Nasal Cavity and Parnasal sinuses Nose Rhino Rhino

  • Slides: 71
Download presentation

Nasal Cavity and Parnasal sinuses Nose = Rhino = ﺩﻣﺎﻍ = ﺑیﻨی

Nasal Cavity and Parnasal sinuses Nose = Rhino = ﺩﻣﺎﻍ = ﺑیﻨی

Rhino

Rhino

200 Times in your life? ?

200 Times in your life? ?

Surface Anatomy

Surface Anatomy

External Nose

External Nose

Nasal cavity Nostriles (nares) Choana Roof: body of the sphenoid, cribriform plate of the

Nasal cavity Nostriles (nares) Choana Roof: body of the sphenoid, cribriform plate of the ethmoid, frontal bone, nasal bones, nasal cartilages Floor: maxilla, palatine Medial wall: nasal septum Lateral walls: contain sup. , middle & inf. Nasal conchae.

Nasala Cavity Walls

Nasala Cavity Walls

Nasal Cavity Mucose And Areas

Nasal Cavity Mucose And Areas

Trigeminal nerve

Trigeminal nerve

Ophthalmic (V 1) Nerve

Ophthalmic (V 1) Nerve

Maxillary (V 2) Nerve

Maxillary (V 2) Nerve

Epistaxis: -trauma hypertension inflammation

Epistaxis: -trauma hypertension inflammation

Nasal deformity

Nasal deformity

Meningitis CSF Rhinorrhea

Meningitis CSF Rhinorrhea

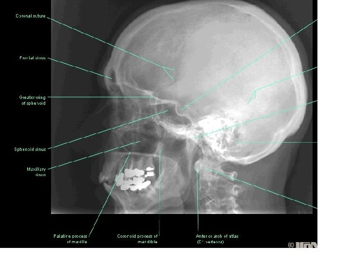
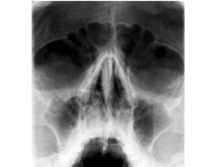
Paranasal Sinuses

Paranasal Sinuses

Maxillary sinus

Maxillary sinus

Maxillary (V 2) Nerve

Maxillary (V 2) Nerve

Frontal sinus

Frontal sinus

Sphenoid sinus

Sphenoid sinus

Ethmoidal sinusitis

Ethmoidal sinusitis

Nasal meatus • Sphenoethmoidal recess: sphenoidal sinus • Sup. Meatus: post. Ethmoidal sinuses •

Nasal meatus • Sphenoethmoidal recess: sphenoidal sinus • Sup. Meatus: post. Ethmoidal sinuses • Middle meatus: -Bulla ethmoidalis← middle ethmoidal air sinuses Hiatus semilunaris← maxillary sinus, infundibulum Frontal sinus, ant. Ethmoidal air sinuses • Inf. Meatus ← nasolacrimal canal