MorbidityMortality Sesin de mejora diagnostica TERCER WHORKSHOP FORO
Morbidity&Mortality Sesión de mejora diagnostica. TERCER WHORKSHOP FORO OSLER Casilda Llácer Pérez Málaga 28 Noviembre 2013
Caso Clínico 1 Varón, 24 años al diagnóstico. ✔No alergias medicamentosas conocidas ✔No otras enfermedades prevalentes. ✔IQ: adenoidectomía, septoplastia ✔Tratamiento domiciliario: ninguno (protei nas para preparacio n fi sica) ✔Hábitos tóxicos: fumador ocasional marihuana. Bebedor ocasional
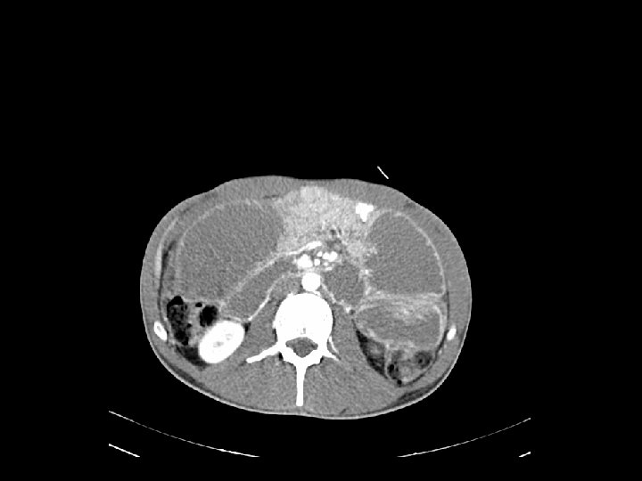
Caso Clínico 1 Diciembre 2012: Vómitos intermitentes y dolor abdominal Urgencias Ecografía abdominal 15/4/2013: hi gado de taman o normal con ecogenicidad homogenea, sin LOES ni dilatacio n dela via biliar intrahepa tica. Vesi cula alitia sica. Bazo y rin ones normales. Aorta normal. No li quido libre.
Caso Clínico 1 Junio 2013: Juicios Clínicos: Empeoramiento clínico ✗Viriasis significativo ✗Consumo de tóxicos (marihuana) Hiperemesis ✗“Estrés emocional” Valoración psiquiátrica Insuf. renal prerrenal con Tratamientos al alta enema, lactulosa, omeprazol 20/12 h, alt hidroelectroliticas pizotifeno, mirtazapina, domperidona, esomeprazol Gastroscopia (12/08/13): Eso fago normal. Esto mago: buena distensibilidad a la Pérdida de peso 15 kg insuflacio n, lago mucosa con abundantes restos alimenticios, que impiden valorar el fundus correctamente. En retroversio n, el cardias abraza totalmente el endoscopio. Mucosa ga strica de aspecto discretamente eritematoso, con erosiones aisladas fibrinadas. Piloro centrado y permeable. Duodeno normal
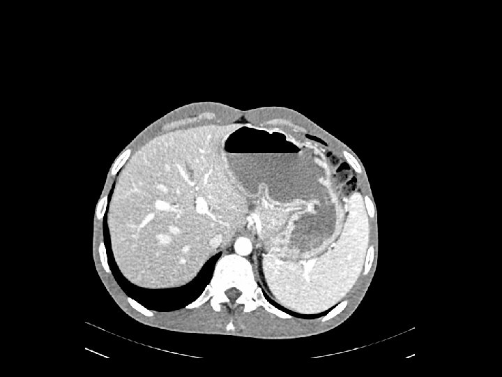
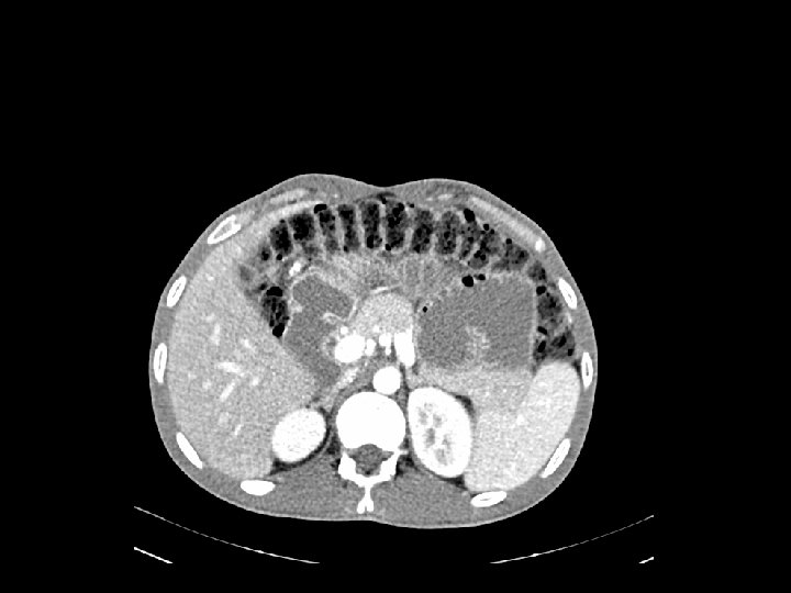
Caso Clínico 1 Urgencias (22 Agosto 2013): Dolor abdominal agudo y vómitos A la exploración destacaba abdomen distendido, doloroso a la palpación con defensa
Caso Clínico 1 Laparotomía exploradora (22/08/13) INFORME ANATOMOPATOLÓGICO PIEZA QUIRÚRGICA granyeyuno: dilataciónadenocarcinoma retrógada de asas de yeyuno, duodenodiferenciado, y gástrica con -Hallazgos: Pieza de moderadamente cambio de calibre brusco a nivel de tumoracio n yeyunal. Gran cantidad de ulcerado, que infiltra la totalidad del espesor de la muscular propia, adenopati as en la raiz del meso, mayores de un cm, de consistencia pétrea. Resto de rebasandola, y alcanzando focalmente peritoneo. Cambios inflamatorios cavidad sin hallazgos. Hi gado sin LOES. mixtos inespeci fico, asociados. Bordes de reseccio n sin hallazgos relevantes. RESECCIÓN SEGMENTARIA DE YEYUNO - Ganglios linfa ticos(25): meta stasisde adenocarcinoma (5). Linfadenitis Te cnica: Resección segmentaria de yeyuno de unos 20 cm englobando la tumoracio n en restantes. 2 la ganglios aislados separado: conlos GIA 20 60. Seccio n a nivel- de raiz del meso con mu por ltiples adenopati alinfadenitis s. Diseccio n y exe resis de las adenopati as de mayor taman o que no iban incluidas en la pieza. reactiva.
Caso Clínico 1 Paciente varo n de 24 an os sin antecedentes de intere s, diagnosticado de adenocarcinoma de yeyuno, G 2 p. T 4 N 1 M 0, estadio III En curso actualmente de quimioterapia adyuvante esquema XELOX (hasta la fecha 3 ciclos)
RMD: REUNIÓN DE MEJORA DIAGNÓSTICA Fecha: CLASIFICACIÓN DEL PROBLEMA DIAGNÓSTICO NO REALIZADO: DIAGNÓSTICO EQUIVOCADO: DIAGNÓSTICO TARDÍO: DEBIDO A: F. COGNITIVOS: F: SISTEMA: OTROS: FACTORES COGNITIVOS: Razonamiento, Juicio Clínico A)CLÍNICOS. Datos clínicos mal o insuficiente recogidos. Mal cálculo de prevalencia. Cierre precoz. Colocar una etiqueta no comprobada B) RELACIONADO CON PRUEBAS DIAGNÓSTICAS. RADIOLOGÍA: Problema de percepción Interpretación. . LABORATORIO: Mala interpretación Fallo calidad
FACTORES DEL SISTEMA. Fallo de comunicación del equipo. Fallo de procedimiento. Fallo de supervisión. ¿Qué ocurrió? _________________________ bmm. ¿Por qué ocurrió? ________________________ ¿Qué hacer para corregirlo? ____________________ INFORME FINAL A LOS MIEMBROS DEL EQUIPO MEDIDAS A TOMAR
- Slides: 12