NADOGRADNJA Ema Kuzmani Dr med dent n Fiksno



























- Slides: 27
NADOGRADNJA Ema Kuzmanić, Dr. med. dent.
n Fiksno terapijski sredstvo koje nadokanduje krunu prirodnog zuba koja je uništena traumom ili karijesom, a s ostatkom prirodnog zuba čini bataljak
n n Nadogradnju čini keramička ili kovinska jezgra, koja nadoknađuje kliničku krunu zuba, a sidri se u korijenskom kanalu zuba Preduvjet za izradbu nadogradnje je devitaliziran zub
PODJELA n n 1) INDIVIDULANE LIJEVANE 2)KONFEKCIJSKE
INDIVIDUALNE LIJEVANE Izrađene su za svakog pacijenta posebno n Bolja je od konfekcijske jer slijedi oblike korijenskoga kanala zuba n Postoje dva osnovna načina nadogradnje: n NEPOSREDNI n
PRIPREMA n 1) ENDODONTSKO LIJEČENJE ZUBA
n 2) PUNJENJE KANALA GUTAPERKOM
n 3) UKLANJANJE 2/3 GUTAPERKE, PRIPREMA KANALA ZA NADOGRADNJU
NEPOSREDNI NAČIN IZRADE LIJEVANE NADOGRADNJE n Terapeut izmodelira nadogradnju u autoakrilatu ili vosku za modeliranje
NEPOSREDNI NAČIN IZRADE LIJEVANE NADOGRADNJE
NEPOSREDNI NAČIN IZRADE LIJEVANE NADOGRADNJE n n Izmodelirana nadogradnja se šalje u zubotehnički laboratorij na lijevanje gdje se nadogradnja zamijeni zlatom ili paladijsrebrnom legurom Nakon prilagodbe terapeut je cementira
POSREDAN NAČIN IZRADE INDIVIDUALNE NADOGRADNJE n n Nakon preparacije korijena terapeut uzima otisak U laboratoriju se izlije radni model
n n U vosku za modeliranje oblikuje se koronarni dio koji podsjeća na bataljak i radikularni dio nadogradnje Daljnji postupak je isti kao kod neposrednog načina
n Iako se za nadogradnju najčešće koriste slitine, kovinske nadogradnje su se pokazale neprikladne za visoke estetičke zahtjeve, posebice one koje su napravljene iz neplemenitih slitina zbog korozije slitine u usnoj šupljini
n Nadogradnja izrađena posrednim ili neposrednim postupkom nakon cementiranja se tretira kao svaki prirodni zub, a na nju se stavlja bilo koja vrsta krunice
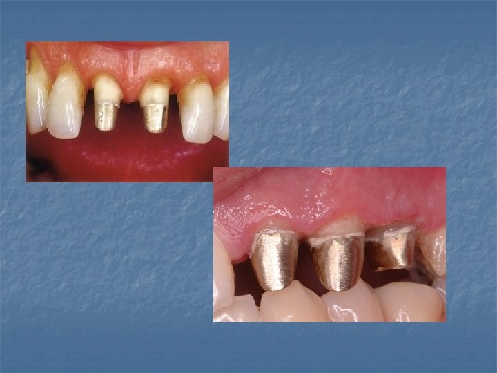
LIJEVANA INDIVIDUALNA METALNA NADOGRADNJA
KONFEKCIJSKE NADOGRADNJE n n RABE SE RIJETKO NISU PRECIZNE I KVALITETNE
KERAMIČKE I STAKLOKERAMIČKE NADOGRADNJE n n n Maksimalno omogućuju transmisiju svjetla što tamne boje legure i njihova neprozirnost nisu dopuštale Estetičke krunice izrađene na staklokeramičkim nadogradnjama postižu vrhunac estetike Tehnologija je zahtjevna i potrebna je specijalna edukacija zubotehničara
KOMPOZITNI KOLČIĆ n n n 1)PREPARACIJA KANALA 2)PUNJENJE KANALA GUTAPERKOM 3)UKLANJANJE 2/3 GUTAPERKE 4)CEMENTIRANJE KOMPOZITNOG KOLČIĆA 5)IZRADA BATALJKA KOMPOZITOM