Mutations Hollywoods images of mutation Mutations Actual Mutations






















- Slides: 22
Mutations Hollywood’s images of mutation
Mutations Actual Mutations in fruit flies
What is a mutation? A mutation is any change in a cell’s DNA A mutation can occur in an individual gene - results in a single changed protein - cystic fibrosis a mutation in the protein that makes a type of ion channels in cell membrane - bacterial resistance to antibiotics is an example of a beneficial gene mutation
What is a mutation continued A mutation can occur in a chromosome - a chromosome contains many genes - chromosomal mutations affect many proteins If a mutation occurs in a sex cell, the mutation will be passed to offspring Examples: Down Syndrome Edward’s Syndrome Cri-du-Chat
What Causes Mutations? Environment: Can be caused by mutagensa physical or chemical cause of mutation. Examples: UV light, radiation, drugs, and benzene. Mutagens are often also carcinogens – anything that causes cancer Can be natural, random events. - mutations occur in 1/100, 000 DNA replications (DNA mistakes) Mutations do not have to be bad (evolution)
Gene Mutations
Point Mutations A single nucleotide is altered. Can change one amino acid in a protein Milk – Mile GGACAATCA GGACCATCA proline -valine-serine proline-glycine-serine ***ONLY ONE AMINO ACID CAN BE AFFECTED AS A RESULT OF A POINT MUTATION!***
Frameshift Mutations A nucleotide is either inserted or deleted from a gene. -all of the triplets from the point of mutation onward will be changed
Frameshift Mutations Insertion An insertion occurs when a nucleotide is added to a gene Example: A nucleotide is inserted The fat cat ate the rat The faa tca tat eth era t -the extra nucleotide shifts all of the triplets that follow
Frameshift Mutations Deletions A deletion occurs when a nucleotide is removed from a gene. Example: A nucleotide is removed The fat cat ate the rat Thf atc ata tet her at
Insertion GGA-CAA-TCA proline -valine-serine Deletion GGA-CAA-TCA proline -valine-serine GCG-ACA-ATC-A arginine-cysteine-stop GGA-AAT-CA proline-leucine
Deletion Example: Cri du chat syndrome Due to a deletion of part of the short arm of chromosome 5 Occurrence: 1/50, 000 births Crying babies sound like cats; mental disability Death by about 4 years
Chromosome Mutations
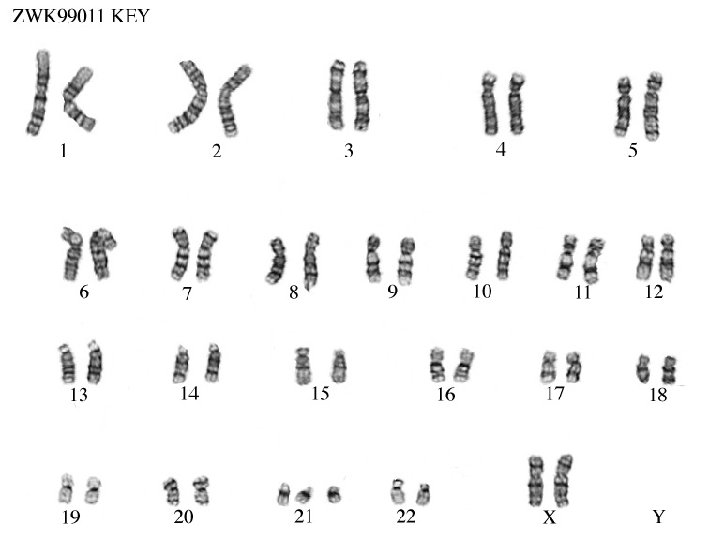
KARYOTYPES Kary = nucleus Karyotype = chart of metaphase chromosome pairs arranged according to length and location of the centromere Used to pinpoint unusual chromosome numbers in cells
Nondisjunction Sometimes during meiosis, the homologous chromosomes fail to separate properly This can result in two types of chromosomal mutations: (1) trisomy (have an extra set of chromosomes) (2) monosomy (missing one set of chromosomes)
XYY Syndrome
Turner’s Syndrome
Down’s Syndrome
Klinefelter syndrome: 47, XXY males, sterile, feminine body characteristics. Normal intelligence.
Edward’s syndrome (trisomy 18): occurs in 1: 6000 or 1: 8000 live births; very few survive birth.