5. List a few benign mesenchymal tumors and their malignant equivalents.
• Examples of benign mesenchymal tumors include fibroma, hemangioma, and osteoma. The malignant counterparts of these neoplasms are classified as fibrosarcoma, angiosarcoma, and osteosarcoma.
6. List a few benign epithelial tumors and their malignant equivalents.
• Examples of benign epithelial tumors are epithelioma, transitional cell papilloma, and adenoma. The malignant counterparts of these neoplasms are classified as squamous cell carcinoma, transitional cell carcinoma, and adenocarcinoma.
• 7. How do carcinomas differ from sarcomas?
• Carcinomas are defined as malignant neoplasms of epithelial cell origin. Sarcomas are defined as malignant neoplasms of connective tissue (mesenchymal cell) origin.
• 8. Define lymphoma, glioma, seminoma, and teratoma.
• These are several important exceptions to the rules for nomenclature of tumors. Lymphomas are malignant tumors of lymphoid origin. Gliomas are malignant tumors of glial cells. Seminomas are malignant germ cell neoplasms of the testis. Teratomas are germ cell neoplasms found in the ovaries and testes. In contrast to seminomas, which are monomorphic, teratomas contain a haphazard arrangement of differentiated cell types and tissues. Malignant teratomas are called teratocarcinomas.
• 9. List three eponymic tumors.
• Some tumors carry the names of the physician who first described them. Examples include Hodgkin’s lymphoma of the lymph nodes, Ewing’s sarcoma of the bones, and Kaposi’s sarcoma of the skin.
• 10. What is the difference between tumor staging and grading?
• Tumor staging is done clinically by assessing the extent of tumor spread. Grading is based on histologic examination of a tumor specimen. Overall, staging has more predictive value than grading.
• 11. Compare normal and malignant cells, taking into account their morphology, some basic biologic functions, and biochemical properties.
• Tumor cells differ from the normal cells in which they have arisen. Generally, malignant cells differ much more than the cells of benign tumors. Compared with normal cells, neoplastic cells may show evidence of metabolic changes (increased anaerobic glycolysis), lack of contact inhibition of growth (altered cell-cell and cell-substrate adhesion), and changes in gene expression (appearance of tumor antigens). At a biochemical level, many tumor cells have been shown to constitutively express growth-promoting genes called oncogenes.
• 12. How do tumor cells grow in vitro?
• Compared with normal cells, which have a limited life span in vitro, tumor cells survive in culture much more easily and many are actually “immortal. ” Normal cells will stop migrating and dividing when they cover the bottom of a flask, whereas tumor cells lack such contact inhibition and form multicellular aggregates, which tend to detach and float in the culture medium.
Thank you for the attention!!!