MULTPL SKLEROZ Do Dr Eren Gzke MULTPL SKLEROZ





























































































- Slides: 93
MULTİPL SKLEROZ Doç. Dr. Eren Gözke
MULTİPL SKLEROZ • Santral sinir sisteminin demyelinizan bir hastalığıdır. • İlk kez 1866’da Charcot ve Vulpian tarafından tanımlanmıştır.
NORMAL İLETİ
ANORMAL İLETİ
• Perivasküler inflamasyon ve demyelinizasyon • SSS’de plaklar – En sık: optik sinir, periventriküler ak madde, beyin sapı, serebellum, spinal kord • Primer olarak aksonlar etkilenmez
• Genç erişkinlerde en sık dizabilite nedeni • En sık görülen demyelinizan hastalık • İnsidens % 0. 05 - 0. 1 • SSS’nin kronik bir hastalığı • Olguların çoğunda dizabilite nedeni • Prognoz belirsiz, bazı semptomlar psikojen olarak yorumlanabilir
BAŞLANGIÇ • En sık başlangıç yaşları 20 -30 • % 70 21 -40 yaş arası başlıyor • 10 yaşından önce ve 60 yaşından sonra nadir • K > E (yaklaşık 2: 1) • Beyaz ırkta iki kat sık
ETYOLOJİ • Otoimmün – Myeline karşı T-hücrelerinin aktivasyonu • Viral – Spesifik viral protein gösterilmemiş – Şüpheli “moleküler benzerlik” – HHV 6 ile ilişkili demyelinizasyon – Viral infeksiyonlar atakları provoke edebilir
EBV Clamidia pneumonia? Hepatit B aşısı? Travma: Mekanik travma, elektrik çarpması Servikal spondiloz ile birliktelik D vit. eksikliği
GENETİK • 1. derece akrabalarda görülme oranı genel popülasyondan 20 kat sık • Monozigot ikizlerde %30 konkordans • Dizigotik ikizlerde 5% konkordans • HLA A 3, B 7, DR 2, DR 3 ile ilişkili
HEDEF PROTEİNLER § Proteolipid Protein (PLP) § Myelin oligodendrocyte glycoprotein (MOG) § Myelin basic protein (MBP)
Hohlfeld R et al. (2005) Drug Insight: using monoclonal antibodies to treat multiple sclerosis Nat Clin Pract Neurol 1 34 -44 [doi: 10. 1038/ncpneuro 0016]
PLAK OLUŞUMU • Kan-beyin bariyerinde bozulma • Akut inflamatuar yanıt: lenfositler, plazma hücreleri, makrofajlar – Makrofajlar: myelini parçalayan ürünler içerirler – Lenfositler: antikor ve hücresel immunite (direkt), lenfokin veya sitokinlerin sekresyonu (indirekt)
PLAKLARIN YAPISI • Myelinin dış tabakalarında ayrışma ve dejeneratif değişikler • Makrofaj veya mikroglia infiltrasyonu • Aksonların korunması • Oligodendrositlerin korunma derecesi remyelinizasyon potansiyeli hakında bilgi verir
PATOLOJİ Multisentrik, multifazik demyelinizasyon ve inflamasyon
MS plağı (myelin boyaması)
DEMYELİNİZASYONUN SONUÇLARI • Lezyon bölgesinde ileti bloğu • Etkilenen sinir lifi boyunca iletide yavaşlama • Oluşan defisitin üstesinden gelmek için yapılan çabalarla ilişkili olarak kolay yorulma (fatigue)
KLİNİK PREZANTASYON • Ataklar ve remisyonlar • Ataklar ani veya yavaş başlayabilir. • Atak denilebilmesi için defisit en az 24 saat sürmeli • Atak süresi ve düzelmesi haftalar / aylar sürebilir • En sık görülen form relapsing-remitting formdur
SEMPTOMLAR • Çift görme, bulanık görme • Ekstremitelerde uyuşma ve güçsüzlük • Yürümede dengesizlik • Mesane kontrololünde bozukluk • Sıcağa intolerans **Bütün semptomlar sıcak ile artabilir**
MOTOR BOZUKLUKLAR • Mono-, para-, hemi- yada quadriparezi • Spastisite • Patolojik refleksler (Babinski, Chaddock, Hoffman) • Dizartri
DUYSAL BOZUKLUKLAR • Bacaklardan başlayıp yükselen uyuşmalar • Ellerde uyuşmalar • Hemiparestezi / dizestezi • Arka kordon bulguları – Vibrasyon / propriosepsiyon kaybı – Lhermitte’s sign
VİZÜEL BOZUKLUKLAR • Unilateral veya bilateral parsiyel / komplet internükleer oftalmopleji • VI. sinir parezisi • Optik nöritis – Santral skotom, renkli görme bozukluğu, göz hareketiyle artan retroorbital ağrı
DİĞER KLİNİK BULGULAR • Üriner inkontinans, mesanenin inkomplet boşalması • Kognitif ve emosyonel bozukluklar (depresyon, anksiyete, emosyonel labilite) • Fatigue • Seksüel disfonksiyon
MS TİPLERİ • Benign – 10% • Relapsing-remitting – 40% • Primer progresif – 10% • Sekonder progresif – 40% (relapsing-remitting başlayan hastalardan dönüşüm) Klinik izole sendrom (CIS) Radyolojik izole sendrom (RIS)
LABORATUVAR BULGULARI • MRI • BOS incelemeleri • Uyandırılmış (evoked) potansiyeller • Kan ve idrar incelemeleri
MRI • Klinik bulgular olmaksızın anormal MRI MS tanısını konfirme etmez • Klinik olarak kesin MS olan hastada anormal MRI olmaması tanıyı dışlamaz
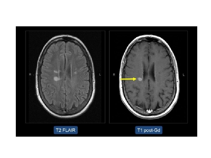
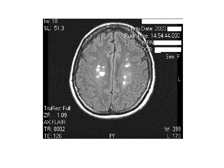
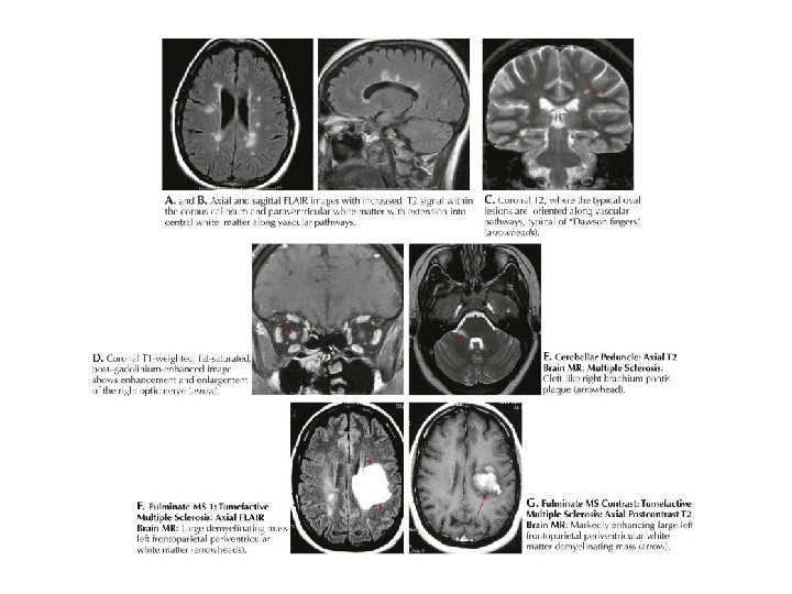
MRI BULGULARI • Periventriküler ak maddede plaklar • Serebellum / beyinsapı / servikal ve torakal spinal kord • Kontrast madde (Gadolinium) tutulumu aktif lezyon varlığını gösterir – Her zaman hastalık aktivitesinde artış ile korelasyon göstermez
MRI • MRI anormalliği: – Kesin MS’de %90 – Olası MS’de % 70
SEREBELLUMDA PLAKLAR
OPTİK SİNİR TUTULUMU
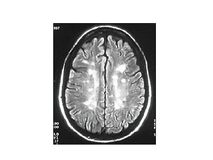
AK MADDE LEZYONLARI
BOS • Olguların %90’nında İmmünglobulin artışı • Ig. G indeksinde (BOS/serum) artma • Oligoklonal band %85 • Protein artışı %50 • Orta derecede mononükleer hücre artışı
UYANDIRILMIŞ POTANSİYELLER • VEP (visual evoked potential) %75 anormal • BAEP (brainstem auditory evoked potential) %30 anormal • SEP (somatosensory evoked potential) % 80 anormal
RUTİN LAB. • Spesifik bir test yok • İlaçların yan etkileri yönünden lab. tetkikleri gerekebilir • Disabilitesi fazla olan hastalarda üriner enfeksiyonlar yönünden izlem
AYIRICI TANI • • Primer SSS vaskuliti Postinfeksiyöz ensefalomyelit Lyme hastalığı Behçet hastalığı Sarkoidoz / Sjogren hastalığı B 12 eksikliği Sifiliz Lökodistrofiler
AKUT ATAK TEDAVİSİ • Yüksek doz steroid (metil prednizolon 1 gr/gün 3 -5 -7 -10 gün) • ACTH • Oral steroidle (80 mg/gün metil prednizolon) azalan dozlarda kesmek üzere devam edilebilir
PROFİLAKTİK TEDAVİ • Interferon beta 1 b (Betaferon), 1 a (Avonex, Rebif), Copolymer-1 (Copaxone) • T-hücre aktivasyonunu önlüyorlar – Relapsing-remitting tipte endike (sekonder progressif formda da verilebilir) – Yan etkiler: enjeksiyon yerinde reaksiyon, ateş, grip benzeri semptomlar, lökopeni, nefrotoksiste, lökopeni
TEDAVİ • Anti-CD 4 monoclonal antibodies (Natalizumab) • IVIG • Siklofosfamid • Azatiopirin • Mitoksantron
SEMPTOMATİK TEDAVİ • FATIGUE – Modiodal – Amantadine
SEMPTOMATİK TEDAVİ • VERTİGO – Meklizine-betahistin – Diazepam – Pirasetam
SEMPTOMATİK TEDAVİ • SPASTİSİTE – Baklofen – Diazepam – Tizanidin – BTX enjeksiyonu
TEDAVİ • TREMOR: Klonazepam, propranolol, diazepam • AĞRI: Gabapentin, pregabalin, topiramat, karbamazepin, valproat, TCA, SSRI
SEMPTOMATİK TEDAVİ ÜRİNER DİSFONKSİYON Spastik mesane Antikolinerjikler (oxybutynin, propantheline) Baklofen, amitriptilin Detrusor / ext. sfinkter dissinerji İntermittan self-kateterizasyon Anti-kolinerjikler Kronik kateter
TEDAVİ • PSİKİATRİK SORUNLAR – TCA – SSRI (suisid oranı MS hastalarında genel popülasyona göre 7. 5 kat yüksek)
PROGNOZ • Değişken • 15 yılda yardımsız yürüyebilir durumda olma olasılığı %50 • Ölüm nedeni: sekonder komplikasyonlar; depresyon (suisid)
İYİ PROGNOSTİK GÖSTERGELER • Kadın cinsiyet • Atakların seyrek olması • İlk ataktan sonra tam iyileşme • Birinci ve ikinci atak arasında uzun zaman aralığı • Erken başlangıç yaşı • Serebellar tutulumun geç olması • Başlangıçtan 2 -5 yıl sonra dizabilite skorunun düşük olması