Module Physiologie neuromusculaire cours 3 La jonction neuromusculaire

  • Slides: 30
Download presentation
Module: Physiologie neuro-musculaire (cours 3) La jonction neuromusculaire I. Bases de l’électricien en biologie…

Module: Physiologie neuro-musculaire (cours 3) La jonction neuromusculaire I. Bases de l’électricien en biologie… II. La jonction neuromusculaire.

I. Bases de l’électricien en biologie… 1. Le potentiel de repos

I. Bases de l’électricien en biologie… 1. Le potentiel de repos

Le potentiel de membrane ou de repos

Le potentiel de membrane ou de repos

Les acteurs du potentiel de repos

Les acteurs du potentiel de repos

I. Bases de l’électricien en biologie… 1. Le potentiel de repos 2. Le potentiel

I. Bases de l’électricien en biologie… 1. Le potentiel de repos 2. Le potentiel d’action

Création d’un PA

Création d’un PA

Particularités du potentiel d’action • Période réfractaire • Propagation • Loi du tout ou

Particularités du potentiel d’action • Période réfractaire • Propagation • Loi du tout ou rien

PA, perméabilité des ions et périodes réfractaires

PA, perméabilité des ions et périodes réfractaires

Particularités du potentiel d’action • Période réfractaire • Propagation • Loi du tout ou

Particularités du potentiel d’action • Période réfractaire • Propagation • Loi du tout ou rien

Propagation du PA

Propagation du PA

Particularités du potentiel d’action • Période réfractaire • Propagation • Loi du tout ou

Particularités du potentiel d’action • Période réfractaire • Propagation • Loi du tout ou rien

II. La jonction neuromusculaire 1. Morphologie

II. La jonction neuromusculaire 1. Morphologie

II. La jonction neuromusculaire 1. Morphologie a. La cellule de Schwann

II. La jonction neuromusculaire 1. Morphologie a. La cellule de Schwann

II. La jonction neuromusculaire 1. Morphologie a. La cellule de Schwann b. Les éléments

II. La jonction neuromusculaire 1. Morphologie a. La cellule de Schwann b. Les éléments de la synapse

Localisation des récepteurs cholinergiques nicotiniques

Localisation des récepteurs cholinergiques nicotiniques

II. La jonction neuromusculaire 1. Morphologie 2. La transmission synaptique

II. La jonction neuromusculaire 1. Morphologie 2. La transmission synaptique

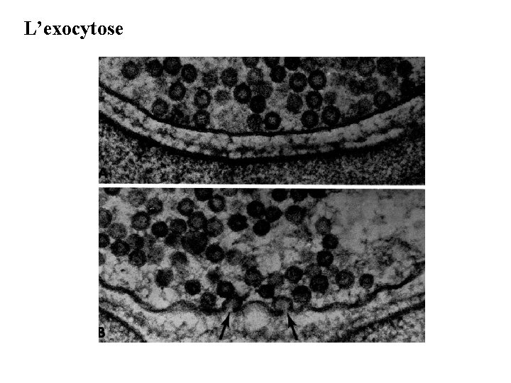
L’exocytose

L’exocytose

Synthèse et recyclage de l’ACh.

Synthèse et recyclage de l’ACh.

II. La jonction neuromusculaire 1. Morphologie 2. La transmission synaptique 3. L’acétylcholinestérase

II. La jonction neuromusculaire 1. Morphologie 2. La transmission synaptique 3. L’acétylcholinestérase

II. La jonction neuromusculaire 1. Morphologie 2. La transmission synaptique 3. L’acétylcholinestérase 4. Maturation

II. La jonction neuromusculaire 1. Morphologie 2. La transmission synaptique 3. L’acétylcholinestérase 4. Maturation des JNMs

II. La jonction neuromusculaire 1. Morphologie 2. La transmission synaptique 3. L’acétylcholinestérase 4. Maturation

II. La jonction neuromusculaire 1. Morphologie 2. La transmission synaptique 3. L’acétylcholinestérase 4. Maturation des JNMs 5. Pathologie: la myasthénie

Myasthénie: ptosis.

Myasthénie: ptosis.

II. La jonction neuromusculaire 1. Morphologie 2. La transmission synaptique 3. L’acétylcholinestérase 4. Maturation

II. La jonction neuromusculaire 1. Morphologie 2. La transmission synaptique 3. L’acétylcholinestérase 4. Maturation des JNMs 5. Pathologie: la myasthénie 6. La curarisation