NEONATAL NEKROTZAN ENTEROKOLT NEK 1 NEK Yenidoann prematr




























































- Slides: 60
NEONATAL NEKROTİZAN ENTEROKOLİT (NEK) 1
NEK; Yenidoğanın (prematür) en sık rastlanan, GİS acilidir. İnsidans; % 1 -5 (NICU) Olguların % 65 -95’ prematüre NICU NEC Sıklığı (%) 2
PATOLOJİ Distal ileum / proksimal kolonda SIKTIR (İnf. ve Sup. mezenter arter) Submukozal ödem Konjesyon – Hemoraji Ülserasyon Mukozal – transmural Nekroz Pnömatozis İntestinalis (%30 -50 Hidrojen + CO 2 gazı) 3
PATOLOJİ İskemik nekroz Bakteriyal invazyon İnflamasyon 4
PATOGENEZ Kompleks / İyi bilinmeyen bir SENDROM • Hipoksik-İskemik Hasar • GİS Fonks. / Konak Direnci İmmatürite • Enteral Beslenme • İnfeksiyon / İnflamasyon 5
PATOGENEZ • Hipoksik-İskemik Hasar • GİS Fonks. / Konak Direnci İmmatürite • Enteral Beslenme • İnfeksiyon / İnflamasyon 6
Hipoksik-İskemik Hasar Diving Refleks (sempatik refleks) (Akut asfiksi, polisitemi, RDS, umb. Katater v. s) Reoksijenasyon / Reperfüzyon !! Serbest Oksijen Radikalleri 7
Serbest Radikal Oluşturan Kaynaklar • Hipoksantin-ksantin oksidaz (İskemi/Reperfüz. ) • PLA 2 Araşidonik A. Lipo-siklooksijenaz • Aktive lökosit (respiratuar burst; İskemi/Reperfüz. ) Fe+2 (Fenton reaksiyonu) Fe+2 + H 2 O 2 Fe+3 + OH- + OH 8
NEK ve Serbest Oksijen Radikalleri • XO aktivitesi en yüksek GİS’ dedir ve NEK modellerinde aktivitesi artar. Hammerman J Pediatr Gastr; 1999 • Deneysel SOD uygulaması GİS’ de hasarlanmayı belirgin önler Miller et al; Am J Physiol 1988 • Deneysel SOD ve CAT verilmesi; PAF--NEK zararlanmasını azaltır. Cueva et al; Gut 1988 9
PATOGENEZ • Hipoksik-İskemik Hasar • GİS Fonks. / Konak Direnci İmmatürite • Enteral Beslenme • İnfeksiyon / İnflamasyon 10
İmmatür İntestinal Mukoza • yüksek mide p. H • azalmış motilite = Baktr. Proliferasyon • immatür epitelyal yapı (translokasyon) İmmatür İntestinal Enzimler • Antioksidan enzim (SOD, CAT, GPX) • Laktaz (>32 hafta aktif) intestinal C-H (substrat) düşük p. H (mukoza hasarı) aşırı gaz oluşumu 11
İmmatür İntestinal İmmünite • yetersiz mukozal B- lenfosit • eser düzeyde s. Ig. A (addezyon – koloni. ) • NEK sıklıkla Peyer plaklarında (+) ! • sayı/ fonksiyonel yetersiz T-Lenfosit 12
PATOGENEZ • Hipoksik-İskemik Hasar • GİS Fonks. / Konak Direnci İmmatürite • Enteral Beslenme • İnfeksiyon / İnflamasyon 13
NEK’li olguların %90 -95 inde Enteral Beslenme Sekonder etmendir. . . (formula !) • artmış oksijen talebi • dismotilite / staz • laktoz malabsorbsiyon / mukoza hasarı Anne sütü ile trofik beslenme! (minimal enteral beslenme) Hızlı volüm artışlarından KAÇIN 14
Minimal Volüm Artan volüm 20 ml/kg/10 gün 20. . . 140 ml/kg N 71 70 Ges. Yaş (h) 28 28 Doğ. Ağ 1005 1059 Ant. Steroid 63 (%) 51 (%) Anne sütü 25 (%) 34 (%) Ful enteral (g) 36 19 NEK (%) 1. 4 10 ÖLÜM 4. 3 4. 2 Berseth et al Pediatrics 2003 15
PATOGENEZ • Hipoksik-İskemik Hasar • GİS Fonks. / Konak Direnci İmmatürite • Enteral Beslenme • İnfeksiyon / İnflamasyon 16
SEPSİS NEK Sekonder etmendir. . . Primer faktör ? Endemi / Epidemi ile seyredebilir. . Clostridia E. Coli Klebsiella Koa. (-) staphylococcus Rota virus Bakteri. translokasyon Endotoksin Ekzotoksin Sitokinler** İnf. Mediatörler** 17
İnflamatuar Mediatörler PAF: İntestinal iskemi (+) / nekroz (NEK) TNF-a: İntestinal yaygın inflamasyon PAF sentezinde artma LTB 4: LTC 4: IL-6: Nötrofil kemotaksi ve agregasyon İntestinal iskemi İntestinal inflamasyon Nötrofil kemotaksi ve agregasyon Trombosit aggr. ve degranulasyon Kapiller kaçış – şok 18
Risk faktörleri • • Prematürite Perinatal asfiksi /hipoksi Formula beslenme (çok hızlı, çok fazla) Sepsis / Bakteriyel kolonizasyon RDS Umbilikal kataterizasyon PDA / İndometazin Polisitemi / anemi 19
Enteral Beslenme Prematürede tek başına enteral beslenme dolaşımdaki PAF düzeyini anlamlı olarak arttırır. Mac. Kendrick et al Biol Neonate 1993 ng/g meconium Enteral beslenme Meconyumdaki PAF düzeyini arttırır. Amer et al Biol Neonate 2004 ** * 20
Hipoksi/Asfiksi Prematürite PAF Enteral beslenme Sepsis + Baktr. kolonizasyon 21
APOPTOZİS İntestinal hasarlanmada etkin rol oynar İskemi/reperfüzyon Serbest oksijen radikalleri PAF, TNF-a Growth faktör eksiklikleri Hipoksi/reoksijenasyon 22
Sepsis Hipoksi-İskemi Formula / Volüm (++) PAF (-) Oks. Radikalleri Nitrik oksid (NO) TNF PAF-AH LTB 4, C 4 APOPTOZİS Aktv. Lökosit İntestinal Mukoza Hasarı NEK 23
KLİNİK Ani-Hızlı Sinsi * Çoğu term y. d. hemen daima prematür H/İ etiyoloji (P. Asfiksi) İnfeks. /entr. Bes. / v. s İlk 24 -48 s. (ilk hafta) >7 -10 gün Hızlı klinik bozulma 1 -2 gün evvel bulgu (+) Predispozan faktör (+) Olmayabilir. . . Enteral beslenme (-) Enteral beslenme(+) Bakteri Koloni. (-) Bakteri Koloni. (+) 24
KLİNİK- Bulgular Sistemik GİS** Letarji Abd. distansiyon Apne / Resp. Distres Beslenme intoleransı Hipo-hipertermi Gastrik rezidü Asidoz (metabolik-miks) Kusma (safralı) Hipo-hiperglisemi Dolaşım boz / Şok Gaita gizli/aşikar kan Karın cildinde eritem DİK / Kan kültürü (+) Karında palpabl kitle 25
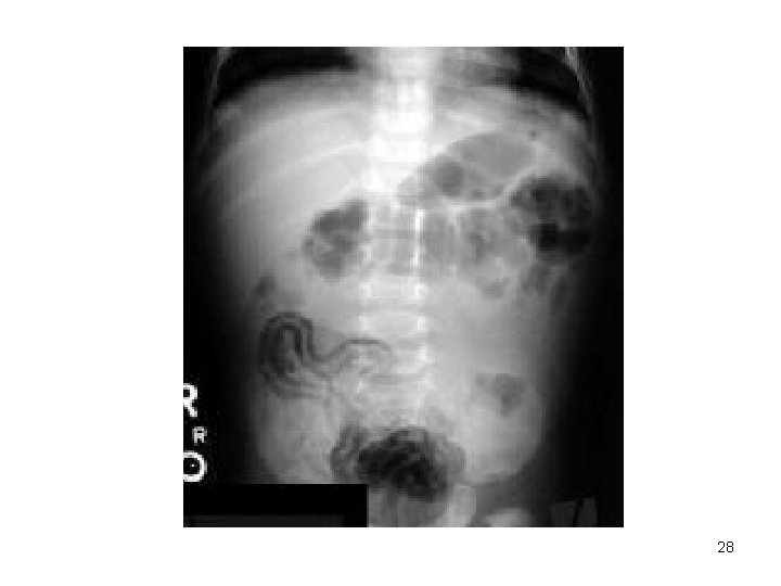
TANI Sepsis Bulguları: Lökositoz/nötropeni; >CRP; Trombositopeni; Kan gazı boz. ; elektrolit dengesizliği. . . RADYOLOJİ** Abdominal X-Ray Abdominal MRI; USG 26
27
28
29
30
Sınflama/ Evre Şüpheli NEK I A I B Kanıtlanmış NEK II A Radyoloji Apne, bradikardi, letarji, ısı düzensizliği Rezidü, kusma, hafif distansiyon, GGK (+) Rektal taze kan Normal veya Dilatasyon, ileus, pnömotosis İnt. “ + İleri NEK IIIA (barsak intakt) (perfore) GİS bulguları metabolik asidoz trombositopeni II B Sistemik bulgular IIIB + barsak sesleri (-) +abd. sellülit duyarlılık hafif dilatasyon hafif ileus + Assit dirençli apne, miks asidoz, Şok, DİK peritonit, aşırı abd. duyarlılık, kitle Çok ileri asit + pnömoperitonem +hipotansiyon, +jener. 31
TEDAVİ Evre-1: Enteral bes. kesilir (3 gün) Mide dekompresyonu / TPN I. V. antibiotik (3 gün; Kan KAB ? ) Evre-2: + Anaerob etkili antb. (10 -14 gün) Hct >%40 Ert. Susp / TDP / Dopamin I. V sıvı (200 cc/kg) / Mekanik ventilasyon Evre-3: + DİK / alb. / TDP / Tromb. / Heparin? Cerrahi 32
Cerrahi Kesin Endikasyon Pnömoperitoneum (+) parasentez (renk; gram boya) Göreceli Endikasyon Portal vende gaz Karında sabit kitle / eritem - sellülit X-ray dilate persistan lup Klinik hızlı kötüleşme 33
PROGNOZ NEK, en sık ölüm nedenlerinden biridir. . Genel mortalite: %30 -40 Cerrahi uygulamada: %60 -80 Geç Komplikasyonlar Striktür * Kısa barsak sendromu * Apse / Fistül / Kolestaz 34
KORUNMA ANNE SÜTÜ ile beslenme ! NEK sıklığı <32 hafta; 6 KAT ! >30 hafta; 20 KAT azalır (Lucas et al 1990) Düşük osmolar yük • s. Ig. A / Lizozim / Laktoferrin / PNL, lenfosit. . • Laktobasillus florası (Pre-Probiotik) • LCPUFA; Glutamin; Arjinin. . . 35
Ig. A IGF-I ve II Arjinin n-3/n-6 EFA Laktoferrin EPO Glutamin Karnitin Prebiotikler EGF PAF-AH G-CSF 36
Antenatal Steroid Uygulaması OR (%95 CI) RDS 15 I. V. H 4 N. E. K 3 0 0. 5 10 Anormal Nörolojik 3 Maternal İnfeks. 9 NS Fetal/Neontal İnf. 10 Fetal/Neontal İnf. 5 NS 37
Betametazon: 7/205 (%3. 4); Kontrol: 17/118 (%14. 4) Halac et al J Pediatr 1990 • Antioksidan enzim aktv. • PLA 2 inhibisyonu (PAF, LT ve PG) • PAF-AH aktivasyonu • PDA sıklığında • İndometazin 38
KORUNMA – SON SÖZ • Sıkı enfeksiyon kontrol önlemleri. . . • Perinatal asfiksi / infeksiyondan sakınma. . . • RDS tedavisi / PDA’ nın erken kapatılması • Beslenmede ANNE SÜTÜ ve az volüm seçimi !. . • Antenatal steroid uygulamasının arttırılması 39
YENİDOĞANDA GASTROÖZEFAGEAL REFLÜ (GÖR) Prof. Dr. Mete AKISU Ege Üniversitesi Tıp Fakültesi Neonatoloji Bilim Dalı - İzmir 40
Gastroözofageal reflü (GÖR) • GÖR: mide içeriğinin retrograd ve istemsiz olarak özofagusa geçişi • GÖRH: klinik bulgu ve komplikasyonların eşlik ettiği GÖR • Sıklık: % 22 (34 hafta ) 41
Yenidoğanda GÖR’nün fizyopatolojisi iyi tanımlanamamıştır. Özefagusun motilite bozukluğu ana neden olarak görülmektedir. Pretermlerdeki GÖR’ün çoğu asidik reflü değildir (gerçek insidans? ) 42
Alt özofagus sfinkteri- AÖS: Yüksek basınç bölgesi. Bu segment 1 cm uzunluğunda. • AÖS basıncı normalde: 10 -55 mm. Hg AÖS basıncı : < 5 mm. Hg ise reflü ++ • AÖS fonksiyonel gelişimi doğumdan 45 gün sonra 43
RİSK FAKTÖRLERİ • • Prematürite, Asfiksi, sepsis, BPD Nörolojik gelişmede gecikme, Konjenital ve edinsel GIS anomalileri (herni, fistül, omfalosel, orogastrik sondalar) • İlaçlar (ksantin, dopamin, Betaadrenerjikler) 44
FİZYOLOJİK • • Tartı alımı iyi, Oral ve iyi beslenme, Yutma koordinasyonu iyi, Normal aktivite, Apne ve bradikardi yok, Anemi yok, Gastrik boşalma normal. 45
PATOLOJİK (GÖRH) • • Kusma ve az tartı alımı, Beslenme güçlüğü, gavaj gereksinimi, Aspirasyon / Pnömoni Yutma koordinasyonu zayıf, Gelişimde gecikme, Apne ve bradikardi, (? ? ) Demir eksikliği anemisi, Midede besin artıkları. 46
Apne ve GÖR • Genel inanış apnenin GÖR bulgusu olduğu yönünde (idi). – Apne epizodları ile beslenme ilişkisi • Pekçok çalışmada asit/nonasit GÖR ile apne arasında ilişki gösterilememiştir. • GÖR için uygulanan farmakolojik tedavi ile apne sıklığı azalmamıştır. 47
TANI • • Özefageal p. H monitorizasyonu Sintigrafi Empedans Özefageal manometri (sfinkter dinamiğini ölçer), • Baryum pasajı (anomaliler) • Endoskopi (özefajit) 48
Özofagus p. H monitorizasyonu: GÖR tanısı için altın standart ? Uygulaması zor, kullanımı sınırlı Reflü ataklarının çoğu asidik değil Test zamanı uzun Pretermlerde kullanımı sınırlıdır. 49
Teknesyum sintigrafisi 50
Multipl intraluminal empedans tekniği: • p. H ’dan bağımsız olarak GÖR varlığını saptar. • Reflü varlığı ve reflünün seviyesi anlaşılabilir. • Uygulama süresi uzun ve probun sabitlenmesi sorun. 51
Tanı, klinik olarak semptomlar ve kuşkulanarak konur. Test yöntemlerinin hiçbiri tek başına GÖR değerlendirmesinde yeterli değildir. 52
TEDAVİ 1. İlaç dışı tedavi 2. İlaç tedavisi 3. Cerrahi tedavi 53
Konservatif tedavi Pozisyon: Yüzüstü ve sol yan yatarken daha az reflü Sol-yan yatırmak tercih edilmektedir. 30 derecelik yüzüstü pozisyonda yatırmak: Beslenme Düzeni: SIK ARALARLA AZ AZ BESLENMELİDİR. Anne sütü Hidrolize mama (inek sütü duyarlılığı) 54
Prokinetik tedavi: 1. Bazal AÖS basıncını artırır. 2. Özofagus temizlenmesini hızlandırır. 3. Mide boşalmasını kolaylaştırır. Eritromisin; Motilin reseptörlerine agonistik etki. Doz: 10 -15 mg/kg/gün, 3 dozda oral yolla Metoklopramid; 0. 1 mg/kg /doz, günde 4 doz öğünlerden önce verilir. 55
Eritromisinin motilite üzerine etkisi Eritromisin öncesi Eritromisin sonrası 56
Mukoza koruyucular: Özofajit gelişmesini ve buna bağlı semptomları önlemek için. Gaviscon Infant (Sodyum-arjinat); öğün sonrası verilir. Hem reflüyü önleyici hem de mukozayı koruyucu etkisi vardır. H 2 -antagonisti (Ranitidin) özofajitlerde uygulanabilir 57
Ciddi semptom Hafif semptomlar 1. Faz tedavi: Konservatif; pozisyon, antasid (arjinik a. ) 1 -2 hafta 2. Faz tedavi: Prokinetik tedavi 2 -3 hafta 3. Faz tedavi: H-2 Blokörü GÖR tanısını tekrar değerlendir tetkik Sintigrafi, p. H monitörü, Ba-ÖMD, Endoskopi 58
Cerrahi tedavi: Ciddi reflü semptomları Pnömoni, ciddi apneler, özefageal kanama, ülser kilo alım yetersizliği ve inatçı kusmalar, SSS morbiditesi CERRAHİ TEDAVİ 6 ay medikal konservatif ted. DÜZELME YOK 59
Sonsöz • GÖR hastalığı için güvenilir tanı yöntemi yoktur. • GÖR hastalığı için güvenilir ve etkin “tek” bir tedavi yoktur. • Preterm bebeklerde çoklu ilaç tedavilerinden önce “koruyucu” yöntemler etkin olarak uygulanmalıdır. • Komplike olgular multidisipliner olarak izlenmelidir. 60