MS 76 yanda erkek hasta adam YAKINMASI Nefes





































































































- Slides: 101
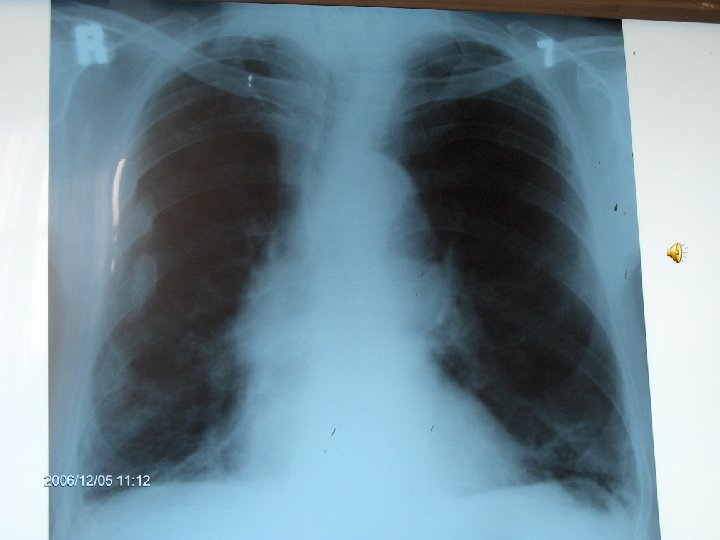
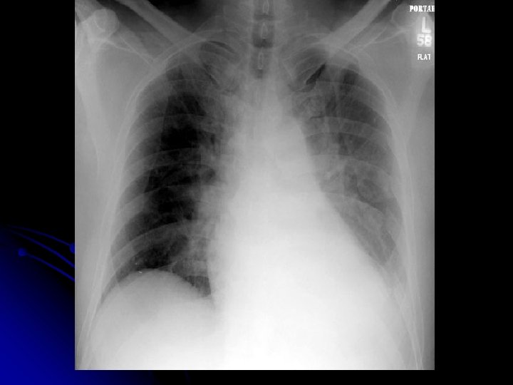
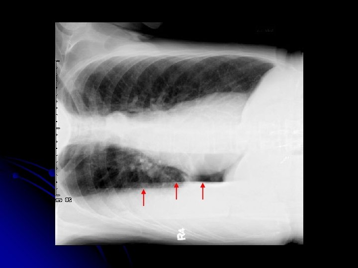
MS 76 yaşında, erkek hasta İş adamı
YAKINMASI Nefes darlığı (eforla) l Öksürük l Balgam çıkarma (mukoit) l Halsizlik l
Nefes darlığı (eforla) l Öksürük l Balgam çıkarma ( mukoid ) l
Özgeçmiş l Kot kırıkları 4 yıl önce, travma öyküsü yok
ALIŞKANLIKLARI 50 paket/yıl sigara 10 yıldır bırakmış
FİZİK MUAYENE l l l Genel durum iyi, bilinç açık Dispne (+) Ateş: 36. 8 ‘C TA: 150/90 mm. Hg Nabız 100/dk, ritmik Kalp sesleri: S 1, S 2 doğal. S 3(-)
Solunum Sistemi l DSS: 30/dk, l l l torakoabdominal. Bilateral solunum sesleri azalmış. Ekspiryum uzun Tek tük wheezing mevcut
Fizik Muayene Dispneik Ödem Karaciğer kot kenarını geçiyor
Sorular: Bu bulgular hangi hastalıkları düşündürür? l Hangi tanı yöntemlerine başvurulmalı? l
Hemoglobin Hematokrit Kemik Dansitesi 16. 4 gr/dl 46. 9 Düşük
SFT FVC: 1740 ml(%59) FEV 1: 640 ml(%29) FEV 1/FVC: %37 FEF 25 -75: 0, 22(%9)
Fonksiyonel bozukluk hangi tiptedir? Obstrüktif 2. Restriktif 3. Kombine 1.
Restriktif ve obstrüktif bozukluğu en iyi ayırabilen parametreler A. B. C. D. FEV 1/FVC VC TLC FEV 1/FVC ve TLC
VOLÜMLER Pletismografik TLC: 7240 ml(%136) RV: 3780 ml(%140) RV/TLC: %52
DİFÜZYON KAPASİTESİ DLCO m. L/mm. Hg/dak l DLCO/VA m. L/mm. Hg/dak /L l %26 %32
AKG Pa. O 2: 47. 2 mm. Hg Pa. CO 2: 39 mm. Hg Sa. O 2: %85 p. H: 7. 4 HCO 3: 28. 4
HİPOKSİ neye bağlıdır? Alveoler hipovantilasyon l Shunt l V/P dengesizliği l Solunum merkezi depresyonu l
Hasta GOLD a göre hangi evrededir? l l HAFİF ORTA AĞIR ÇOK AĞIR
Soru: l Tedavisi nasıl olmalı?
IV Çok Ağır III Ağır Risk Grubu -Kronik semptomlar, -Risk faktörlerine maruziyet. -Normal spirometri GOLD II Orta I Hafif FEV 1/FVC < %70 FEV 1≥%80 %80>FEV 1≥%50 %50>FEV 1≥%30 Semptom var veya yok FEV 1<%30 Kronik solunum yetmezliği veya sağ kalp yetmezliği
IV Çok Ağır III Ağır O Risk Grubu -Kronik semptomlar, -Risk faktörlerine maruziyet. -Normal spirometri II Orta I Hafif FEV 1/FVC < %70 FEV 1>%80 %80>FEV 1>%50 %50>FEV 1>%30 Semptom var veya yok Risk Faktörlerinden FEV 1<%30 Kronik solunum yetmezliği veya sağ kalp yetmezliği Uzaklaşma, Grip Aşısı Gerektiğinde Kısa Etkili Bronkodilatör Düzenli Bir veya Daha Fazla Uzun Etkili Bronkodilatör, Rehabilitasyon Sık Atakta İnhaler Kortikosteroid GOLD 2003 Sürekli Oksijen Tedavisi, Cerrahi Değerlendirme
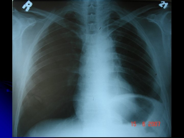
CÖ l 41 yaşında, işçi l Erkek l Doğum yeri: Gümüşhane l
l ŞİKAYETİ: Hemoptizi l 2006 şubat ayından beri tekrarlayan hemoptizi
l Özgeçmişi: Ø l 1997 - Tbc tanısıyla 6 ay tedavi Alışkanlıklar: Sigara 4 paket-yıl (7 yıldır içmiyor)
l FİZİK MUAYENE: Özellik yok
l HEMOPTİZİ NEDENLERİ ?
l HEMOPTİZİ AYIRICI TANI?
l HEMOPTİZİLİ hastada tanı metotları?
LABORATUAR BULGULARI: Ø Ø Ø Ø Ø WBC: 4400 Hb: 11. 1 Hct: %32. 7 İNR: 1. 15 ESR: 38 CRP: 0. 69 PLT: 146000 AST: 35 ALT: 44 Üre: 38 11000 16 N N N
Balgamda Aside dirençli basil negatif l Kültürde M. Tuberculosis üremedi. l Orta sıklıkta PNL, az sayıda makrofaj l Atipik hücre görülmedi. l
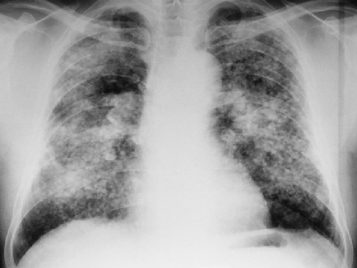
l TORAKS BT (17/05/07): sol akciğer üst lob apikoposterior segment düzeyinde yaygın sekel fibrotik değişiklikler izlenmiştir. l BRONKOSKOPİ (22/02/07): Aktif kanama odağı saptanmadı
HEMOPTİZİ tedavisi ? l Bronşiyal arter embolizasyonu l
l Hastanın hemoptizilerinin tekrarlaması üzerine, hastaya 08/04/07 ve 11/05/07 tarihlerinde sol akciğer üst lob bronşial arterlerine embolizasyon uygulandı.
Ancak takiplerde hemoptizileri devam etti. l Kanama odağı? ? ? l
l Hastaya 07 -06 -2007’de sol akciğer üst lobektomi uygulandı. Lobektomi materyali patolojik inceleme için gönderildi.
l PATOLOJİ SONUCU: Sol Akciğer üst lobektomi materyali, kistik bronşiektazi, bu zeminde gelişmiş aspergilloma saptandı. l Hastaya İtraspor 100 mg tb 2 x 1 bir ay kullanmak üzere başlandı. itrakonazol
AÇ l 47 yaşında, işçi l Erkek l Doğum yeri: İstanbul l
l ŞİKAYETİ Kuru öksürük Şiddetli sağ yan ağrısı Dispne Aniden şikayetleri başlamış.
l Olası Tanılar? l Plöretik ağrı; Plörezi, l AC infarktı/ AC CA l Pulmoner Emboli l İnf. l Pnömotoraks
FİZİK MUAYENE Siyanoze Dispneik DSS: 32 Sağda hipersonorite OSKÜLTASYONDA Sağda solunum sesi alınmıyor.
l Olası Tanılar? l Pnömotoraks? ? ? l Kitle? ? ?
l Tanı Tedavi
YH l 60 yaşında kadın 6 aydır l Öksürük l Dispne l Yemekten sonra ve yatınca şikayetleri artıyor. l
l Sol akciğer alt alanında çok iyi tanımlanamayan ek sesler
TB l 51 yaşında, işçi l Erkek l Doğum yeri: Zonguldak l
l ŞİKAYETİ Öksürük Koyu renkli balgam Efor dispnesi
l FİZİK MUAYENE: siyanoze, dispneik çomak parmak mevcut DSS: 26 (torako abdominal) OSKÜLTASYONDA bilateral inspiratuvar raller TA: 130/80 Nb: 86/dk
FVC % 55 l FEV 1/FVC %82 l Pa 02 50 mm. Hg l Pa CO 2 38 mm. Hg l
TANI ? ? ?
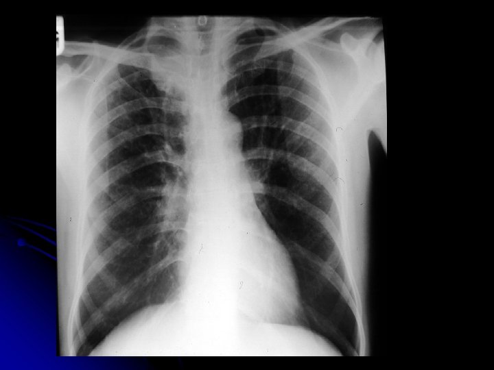
B. T. l 1943, Gönen l 62 y. , evli, emekli işçi
Şikayeti l. Nefes darlığı l. Uyku hali
Hikayesi 5 yıl önce KOAH tanısı 4 aydır nefes darlığında artma 10 gündür uyuklama
Alışkanlıkları l. Sigara 60 paket yıl l 1 yıldır içmiyor
Solunum Sistemi: l DSS: 28/dk, l l l torakoabdominal. Bilateral solunum sesleri azalmış. Ekspiryum uzun Nb: 86/dk (ritmik), TA: 140/80
Fizik Muayene Dispneik Ortopneik Siyanoze Kemozis Çomak parmak Asteriksis
Kemosis neyin göstergesidir? Hiperinflasyon 2. Kor Pulmonale 3. İnfeksiyon 4. Böbrek yetmezliği 1.
Bu olguda “asteriksis” neyi gösterir? 1. 2. 3. 4. Karaciğer yetmezliği Hipoksi Hiperkarbi Kalp yetmezliği
l. Uyku: 18 saat/gün uyuyormuş.
SFT FVC: 1840 ml(%56) FEV 1: 460 ml(%18) FEV 1/FVC: %25 FEF 25 -75: 150 (%5)
AKG Pa. O 2: 41 mm. Hg Pa. CO 2: 60 mm Sa. O 2: %76 p. H: 7. 4 HCO 3: 41
Bu olguda hiperkarbi nedeni? Solunum merkezi depresyonu 2. Solunum kas yorgunluğu 3. Bikarbonat tutulumu 4. Pulmoner hipertansiyon 1.
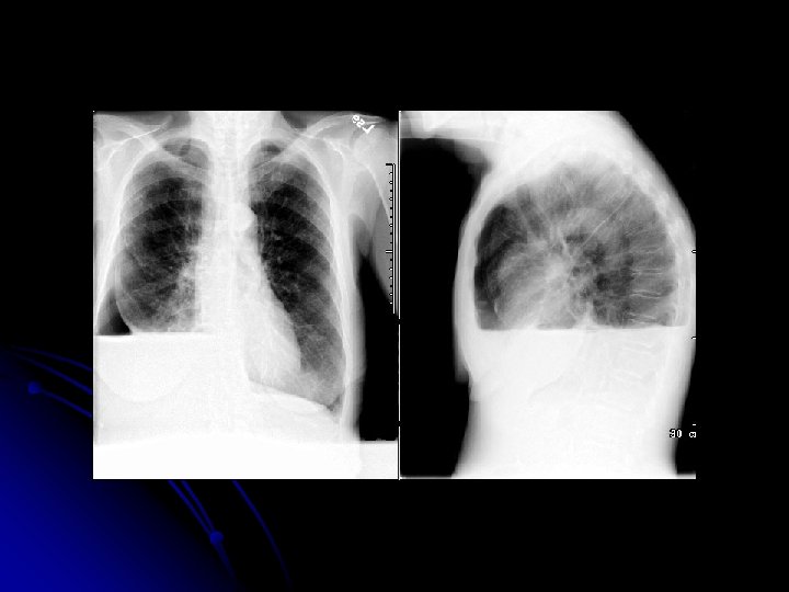
NB l 49 yaşında l Erkek l Memur l
6 aydır sağ omuzda ağrı 15 gündür fizik tedavi görüyor. Bir haftadır l Öksürük l Hemopteik kraşa l 50 paket yıl sigara
Trans torasik iğne aspirasyonu l Tanı : Epidermoid Ca l
TP l 59 yaşında l Erkek l Memur l
Dispne l Orthopne l TA 200/140 l DSS 34 l Yaygın geç inspiratuvar raller l
TANI? l TEDAVİ? l
DT l 45 yaşında erkek l Trafik kazası geçiriyor. l
FP l 45 yaşında l Ev hanımı l 25 paket yıl sigara l
2 gündür Ateş (39) l Öksürük l Yeşil renkli balgam çıkartma l Sağ yan ağrısı l
Hastanın anemnezi derinleştirildiğinde Daha öncede l Merdiven, yokuş çıkarken zorlanıyormuş. l Tozlu ortamlarda tıkanıyormuş. l Öksürük ve balgam çıkartma şikayetleri de yaklaşık 5 yıldır her kış varmış.
FİZİK MUAYENE Ekspiryum uzun l Yaygın wheezing l Sağ akciğer alt alanda geç inspiratuar raller l
l TANI KOYMAK İÇİN HANGİ TETKİKLERİ ÖNERİRSİNİZ ?
Kan Sayımı Lokosit 19 000 l Sedimantasyon 75 mm/saat l CRP 65 l
Akciğer fonksiyon testleri Predikt Saptanan % FVC(L) 3, 37 2, 70 80 FEV 1 (L) 2, 59 1, 70 65 75 62 2, 87 1, 5 FEV 1/FVC FEF 2575(L/s) 52
Akciğer fonksiyon testleri Predikt Saptanan Bronkodil atörden sonra 2, 70 2, 8 FVC(L) 3, 37 FEV 1 (L) 2, 59 1, 70 1, 78 75 62 63 2, 87 1, 5 1, 6 FEV 1/FVC FEF 2575(L/s)
l Alerji testleri Negatif
EY l 55 yaşında, çiftçi l Erkek l Doğum yeri: Nevşehir l
l ŞİKAYETİ Kuru öksürük Şiddetli sağ yan ağrısı Kilo kaybı Halsizlik 3 aydır yakınmaları mevcut
l Torasentezde hemorajik sıvı
l Plevra biopsisi: Mezotelyoma