National Specialist Dermatopathology EQA Scheme Circulation L Case

  • Slides: 67
Download presentation
National Specialist Dermatopathology EQA Scheme Circulation L

National Specialist Dermatopathology EQA Scheme Circulation L

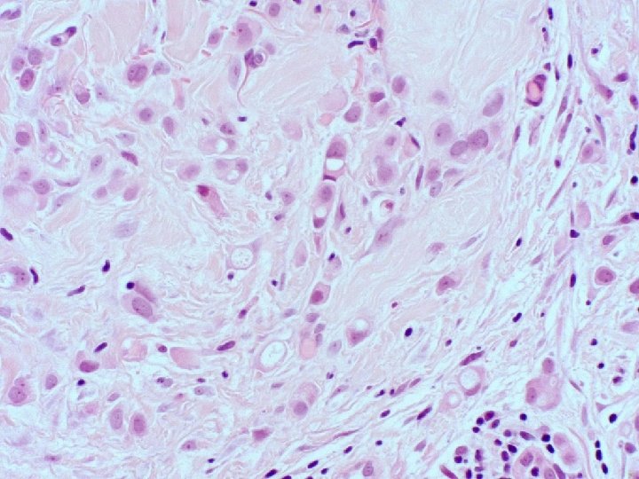
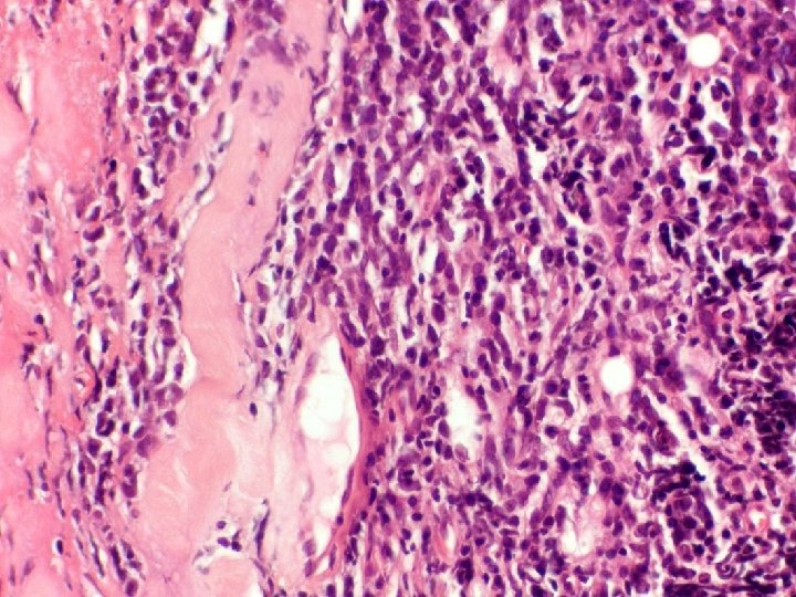
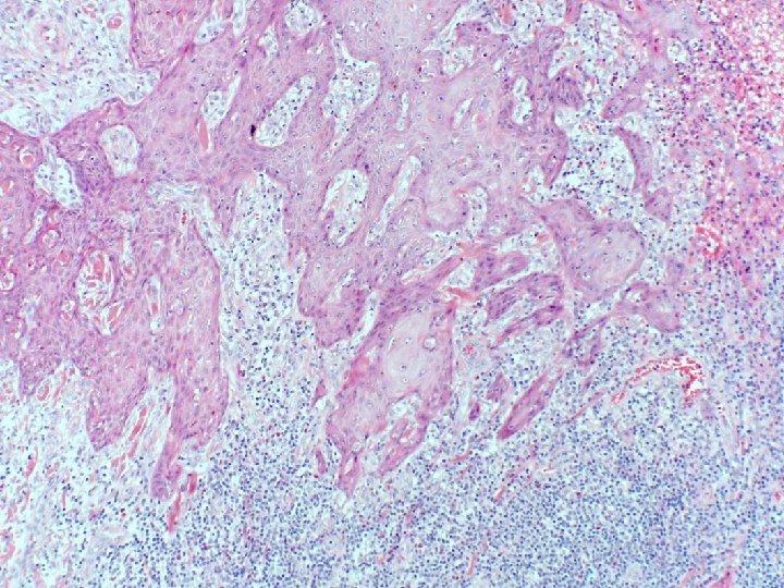
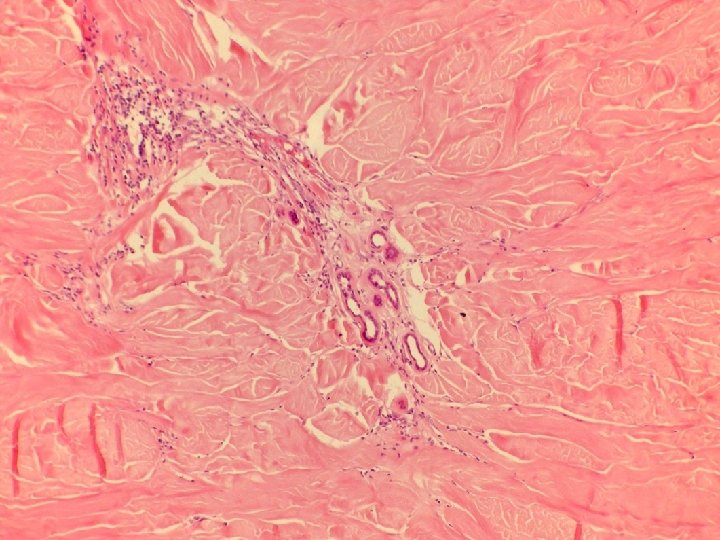
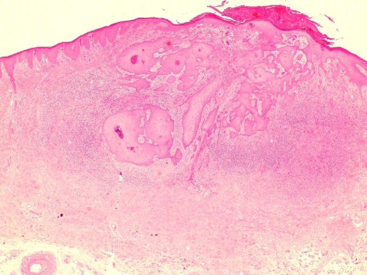
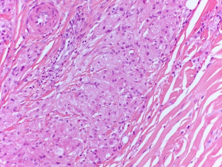
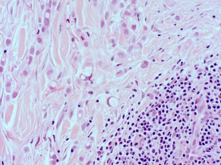
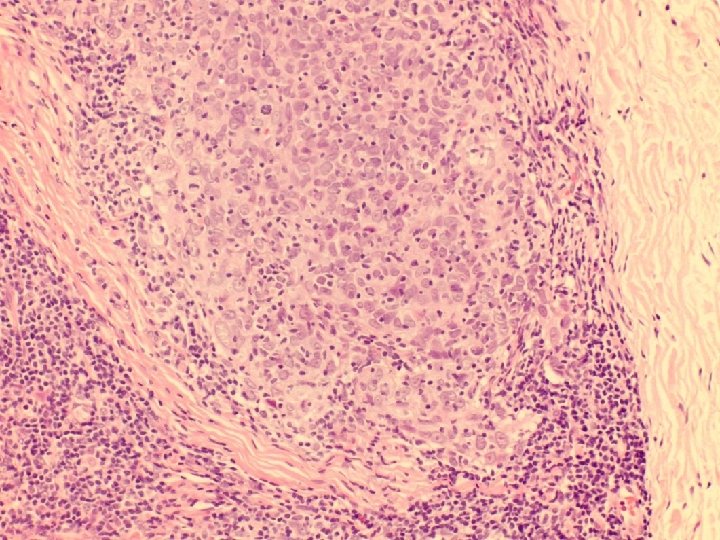
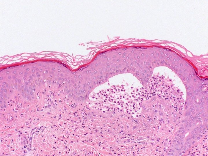
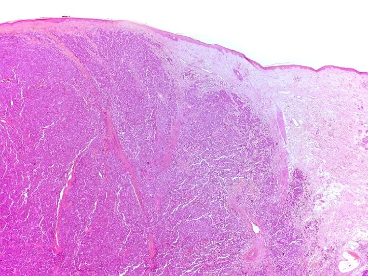
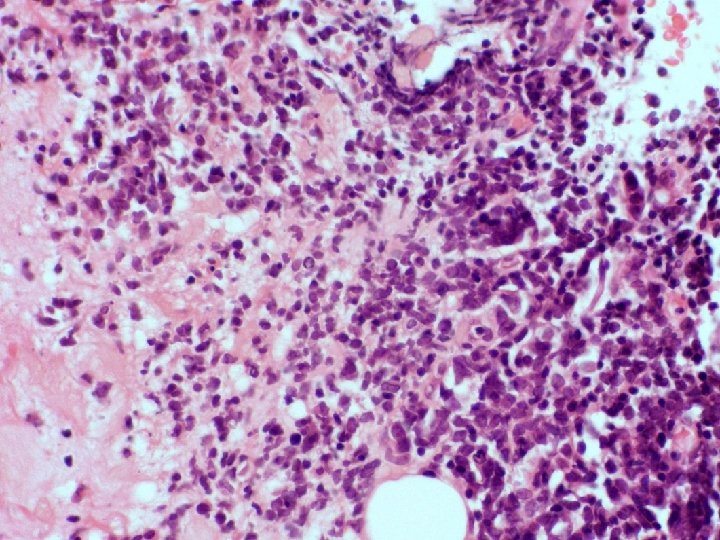
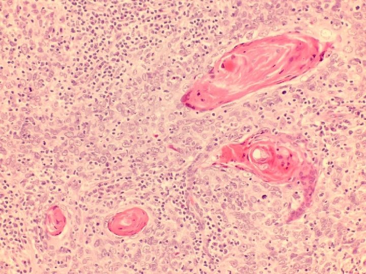
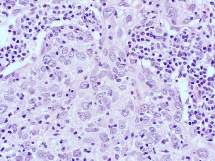
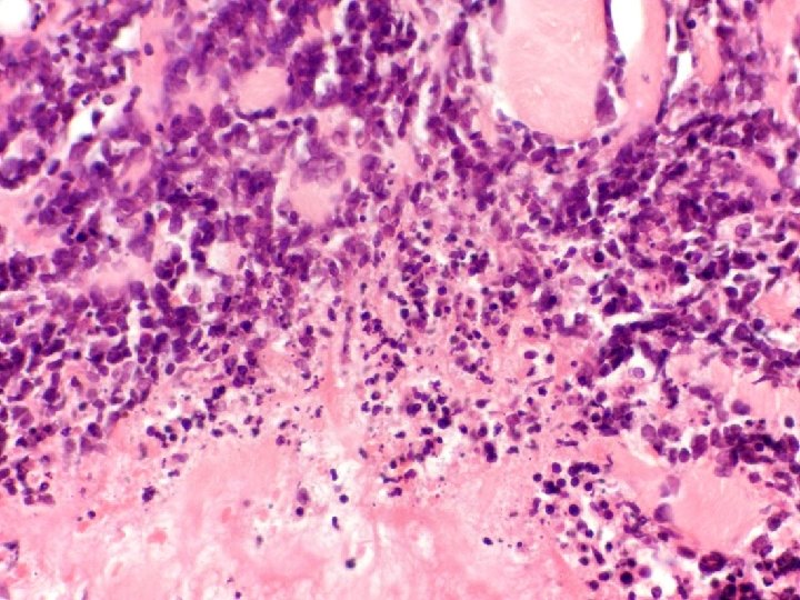
�Case number: 185 �Clinical: Male aged 70 years. ? BCC �Immuno: Pancytokeratin shows strong

�Case number: 185 �Clinical: Male aged 70 years. ? BCC �Immuno: Pancytokeratin shows strong positivity in centre of lymphoid islands. EBV negative.

Most popular diagnosis � Lymphoepithelioma-like carcinoma

Most popular diagnosis � Lymphoepithelioma-like carcinoma

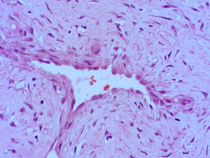
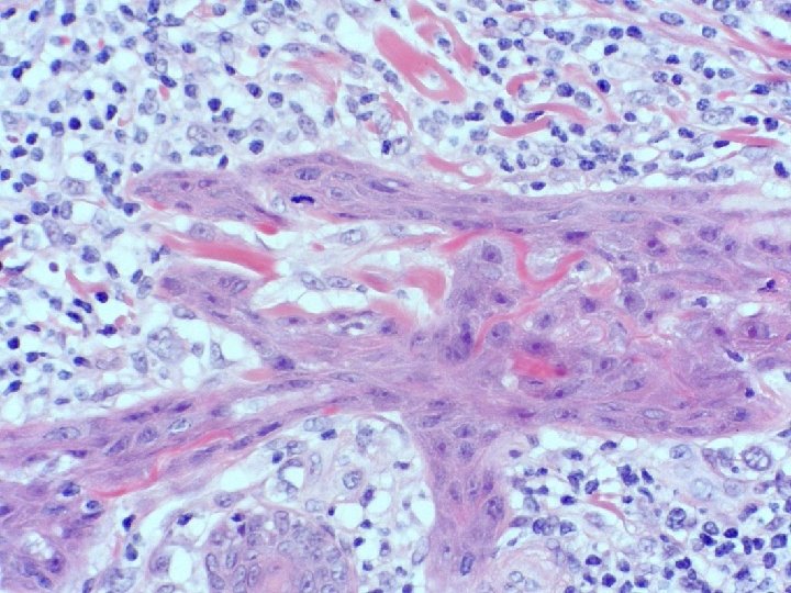
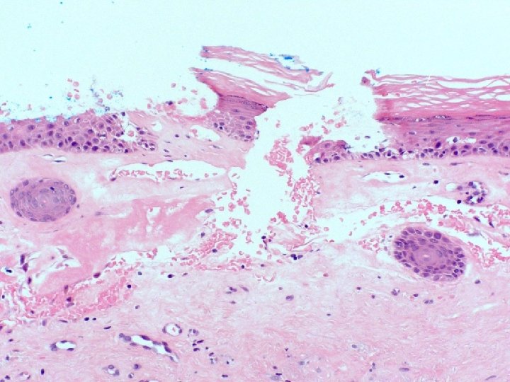
�Case number: 186 �Clinical: Male 44. Excision of irritated skin lesion behind right ear.

�Case number: 186 �Clinical: Male 44. Excision of irritated skin lesion behind right ear. �Specimen: Skin tag. �Macro: A grey polypoid fragment of skin 9 x 5 x 5 mm.

� Most popular diagnosis � Epithelioid haemangioma

� Most popular diagnosis � Epithelioid haemangioma

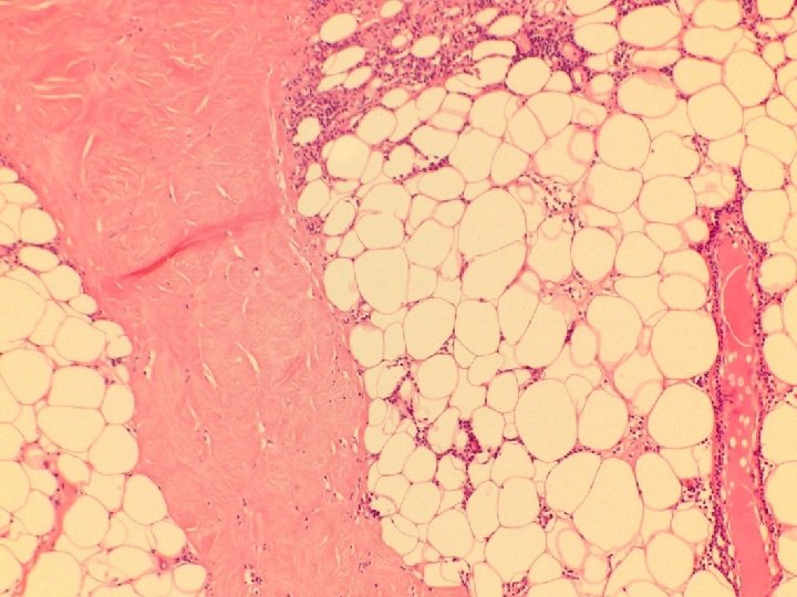
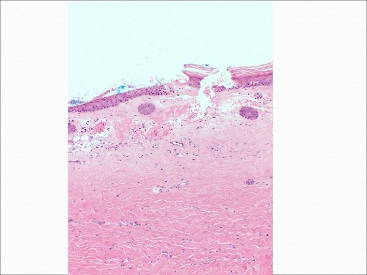
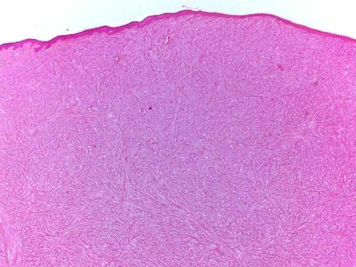
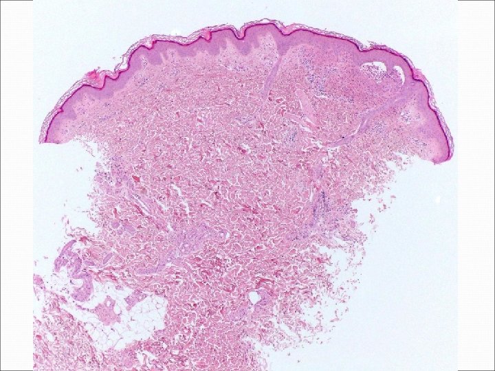
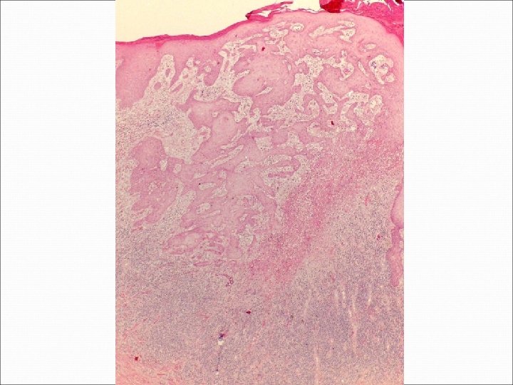
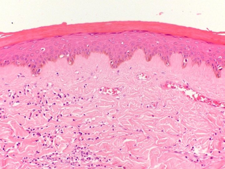
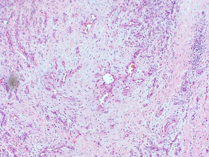
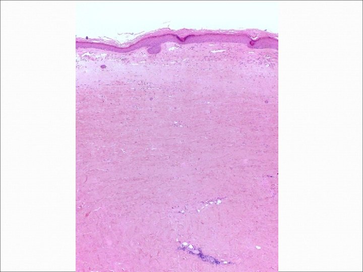
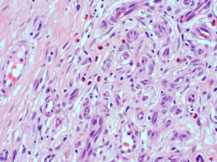
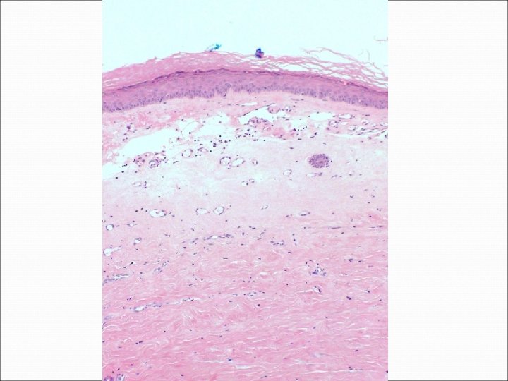
�Case number: 187 �Female 65 yrs. �Extending atrophic white plaque left anterior iliac region.

�Case number: 187 �Female 65 yrs. �Extending atrophic white plaque left anterior iliac region. �Macro: Elliptical piece of skin 20 x 6 x 6 mm.

Most popular diagnosis Morphoea

Most popular diagnosis Morphoea

�Case number: 188 �Female aged 62. �? Multiple cysts posterior neck. �Specimen: Punch biopsy

�Case number: 188 �Female aged 62. �? Multiple cysts posterior neck. �Specimen: Punch biopsy �Macro: 3 x 3 x 4 mm punch biopsy.

Most popular diagnosis Malignant, probably metastatic lobular breast 9. 70

Most popular diagnosis Malignant, probably metastatic lobular breast 9. 70

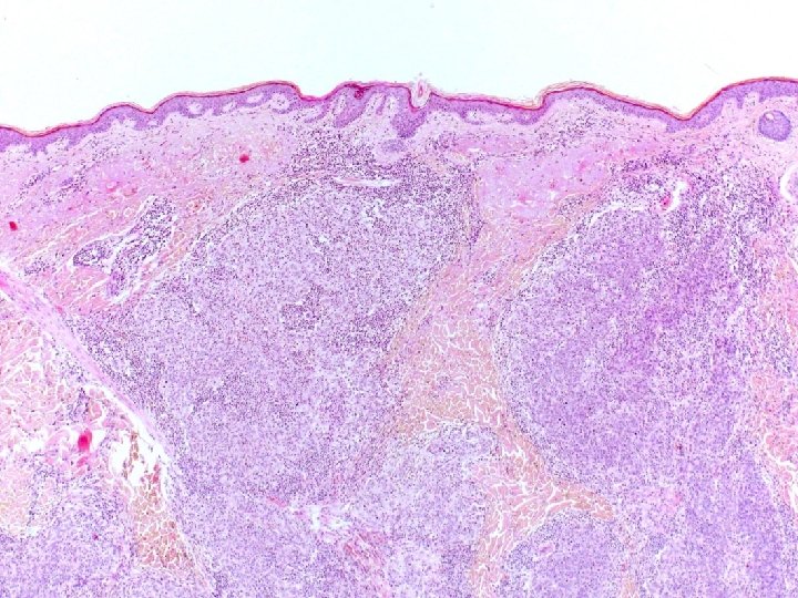
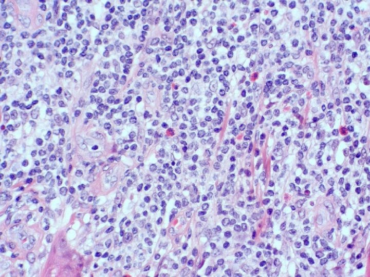
�Case number: 189 �Female aged 48 years. �A. L. L. Had bone marrow transplant.

�Case number: 189 �Female aged 48 years. �A. L. L. Had bone marrow transplant. �Had susequent Gv. HD. �Now thickened red, swollen skin �? Leukaemic infiltrate. �Positive for CD 79 a, CD 20, CD 10, CD 34, Td. T. �Negative for CD 2, CD 3 and CD 117.

� Most popular diagnosis � B lymphoblastic lymphoma

� Most popular diagnosis � B lymphoblastic lymphoma

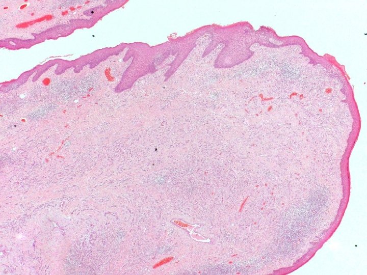
�Case number: 190 �Male aged 21 years. �Skin lesions from back ? ? melanoma.

�Case number: 190 �Male aged 21 years. �Skin lesions from back ? ? melanoma. �Macro: A large ellipse of skin 75 x 33 x 25 mm with a central area of depigmentation 37 x 25 mm surrounded by slightly reddish periphery.

� Most popular diagnosis � Morphoea

� Most popular diagnosis � Morphoea

�Case number: 191 �Male aged 60 years. �Skin left popliteal fossa excision. Five week

�Case number: 191 �Male aged 60 years. �Skin left popliteal fossa excision. Five week history of nodule on skin. No pus. Has some insect bites. ? insect bite reaction, ? keratoacanthoma versus SCC. �Macro: Skin biopsy 18 x 13 x 2 mm in depth with a centrally raised slightly keatotic lesion 5 mm in diameter.

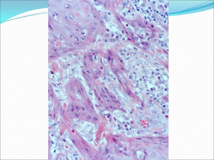
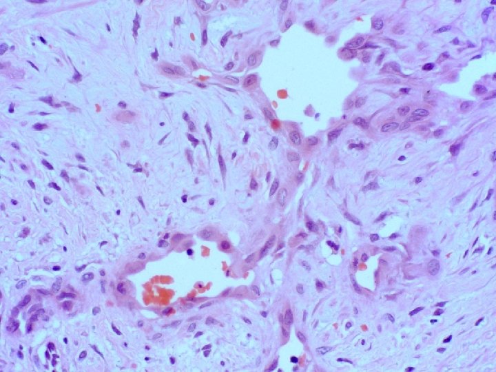
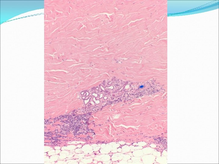
�Case number: 192 �Female aged 64 years. �Ultra sound 'vascular lump'. �Specimen: Lesion right

�Case number: 192 �Female aged 64 years. �Ultra sound 'vascular lump'. �Specimen: Lesion right neck. Excision �Macro: Skin ellipse 35 x 26 mm with raised smooth lesion 25 x 18 x 10 mm.

� Most popular diagnosis � Granular cell tumour

� Most popular diagnosis � Granular cell tumour

�Case number: 193 � �Female aged 22 years. �Pruritic papules and vesicles. �IMF shows

�Case number: 193 � �Female aged 22 years. �Pruritic papules and vesicles. �IMF shows granular Ig. A in the dermal papillae. �Macro: Punch biopsy 4 x 4 mm deep.

�Most popular diagnosis �Dermatitis herpetiformis

�Most popular diagnosis �Dermatitis herpetiformis

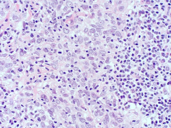
�Case number: 194 �Male aged 88 years. � 2 -3 month history of mass

�Case number: 194 �Male aged 88 years. � 2 -3 month history of mass on left thigh. �TTF-1 negative, CK 7 negative, S 100 negative. �CK 20 positive, Chromogranin positive, CD 56 positive, Synaptophysin positive. �Ellipse of skin 80 x 10 mm with 20 mm depth bearing a pink nodule 15 mm dimension.

�Most popular diagnosis � Merkel cell carcinoma

�Most popular diagnosis � Merkel cell carcinoma