Multipl Travmal Hastaya Yaklam YAKIN DOU NVERSTES TIP












































































































- Slides: 108
Multipl Travmalı Hastaya Yaklaşım YAKIN DOĞU ÜNİVERSİTESİ TIP FAKÜLTESİ DR SEMRA ASLAY 2016
Multipl Travma • Birden fazla sistemi ilgilendiren travmalardır - Trafik kazaları - Yüksekten düşmeler - Ateşli silah yaralanmaları - Delici-kesici alet yaralanmaları
Travma Hastasına Yaklaşımda Hedefler - Standart sistemik yaklaşım - Majör ve minör travmalar için bakımı birleştirmek - Mortalite ve morbidite oranlarını iyileştirmek
Travma Ölümleri • Hava yolunun kaybı; - Baş pozisyonu, kan, kusmuk, yabancı cisim, bası • Solunum kaybı; - Pnömotoraks, hemotoraks, akciğer yaralanmaları • Dolaşım kaybı; - Kanama (iç-dış), kardiyak, aritmiler • Genişleyen kafa içi yer kaplayan oluşumlar
Travmaya Bağlı Ölümler Üç Zaman Aralığında Artış Gösterir l İlk birkaç DAKİKA Kalp laserasyonları Büyük damar laserasyonları Beyin laserasyonları Spinal cordun yüksek seviyelerinde olan laserasyonlar
Kimleri, Nasıl Kurtarabiliriz ? • Ölümlerin %50’si saniyeler, dakikalar içinde • Olay yerinde YAŞAM ? • Koruyucu önlemler
Travmaya Bağlı Ölümler Üç Zaman • İlk birkaçArtış SAAT Gösterir Aralığında Ø Subdural, epidural hematom Ø Hemo, pneumotoraks Ø Karaciğer, dalak rüptürü Ø Pelvis fraktürleri
Kimleri, Nasıl Kurtarabiliriz ? • %30’u dakikalar, ilk saatlerde ‘altın saatler’ • Olay yerinde, yolda, hastanede YAŞAM ? • Acil servislerde veya ambulanslarda • Hızlı ve etkin müdahale
• GÜNLER-HAFTALAR içinde Ø Ciddi kafa travmaları Ø Sepsis Ø Mutipl organ yetmezliği sendromu (MOFS)
Kimleri, Nasıl Kurtarabiliriz ? • %20’si günler ve haftalar içinde • Hastanede YAŞAM ? • Hastane, iyi yoğun bakım tedavisi
MULTIPLTravma Yaklaşımı • • Hazırlık Triaj Birincil bakı (ABCDE) Resusitasyon İkincil bakı (tepeden tırnağa) Tanısal çalışmalar Devamlı takip / sık değerlendirme Kesin tedavi ve bakım
Hazırlık • Hastane öncesi travma sistemi - Ambulans - Paramedik, İtfaye - İlk yardım ve kurtarma bilgisi • Hastane travma sistemi – Bölge Travma Merkezleri – Travma timi, cerrahi kapasitesi? – Acil Servis, Acil Tıp Sistemi? • Haberleşme
Ambulans - Haberleşme • • Bilinç durumu A-B-C Yaralı sayısı, yaş, cinsiyet Yaralanma mekanizması Görünen yaralanmaların yeri O 2, monitör, damar yolu İmmobilizasyon Tahmini varış saati
Hastane - Haberleşme • Uygun acil servis ekibini hazırla Acil doktoru, hemşiresi, cerrahi, anestezi ekibi • Uygun müdahale ekipmanını hazırla Karşılama sedyesi ve yatak, travma tahtası, boyunluk, travma gözlüğü, önlüğü, eldiven, hava yolu ekipmanı, İV sıvı ve göğüs tüpü setleri • Yardımcı personeli hazırla Radyoloji, laboratuvar, kan bankası, güvenlik • Bir kaç ünite 0 Rh (-) kan
Triaj • Hastaların eldeki kaynaklara bağlı olarak tedavi önceliklerine göre ayrılması işlemi • ABC önceliğine göre belirlenir • Dinamiktir - Hastane öncesi (alanda) - Ambulansta - Acil serviste
Triaj I. Hayati tehlikesi olan ve multipl sistem yaralanması olanlar önce tedavi edilir II. Hayatta kalma şansı daha fazla olan, müdahalesinde daha az zaman, malzeme ve personel gerektiren kişilere öncelikli olarak müdahale edilir (disaster durumlarında)
BİRİNCİ BAKI (A-C-B-C-D-E) • • A (Airway) : Havayolu güvenliği C (Cervikal) : Boynun güvenliği B (Breathing) : Solunum ve ventilasyon C (Circulation) : Dolaşım ve kanama kontrolü D (Disability) : Kısa nörolojik değerlendirme E (Exposure) : Hastanın tamamen soyulması E (Environmental): Çevre güvenliği
A - AİRWAY HAVA YOLU AÇIKLIĞININ SAĞLANMASI
A - Havayolu Tıkanması • En sık dilin geriye kaçmasıdır • Trakeal, laringeal, servikal hasarlanma?
Hava yolunun açılması • Yabancı cisimler temizlenir • Takma diş çıkarılır • Kanama kontrol edilmeye çalışılır
Head tilt-Chin lift (başı geriye it, çeneyi kaldır) DİKKAT: Servikal yaralanma!!!
Jaw-thrust (çene itme) Servikal yaralanma şüphesinde yapılabilir
Airway yerleştirilmesi
C - Cervical Collar Boyunu koru ve boyunluk tak
C - Servikal fraktür ? • • Multipl travma (düşme, motorlu araç, darp) Klavikula üzeri künt travma Boyun ağrısı olan hastalar Boyun arkasında krepitasyon, deformite Bilinci kapalı hastalar Alkol, ilaç intoksikasyonu Büyük ek yaralanma, fraktürü olan hastalar
Servikal coller (boyunluk) •
B (Breathing): Solunumu değerlendir, destekle
B - Solunum • • • % 100 O 2 Bilinçsizse oral airway BVM (ambu) desteği İleri Hava yolu (ETE) Puls-Oksimetreye bak
Entübasyon Endikasyonları • Solunum arresti • Hava yolu koruyucu reflekslerinin yokluğu • Hava yolu tıkanıklığı gelişme riski var (inhalasyon, fasiyal kırık, status epileptikus) • GKS < 8 (travma hastası için GKS < 10) • Maskeyle yeterli O 2 sağlanamaması (O 2 sat <%90) • Hiperventilasyon gereken kapalı kafa travması
Dikkat ? ? ? • Orotrakeal Entübasyon - Hava yolunda yabancı cisim, tıkanma - Maksiller, mandibular fraktür - Trakeal, laringeal yaralanma - Servikal yaralanma • Nazotrakeal Entübasyon - Burun ve orta yüz fraktürleri - Bilinen koagülopati
6 Ani Ölümcül Göğüs Yaralanması (Birincil Bakıda Tespit Et) • • • Hava yolu obstrüksiyonu Tansiyon Pnömotoraks Açık Pnömotoraks Masif Hemotoraks Flail chest (yelken göğüs) Kardiyak tamponad
Tansiyon Pnömotoraks Tanı • Dispne, taşikardi • Trakea karşı tarafa deviye • Yara bölgesinde; - sesler az/yok - fazla havalanma - perküsyon timpan ses • Boyun venlerinde dolgunluk Tedavi; • 2. İKA midklavikular hat 14 -16 G branülle acil dekompresyon • Tüp torakostomi
Tansiyon Pnömotoraks
Açık Pnömotoraks Tanı Tedavi • Toraks duvarındaki açıklık trakea çapının 2/3’ünden • Vazelinli gazlı bezle büyükse oluşur deliğin üç tarafını • Dispne, taşikardi bantlayıp bir taraftan • Yara bölgesinde; hava çıkışı sağlanır sesler az/yok, fazla havalanma • Delik kapatılır, perküsyon timpan ses • Tüp torakostomi
Pnömotoraks
Masif Hemotoraks Tanı • • Tedavi • Ön-orta aksiller hattan 38 F Yara bölgesinde sesler az/yok göğüs tüpü takılır Perküsyonla matite • Torakotomi; Boyun venlerinde düzleşme - Göğüs tüpüne plevral Şok bulguları boşluktan 1500 ml kan - İzlemde 200 ml/saat kan • Önce volüm kaybı yerine konmalıdır
Masif Hemotoraks
Flail Chest (Yelken göğüs) Tanı • 2 veya daha fazla komşu kot • 2 veya daha fazla yerden kırık • Toraksta bir bölüm serbest hareket eder • Paradoksal solunum • Pulmoner kontüzyon eşlik eder Tedavi • Pulmoner kontüzyon eşlik eder • O 2, sıvı tedavisi, interkostal analjezi, gerekirse entübasyon ve PEEP
Flail chest
Flail chest
Flail chest
Kardiyak Tamponad Tanı • Beck Triadı -Hipotansiyon -Boyun Venleri Dolgunluğu -Kalp seslerinin derinden Tedavi • IV sıvı, Oksijen • Perikardiyosentez (15 -20 ml) • Torakotomi
Kardiyak Tamponat
Kardiyak Tamponat
Kardiyak Tamponat
Kardiyak Tamponat
6 potansiyel ölümcül göğüs yaralanması (İkincil bakıda tespit et) • • • Aort diseksiyonu Myokard kontüzyonu Trakeobronşial yırtılma Özefagusta perforasyon Akciğer kontüzyonu Diafram yırtığı
Pulmoner Kontüzyon
C (Circulation): Dolaşım ve kanama kontrolü
C - Dolaşım • Hemodinamik durum - Bilinç Bozukluğu - Nabız (hızlı, ince nabız) Karotis 60 mm. Hg Femoral 70 mm. Hg Radyal 80 mm. Hg - Deri Rengi (% 30 kayıplarda) - Kapiller dolum zamanı 2 sn az - Kan basıncı (geç bulgudur)
C - Dolaşım • Kanama - şok kontrolü – İntra torasik/intra abdominal – Femur/pelvis fraktürleri – Penetran yaralanmalar – Eksternal kanamalar
ŞOK • Yetersiz doku oksijenlenmesi ve yetersiz organ perfüzyonu Nörojenik Septik Kardiyojenik Anaflaktik Hipovolemik Obstrüktif Hemorajik Şok Yetişkin Vücut ağırlığının %7’si (70 kg, 5 lt) Çocuk Vücut ağırlığının %8’i (80 ml/kg)
Hemorajik Şok ŞOK BULGULARI Evre II Evre IV Kan Kaybı (ml) <750 750 -1500 -2000 >2000 Kan Kaybı (VA) <%15 %15 -30 %30 -40 >%40 Nabız (/dakika) <100 >120 >140 Kan basıncı Normal Azalmış Nabız basıncı (mm. Hg) Normal/artmış Azalmış Solunum Sayısı 14 -20 20 -30 30 -40 >40 İdrar çıkışı (ml/st) >30 20 -30 5 -15 <5 SSS/bilinç Hafif anksiyöz Orta derece anksiyöz Anksiyöz ve konfüze Konfüze ve letarjik Sıvı tedavisi 3: 1 kuralı Kristaloid ve kan Kristaloid ve Kan
C - Dolaşım Açık kanamalara temiz bezle tampon Turnike yapma!!! İki büyük İV yol (14 -16 G) Kan grubu ve kros için kan al (CBC) Kristaloid sıvı (SF / Ringer Laktat) hızlı infüzyona başla • Büyük bir santral kateter ? • • •
Kristaloid/Kolloid Tedavisi • • • Yetişkin 2 L (SF/RL) kristaloid kan Çocuk 20 ml/kg kristaloid bolus 10 ml/kg kan < 6 yaş kemik içi infüzyon 3: 1 kuralı, Hemorajik şokta; 100 m. L kan kaybına 300 m. L elektrolit solüsyonu Çocuklarda şok Evre IV’e kadar gizlenebilir
Sıvı Tedavisine Yanıt Hızlı yanıt Geçici yanıt Yanıt yok Vitaller Normale döner Geçici düzelme; tekrar KB düşer, nabız artar Anormal kalır Tahmini kan kaybı Minimal (%10 - %20) Orta derece ve artan (%20 - %40) Ciddi (>%40) Daha fazla Düşük kristaloid ihtiyacı Yüksek Kan ihtiyacı Düşük Orta - yüksek Hemen Kan hazırlığı Gruba özgü ve kroslanmış Gruba özgü Acil kan verilmesi (0 Rh -) Cerrahi girişim Belki Olasılıkla Büyük olasılıkla Cerrahi kons. Evet
D (Disability): Kısa Nörolojik değerlendirme
D (Disability) • Bilinç AVPU (Alert-Verbal-Pain-Unresponsive) GKS (E-M-V) • Pupil çapı (anizokori) • Işık refleksi • Ekstremite hareketleri (defisit)
Glasgow Koma Skalası (GKS) E (Eye – göz) M (Motor – motor) V (Verbal – sözel) E 4 spontan açık E 3 söz ile açık E 2 ağrı ile açık E 1 yanıtsız M 6 emirlere uyuyor M 5 ağrıya lokalize M 4 ağrıya çekme M 3 ağrıya dekortike M 2 ağrıya deserebre M 1 ağrıya yanıtsız V 5 oryente V 4 konfüze V 3 anlamsız kelimeler V 2 anlamsız sesler V 1 yanıtsız
E (Exposure): Elbiselerin soyulması E (Enviromental): Çevresel etmenler
Resusitasyon • • HAVAYOLU, SOLUNUM, DOLAŞIM Monitörizasyon, Solunum, Puls-oksimetre Kan basıncı, EKG Oksijen tedavisi Entübasyon? Cerrahi havayolu? Göğüs tüpü? Perikardiyosentez? Torakotomi? Sıvı tedavisini izle, CVP monitörizasyonu Foley kateter Kontrendikasyonu yoksa Nazogastrik/Orogastrik tüp Kan grubu
İKİNCİL BAKI The dictum "fingers or tubes in every orifice" guides this examination.
İKİNCİL BAKI • • ABC tekrarı Tepeden - Tırnağa Bak-Dokun-Hisset Tam ve eksiksiz hikaye Tam ve eksiksiz muayene Kesin tedaviler Sık bilinç ve vital kontrolü Konsültasyonlar
Baş - Göz - Boyun • SAÇLI DERİ: Kanama varsa bası • KAFA TASI: Kırık, çökme, steplenme • KAFA TABANI FRAKTÜRÜ *Racoon eyes, *Battle sign • GÖZLER: kanama, penetran yaralanma, görme keskinliği, lensi değerlendir • PUPİLLER yeniden değerlendir, ışık refleksi • BOYUN yeniden değerlendir
Blow out
Racoon eyes, The dictum "fingers or tubes in every orifice" guides this examination.
Battle sign
Maksillofasiyal • • Ağız içinde laserasyon, kanama, diş kırığı Maxiller fraktür *Le-fort kontrolü Mandibular fraktür *abeslank testi Burun, Kulak Epistaksis, Septal Hematom, Hemotimpanum, Rinore, Otore *Ring testi*
Typical Le Fort I fracture pattern.
Typical Le Fort II fracture pattern. Typical Le Le Fort III fracture pattern.
Typical Le Fort III fracture pattern.
Typical Le Fort III fracture pattern.
Göğüs • İns; • Palp; • Osk; Ön, arka ve yan duvarda yaralanma Künt ve penetran yaralar, cilt altı amfizem, hassasiyet, krepitasyon Solunum sesleri ve kalp sesleri X-Ray
Abdomen • • İns; Osk; Perk; Palp; Künt/penetran yaralar, iç kanama Barsak sesleri Rebound, hassasiyet Hassasiyet, defans ve rebound Rektal tuşe yap Yatak başı USG, (DPL) ? ? ?
DPL Endikasyonları • Künt travma; - Anstabil hasta - Şüpheli diafram rüptürü - FM bulguları güvenilir olmayan stabil hasta • Penetran travma; - Stabil hastalar - Peritoneal bulguları olmayan delici yaralanmalar, - Meme başı altında olan delici ve ateşli silah yaralanmaları - Sırt ve böğürde delici yaralanmalar
Genitoüriner sistem RT • • • Rektumda kan Sfinkter tonusu Prostat yerleşimi Barsak duvarı bütünlüğü Kemik fragmanları • Vajende kanama • Vajinal laserasyon
Kas-iskelet sistemi • 4 Ekstremite inspeksiyonu; kontüzyon, laserasyon ve deformite • 4 Ekstremite palpasyonu; hassasiyet, krepitasyon, anormal hareket ve duyu • Periferik nabızlara bak
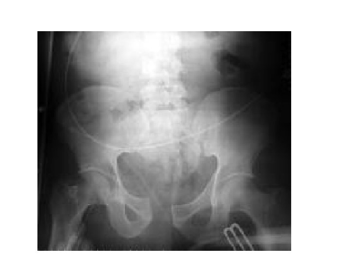
Pelvis-Vertebra • Pelviste kırık, kanamayı değerlendir • KÜTÜK ÇEVİRME (3 -4 kişi ile) • Tüm spinöz proseslere dokun Vertebra grafileri Pelvis grafisi
Nörolojik • • • Bilinç, kişi, yer, zaman, oryantasyonu Pupilleri yeniden değerlendir GKS Motor ve duyu, refleks yanıtları Kraniyal sinirler
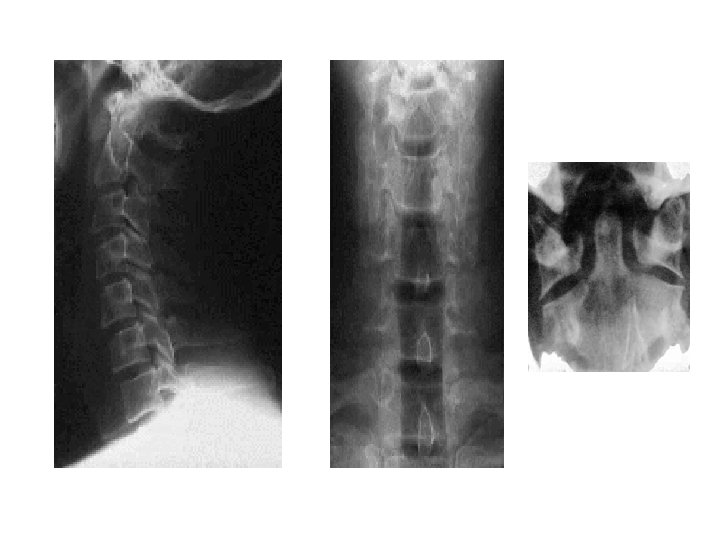
Travmada Acil Radyoloji • Lateral servikal (C 1 -7, T 1) • AP akciğer • AP pelvis * Servikal AP ve odontoid * Yatak başı USG * BBT
LAB • Crossmatch • Arterial kan gazı, sürekli pulse oximetry • Hemoglobin ve/veya hematokrit • İdrar analizi (occult hematuria) • Kan alkol seviyesi • Glukoz düzeyi • serum elektrolitleri, koagulasyon parametreleri, (and other common laboratory studies are less useful during the first 1 -2 hours than they are after stabilization and resuscitation)
Foley Kateter Takma !!! • • Penil meatusta kan Skrotumda kan Perinede kelebek tarzı hematom Yüksekte/palpe edilemeyen prostat
NG takma !!! • • Burun kırıkları Orta yüz kırıkları Koagülopati Orogastrik tak
Spesifik tedaviler ve tetkikler • Tetanoz, AB (perineal, vajinal, rektal, içi boş organ) • Oksijen, 30º yükseltme, mannitol (herniasyonda) • IV Prednizolon spinal yaralanma ilk 6 saatte; (30 mg/kg puşe, 5. 4 mg/kg/st, 23 st infüzyon) • • • USG, BBT, DPL endikasyonlarını değerlendir Diğer grafi endikasyonlarını değerlendir Her bulguyu kaydet Sevk işlemini erken düşün Tekrar tekrar değerlendir
Laparotomi Endikasyonları • • Ateşli silah yaralanmaları Evisserasyon Peritoneal bulgular Serbest hava