moelle pinire De faon gnrale la moelle pinire
































- Slides: 32
moelle épinière
De façon générale, la moelle épinière correspond à un cordon de système nerveux central : au niveau duquel : Ø la SG se trouve au centre, revêt un aspect en ailes de papillons C’est à son niveau que se trouvent les corps cellulaires des neurones moteurs et sensitifs
Ø la SB se trouve à la partie postérieure et ventro- latérale de la moelle C’est à son niveau que se cheminent les fibres axonales sensitives ascendantes et motrices descendantes
La moelle renferme 4 sillons, dont les caractéristiques permettent une orientation sur une coupe transversale : § un sillon ventral médian, profond § un sillon dorsal médian, petit
§ deux sillons latéraux : un dorsal et un ventral qui correspondent à l’entrée et à la sortie des racines nerveuses, respectivement La moelle comporte une commissure centrale qui correspond au canal de l’épendyme, à l’intérieur duquel chemine le liquide céphalo-rachidien (LCR)
Sillon dorsal median. Substance blanche. Sillon dorso-lateral. Substance grise. Ependyme. Sillon ventro-lateral. Sillon ventral median. Vue globale d’une coupe transversale de moelle épinière.
Une coupe transversale de moelle épinière
SUBSTANCE GRISE (SG) : v La partie antérieure « cornes ventrales » renferme les corps cellulaires des neurones moteurs Il s’agit de volumineux neurones, relais des neurones du cortex moteur
v. La partie postérieure « cornes dorsales » renferme des petits neurones sensitifs dits de 2ème ordre
Au niveau de la moelle dorsale et lombaire supérieure, il existe des « cornes latérales » où se trouvent les corps cellulaires neurones sympathiques efférents pré ganglionnaires
SUBSTANCE BLANCHE (SB) : v. La SB postérieure correspond aux « cordons postérieurs » et renferme des fibres sensitives ascendantes Ces fibres véhiculent la vibration, la proprioception et le toucher discriminatif
v. La SB ventro- latérale renferme également des fibres axonales myélinisées
Il s’agit de fibres sensitives ascendantes au niveau ventro- latéral (faisceaux spino- thalamique latéral : douleur, température et ventral : toucher superficiel) et de fibres descendantes motrices (faisceau cortico-spinal)
La moelle épinière va augmenter de volume de bas en haut, car les fibres qu’elle renferme y sont de plus en plus nombreuses
SG SB Substance grise et blanche de la moelle épinière.
Les cellules nerveuses: 1 - Les cellules radiculaires: les neurones peripheriques efferents, 3 types: q. Les motoneurones alpha: ( au niveau de la corne anterieure) q. Les motoneurones gama: idem q. Les protoneurones vegetatifs( ou neurones preganglionnaires): ( au niveau de la corne laterale)
2 - Les cellules funiculaires ( ou cellules cordonnales): corps cellulaires de forme variable( etoilee, triangulaire, ou fusiforme), 2 types: q. Les cellules funiculaires a axone long: (les fibres spinothalamiques et les fibres spinocerebelleuses) q. Les cellules funiculaires a axone moins long: des associations intersegmentaires homolaterales et/ou heterolaterales
3 - Les cellules de Golgi type II: Neurones d’association intrasegmentaire homolaterale et/ou heterolaterale
Les fibres nerveuses afferentes: corps cellulaire situe soit dans les ganglions rachidiens posterieurs soit dans le cerveau ou le tronc cerebral
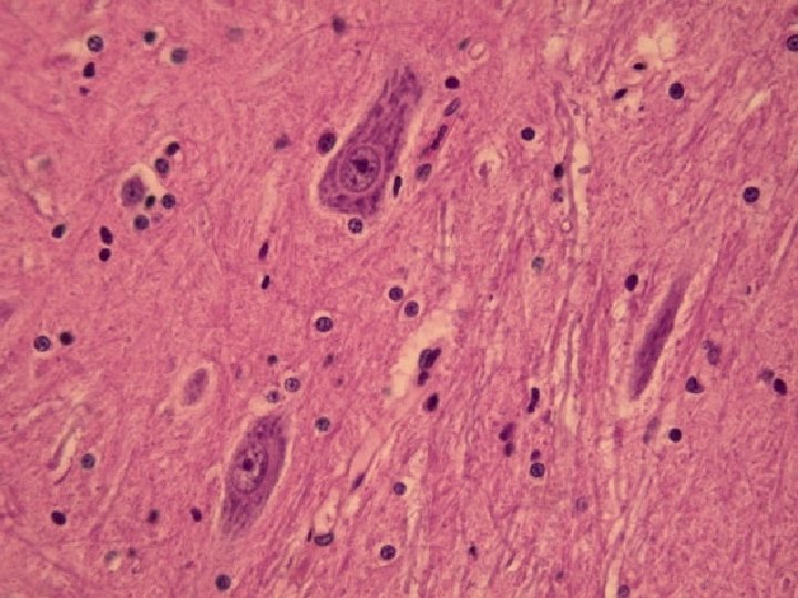
Cellule multipolaire: Motoneurone
Motoneurone alpha.
Neurone de moelle épinière, 400
Les cellules funiculaires(ou cellules cordonnales).
Pathologies medullaires: ØSclerose en plaques (SEP) ØPoliomyelite ØCompression medullaire ØSyndrome de la queue de cheval ØMyelopathie cervico-arthrosique ØSclerose laterale amyotrophique ØSyringomyelie ØTraumatisme medullaire