Muscle Tissue Muscle tissue types n Skeletal n

  • Slides: 47
Download presentation
Muscle Tissue 组胚教研室

Muscle Tissue 组胚教研室

Muscle tissue types n Skeletal n n Cardiac n n Striated, voluntary Heart, striated,

Muscle tissue types n Skeletal n n Cardiac n n Striated, voluntary Heart, striated, involuntary Smooth n Nonstriated, involuntary

Muscle Tissue Properties n n Contractile Excitable Extensible Elastic

Muscle Tissue Properties n n Contractile Excitable Extensible Elastic

Muscle tissue functions n n n Movement Posture Joint stabilization Heat generation Regulate organ

Muscle tissue functions n n n Movement Posture Joint stabilization Heat generation Regulate organ volumes

Muscle tissue terminology n n Fiber – skeletal, cardiac & smooth muscle cell Myofilaments

Muscle tissue terminology n n Fiber – skeletal, cardiac & smooth muscle cell Myofilaments n n Actin – thin filaments Myosin – thick filaments Sarcolemma – plasma membrane of muscle c. Sarcoplasm – cytoplasm of muscle cell

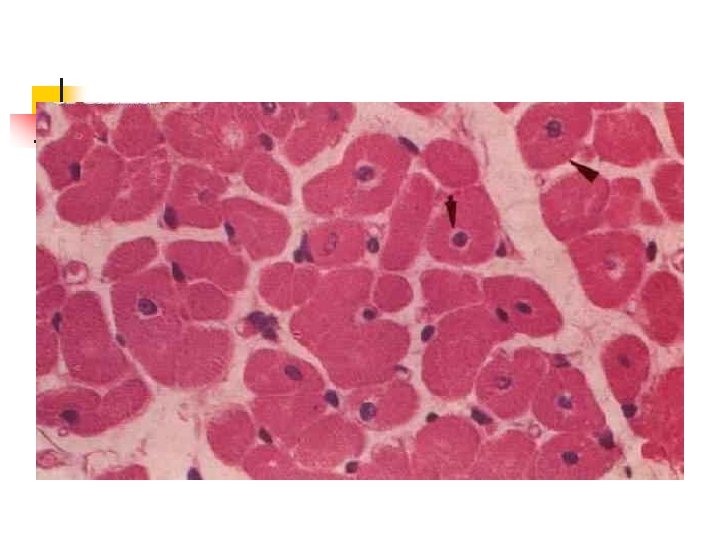
Skeletal muscle CT n n n Epimysium – surrounds entire muscle/organ Perimysium – surrounds

Skeletal muscle CT n n n Epimysium – surrounds entire muscle/organ Perimysium – surrounds muscle fascicle Endomysium – surrounds individual muscle fiber

(二)骨骼肌纤维的超微结构 Sarcomere = 1/2 I band + A band + 1/2 I band

(二)骨骼肌纤维的超微结构 Sarcomere = 1/2 I band + A band + 1/2 I band

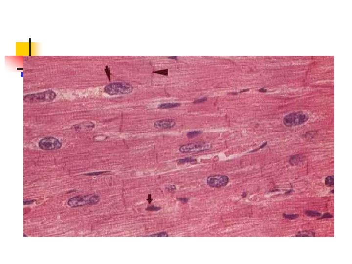
Summary: Cardiac muscle n n Only in heart and nearby large vessels Striated Intercalated

Summary: Cardiac muscle n n Only in heart and nearby large vessels Striated Intercalated disk Sliding filament theory

Nerve tissue n Nerve system n -END-

Nerve tissue n Nerve system n -END-